Сергей Profile picture
Oct 3, 2020 71 tweets 23 min read Read on X
ТРЕД "Кариес".
Откуда он берется, в чем его причина, какова роль сладкого в его развитии, и как его избежать? Проверьте у себя наличие зубной нити и устраивайтесь поудобнее. Погнали!
Кто-то скажет, что кариес - это болезнь современного общества, но будет неправ. Так как свидетельства кариеса, а также попыток его лечения насчитывают историю в 14 тыс. лет.
Как, например, этот итальянский череп, в одном из зубов которого была попытка удалить поврежденные кариесом ткани с помощью, скорее всего, миниатюрного кремниевого лезвия.
А вот в Пакистане уже 7-9 тыс. лет тому назад были первые попытки использовать сверло для обработки зуба. "Смычковая дрель"
С увеличением продолжительности жизни и качества пищи распространенность кариеса тоже повысилась, но с этим к нам пришли все другие блага цивилизации. Итак, что же такое кариес?
Древние люди верили, что внутри зуба живут злые духи, зловонные черви и бесы, которые вызывают боль и страдания. Что же поменялось с этого времени?
Современное определение кариеса не очень сложное, хоть и кажется запутанным.
Кариес - это патологический процесс, проявляющийся после прорезывания зубов, при котором происходит деминерализация и размягчение твердых тканей зуба с последующим образованием полости.
Первое, что бросается в глаза - это патологический процесс исключительно после прорезывания, то есть зубы никогда не прорезываются с кариесом. А теперь о том, какие факторы способствуют развитию кариеса.
Факторы риска возникновения кариеса делятся на общие и местные. К общим факторам можно отнести питание, хронические заболевания, нехватку фтора в воде, экологическую обстановку, снижение иммунитета и все что хотите, даже наследственность.
Местные факторы риска: плохая гигиена полости рта, вредные привычки, неправильное положение зубов, частые приема углеводистой пищи и кислых продуктов, сухость во рту, и изменение состава слюны.
Но основные факторы - это кариесогенные микроорганизмы, углеводы, резистентность организма и время.
Главная роль в развитии кариеса у Streptococcus Mutans - это грамположительные факультативно анаэробные бактерии рода стрептококков, обладающие способностью к адгезии к неповрежденной зубной эмали. Именно они образуют зубную бляшку.
Основная задача St.Mutans - это переработка простых углеводов (остатков пищи на зубах) в кислоты, которые вызывают убыль минералов из тканей зуба, то есть процесс деминерализации эмали.
St.Mutans в норме присутствуют в полости рта у всех, но при плохой ее гигиене количество бактерий резко возрастает. То есть, остатки пищи, налета, камня влекут за собой огромные колонии бактерий, которые размножаются, поглощают углеводы и выделяют кислоту.
Но просто так за один день кариес ни у кого не образуется. Для этого необходимо время - это месяцы, а чаще годы. Чаще всего кариес развивается в местах, где проще всего задержаться пище - это естественные углубления (фиссуры) и промежутки между зубами.
И плавно мы подошли к различным классификациям кариеса. Их очень много, но давайте рассмотрим их по расположению и глубине поражения.
По локализации кариеса - это классификация полостей по Бреку. Их всего 6.
1 класс - это полости, расположенные в фиссурах и естественных углублениях всех зубов.
2 класс - это полости, расположенные на контактных поверхностях моляров и премоляров. Если вдруг вы пропустили тред "анатомия зуба", пролистайте, вам будет немного понятнее.
3 класс - это полости, расположенные на контактной поверхности резцов и клыков без нарушения режущего края.
