Dr Paddy Barrett Profile picture
Feb 29 12 tweets 3 min read Read on X
A 20 mmHg increase in systolic blood pressure Doubles the risk of a fatal heart attack or stroke.

~ 50% of all adults have high blood pressure.

Most don't know they have high blood pressure.

Here is how you measure your own blood pressure.

📕Make Sure To Bookmark✅Image
Blood pressure measured in your doctors office

Is as close to useless as makes no difference.

It's pure theatre and rarely gives useful information.

You need to get multiple measurements at home.
You could get a 24 hour home blood pressure monitor

But I find these cumbersome

You have to go to the clinic to get them fitted & removed.

They cost a modest amount.

But do have some benefits.
I advise all my patients to take their blood pressure readings

At least 4 times per year.

Themselves.

At home.

Best to do this prior to any clinical review or after any blood pressure medication change.
Get a blood pressure cuff that goes over your upper arm.

Not one that goes over your wrist.

I am just not a fan & think the tech just isn't there yet.

The cuff doesn't have to be expensive.

Ideally can sync with your phone.
How to take your blood pressure.

First thing in the AM
After going to the toilet.
Seated with your back supported.
Feet flat on the floor
Legs uncrossed
BP cuff at the level of your heart.

Relax

Now take 3 measurements.

1 Min apart. Image
I give all my patients an Excel file they can enter their readings.

It ignores the first reading.

And averages the 2nd & 3rd.

Do this for 10 days in a row.

Average your daily readings.

That is your blood pressure. Image
Ideally do this in the evening time at the same time each day for 10 days.

But if you can only get AM readings

That's a million times better than getting a single reading in your doctor's office.
Now you know your blood pressure.

But what should it be?

For most people Low 120s systolic or below.

Diastolic ideally <80. Image
But please...

Do not take one reading in your doctor's office as your blood pressure.

To think this one reading in the setting of:
Bad coffee
Bad traffic
Bad parking
Running Late
Stressed

Is your blood pressure is just lunacy.

Get a BP cuff.

Use if correctly & often.
That's a wrap!

If you enjoyed this thread👋

You might like to join 19K+ others on my free weekly newsletter on heart disease prevention and living longer.

If so, just click my Bio above and follow the link.
If you like Tweets like this, you might enjoy my weekly newsletter.

Actionable content to help you prevent heart disease.

Join more than 19K other subscribers by checking out the link in my bio.
Have to do it this way. Blame Elon ;)

• • •

Missing some Tweet in this thread? You can try to force a refresh
 

Keep Current with Dr Paddy Barrett

Dr Paddy Barrett Profile picture

Stay in touch and get notified when new unrolls are available from this author!

Read all threads

This Thread may be Removed Anytime!

PDF

Twitter may remove this content at anytime! Save it as PDF for later use!

Try unrolling a thread yourself!

how to unroll video
  1. Follow @ThreadReaderApp to mention us!

  2. From a Twitter thread mention us with a keyword "unroll"
@threadreaderapp unroll

Practice here first or read more on our help page!

More from @Paddy_Barrett

Mar 1
Kids care less about what you say.

And more about what you do.

That is what they will copy about you.

🧵👇

/1 Image
Every time my 3-year-old has a fall, I say to him:

"Why do we fall?"

And I've gotten him to reliably respond:

"So we can learn to get back up".

He'll find out one day that I stole the line from Batman Begins but for now..

He thinks I came up with it.

/2
We all say things to our kids because we want to instil in them good values & habits.

But I've learned that telling them is just not enough.

Kids are really paying attention to...

What you do.

Not what you say.

/3
Read 14 tweets
Feb 28
As a cardiologist here is the mistake I see way too many people make when it comes to heart disease.

📕Make Sure To Bookmark✅

🧵👇

/1 Image
Most people only start to worry about cardiovascular risk later in life.

This is a bad idea.

When you look at the risk of having a heart attack

It is true that the older you are, the greater the odds of having a heart attack.

But this graph is very misleading.

