Sthanu Profile picture
Jan 5 7 tweets 2 min read
Diagnosis?
An otherwise healthy 45-year-old man

👉 4-week history of nonpainful discoloration of the maxillary gingiva

👉 no history of pigmented skin lesions
Intraoral examination showed areas of the gingiva that were black

👉 lesion was a pigmented macule, 1.5 cm by 4 cm in greatest dimension, with asymmetric and irregular borders and colors.
Histopathological examination revealed an infiltrating lentiginous melanoma
♦️

👉Oral melanoma is a rare neoplasm

👉 exposure to the sun is clearly linked to cutaneous melanoma

👉but is not clearly associated with oral melanoma
👉 underwent partial maxillectomy with 2-cm margins

👉 declined adjuvant radiotherapy and chemotherapy

**

No pathologic lymph nodes were found.
At follow-up 6 months after surgery, there were no signs of tumor recurrence.

♦️♦️

Gingival Melanoma

nejm.org/doi/full/10.10…
Differential diagnosis of pigmented lesions in the mouth, including characteristic features that help in diagnosis

researchgate.net/figure/Differe…

• • •

Missing some Tweet in this thread? You can try to force a refresh
 

Keep Current with Sthanu

Sthanu Profile picture

Stay in touch and get notified when new unrolls are available from this author!

Read all threads

This Thread may be Removed Anytime!

PDF

Twitter may remove this content at anytime! Save it as PDF for later use!

Try unrolling a thread yourself!

how to unroll video
  1. Follow @ThreadReaderApp to mention us!

  2. From a Twitter thread mention us with a keyword "unroll"
@threadreaderapp unroll

Practice here first or read more on our help page!

More from @Sthanu5

Jan 6
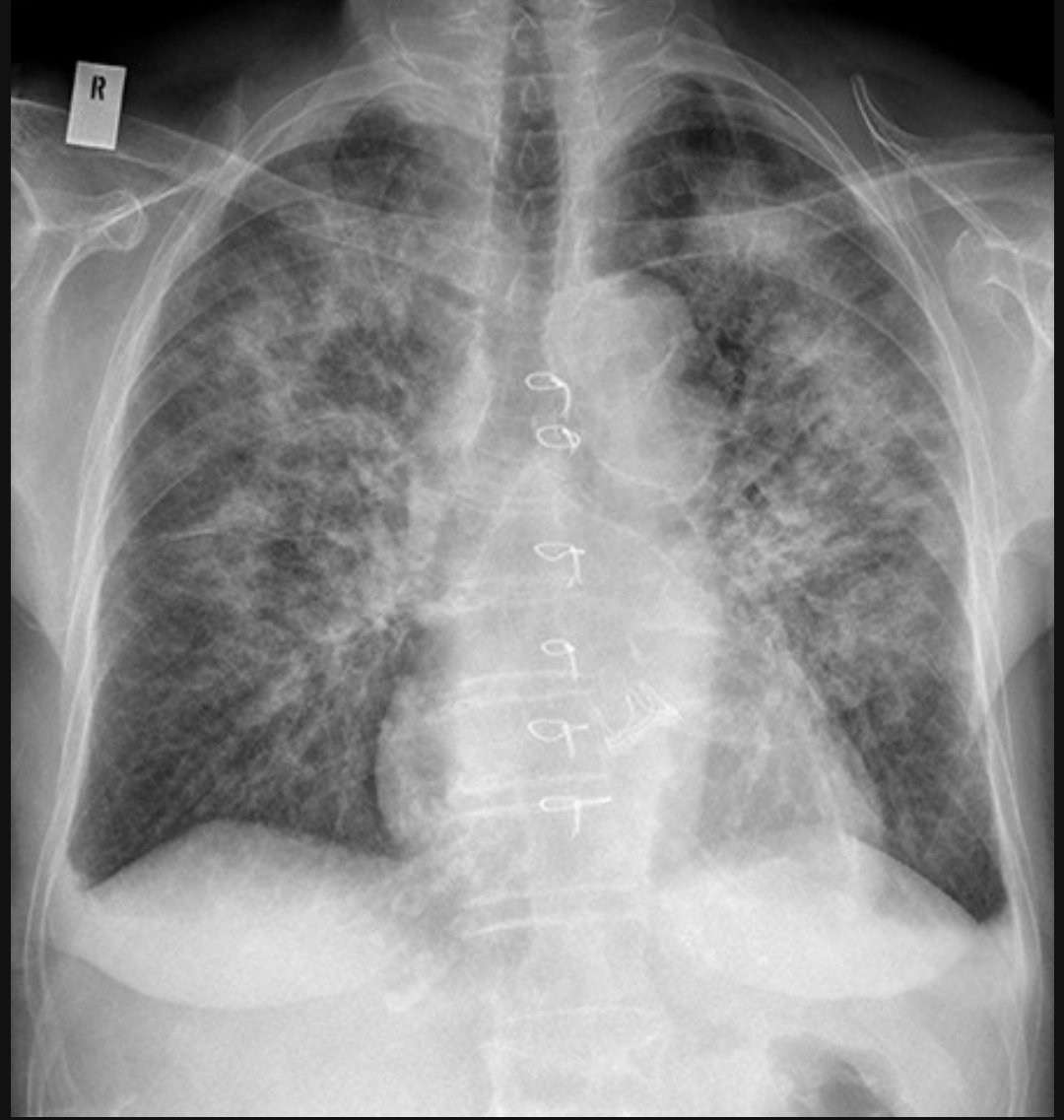
Acute shortness of breath....

