views
NoSoyHeimdall NN Profile picture
Mar 17 20 tweets 8 min read Read on X
Hablemos de la íntima, diría que hasta directa, relación entre la industria de la pornografía y los j's.

Enumeraré los más destacados, su papel e importancia de cada uno de ellos en este ámbito, que por supuesto, tiene una meta concreta y es la de degenerar y contaminar.

Image
Image
Image
Reuben Sturman, apodado como el "Walt Disney de la pornografía", es el pornógrafo más reconocido de la época de posguerra. Para finales de 1960, Sturman era el mayor distribuidor de revistas para adultos de EEUU.
Image
Image
Según el departamento de justicia de los EEUU controlaba la mayor parte de la pornografía que circulaba por el país. Image
Seguimos con Al Goldstein, otro "pionero" pornógrafo, editor de la revista "Screw".

En sus propias palabras, sus motivaciones para estar en ese mundo eran: "La única razón por la que los j's estamos en la pornografía, es porque creemos que Jesús apesta. El catolicismo apesta...
Image
Image
"Nosotros no creemos en el autoritarismo, por eso la pornografía se convierte en una manera de profanar la cultura cristiana y, mientras penetra en el corazón de la corriente estadounidense, se hace más cargada. Yo creo en mí, yo soy Dios, a la mierda Dios....
Dios es tu necesidad de creer en algún ser supremo. Yo soy ese ser supremo, yo soy tu Dios, admítelo".

Una declaración de intenciones dejando claro su odio por nosotros, su supremacía de "pueblo elegido" con unos tintes de teoría liberal de Aynd Rand con lo del "superhombre". Image
Seth Warshavsky, se le atribuye ser el "pionero" de la industria pornográfica en internet, y fundador de "Internet Entertainment Group".

A finales de los 90's, llamó la atención de los medios, controlados por ellos, los cuales lo convirtieron en la cara visible del porno online

Image
Image
Image
Steven Hirsch copresidente y fundador de la compañía de pornografía "Vivid Entertainment", la cual es considerada la compañía pornográfica más importante del mundo.
Image
Image
Paul Fishbein, Irv Slifkin y Barry Rosenblatt fundaron la revista AVN en 1983.

Ésta cubre la industria de videos pornográficos estadounidense.

El New York Times señaló que AVN es a las películas pornográficas lo que el Billboard a la música.

Image
Image
Image
Hay muchos más, como el mayor accionista de onlyfans, Leo Radvinsky, John Stagliano "Evil Ángel Studios", Phil Harvey "Adán y Eva", Winston de "XRCO", David Friedman, Gary Kremer, William Margold o Bruce Jay Friedman.

Esto es sólo la punta del Iceberg, podéis buscar más. Image
Aquí tenéis el enlace a una noticia donde son ellos mismos los que la escriben, por aquello del "antisemitismo".

timesofisrael.com/7-of-the-most-…
Parece bastante obvio que la motivación detrás, además del obvio beneficio económico, es más ideológica y es ese odio hacia la cultura occidental cristiana y a los blancos, lo cual quieren subvertir, contaminar y erradicar.
El Dr, Nathan Abrams ya habló de esto en un ensayo en donde dice "El porno es un odio atávico a la autoridad cristiana. Están intentando debilitar la cultura dominante en los EEUU, por medio de la subversión moral". Image
Esta afirmación queda respaldada por E. Michael Jones, en la revista "Guerras culturales" de Mayo de 2003, en la que entrevista a una persona de adentro, quién le dijo: "Los principales actores masculinos a través de los 80's venían de una educación judía secular... Image
Y las actrices de escuelas diurnas romano-catolicas. El escenario porno estándar se convirtió, como resultado, en una fantasía judía de follar a la shiksa católica".