/2 Image
While only 1-2% of those having a heart attack are less than 65 years of age

1-2% of this very large number means a LOT of heart attacks.

Over half of all heart attacks in males & ~ 30% in females happen at younger than 65 years of age.

/3 Image
Read 21 tweets
Feb 25
As a cardiologist, here are 5 things

I think every 30 to 50-year-old should know about preventing heart disease. Image
1. Heart Disease Starts Way Earlier Than You Think.

Over half of all adults over 30

Will have early signs of heart disease when their arteries are examined using ultrasound.

The likelihood of this increases when more risk factors are present. Image
2. Heart Attacks Are Not Just An Issue For Older People

More than 50% of all heart attacks happen at younger than 65 years of age in males.

About 30% for females.

Heart disease starts early. For some, it results in a heart attack. Image
Read 8 tweets
Feb 24
As a Cardiologist Who Has Reported on 1000's of Cardiac CT Scans

Here Are 5 Things I Wish Everyone Knew About Them

To Maximally Reduce Their Future Risk Of A Heart Attack. Image
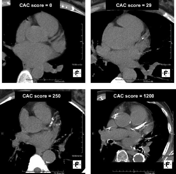
1. A CT Coronary Calcium (CAC) Score of 0

Suggests a VERY LOW RISK of a heart attack over the next 10 years.

About 2-3%.

Thats amazing.

If you are 70.

But if you are 40

You have MANY more 10-year blocks ahead of you, so you need to keep that in mind. Image
2. A CAC Score Of Even 1 At

Under 55 For Males or
Under 65 For Females

Means you are accumulating plaque earlier than an age matched average peer.

Your NEAR term risk is not high but you are pulling it forward.

Always ASK what percentile your score is. Image
Read 7 tweets
Feb 23
Having an elevated Lp(a) increases your risk of heart disease.

There are no currently approved therapies to Lp(a).

But that doesn't mean you cannot lower your risk.

Here's how

🧵👇

/1 Image
If you have an early family of heart disease, you need to assess your Lp(a) levels.

Elevated Lp(a) is one of the most common genetic reasons people develop early heart disease.

It is super common.

In some populations, 20 - 30% of people have elevated levels of Lp(a).

/2
But here’s the problem.

Most people don’t know about it.

Most doctors, even cardiologists, don’t test for it.

There is at least a one in five chance I am taking about YOU.

There is a 100% chance I am talking about someone you know.

/3
Read 23 tweets
Feb 18
A High V02 Max is one of the best predictors of longevity.

Oskar Svendsen, a Norwegian cyclist, topped out at 97 ml/kg/min.

Insane.

But V02 Max results of 20 times higher have been recorded.

Sounds crazy, right? But it's true.

📕 Make Sure To Bookmark ✅

🧵👇

/1 Image
The average untrained male has a V02 Max of 45.

For females, it is 38.

In your 20's having a V02 Max > 50 - 55

Will put you in the top 2.3% of the population.

But world-class athletes routinely have V02 Max figures north of 80 for Males and 70 for Females.

But >100??

/2 Image
To get to the >100 range, we need to change Kingdom.

Mice swimming with added weights have been clocked at 140 ml/kg/min.

We've finally broken the 100 mark.

But can we go higher? Yep.

Much higher.

/3 Image
Read 12 tweets

Did Thread Reader help you today?

Support us! We are indie developers!


This site is made by just two indie developers on a laptop doing marketing, support and development! Read more about the story.

Become a Premium Member ($3/month or $30/year) and get exclusive features!

Become Premium

Don't want to be a Premium member but still want to support us?

Make a small donation by buying us coffee ($5) or help with server cost ($10)

Donate via Paypal

Or Donate anonymously using crypto!

Ethereum

0xfe58350B80634f60Fa6Dc149a72b4DFbc17D341E copy

Bitcoin

3ATGMxNzCUFzxpMCHL5sWSt4DVtS8UqXpi copy

Thank you for your support!

Follow Us!

:(