
The patient's serum IgG4 was elevated 185.0 (2.4 - 121.0) mg/dL
Fibrosis might be caused by activation of innate immune cells by polarized CD4+ T cells.
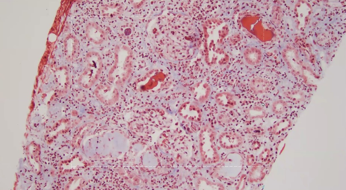
- Tubulointerstitial nephritis (TIN): most common
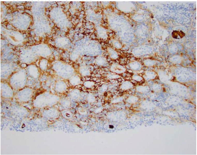
- Membranous glomerulonephropathy (MGN)
-male predominant
-common in older age (+/- 65 years)
-with insidious rise in creatinine
-variable proteinuria (nephrotic range proteinuria rare) and absence of RBC casts.
-Commonly diagnosed in association with extrarenal manifestations.
-hypocomplementemia (60%) ✔️
- peripheral eosinophilia (40%)
-weakly positive ANA but negative specific Abs✔️
-Hypodense renal cortical lesions (40%)
-diffuse renal enlargement (20%)✔️
Substantial elevation IgG-4 level (6-8 fold higher) is present in IgG4-RD but mild elevation can be seen in other diseases.
Normal IgG-4 level does NOT exclude IgG4-RD
IgG-4 level loosely correlates w activity and response
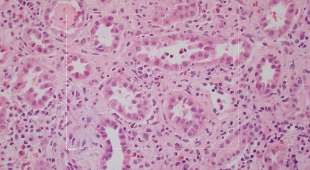
- Diffuse or multifocal lymphoplasmacytic interstitial infiltrate (eosinophils frequently present)
- Whorled Storiform fibrosis

Rituximab is a promising agent but remains unproven.
Ref: pubmed.ncbi.nlm.nih.gov/25481618/
pubmed.ncbi.nlm.nih.gov/26122730/
#FOAMed #Nephpearls
--Fin
