My Authors
Read all threads
#FOAMneu #FOAMed
#neurorad @vmargar
MRI simplified patterned approach in CNS infection:
Using T1, T2 and Contrast enhancement pattern, CNS infection could be classified into:
Ring enhancing lesion, Basal ganglia SOL, Grey matter hyperintensitie, White matter hyperintensitie. ImageImage
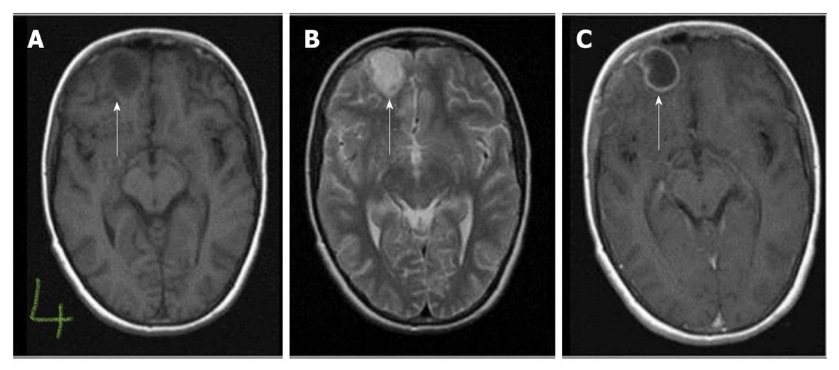
Ring enhancing lesion:
Abscesses show a thin smooth rim, whereas nodular irregular rim seen in neoplasm. SWI show a smooth complete ring of susceptibility in abscess, whereas incomplete irregular ring in neoplasms. ADC show low values in abscess, whereas high values in neoplasms. ImageImage
Differentiating of ring enhancing etiologies:
DWI of bacterial & tubercular show central restriction, whereas fungal shows wall & projections restriction, though not core
MR spectroscopy of bacterial shows amino acids peaks, tubercular lipids peaks, whereas fungal multiple peaks ImageImage
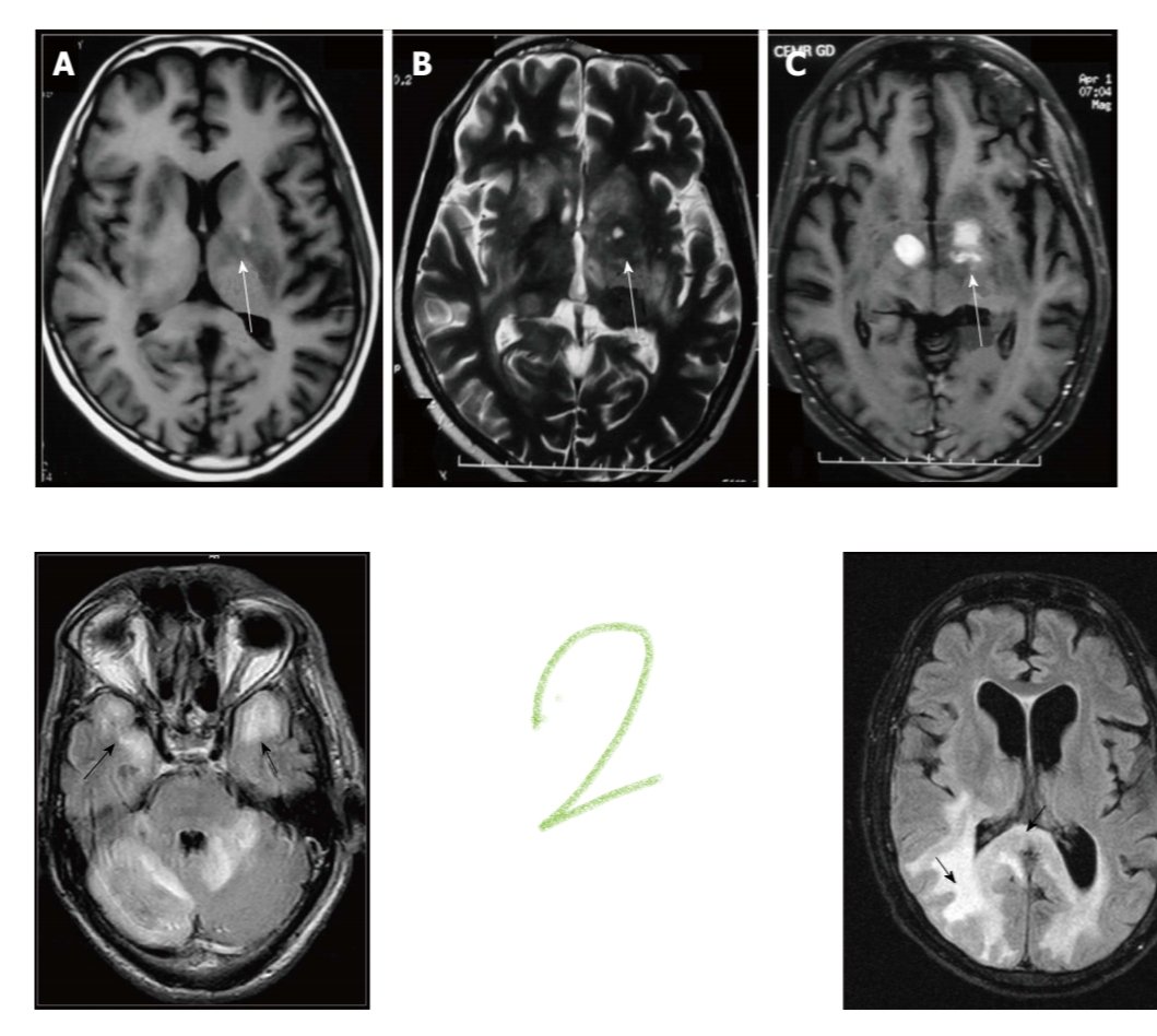
Basal ganglia SOL etiologies:
8:Toxoplasmosis, Gd enhancement, no DWI restriction, decreased perfusion, MRS lipid peaks.
9:Primary CNS lymphoma, Gd enhancement, marked DWI restriction, increased perfusion, MRS choline peak.
10: Cryptococcosis, no Gd enhancement, DWI restriction. ImageImageImageImage
Grey matter hyperintensities:
Infection & infarction showed DWI restriction, whereas infection shows increased perfusion, infarction shows decreased perfusion
