Aaron Boes Profile picture
Mar 15 10 tweets 4 min read
Is the wakefulness-promoting, consciousness-enabling influence of the brainstem left-lateralized in humans?
Seems unlikely, right? In 2016 we did a lesion study of coma and our results suggested a left lateralization to a dorsolateral pontine tegmentum arousal-promoting region.

This was a small enough sample I think we all assumed the apparent laterality could have been by chance.
Ever since this paper Joel Geerling (@geerling_lab) and I have been collecting brainstem lesion cases @uiowaneuro in search of counter evidence that would challenge this lateralization hypothesis.
A few years in now and I’d say we’ve seen more supportive evidence for the left lateralization of arousal circuitry in humans than we have any clear-cut cases of counter evidence. But this is with a huge caveat...
that coma from small brainstem lesions is exceptionally rare, and most coma-causing lesions cross the midline. It’s not really a question that is well-suited for a single site study… maybe better suited for the wide world of #neurotwitter to weigh in on.
What have you got neurotwitter - any insights on the topic? Any examples of right-sided focal brainstem lesions that cause coma and help lay the laterality issue to rest.
More to read here:
Excellent thread by @dbfisch on the 2016 brainstem lesion study.

Recent article from @geerling_lab on the epic century-long search for the elusive brainstem wakefulness-promoting circuitry

A Century Searching for the Neurons Necessary for Wakefulness ncbi.nlm.nih.gov/pmc/articles/P…
A potential counter example: Pt TG from @josef_parvizi & @damasiousc's excellent 2003 paper as a right-lateralized lesion reported to cause complete unresponsiveness for up to 2 hours per the outside hospital report. But on arrival to UIHC was opening eyes to command.
Neuroanatomical correlates of brainstem coma pubmed.ncbi.nlm.nih.gov/12805123/

• • •

Missing some Tweet in this thread? You can try to force a refresh
 

Keep Current with Aaron Boes

Aaron Boes Profile picture

Stay in touch and get notified when new unrolls are available from this author!

Read all threads

This Thread may be Removed Anytime!

PDF

Twitter may remove this content at anytime! Save it as PDF for later use!

Try unrolling a thread yourself!

how to unroll video
  1. Follow @ThreadReaderApp to mention us!

  2. From a Twitter thread mention us with a keyword "unroll"
@threadreaderapp unroll

Practice here first or read more on our help page!

More from @boeslab

Oct 4, 2022
@NickTrapp13 and our team evaluated depression symptoms in 526 people with focal brain lesions.

The 5 most important things we learned… 🧵 Image
1) Increased depression was seen after lesions of the insula –right insula was strongest association of anywhere in the brain.
2) DLPFC lesions were also associated with increased depression; we didn’t see the left-sided laterality sometimes reported.
Read 12 tweets
Sep 4, 2022
35 patients with precuneus lesions evaluated to date… here’s what we’re learning so far. 🧵
For context, part of the motivation for this line of research was to evaluate long-standing speculation that the precuneus has an important role in consciousness.

Is it warranted?
1st question: do people become unconscious with precuneus lesions? At lesion onset do they become comatose? Obtunded?
Read 11 tweets
Jul 31, 2022
This is an amazing story – Krista and Tatiana Hogan are conjoined twin sisters with distinct personalities and *mostly* separate brains that are linked by a ‘thalamic bridge.’ They can use it as a portal to access the other’s sensations and feelings. 👇
Tatiana doesn’t like ketchup and gets annoyed when Krista eats it because she will taste it too.

They can access visual information from the other's eyes and move the other’s limbs. Some modalities are apparently easier to access than others, with vision being more difficult.
If they get into a fight the sting of a punch will be felt by both.

Their parents believe wordless conversations flow through this bridge too.

So many questions.... Could one wake the other up using thoughts alone? Could one eavesdrop while the other dreams?
Read 4 tweets
May 24, 2022
The individual with this precuneus lesion experienced a dramatic change in how he perceived the passage of time after surgery of a glioma.

Minutes felt like hours… each time he would check his watch he’d be surprised how little time had passed. 👇 Image
A second person with a very similar lesion reported the same. There was a disorientation to time accompanied by a feeling like “time did not run.” It was even difficult to conceptualize what time was. Image
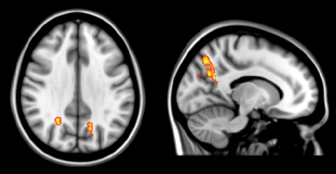
Meanwhile 5000 miles away in Iowa @jaxskye did a lesion study of time disorientation in >500 individuals and showed an association of damage to this area of the precuneus with chronic time disorientation, along with findings in MTL and visual association areas Image
Read 4 tweets

Did Thread Reader help you today?

Support us! We are indie developers!


This site is made by just two indie developers on a laptop doing marketing, support and development! Read more about the story.

Become a Premium Member ($3/month or $30/year) and get exclusive features!

Become Premium

Don't want to be a Premium member but still want to support us?

Make a small donation by buying us coffee ($5) or help with server cost ($10)

Donate via Paypal

Or Donate anonymously using crypto!

Ethereum

0xfe58350B80634f60Fa6Dc149a72b4DFbc17D341E copy

Bitcoin

3ATGMxNzCUFzxpMCHL5sWSt4DVtS8UqXpi copy

Thank you for your support!

Follow Us on Twitter!

:(