4 класс - это полости, расположенные на контактной поверхности резцов и клыков с нарушением режущего края.
5 класс - это полости, расположенные в пришеечной области всех зубов.
6 класс - это полости, расположенные в иммунных зонах зубов: на буграх и режущих краях всех зубов.
Классификация по глубине процесса.
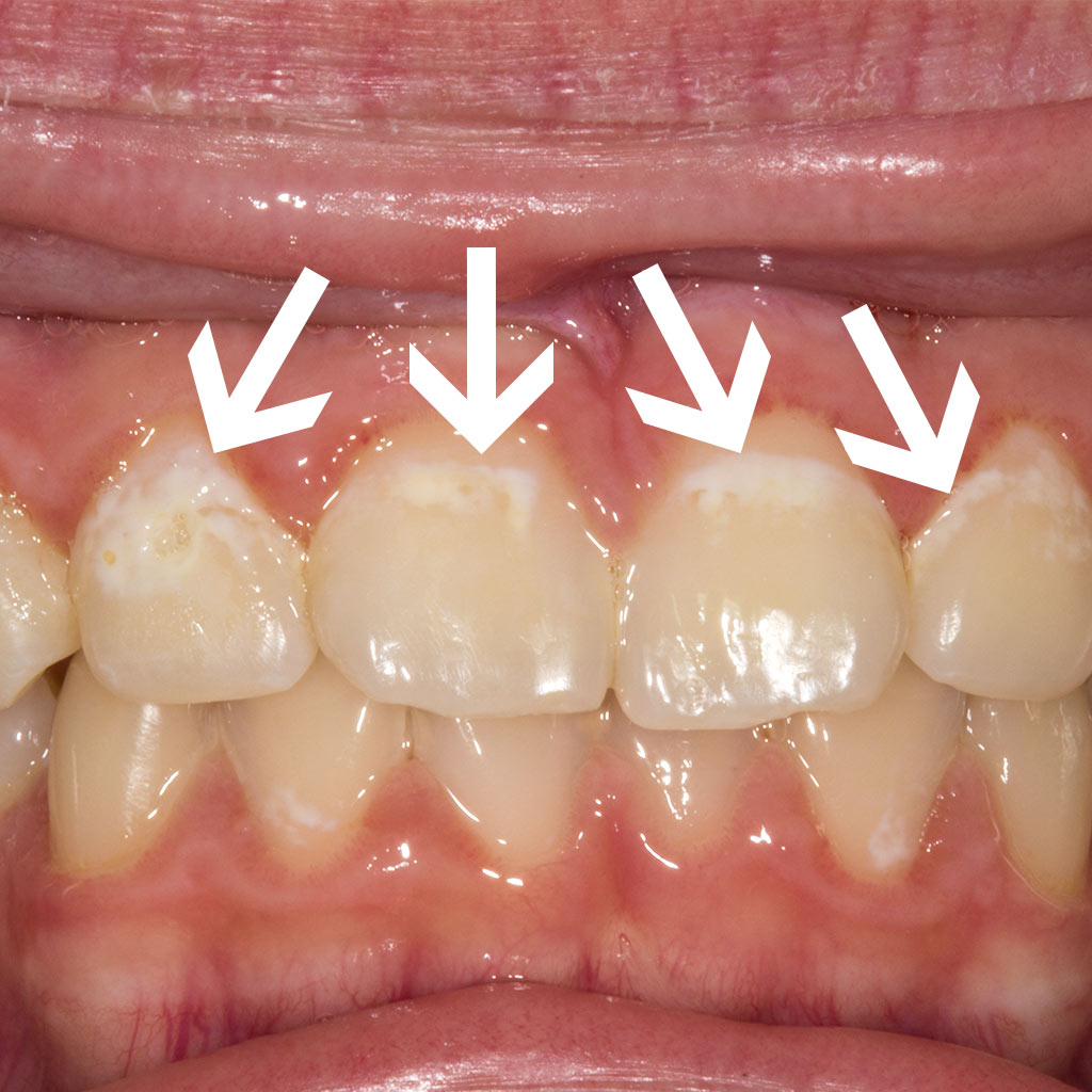
1. Кариес в стадии пятна - потеря естественного блеска, появление белых, светло-коричневых и темно-коричневых. Здесь есть два пути развития:
1)пятна вообще никак не изменяются долгие годы, обычно при должной гигиене и наблюдении.
2) на месте коричневого пятна образуется полость. Все происходит на этом этапе в поверхностных и подповерхностных слоях эмали практически бессимптомно.
2. Поверхностный кариес: на месте пятна образуется полость с нарушением целостности тканей. Возможны кратковременные реакции на сладкое, кислое, холодное. Кариес приближается к эмалево-дентинной границе.
См.ТредАнатомияЗуба
3. Средний кариес - кариозный процесс полностью прошел всю толщу эмали и попал в поверхностные слои дентина. Скорость распространения патологического процесса в разы быстрее из-за анатомии дентина. Симптоматика не отличается от поверхностного.
4. Глубокий кариес - процесс затрагивает глубокие слои дентина и движется по направлению к пульповой камере. Значительная полость, кратковременные боли от физических и химических раздражителей, проходящие сразу после их удаления.
Важно отметить, что в учебниках клиника описывается обязательно с симптоматикой, но в реальности она может быть только иногда при среднем и глубоком кариесе на эмалево-дентинной границе.
Однако, может и вовсе не наблюдаться, что чаще всего и бывает.
Поэтому, когда у пациента есть боль, то это либо прыжок в максимально глубокий кариес, либо уже вскрытие полости нерва из-за размягчения всех слоев дентина, то есть осложнение кариеса - пульпит.
Предсказать реальную глубину процесса сложно, даже по кт. Если полость отчётливо видна уже на рентгене, то ничего хорошего ждать не стоит. Но зуб - это живая единица, и при длительном процессе полость нерва изменяет свою анатомию и "прячется" глубже.
То есть, вырабатывается вторичный дентин, который защищает зуб от процесса. И вроде бы, согласно анатомии, этот самый процесс уже должен был давно вскрыть полость нерва, но нет - иногда оказывается, что это лишь глубокий кариес.
И бывает абсолютно наоборот, когда работаешь с кариесом на контакте (например, в случае с премолярами), то вскрываешь полость нерва практически сразу - это максимально обидно.
Пришло время поговорить о самом коварном виде кариеса, или скрытом - это кариес между зубами, возникающий при неудовлетворительной гигиене по причине неиспользования зубной нити/ершиков.
Пациент может думать до последнего, что с зубами все хорошо, пока однажды во время жевания жевательная эмаль попросту не проваливается и не оголяется полость, которая росла годами.
Зачастую страдают сразу оба зуба. Но не потому, что кариес заразная болезнь, хотя с натяжкой можно дать такую характеристику, а потому, что между зубами появляются максимально благоприятные условия для его развития.
Напоминаю - углеводы, бактерии и время. Из-за длительного игнорирования зубной нити в межзубные пространства попадают остатки пищи, которые находятся там очень долго, моментально создавая среду для размножения бактерий.
Бактерии перерабатывают углеводы в кислоты, которые забирают микроэлементы из эмали, и вуаля - возникает пятно, а затем все стадии кариеса по глубине поражения. Стоит отметить, что на контактах эмаль по анатомии тоньше и кариес быстрее попадает в дентин.