Shiksa es un término despectivo para referirse a una mujer no j.

fathomjournal.org/the-lust-libel…
Así pues, varios autores están de acuerdo en que las motivaciones de la participación j en la industria pornográfica, son odio subyacente a la sociedad blanca cristiana, e incluso un sentimiento de superioridad y degradación a las mujeres occidentales.
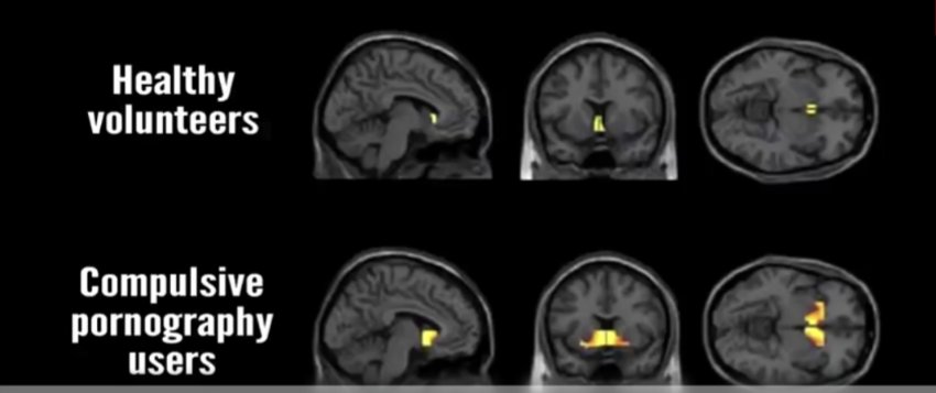
A nivel psicológico y mental, hay muchísimos estudios que concluyen que la pornografía no es algo baladí, sino que afecta de forma grave al cerebro humano provocando adictos, al igual que la droga, y haciéndoles "yonkis" con cada vez más necesidad de aumentar su dosis lo que
Irremediablemente lleva a cada vez más y más degeneración.
Image
Image
Alejaos del porno, hay un mundo mucho más rico y que de verdad ayuda a nuestro crecimiento personal fuera de ello, no les deis esa satisfacción.

@threadreaderapp unroll please

• • •

Missing some Tweet in this thread? You can try to force a refresh
 

Keep Current with NoSoyHeimdall NN

NoSoyHeimdall NN Profile picture

Stay in touch and get notified when new unrolls are available from this author!

Read all threads

This Thread may be Removed Anytime!

PDF

Twitter may remove this content at anytime! Save it as PDF for later use!

Try unrolling a thread yourself!

how to unroll video
  1. Follow @ThreadReaderApp to mention us!

  2. From a Twitter thread mention us with a keyword "unroll"
@threadreaderapp unroll

Practice here first or read more on our help page!

More from @Nosoyheimdall

Feb 19
Hablemos de esta publicación y todo lo malintencionado que hay en ella, más viniendo de la cuenta que viene.

Vamos a ver de dónde viene el ISIS, también conocido como Daesh o Estado Islámico.

Haré alguna explicación global para que se entiendan facciones sin meterme a fondo. Image
El ISIS es un grupo terrorista paramilitar de naturaleza fundamentalista wahabita.

El wahabismo es una corriente político religiosa musulmana y es la mayoritaria de la rama sunita, que es la mayoritaria en el mundo musulmán con más de un 80% al contrario que los chiitas.
La diferencia es que los suníes además de seguir el Corán, siguen las Sunnas, de ahí su nombre, que son por así llamarlos las peripecias de Mahoma.

En cambio los chiíes sólo se ciñen al Corán, dejando las Sunnas en un claro segundo plano.
Read 26 tweets
Feb 18
Hablemos un poco de Churchill, ese hombre con problemas de alcohol, vendido y malvado a partes iguales, y con una voz bastante desagradable, encumbrado a prácticamente un semidiós por la derecha liberal. Image
Para entender su carrera hay 2 áreas básicas que, adecuadamente, se pasan de puntillas por ellas o simplemente se obvian.

La 1ª, llamada "desierto": esto comprende desde que renunció al gabinete de Stanley Baldwin, era Ministro de Hacienda, en 1929 hasta 1939.
Image
Image
10 años, una década entera fuera de cargos políticos, excepto el de ser un simple congresista.

Así que tenía su salario como congresista y uno muy pobre como periodista, pero era capaz de mantener una hacienda en el campo con unos gastos muy elevados, esta era Chartwell.

