Rafael González @EdataMous nos habla de #InteligenciaArtificial aplicada al #dolor ¡Espectacular para comenzar el día! #SEDValencia22 Image
Mediante #InteligenciaArtificial ya es posible detectar cambios que se producen en el RNA existente en el ganglio de la raíz dorsal en paciente con #DolorCrónico. #SEDValencia22 Image
En pacientes que no pueden informar del #dolor, como en bebés, es fundamental desarrollar estrategias que nos permita detectar ese dolor, y la #InteligenciaArtificial ya lo está haciendo.
#SEDValencia22 Image
La #InteligenciaArtificial es capaz identificar patrones de movimiento, gestos, etc., que permite identificar situaciones de #dolor. #SEDValencia22

• • •

Missing some Tweet in this thread? You can try to force a refresh
 

Keep Current with Pasión por la Anatomía

Pasión por la Anatomía Profile picture

Stay in touch and get notified when new unrolls are available from this author!

Read all threads

This Thread may be Removed Anytime!

PDF

Twitter may remove this content at anytime! Save it as PDF for later use!

Try unrolling a thread yourself!

how to unroll video
  1. Follow @ThreadReaderApp to mention us!

  2. From a Twitter thread mention us with a keyword "unroll"
@threadreaderapp unroll

Practice here first or read more on our help page!

More from @PasionAnatomia

Oct 28
Comenzamos la sesión de tarde con actualización en #SistemaInmune y #Dolor #SEDValencia22 🪡⤵️ Image
📌 Mª Carmen Ruiz Cantero, @pharmaofpain, nos habla sobre el papel de los #macrófagos y #dolor ¿new kids on the block? Image
📌 Sara González de @IDiBE_UMH: #SistemaInmune, ¿friend or foe? Image
Read 4 tweets
Oct 27
Seguimos con Héctor Beltrán @ProfHectorBA y la #RealidadVirtual para huir de la realidad dolorosa…
¡A por ello! 👏🧵⤵️
#SEDValencia22 Image
Y en este campo definir conceptos no es nada fácil: #RealidadVirtual, #RealidadAumentada, #RealidadMixta#SEDValencia22 Image
Todo esto parece muy nuevo, pero ya en 1968 😱⤵️