Location of lesion highlight etiology, medial temporal >> HSV, Cortex BG & BS >> Japanese virus, pulvinar & BG >> CJD ImageImage
White matter hyperintensities:
HIV encephalopathy bilateral perventricular symmetrical lesion, isointense in T1, no Gd enhancement.
Progressive multifocal leukoencephalopathy asymmetrical perventricular lesion, peripheral DWI restriction, hypointense in T1, may Gd enhancement. ImageImage
Missing some Tweet in this thread? You can try to force a refresh.

Keep Current with Ahmed Elkady, MSc

Profile picture

Stay in touch and get notified when new unrolls are available from this author!

Read all threads

This Thread may be Removed Anytime!

Twitter may remove this content at anytime, convert it as a PDF, save and print for later use!

Try unrolling a thread yourself!

how to unroll video

1) Follow Thread Reader App on Twitter so you can easily mention us!

2) Go to a Twitter thread (series of Tweets by the same owner) and mention us with a keyword "unroll" @threadreaderapp unroll

You can practice here first or read more on our help page!

Follow Us on Twitter!

Did Thread Reader help you today?

Support us! We are indie developers!


This site is made by just two indie developers on a laptop doing marketing, support and development! Read more about the story.

Become a Premium Member ($3.00/month or $30.00/year) and get exclusive features!

Become Premium

Too expensive? Make a small donation by buying us coffee ($5) or help with server cost ($10)

Donate via Paypal Become our Patreon

Thank you for your support!