Sthanu Profile picture
Mar 21 5 tweets 1 min read
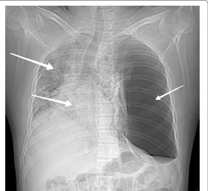
Can you 'dig deep' to spot the sign?

Diagnosis?
Deep sulcus sign

Pneumothorax.
On a supine chest Xray (common in ICUs or as part of a trauma Xray series), it may be the only suggestion of a pneumothorax

👉because air collects anteriorly and basally, within the non-dependent portions of the pleural space, as opposed to the apex when the patient is upright
Ddx

Patients with chronic obstructive pulmonary disease (COPD) may exhibit deepened lateral costophrenic angles due to hyperinflation of the lungs and cause a false deep sulcus sign.
Radiopedia

by Mostafa El-Feky

• • •

Missing some Tweet in this thread? You can try to force a refresh
 

Keep Current with Sthanu

Sthanu Profile picture

Stay in touch and get notified when new unrolls are available from this author!

Read all threads

This Thread may be Removed Anytime!

PDF

Twitter may remove this content at anytime! Save it as PDF for later use!

Try unrolling a thread yourself!

how to unroll video
  1. Follow @ThreadReaderApp to mention us!

  2. From a Twitter thread mention us with a keyword "unroll"
@threadreaderapp unroll

Practice here first or read more on our help page!

More from @Sthanu5

Mar 22
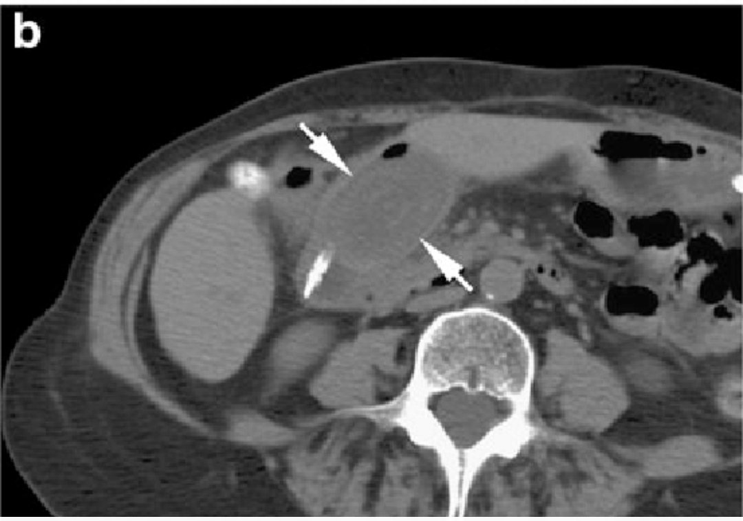
Bouveret syndrome in an elderly woman.

Abdominal radiograph (a) demonstrates

👉pneumobilia (curved arrow)

👉 gallbladder luminal gas (wavy arrow) secondary to a biliary-enteric fistula

👉 broad curve of the nasogastric tube (arrowheads) reflects gastric distension
CT image (b) demonstrates

👉a large gallstone (arrows) at the gastric outlet Image
Read 4 tweets
Mar 22
Which of these drug classes inhibits uric acid excretion and so increases the risk of gout attacks?

Glycoprotein IIb/IIIa antagonists

Nitrates

Loop diuretics

Macrolides Image
Loop diuretics – such as furosemide and bumetanide – inhibit uric acid excretion and so increase the possibility of acute gout attacks. Image
Which drug increases risk of gout?

Diuretics are one of the most important causes of secondary hyperuricaemia.

The use of loop diuretics, thiazide diuretics and thiazide-like diuretics was associated with an increased risk of incident gout Image
Read 6 tweets
Mar 22
Q: 56 years old male with history of chronic back pain

👉 admitted to ICU from the cardiac cath lab after stents for coronary artery disease (CAD).

(NSAIDs) should be avoided in patients with recent cardiac events...

A) True
B) False Image
Answer: A

NSAIDs are well known for their relative contra-indication in renal insufficiency or acute kidney injury (AKI) in ICU.