Как итог, кариесы на контактной поверхности - самые частые претенденты на вскрытие полости нерва и удаление этих самых нервов.
Так же существует первичный и вторичный кариес(кариес под пломбой), одиночный и генерализованный
Вы можете сказать, что вот бабушки/дедушки никогда не использовали зубную нить, и никакие ершики даже в унитаз не засовывали, обходясь газетами, и в счастливые годы СССР никакого кариеса у них не было.
Товарищи, ваша психика просто запоминает хорошее. Да, такие люди бывают.
У 1% есть резистентность к St.Mutans, но никто не застрахован, к примеру, от камня и последующего лишения зубов из-за пародонтита.
Да, есть ещё меньший процент людей, которым максимально повезло с зубами, St.Mutans минимум, к эмали ничего не липнет, слюна идеальная и вообще практически космонавты:) Но думать, что если у вас ничего не болит, то вы обязательное относитесь к ним - не самое лучшее решение.
Миф о здоровых зубах в прежние времена - не больше, чем миф. Взгляните на наших бабушек, дедушек, мам и пап. Как у них дела с зубами? Посмотрите советские фильмы, улыбки в кадре скажут все сами за себя, и это притом, что всё-таки старались выбирать лучшее для кадра.
И уже десять тысяч лет тому назад были попытки лечения кариеса, что говорит о длительной истории этого недуга. А то, что у первобытных людей было все хорошо с зубами? Да они и умирали в 18-22 года, равно как и в средние века.
А вот в 2020 году продолжительность жизни увеличилась до 70-80 лет и естественная потребность в специальном уходе за зубами и не только просто максимальна. Без достижений современной медицины и фармакологии наш организм не способен функционировать так долго.
Поэтому, да простят меня эко-био-веган-натуро-антигмо-антипрививочники и другие активисты. Если хотите жить всего 18-22 года и быть ошибкой выживших, - пожалуйста.
Всем остальным лучше смотреть в сторону современных достижений. Они делают нашу жизнь лучше.
Диагностика кариеса не представляет особой сложности даже для рядового человека. Увидеть темноту на зубе или полость - это просто. А вот различить пигментированную фиссуру от кариеса может только врач, как, и найти кариес между зубами. Так рентген и кт как дополнительные методы.
Если вдруг есть стойкая реакция на горячее или сладкое, лучше задуматься о плановом визите к стоматологу и не откладывать.
Лечение кариеса - это только механическое удаление всех инфицированных тканей зуба, то есть, высверливание. И никак иначе. Только лишь поверхностный кариес возможно вылечить при особых условиях без удаления тканей.
Во всех остальных случаях только препарирование зуба различными вариациями бормашины. На данный момент это всегда происходит под анестезией. Пациент не ощущает боли от слова совсем, за некоторыми исключениями, которые корректируются.
Само препарирование происходит с подачей воздуха и водяного охлаждения для избежания перегрева твердых тканей и профилактики ожога. Плюс большая часть стоматологов использует изоляцию - коффердам, который позволяет повысить комфорт всем.
После удаления всех размягченных и инфицированных тканей происходит установка пломбы или восстановление дефекта ортопедической конструкцией(вкладка). Если этот процесс вам интересен, могу вынести его в отдельный тред.
После удаления всех размягченных и инфицированных тканей происходит установка пломбы или восстановление дефекта ортопедической конструкцией(вкладка). Если этот процесс вам интересен, могу вынести его в отдельный тред.
