Anyone concerned by this CXR?
(Shared with permission)
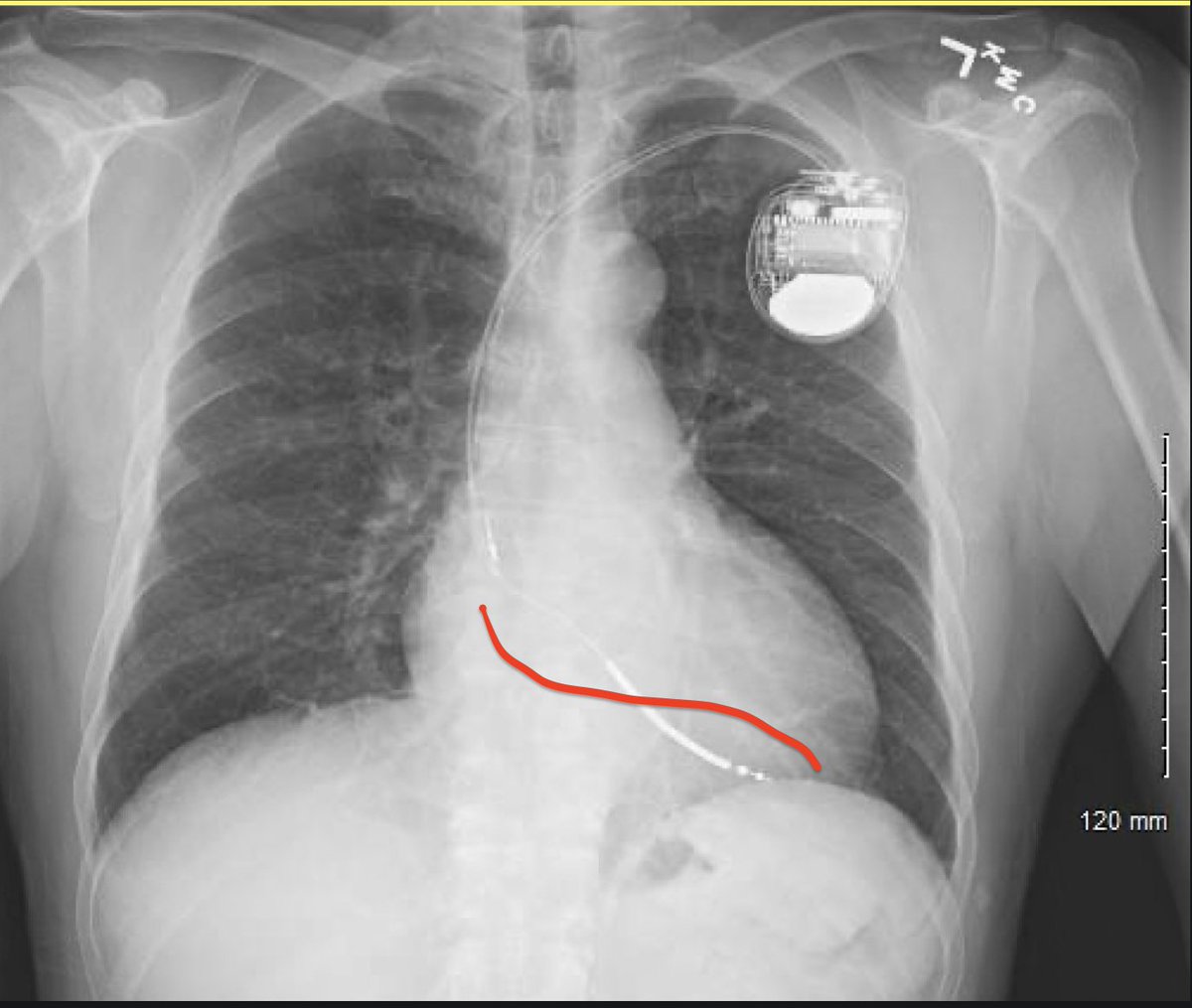
#EPeeps ImageImage
My concern — agree w others. Feared ICD lead crossed PFO into LV. This was next day CXR after new implant.

Action— echo

Findings — Lead in RV. All OK. Pt discharged home.

@sgreenbergmd @DrGregMichaud @dlschermd @SchakrabartiEP @badinmd @MarkStephanMD @DrDeese99 @J_RyanJordan
@sgreenbergmd @DrGregMichaud @dlschermd @SchakrabartiEP @badinmd @MarkStephanMD @DrDeese99 @J_RyanJordan Let’s talk about issue of LV lead placement.