Unfortunately, their relative contra-indication in cardiac patients is not always as emphasized. Image
NSAIDs should be avoided in patients with established CAD due to two reasons.

1.These patients are usually on other anti-thrombotic drugs, such as aspirin or clopidogrel, which highly increases gastrointestinal (GI) bleeding risk. Image
Read 6 tweets
Mar 22
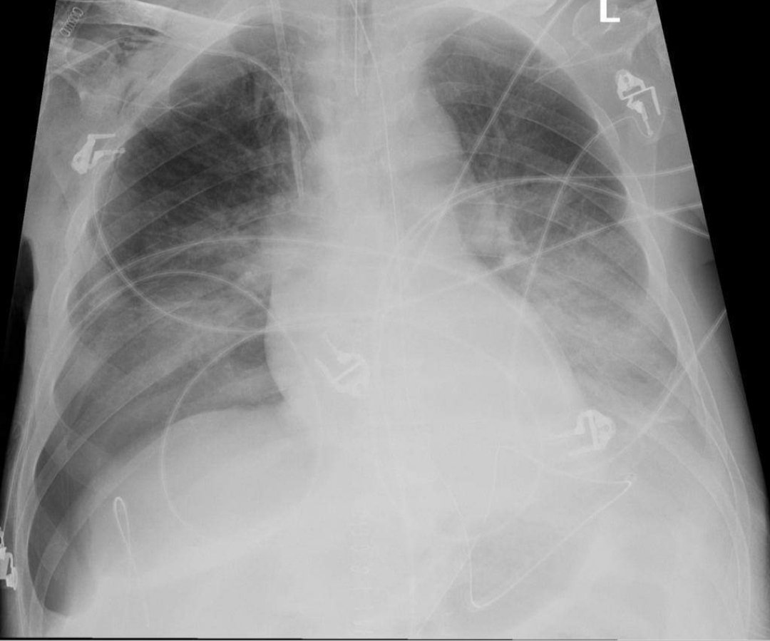
What is the diagnosis?

Chronic aortic dissection

Cirrhosis

Hypoplastic right heart syndrome

Superior vena caval obstruction

Transposition of the great vessels Image
Answer

Superior vena caval obstruction

👉 varices of the chest and abdominal wall caused by collateral circulation

👉associated with obstruction of the superior vena cava
Paraumbilical and abdominal-wall varices can complicate cirrhosis but do not typically extend to the chest wall
Read 10 tweets
Mar 20
A 34-year-old man was hospitalized for left laterothoracic pain.

👉 no prior medical history.

👉 revealed tympany on percussion of the left lung

Diagnosis?
Diagnosis

Giant compressive emphysema
👉 the chest X-ray at the patient's bed showed an alveolar syndrome of the right lung (arrow: right/up)

👉with right deviation of the mediastinum (arrow: right/down)

👉 clarity of the right lung except at the apex (arrow: left)
Read 4 tweets
Mar 20
A 31-year-old woman epistaxis 3 days.

👉platelet count of 10,000/microliter. 👉receives 6 units of platelets.

An hour later, her platelet count is 2,000/microliter.

Explanation?

A Splenomegaly

B Anti-HLA antibodies

C Septicemia

D Hemorrhage

E Single donor source Image
Answer

Anti-HLA antibodies
In patients exposed to multiple blood products, antibodies to HLA antigens may form.

Then, platelets must be collected by apheresis from an HLA-matched donor. Image
Read 6 tweets

Did Thread Reader help you today?

Support us! We are indie developers!


This site is made by just two indie developers on a laptop doing marketing, support and development! Read more about the story.

Become a Premium Member ($3/month or $30/year) and get exclusive features!

Become Premium

Don't want to be a Premium member but still want to support us?

Make a small donation by buying us coffee ($5) or help with server cost ($10)

Donate via Paypal

Or Donate anonymously using crypto!

Ethereum

0xfe58350B80634f60Fa6Dc149a72b4DFbc17D341E copy

Bitcoin

3ATGMxNzCUFzxpMCHL5sWSt4DVtS8UqXpi copy

Thank you for your support!

Follow Us on Twitter!

:(