А теперь об осложнениях кариеса. Это пульпит - тот момент, когда бактерии попали в полость зуба, которая заполнена сосудами и нервами.
И периодонтит, наступает после гибели полости нерва и заключается в воспалении связки зуба. Треды в разработке.
Важно отметить вероятность осложнений и после лечения. После установки абсолютно любой пломбы возможна повышенная реакция на холодное от недели до двух. А также небольшой процент осложнений после лечения глубокого кариеса в виде пульпита.
Да, такое случается, и этого не стоит бояться. Всегда будьте на связи со своим стоматологом и сообщайте о симптоматике, которая выбивается из нормы.
Профилактика кариеса максимально проста. Это:
1.ежедневная гигиена утром и вечером с трехминутной чисткой зубной пастой с фтором, а также использование зубной нити/ершиков для очистки межзубных промежутков.
Опережаю вопрос про ирригатор, пожалуйста, вот ссылка на тред.
Если кратко, то он не работает так, как о этом заявляют. Поэтому мое личное мнение: идем мимо.
2. Обязательные осмотры у врача-стоматолога раз в 6 месяцев.
3. Запечатывание фиссур, но это актуально только детям и подросткам.
4. Избегание сухости во рту.
5. Никакого голодания и монодиет, а так же вегетарианства.
Что касается диет, вредных привычек и форм вегетарианства - это ваше тело, но с позиции врача-стоматолога я настоятельно рекомендую питаться сбалансированно, регулярно, и следить за гигиеной воды.
Если кратко. Кариес развивается долго и при наличии плохой гигиены. Лечится быстро и безболезненно. Его реально избежать при идеальной гигиене полости рта.
Большое спасибо, что смогли дочитать до конца, поставили лайк и сделали ретвит!
Твиттер, вы лучшие!)
Теперь вы знаете немного больше о кариесе и о том, как его избежать.
Здоровых и искренних вам улыбок!
А теперь об осложнениях кариеса. Это пульпит - тот момент, когда бактерии попали в полость зуба, которая заполнена сосудами и нервами.
И периодонтит, наступает после гибели полости нерва и заключается в воспалении связки зуба. Треды в разработке.
Важно отметить вероятность осложнений и после лечения. После установки абсолютно любой пломбы возможна повышенная реакция на холодное от недели до двух. А также небольшой процент осложнений после лечения глубокого кариеса в виде пульпита.
Да, такое случается, и этого не стоит бояться. Всегда будьте на связи со своим стоматологом и сообщайте о симптоматике, которая выбивается из нормы.
Профилактика кариеса максимально проста. Это:
1.ежедневная гигиена утром и вечером с трехминутной чисткой зубной пастой с фтором, а также использование зубной нити/ершиков для очистки межзубных промежутков.
Опережаю вопрос про ирригатор, пожалуйста, вот ссылка на тред.
Если кратко, то он не работает так, как о этом заявляют. Поэтому мое личное мнение: идем мимо.
2. Обязательные осмотры у врача-стоматолога раз в 6 месяцев.
3. Запечатывание фиссур, но это актуально только детям и подросткам.
4. Избегание сухости во рту.
5. Никакого голодания и монодиет, а так же вегетарианства.
Что касается диет, вредных привычек и форм вегетарианства - это ваше тело, но с позиции врача-стоматолога я настоятельно рекомендую питаться сбалансированно, регулярно, и следить за гигиеной воды.
Если кратко. Кариес развивается долго и при наличии плохой гигиены. Лечится быстро и безболезненно. Его реально избежать при идеальной гигиене полости рта.
Большое спасибо, что смогли дочитать до конца, поставили лайк и сделали ретвит!
Твиттер, вы лучшие!)
Теперь вы знаете немного больше о кариесе и о том, как его избежать.
Здоровых и искренних вам улыбок!

