My Authors
Read all threads
Today @NephroP shares his knowledge with our team here at BI during our POCUS Cocktail Club!
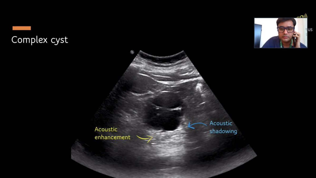
When you see cysts - you should see acoustic enhancement!

Complex cysts might have some calcifications and see acoustic shadowing

Take a look!
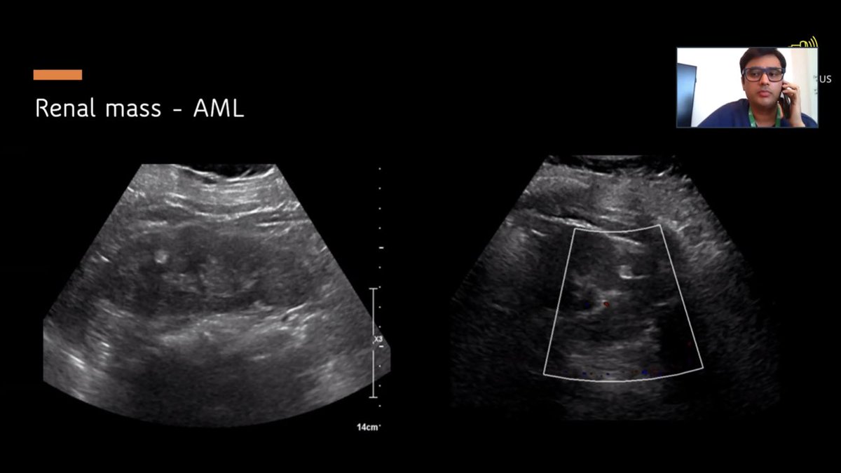
See how masses look different than cysts - hyperechoic or isoechoic lesions rather than hypoechoic #NephroPocus
@NephroP
@NephroP
Shares some pears of wisdom for mass investigation
@NephroP also shares an important rule for #POCUS and imaging tests as a whole!
And most importantly - the drink of the night

In the words of @NephroP - just like this drink, #POCUS appears complicated but it shouldn’t be
Missing some Tweet in this thread? You can try to force a refresh.

Keep Current with BIDMC Nephrology Fellowship

Profile picture

Stay in touch and get notified when new unrolls are available from this author!

Read all threads

This Thread may be Removed Anytime!

Twitter may remove this content at anytime, convert it as a PDF, save and print for later use!

Try unrolling a thread yourself!

how to unroll video

1) Follow Thread Reader App on Twitter so you can easily mention us!

2) Go to a Twitter thread (series of Tweets by the same owner) and mention us with a keyword "unroll" @threadreaderapp unroll

You can practice here first or read more on our help page!

Follow Us on Twitter!

Did Thread Reader help you today?

Support us! We are indie developers!


This site is made by just two indie developers on a laptop doing marketing, support and development! Read more about the story.

Become a Premium Member ($3.00/month or $30.00/year) and get exclusive features!

Become Premium

Too expensive? Make a small donation by buying us coffee ($5) or help with server cost ($10)

Donate via Paypal Become our Patreon

Thank you for your support!