In placing lead, helps to have disciplined routine.

First confirm you are in vein. Sounds easy, but in very sick pt with expected high venous pressure you can be fooled. Happened to me once. Never again, I hope.
@sgreenbergmd @DrGregMichaud @dlschermd @SchakrabartiEP @badinmd @MarkStephanMD @DrDeese99 @J_RyanJordan Best way to confirm without doubt you in vein, next arterial or extra cardiac is to advance wire into IVC. If you can go below diaphragm, you are good. Not always easy, but if any doubt go to that effort.
@sgreenbergmd @DrGregMichaud @dlschermd @SchakrabartiEP @badinmd @MarkStephanMD @DrDeese99 @J_RyanJordan OK, you are sure you are in the vein, that doesn’t mean you can’t get over to the left ventricle. Leads can cross PFO or ASD. You also wanna stay out of the middle cardiac vein.

Best way to confirm you are in RV is by carefully watching lead passage with disciplined routine.
When you get lead into RA, put your flouro in RAO. Harder to get fooled in RAO. The RV will be splayed out to the R side of the screen.

Shape a big pigtail curve on your stylet and pass the lead through TV (prolapse is best) and get it all the way up past PV like a SG catheter.
If you can get this position in the PA, like a SG catheter, you know you aren’t in the MCV or left atrium

Exchange for straight or gently curved stylet & ease lead back. Watch it drop into RV apex or septum.

Check paced configuration. RBBB is OK. Negative lead I is not OK.
If the lead didn’t drop easily when you withdraw from PA, you might be tangled in the TV apparatus. If any doubt, withdraw all the way back to RA and try again. Maybe make more effort to prolapse this time. If you prolapse, you know you got through TV w/o incident.
If any doubt at this point, pull the fluoro into steep LAO. Make certain you are septal on not on lateral wall. It’s not too easy w/o true lateral to be certain, though.
Next day, look at CXR. If your goal was RV apex, the lead should be anterior on lateral film. If it is hugging the sternum, that’s great. If, like my case it’s midline, maybe some concern. If it’s posterior, that’s bad.
Also look in AP at the crossing point and contour at the TV. If it’s high up, like mine, maybe consider this is the PFO. In the image, I’ve drawn about where I’d have expected the TV crossing to be. Obviously, there is a lot of latitude here, and this lead was ultimately fine. Image
So, then, you are making rounds Saturday AM and see this CXR. What to do?

I did the implant. I was pretty darn sure I’d done all these careful steps. Even so, you gotta be certain. Is there any uncertainty? Sure.

We ordered the echo and all was well. Phew.

/fin.

• • •

Missing some Tweet in this thread? You can try to force a refresh
 

Keep Current with Edward J Schloss MD

Edward J Schloss MD Profile picture

Stay in touch and get notified when new unrolls are available from this author!

Read all threads

This Thread may be Removed Anytime!

PDF

Twitter may remove this content at anytime! Save it as PDF for later use!

Try unrolling a thread yourself!

how to unroll video
  1. Follow @ThreadReaderApp to mention us!

  2. From a Twitter thread mention us with a keyword "unroll"
@threadreaderapp unroll

Practice here first or read more on our help page!

More from @EJSMD

20 Aug
How to do a coronary sinus angiogram:

1️⃣Engage the CS in LAO, then confirm and advance the sheath in RAO. I use a MPA2 or AL2 coronary catheter inside CS sheath & find the CS with a long glidewire. If wire glides in w/o ectopy and is posterior in RAO, you're in.

#EPeeps
How to do a coronary sinus angiogram:

2️⃣So important to advance CS sheath in RAO. This allows you to see if you're off axis. In LAO, sheath may buckle in the RA & you'll never know until sheath falls out when you try to advance. RAO lets you see that & fix it by torquing sheath.
How to do a coronary sinus angiogram:

2️⃣Once os is engaged, advance sheath over wire and coronary cath in RAO (trust me). If at all possible, try to get sheath high up into the CS, beyond Vieussens valve, but stop before the vessel takes a turns around the superior margin.
Read 20 tweets

Did Thread Reader help you today?

Support us! We are indie developers!


This site is made by just two indie developers on a laptop doing marketing, support and development! Read more about the story.

Become a Premium Member ($3/month or $30/year) and get exclusive features!

Become Premium

Too expensive? Make a small donation by buying us coffee ($5) or help with server cost ($10)

Donate via Paypal Become our Patreon

Thank you for your support!

Follow Us on Twitter!