• • •

Missing some Tweet in this thread? You can try to force a refresh
 

Keep Current with Сергей

Сергей Profile picture

Stay in touch and get notified when new unrolls are available from this author!

Read all threads

This Thread may be Removed Anytime!

PDF

Twitter may remove this content at anytime! Save it as PDF for later use!

Try unrolling a thread yourself!

how to unroll video
  1. Follow @ThreadReaderApp to mention us!

  2. From a Twitter thread mention us with a keyword "unroll"
@threadreaderapp unroll

Practice here first or read more on our help page!

More from @SerGo_o

Jan 6, 2024
Зуб, который приговорили к удалению несколько стоматологов до меня, а так же решили удалить нерв за компанию у здорового зуба.
Сложная и немного запутанная история(нет)
Пациент решился на брекеты, но перед ними необходима санация полости рта и дошел до меня.


Image
Image
Image
Image
Зуб 22,значительное воспаление, необычная форма канала, постоянный свищевой ход и болезненность
Удалить боковой резец без попытки реэндо-это точно последнее, что необходимо делать. Имплантация в этой области крайне сложное мероприятие, особенно по розовой эстетике(красивой десне)

Image
Пациенту уже удалили нерв у зуба 23(соседний клык) почему-то доктор решил, что надо срочно спасать этот зуб пока не поздно, не понимаю почему и зачем, но вот срочно, удОооооляем нерв!
А 22 не трогаем, там только удаление.