#SEDValencia22
Read 11 tweets
Oct 23
Hoy vemos el desarrollo de la articulación #talocrural  (#tobillo) en una niña 🧵⤵️
👧 3 años
👧 5 años
👧 13 años
Read 4 tweets
Oct 1
El punto de intersección entre la #SuturaCoronal (frontoparietal) y la #SuturaSagital (interparietal) es el punto #Bregma. Os cuento algo más sobre él 🧵⤵️
Durante el desarrollo del #cráneo, en las zonas en las que se unen varios huesos quedan definidas seis grandes áreas fibrosas que se denominan #fontanelas. En el punto bregma se sitúa la #FontanelaAnterior (*️⃣ en la imagen) que es la más extensa de todas.
Estas fontanelas resultan fundamentales en la adaptación de la cabeza del feto a la presión en el canal del parto. Después del nacimiento las fontanelas se van cerrando. La FontanelaAnterior es la última en cerrarse y lo hace al final del segundo año.
Read 4 tweets
Sep 20
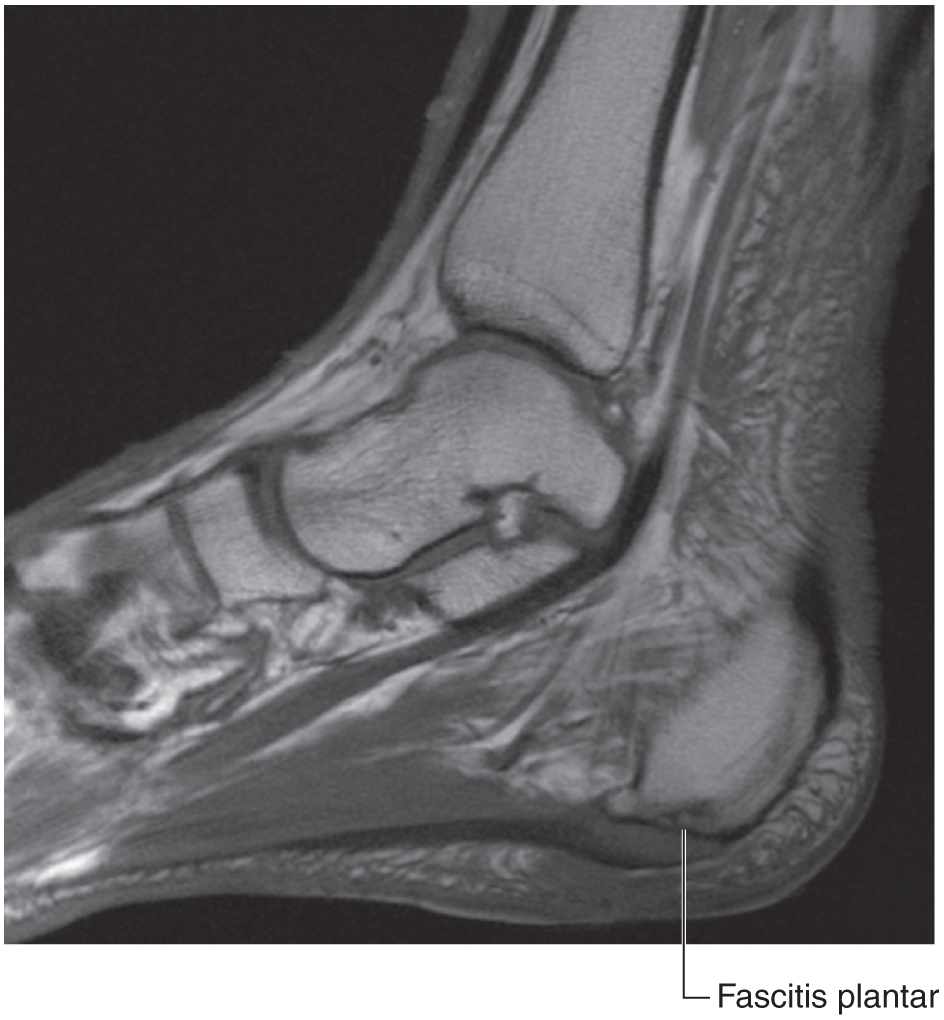
¿Habéis tenido alguna vez una #FascitisPlantar? Os cuento qué estructura está afectada 🧵⤵️
La #AponeurosisPlantar es un engrosamiento de la fascia profunda en la planta del pie. Desde la tuberosidad del calcáneo se extiende hacia delante en forma de banda gruesa de fibras de tejido conjuntivo, dispuestas en sentido longitudinal.
Actividades como correr o el aumento de peso corporal pueden provocar microdesgarros y degeneración de la aponeurosis en el talón, con desorganización de las fibras de colágeno. Los pacientes presentan dolor en el talón, que aparece engrosado en las imágenes diagnósticas.
Read 4 tweets
Aug 14
Un #AccidenteCerebrovascular (#ACV) o #ictus es una interrupción del flujo sanguíneo (arterial o venoso) del #encéfalo.
Os cuento más sobre ellos.
Mini🧵⤵️
Pueden ser ⤵️
📌 Isquémicos: por bloqueo del vaso (aprox. 85%). A menudo se deben a émbolos originados en placas de ateroma de las arterias carótidas que se desprenden y terminan obstruyendo vasos intracraneales de menor diámetro
📌 Hemorrágicos: por ruptura de un vaso ( aprox. 15%)
Read 7 tweets

Did Thread Reader help you today?

Support us! We are indie developers!


This site is made by just two indie developers on a laptop doing marketing, support and development! Read more about the story.

Become a Premium Member ($3/month or $30/year) and get exclusive features!

Become Premium

Don't want to be a Premium member but still want to support us?

Make a small donation by buying us coffee ($5) or help with server cost ($10)

Donate via Paypal

Or Donate anonymously using crypto!

Ethereum

0xfe58350B80634f60Fa6Dc149a72b4DFbc17D341E copy

Bitcoin

3ATGMxNzCUFzxpMCHL5sWSt4DVtS8UqXpi copy

Thank you for your support!

Follow Us on Twitter!

:(