Barsee 🐶 Profile picture
Aug 2 16 tweets 6 min read Read on X
AI just won't stop getting crazier 🤯

13 most incredible developments from OpenAI, META, Midjourney, StabilityAI, MoveAI, Grok that are taking the industry by STORM.

1. MoveAI now creates real-time CGI with just a single phone
2. Midjourney v6.1 was just released and is practically indistinguishable from photography.

Image
Image
Image
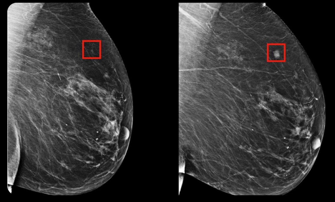
3. AI detects breast cancer 4 years before it develops.

Hungarian physicians are using an AI model that can detect breast cancer 4 years before it develops. Image
4. OpenAI starts rolling out its Her-like voice mode for ChatGPT.

The below video blew my mind. It stopped to catch its breath like a human would.
5. StabilityAI introduces Stable Fast 3D, Stability AI’s latest breakthrough in 3D asset generation technology.

This innovative model transforms a single input image into a detailed 3D asset in just 0.5 seconds.
6. RunwayAI reveals a new version of Gen-3 Alpha, Turbo.

It can generate videos 7x faster than the original Gen-3 Alpha, while matching its performance on many use cases.
7. Meta's just revealed "SAM 2" which tracks every object in any video.
META also dropped Llama-3.1, its most powerful and largest AI.

Meta claims it has outperformed GPT-4, GPT-4o, and Claude 3.5 Sonnet across various tasks.
8. Caption releases AI Twin that can behave, speak, and show emotions just like you.
9. Tezi raises a $9M Seed to build an autonomous AI recruiter

Max, the AI recruiter, is trained by top hiring managers & recruiters to handle the entire recruiting process.
10. Drones are becoming fully autonomous, needing no human help.
11. Elon announces Grok 2 (coming in August) and 3 (coming in December.) Image
12. Apple intelligence has been DELAYED until October.


Image
13. OpenAI has announced the launch of SearchGPT, an AI-powered search engine designed to deliver real-time information from the web.

I hope you enjoyed that! If so:

Retweet the first tweet for others:
If you like this thread, you will love my AI newsletter.

Join 90,000+ people and learn how to make AI work for you for free:

👉 theaivalley.com
Image

• • •

Missing some Tweet in this thread? You can try to force a refresh
 

Keep Current with Barsee 🐶

Barsee 🐶 Profile picture

Stay in touch and get notified when new unrolls are available from this author!

Read all threads

This Thread may be Removed Anytime!

PDF

Twitter may remove this content at anytime! Save it as PDF for later use!

Try unrolling a thread yourself!

how to unroll video
  1. Follow @ThreadReaderApp to mention us!

  2. From a Twitter thread mention us with a keyword "unroll"
@threadreaderapp unroll

Practice here first or read more on our help page!

More from @heyBarsee

May 13
OpenAI wins the internet with another big breakthrough in AI.

It takes their ChatGPT capabilities to a whole new level.

Here are 7 revolutionary innovations they unveiled today:
1/ OpenAI introduces 'GPT-4 Omni', enhancing its AI model to support voice, text, and vision, available to all users including free accounts.
2/ 'GPT-4 Omni' comes with a new voice assistant.

- it can handle interruptions
- does real-time response
- even picks up on emotion

It actually sounds like "HER"

Read 9 tweets
May 6
12 AI images are almost impossible to comprehend as fake (until you look closely) - a thread🧵👇

1/12 Image
2/12 Image
3/12 Image
Read 14 tweets
May 4
AI is about to change the VFX industry 🤯

Simulon can add any 3D model to your real footage video in a matter of minutes

Here are 13 most hyper-realistic videos (you'll feel like you can touch them):

1/ a pair of Muhammed Ali’s gloves brought to life
2/ The way it is able to interact with reality will change the way we view video content forever!
3/ What are you playing first? 🎮

Read 15 tweets
May 3
Meta is spending $30 billion on NVIDIA GPUs just to train their AI that will surpass human intelligence.

This is more than the Apollo moon mission cost.

Here's everything you need to know: 🧵 Image
Since ChatGPT was unveiled, OpenAI and Microsoft have dominated the headlines in artificial intelligence.

Meta, however, has been steadily increasing its presence with frequent releases of new AI products, never content to be left behind.
Meta recently announced that they are spending billions to buy 350,000 Nvidia H100 GPUs to develop its version of artificial general intelligence (AGI)

AGI is an AI that matches or even surpasses human intelligence in nearly all areas. Image
Read 18 tweets
Apr 27
It's been an insane week for AI (part 2)

Here are 14 most impressive reveals from this week:

1/ China just released OpenAI’s Sora rival “Vidu” which can create realistic clips in seconds.
2/ Apple is in talks with OpenAI for iPhone generative AI features.

The update could include a new Apple AI chatbot like ChatGPT.

Source: @markgurman Image
@markgurman 3/ Meta finally rolls out multimodal AI capabilities for its smart glasses

The glasses can translate languages, make video calls, identify objects, capture photos, and listen to music.
Read 15 tweets
Apr 23
It's been an insane week for AI/AR.

Here are 13 most impressive reveal from this week:

1/ Simulon can add any 3D model to your real footage video in a matter of minutes.
2/ Meta is already testing a consumer neural interface that understands what you are thinking.
3/ First successful surgery done using Apple Vision Pro.

For the first time in Brazil, a surgeon successfully used an Apple Vision Pro headset to optimize a surgical procedure.

Read 14 tweets

Did Thread Reader help you today?

Support us! We are indie developers!


This site is made by just two indie developers on a laptop doing marketing, support and development! Read more about the story.

Become a Premium Member ($3/month or $30/year) and get exclusive features!

Become Premium

Don't want to be a Premium member but still want to support us?

Make a small donation by buying us coffee ($5) or help with server cost ($10)

Donate via Paypal

Or Donate anonymously using crypto!

Ethereum

0xfe58350B80634f60Fa6Dc149a72b4DFbc17D341E copy

Bitcoin

3ATGMxNzCUFzxpMCHL5sWSt4DVtS8UqXpi copy

Thank you for your support!

Follow Us!

:(