Diagnosis? Image
Alveolar oedema - Bat's wing pattern

Alveolar oedema is caused by fluid leaking from the interstitial tissues into the alveoli and small airways, and manifests as airspace shadowing (consolidation)
In the context of acute pulmonary oedema, alveolar oedema radiates symmetrically from the hilar regions in a ‘bat's wing’ distribution of airspace shadowing Image
Read 7 tweets
Jan 6
Q: What is the goal of plasma osmolality with mannitol therapy during the management of intracranial hemorrhage (ICH)? Image
Answer: 300 to 310 mosmol/kg

Mannitol continues to be the mainstay of treatment in acute management of ICH to quickly and effectively lowers Intracranial Pressure (ICP) Image
But few basic tenets should be kept in mind.

Firstly, the goal of mannitol therapy in ICH is to achieve plasma hyperosmolality to 300-310 mosmol/kg. Image
Read 6 tweets
Jan 6
A 59-year-old man with metastatic colon cancer

👉 10-wk h/o painless and nonpruritic skin lesions

👉coalescing around a large abdominal scar from a hemicolectomy performed 3 years earlier

What is the diagnosis? Image
👉 referred to the dermatology clinic for a possible case of shingles

👉 A subsequent liver resection and cholecystectomy had also been performed through this incision.
👉 the lesions were firm, pink to violaceous in color,

👉 vesicular-appearing;

👉the presence of ascites was also evident
Read 9 tweets
Jan 5
Abdominal pain, abdominal distension and vomiting.

What is this sign? Image
Caecal volvulus - 'Caecal embryo' sign

The caecum is grossly dilated and is not located in the RIF which is occupied by small bowel. Image
Caecal volvulus

👉 the dilated caecum takes on a shape similar to a mammalian embryo.

That is, the formation of a large dilated caecal pole (head), with one or two further 'segments' (body and tail)
Read 6 tweets
Jan 5
A “shake and bake reaction” is a response to the administration of which of these drugs?

Flucytosine
Ketoconazole
Amphotericin B
Caspofungin Image
An infusion-related reaction known as “shake and bake” can occur shortly after administration of amphotericin B; a potent antifungal agent. Image
“Shake” refers to shivers and “bake” refers to fever. Image
Read 5 tweets
Jan 4
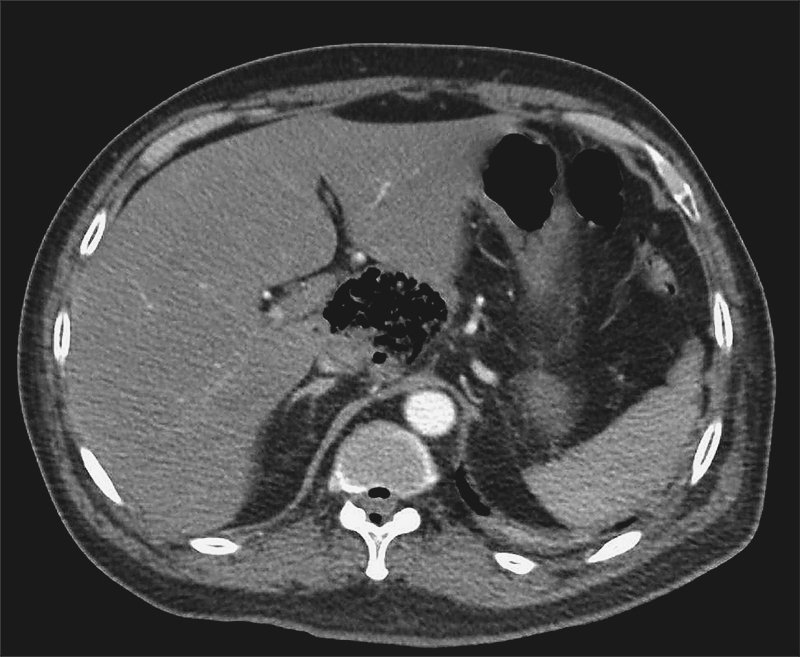
What is the diagnosis in this patient who presented with high fever? Image
A 60-year-old man of Burmese origin

👉 severe back pain that had lasted 1 week.

👉 fever (39.8°C) and hyperglycemia but had not received a diagnosis of diabetes previously.
Computed tomography of the abdomen reveals a gas-forming infection in the caudate lobe of the liver.

Cultures of material from percutaneous drainage of the liver abscess all grew Klebsiella pneumoniae. Image
Read 7 tweets

Did Thread Reader help you today?

Support us! We are indie developers!


This site is made by just two indie developers on a laptop doing marketing, support and development! Read more about the story.

Become a Premium Member ($3/month or $30/year) and get exclusive features!

Become Premium

Don't want to be a Premium member but still want to support us?

Make a small donation by buying us coffee ($5) or help with server cost ($10)

Donate via Paypal

Or Donate anonymously using crypto!

Ethereum

0xfe58350B80634f60Fa6Dc149a72b4DFbc17D341E copy

Bitcoin

3ATGMxNzCUFzxpMCHL5sWSt4DVtS8UqXpi copy

Thank you for your support!

Follow Us on Twitter!

:(