Sthanu Profile picture
Feb 22 5 tweets 2 min read
What is this sign?
‘Thumb-printing sign’ on a plain abdominal film of a patient presenting with ulcerative colitis
Thumbprinting

large bowel wall thickening, usually caused by edema, related to an infective or inflammatory process (colitis).

The normal haustra become thickened at regular intervals appearing like thumbprints projecting into the aerated lumen.
Thumbprinting may be seen in:

inflammatory bowel disease

Crohn disease

ulcerative colitis

infection (i.e. pseudomembranous colitis)

ischemic bowel

diverticulitis

mucosal/submucosal hemorrhage

lymphoma

amyloid

typhlitis

• • •

Missing some Tweet in this thread? You can try to force a refresh
 

Keep Current with Sthanu

Sthanu Profile picture

Stay in touch and get notified when new unrolls are available from this author!

Read all threads

This Thread may be Removed Anytime!

PDF

Twitter may remove this content at anytime! Save it as PDF for later use!

Try unrolling a thread yourself!

how to unroll video
  1. Follow @ThreadReaderApp to mention us!

  2. From a Twitter thread mention us with a keyword "unroll"
@threadreaderapp unroll

Practice here first or read more on our help page!

More from @Sthanu5

Feb 23
An 11-year-old boy was brought to the emergency department with epistaxis and severe nasal pain.

What is the likely diagnosis?

Nasal polyps

Nasal septum fracture

Pills in the nasal cavity

Coins in the nasal cavity

Button magnets in the nasal cavity Image
Answer

Button magnets in the nasal cavity
Children commonly insert objects into body cavities.

The discovery of attracting magnets in the nasal cavity necessitates emergency removal because they can compress the mucosa of the nasal septum, leading to necrosis and septal perforation
Read 6 tweets
Feb 23
Which of the following drugs may cause bradyarrhythmias leading to syncope?

A.
Phenothiazines

B.
Loop diuretics

C.
Calcium channel blockers

D.
Tricyclic antidepressants Image
Answer: C:

Calcium channel blockers (not dihydropyridines). Image
Other drugs that can cause bradyarrhythmias include

beta-blockers

amiodarone

digoxin. Image
Read 6 tweets
Feb 23
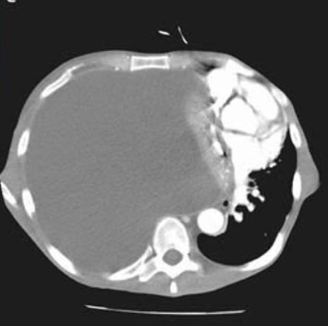
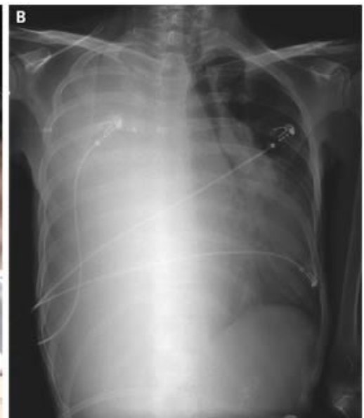
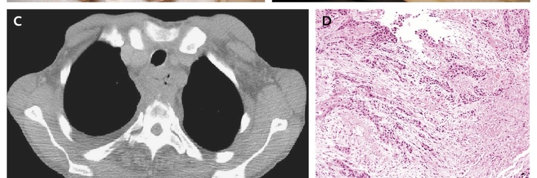
What is the diagnosis?

Cardiac tamponade

Tension hydrothorax

Diaphragmatic eventeration

Pulmonary hydatid disease

Lymphangiomyomatosis Image
Answer

Cardiac tamponade

Cardiac tamponade resolved after removal of 6 liters of pus from the right chest Image
A 43-year-old man

👉 respiratory distress after a 3-week illness

👉 h/o alcoholism but no other serious illness

👉 RR 34, HR 120 ,BP 80/50

👉oxygen saturation of 86% while breathing ambient air.
Read 13 tweets
Feb 22
What is the diagnosis?

Gastric volvulus

Ileal intussusception

Mesenteric ischemia

Ogilvie’s syndrome

Perforated viscus Image
Answer

Ogilvie’s syndrome
Most commonly identified diseases associated with acute colonic pseudo-obstruction

onlinelibrary.wiley.com/doi/full/10.10… Image
Read 6 tweets
Feb 22
Severe acute abdominal pain and a silent abdomen suggests which of the following?

A.
Peritonitis

B.
Appendicitis

C.
Renal colic

D.
Abdominal aortic aneurysm
Answer:

A: Peritonitis
Severe pain in a patient with a silent abdomen who is lying as still as possible suggests peritonitis
Read 5 tweets
Feb 22
What is the diagnosis?

Nephrogenic systemic sclerosis

Keratoderma

Poikiloderma

Punctate psoriasis

Verrucae
Answer

Keratoderma
*
The findings are consistent with palmoplantar keratoderma, consistent with tylosis
The patient was also diagnosed with squamous-cell carcinoma of the esophagus

👉 a combination of findings that is seen in patients with Howell-Evans syndrome.
Read 7 tweets

Did Thread Reader help you today?

Support us! We are indie developers!


This site is made by just two indie developers on a laptop doing marketing, support and development! Read more about the story.

Become a Premium Member ($3/month or $30/year) and get exclusive features!

Become Premium

Don't want to be a Premium member but still want to support us?

Make a small donation by buying us coffee ($5) or help with server cost ($10)

Donate via Paypal

Or Donate anonymously using crypto!

Ethereum

0xfe58350B80634f60Fa6Dc149a72b4DFbc17D341E copy

Bitcoin

3ATGMxNzCUFzxpMCHL5sWSt4DVtS8UqXpi copy

Thank you for your support!

Follow Us on Twitter!

:(