Image
Image
Image
Read 24 tweets
Jan 13
Hilo:

¿Quién está detrás de la invasión del tercermundismo en occidente?

Voy a centrarme en las llamadas "crisis de refugiados" que están creadas por un sólo protagonista. Image
Como ya reveló el periódico Haretz en 2013: desde su creación en 1948, Israel ha impulsado a Europa como destino preferido para los refugiados árabes que él mismo creó.

haaretz.com/2013-12-19/ty-…
Los israelíes llevan mucho tiempo concentrados en mantener su homogeneidad racial judía dentro de sus propias fronteras.

En 1961, la primera ministra Golda Meir, ayudo a derrotar una propuesta de JFK para asentar a 1,1 millones de refugiados palestinos en Israel. Image
Read 19 tweets
Nov 5, 2023
Vamos a menear el avispero.

Conexiones entre capitalismo, masonería y j's con la revolución rusa.

Hilo Image
La revolución rusa consta de 3 etapas.

Aprovechando que el zar está en el frente de la I GM:

1/ febrero 1917, revolución liberal: el príncipe Lvov, liberal, implanta algo parecido a un régimen liberal. Importante porque da amnistías a líderes comunistas encarcelados o exiliados Image
2/ julio 1917, revolución socialista: Kerensky, masón de grado 33, implanta la revolución socialista, donde todos los ministros son miembros de logias masónicas excepto 2. Image
Read 21 tweets
Oct 5, 2023
Punto 4 de la agenda 2030 de la ONU.

"Educación de calidad".

Apartado 7, leedlo.

Evidentemente es adoctrinamiento para tener el mismo punto de vista que la ONU, la cual es masónica y que cuando ellos hablan de derechos humanos no son los mismos que los nuestros.

Sigo.

Image
Image
Image
Cuando la ONU habla de derechos humanos es que todos los privilegios son para ellos y ninguna ley de ningún estado, país, nación, puede estar por encima de ellos, obteniendo con ello la total sumisión. (Artículo 29, punto 3, Declaración Universal de Derechos Humanos).

Sigo. Image
De esta manera nuestros hijos no sólo serán sometidos a este lavado de cerebro sino que además lo promoverán.

Debido a esto, ¿recordáis las denuncias de la UE a Hungría sobre el referéndum que hicieron sobre preguntar a los padres qué educación querían o que prohibian libros?


Image
Image
Image
Image
Read 6 tweets
Oct 4, 2023
Hilo.

Hablemos de alguien que muchos no conoceréis pero que tiene importancia, y mucha, en el tema de la invasión.

Alex Steier es el cofundador y director se Misssion Lifetine, una ONG de "rescate" de embarcaciones de inmigrantes, igual que Óscar Camps.
Image
Image
Steier dijo a la cadena Al-Jazzera que, y palabras textuales: "mi fe judía guía mi caridad".

En 2022, no hace tanto el propio Steier tuiteó, y podéis ir a verlo, sin ningún tapujo y sin borrarlo que su trabajo como ONG está motivado por su deseo de "deshomogeinezar Europa".
Image
Image
Por si no queda claro por su frase en Al-Jazzera, es judío.

Un pequeño bonus: según el periodista, sí, aún queda alguno, Dave Atherton, la ONG Lifeline es financiada por el estado alemán con dinero de los propios alemanes y por tanto el propio Steiner también.
Read 5 tweets

Did Thread Reader help you today?

Support us! We are indie developers!


This site is made by just two indie developers on a laptop doing marketing, support and development! Read more about the story.

Become a Premium Member ($3/month or $30/year) and get exclusive features!

Become Premium

Don't want to be a Premium member but still want to support us?

Make a small donation by buying us coffee ($5) or help with server cost ($10)

Donate via Paypal

Or Donate anonymously using crypto!

Ethereum

0xfe58350B80634f60Fa6Dc149a72b4DFbc17D341E copy

Bitcoin

3ATGMxNzCUFzxpMCHL5sWSt4DVtS8UqXpi copy

Thank you for your support!

Follow Us!

:(