Image
Image
Image
Read 13 tweets
Jun 26, 2021
Тред "Бруксизм".
Зачем и почему вы скрипите зубами, что от этого бывает и как от этого уйти. Разомкните зубы на 2-4мм и усаживайтесь поудобнее в спокойной атмосфере)
Бруксизм или скрежет, стискивание зубов - это одна из парафункций организма, чаще всего психосоматической природы, иногда как итог неполноценного лечения, но чаще всего - все в комплексе.
Бруксизм схож с выгрызанием ногтей, хрустом пальцев, вырыванием волос, кусанием губ и щек. Это вариация самодеструкции на фоне физико-эмоциональных перегрузок, которые характерны практически для каждого жителя планеты.
Read 38 tweets
May 1, 2021
Зубные пасты - ТРЕД. Как выбрать, на что обратить внимание, какой состав и какой цены должна быть паста, в чем ее главная функция. И вообще, максимально полный тред о борьбе с кариозными монстрами. Улыбнулись широко и поехали!
N.B.1 Прежде, чем начать, я предупреждаю, что в данном треде максимально уйду от брендов. Я постараюсь дать общую информацию, благодаря которой вы сможете проанализировать свою пасту.
N.B.2 функция зубной пасты - это вспомогательная визуализация процесса чистки зубов, а так же повышение ее эффективности за счёт активных компонентов, но главное, что вы должны понимать - это то, как вы чистите свои зубы, а не чем.
Read 44 tweets
Jan 23, 2021
Тред «ФТОР» Отрава или польза?
Постараюсь объяснить, когда фтор на самом деле вреден, а когда полезен, и рассказать про его функцию в пастах, ополаскивателях и у врача-стоматолога. Посмотрите на вашу зубную пасту и настройтесь на небольшое чтиво.
*Под редакцией @julia_lanskaya
Фтор – самый активный неметалл. В нормальных условиях это бледно-желтый газ, чрезвычайно токсичный и являющийся сильнейшим окислителем. Но всё ли так однозначно?
Токсичность = исключить? Конечно, нет. Я не открою вам тайну вселенского масштаба, если скажу, что и у воды есть смертельная доза?
Read 41 tweets
Dec 12, 2020
"Как чистить зубы" ТРЕД
Очень простой и долгожданный тред. Возможно, многие из вас все делают правильно, но проверить себя не помешает. Просто улыбнитесь и начинаем.
Под редакцией @jul_iss Image
Просто запомните золотой стандарт чистки зубов – это 3 минуты утром и вечером, с использованием зубной щетки средней жесткости и зубной нити/ершиков. Все остальные манипуляции на ваше усмотрение. Image
Почему именно 3 минуты? В идеале у нас 28-32 зуба, и у каждого зуба 5 поверхностей, а теперь просто приблизительно прикиньте площадь зубов, которую вы должны прочистить. Image
Read 40 tweets
Aug 29, 2020
Вы спросите, а как же вот у врача-стоматолога мне поливают зубы водой и все реально супер очищается. Да, так и есть, вот только если это Air-flow – это сильная струя воды с абразивным компонентом, которым ни в коем случае десна не задевается. Image
А Vector так же содержит минимально абразивный компонент с водой и определенные углы работы, и обязательно осуществляется после механической обработки ультразвуком и кюретами поверхности корня. Image
Главное в чистке зубов – это правильная техника с зубной щеткой, зубной нитью/ершиками, а всеостальное полоскание, пенки, ирригатор - на ваше усмотрение.
Read 4 tweets

Did Thread Reader help you today?

Support us! We are indie developers!


This site is made by just two indie developers on a laptop doing marketing, support and development! Read more about the story.

Become a Premium Member ($3/month or $30/year) and get exclusive features!

Become Premium

Don't want to be a Premium member but still want to support us?

Make a small donation by buying us coffee ($5) or help with server cost ($10)

Donate via Paypal

Or Donate anonymously using crypto!

Ethereum

0xfe58350B80634f60Fa6Dc149a72b4DFbc17D341E copy

Bitcoin

3ATGMxNzCUFzxpMCHL5sWSt4DVtS8UqXpi copy

Thank you for your support!

Follow Us!

:(