Sthanu Profile picture
Jan 18 7 tweets 2 min read
40 years old man with knee pain.

Long history of bodybuilding

What is the sign?
Patellar tooth sign of degenerative enthesopathy

Vertical ridging of the osteophytes at the anterior surface of the patella can resemble dentate structure (tooth sign)

It is consistent with an enthesopathy related to stress at the attachement of quadriceps.
Patella tooth sign

vertical ridging of the patellar insertion of the quadriceps tendon which can resemble a dentate structure, i.e. "tooth" sign.
frequent finding with degenerative disease

degenerative enthesophyte formation on superior aspect of patella (site of insertion of the quadriceps tendon) as seen on axial or skyline (sunrise) view
seen as saw-tooth projections:

best seen on axial or skyline view of patella on its superior and anterior surface
Patella tooth sign

• • •

Missing some Tweet in this thread? You can try to force a refresh
 

Keep Current with Sthanu

Sthanu Profile picture

Stay in touch and get notified when new unrolls are available from this author!

Read all threads

This Thread may be Removed Anytime!

PDF

Twitter may remove this content at anytime! Save it as PDF for later use!

Try unrolling a thread yourself!

how to unroll video
  1. Follow @ThreadReaderApp to mention us!

  2. From a Twitter thread mention us with a keyword "unroll"
@threadreaderapp unroll

Practice here first or read more on our help page!

More from @Sthanu5

Jan 20
A previously healthy 8-year-old boy

👉2-week history of painless swelling of the right lower eyelid Image
👉 examination, the swelling was found to be present during primary gaze (Panel A) but reduced during downward gaze (see video)
👉 fixed mass measuring 1.5 cm by 2.5 cm was palpable within the eyelid

👉when the right eye was opened, erythematous subconjunctival tissue was seen protruding from under the lower eyelid (Panel B). Image
Read 8 tweets
Jan 19
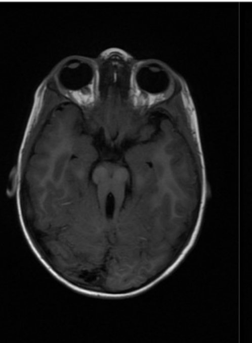
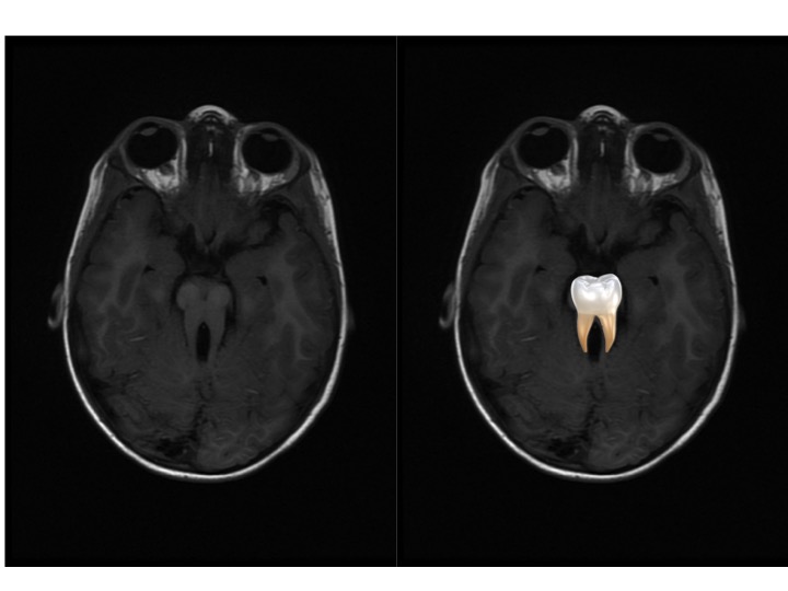
Hypotonia, abnormal eye movement, attacks of hyperpnea with tongue protrusion

Diagnosis? Image
Molar Tooth sign in a patient with Joubert Syndrome Image
Molar tooth sign

appearance of the midbrain in an axial section in which the elongated superior cerebellar peduncles give the midbrain an appearance reminiscent of a molar or wisdom tooth.
Read 7 tweets
Jan 19
A 37-year-old primigravid woman presented at 30 wks’ gest with a 4-month history of pruritic pustules on her torso, arms, and legs.

What is the most likely diagnosis? Image
👉 examination, there were papules, nodules, and follicular pustules with surrounding erythema, with no lesions on the palms and soles
👉 skin biopsy showed subepidermal pustules and perifollicular neutrophilic infiltration.

Gram’s stain, periodic acid–Schiff stain, and Grocott methenamine silver stain were all negative.
Read 10 tweets
Jan 19
Q: After how long PTT can be checked if Protamine is given for Heparin reversal? Image
Answer: About 5 - 15 minutes Image
It is recommended to check PTT in 6 hours again due to possibility of Heparin rebound phenomenon. Image
Read 5 tweets
Jan 19
Which of the following is most accurate regarding the presentation and physical examination of sepsis? Image
Answer:

In the early stages of sepsis, vasodilation may cause warm skin, especially in the extremities Image
In the early stages of sepsis, vasodilation may result in “warm shock,” including

warm skin, especially at the extremities

normal capillary refill

Fever is a common symptom, although immunosuppressed and elderly patients may not have a fever. Image
Read 8 tweets
Jan 18
An elderly lady presents to her doctor with a raised, round discoloured plaque, ‘stuck on appearance’ on her face. What skin condition is this?

Rubella

Seborrheic keratosis

Basal cell carcinoma

Melasma
Answer:

Seborrheic keratosis
Seborrheic keratosis is a benign squamous proliferation and is seen frequently in the elderly.
Read 6 tweets

Did Thread Reader help you today?

Support us! We are indie developers!


This site is made by just two indie developers on a laptop doing marketing, support and development! Read more about the story.

Become a Premium Member ($3/month or $30/year) and get exclusive features!

Become Premium

Don't want to be a Premium member but still want to support us?

Make a small donation by buying us coffee ($5) or help with server cost ($10)

Donate via Paypal

Or Donate anonymously using crypto!

Ethereum

0xfe58350B80634f60Fa6Dc149a72b4DFbc17D341E copy

Bitcoin

3ATGMxNzCUFzxpMCHL5sWSt4DVtS8UqXpi copy

Thank you for your support!

Follow Us on Twitter!

:(