emily wilder Profile picture
Jul 8 6 tweets 3 min read
‘It’s scary in there’: Detainees, their families, attorneys, county officials and medical staff have complained of inadequate healthcare and dire under-staffing at the Sonoma County jail. I investigated for @NorthBayNews
pressdemocrat.com/article/news/i…
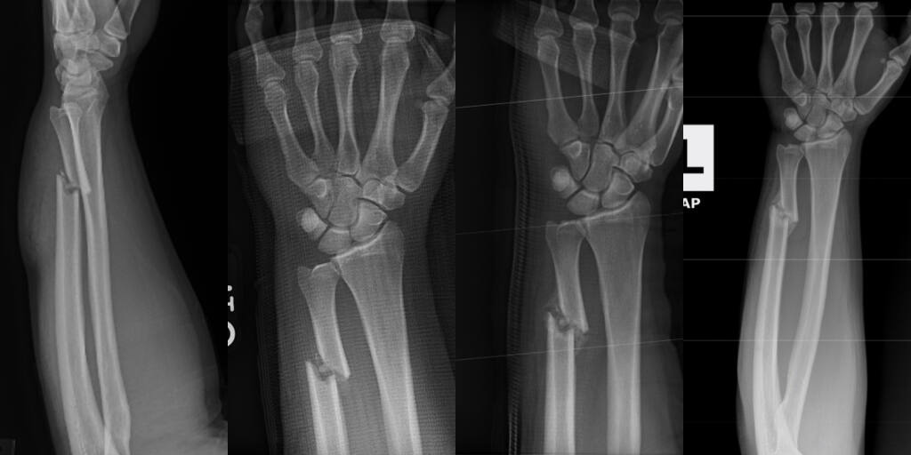
Freddy Busio Gonzalez broke his ulna days before he was booked in Jan. The sheriff says he has seen a doctor over his 5 months in custody, but Freddy says treatment has consisted of a gutter splint — since limited to Motrin, ice packs and an Ace bandage. 📸: @BethSchlanker a series of X-rays showing the progression of Freddy Busio GRosa Busio Garcia and her son Michael Busio Gonzalez hold a
Rocky Lozano has a painful mass growing under his ear, and it’s starting to impact his ability to swallow and hear. He fears it’s cancerous but can’t get a biopsy. He says jail staff have told him, “If you end up going to prison, you can take care of it there.”
Jail nurses say working conditions make it difficult or impossible to provide timely care. Wellpath, the medical contractor, has left vacant a 1/3 of the positions it is contracted to fill. Some nurses recounted times they were the only nurse on duty for a 600-1,000 detainees.
“Prisoners have a constitutional right to receive competent medical care: ‘deliberate indifference to serious medical needs of prisoners’ violates the Eighth Amendment’s prohibition of cruel and unusual punishment," the county watchdog says. Read more: pressdemocrat.com/article/news/i…
I'm proud of this one and grateful people came forward with their stories. Read how we @NorthBayNews did it: pressdemocrat.com/article/news/h…

• • •

Missing some Tweet in this thread? You can try to force a refresh
 

Keep Current with emily wilder

emily wilder Profile picture

Stay in touch and get notified when new unrolls are available from this author!

Read all threads

This Thread may be Removed Anytime!

PDF

Twitter may remove this content at anytime! Save it as PDF for later use!

Try unrolling a thread yourself!

how to unroll video
  1. Follow @ThreadReaderApp to mention us!

  2. From a Twitter thread mention us with a keyword "unroll"
@threadreaderapp unroll

Practice here first or read more on our help page!

Did Thread Reader help you today?

Support us! We are indie developers!


This site is made by just two indie developers on a laptop doing marketing, support and development! Read more about the story.

Become a Premium Member ($3/month or $30/year) and get exclusive features!

Become Premium

Don't want to be a Premium member but still want to support us?

Make a small donation by buying us coffee ($5) or help with server cost ($10)

Donate via Paypal

Or Donate anonymously using crypto!

Ethereum

0xfe58350B80634f60Fa6Dc149a72b4DFbc17D341E copy

Bitcoin

3ATGMxNzCUFzxpMCHL5sWSt4DVtS8UqXpi copy

Thank you for your support!

Follow Us on Twitter!

:(