Nick Mark MD Profile picture
Apr 19, 2020 11 tweets 6 min read Read on X
Non-COVID teaching: Can you identify this unusual cause of chronic cough? (Hint: always carefully look at tubes and lines on #CXR and axis on #EKG) #medtwitter #FOAMed #FOAMrad ImageImage
So let’s jump into this #FOAMed case. On the CXR we’ve got a couple interesting things:
* the PICC line appears to terminate on the wrong (e.g. left) side (white arrow)
* the aortic knob is on the wrong (e.g. right) side (grey arrow)
* it’s hard to identify the cardiac silhouette ImageImage
Some of these findings are easy to miss. To avoid missing things, it’s really important to have a systematic approach to reading a CXR. Here’s a good one:
➡️mededportal.org/doi/10.15766/m…
The EKG also has a couple abnormalities
* a rightward axis (263 degrees)
* negative P’s & T’s in I and aVL
* upward QRS in aVR
* abnormal R wave progression (open arrows)
(some of these are subtle too; once again a systematic approach is very helpful) Image
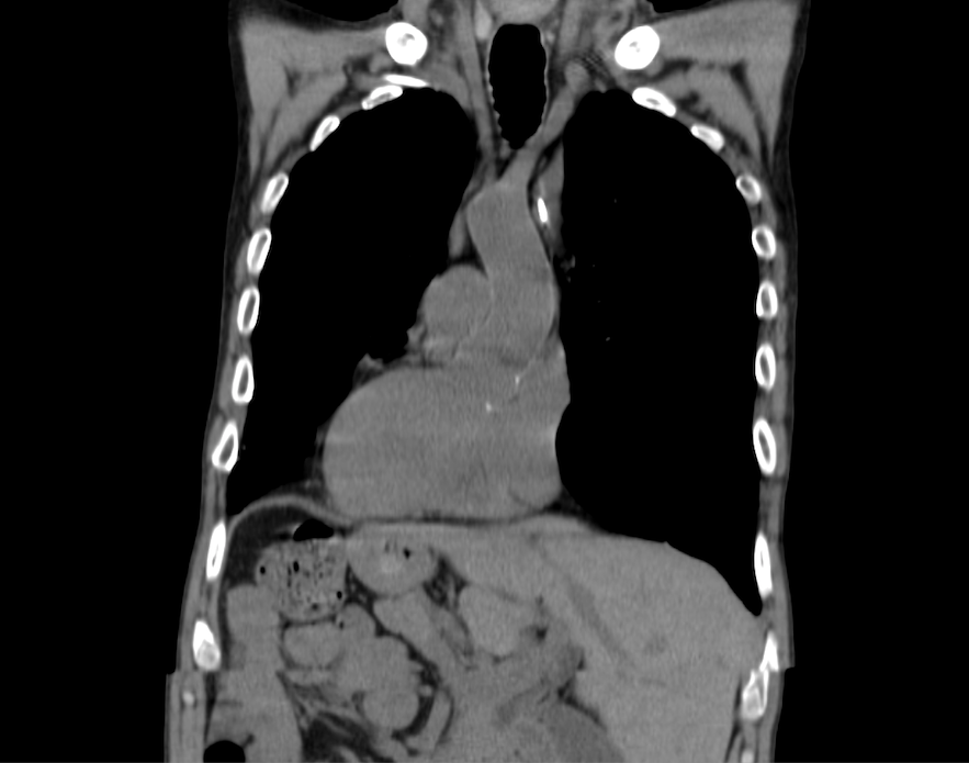
The best explanation for the CXR and EKG findings is dextrocardia. (This is easier to see on the CT scan below.) But there’s more going on than just isolated dextrocardia. In order to understand the unifying diagnosis we need to understand what cilia are and what they do. Image
Cilia are tiny cellular motors connected to slender protuberances on the cell surface. They are made up of microtubules and dynein arms to move them. Here’s a picture of cilia on the lung and a video of them in action ImageImage
These cilia are important for many things:
* clearing debris out of the lungs and upper airways
* enabling sperm to move
* establishing a gradient of signaling molecules to determine laterality in embryogensis Image
Cilia are really important for clearing bacteria and other debris out of the airway and lungs. Patients with ciliary dysfunction are predisposed to sinusitis, otitis media, and pneumonia.
To summarize, cilia are important. When they don’t work:
* airway cilia —> broncheictasis, infections
* sperm cilia —> infertility
* cilia in embryogenesis —> abnormalities in organ laterality —> dextrocardia/situs inversus
Kartagener’s syndrome is a rare type of a ciliopathy - a disorder of cilia. In Kartagener’s the motors (the arms that pull on adjacent tubules) are absent, so the cilia can’t move. This leads to the triad of bronchiectasis, infertility, and situs inversus. Image
To summarize what we've learned:
* use a systematic approach to read CXRs & always look at tubes/lines
* remember the signs of situs inversus on EKG
* cilia are important for clearing secretions
* Kartagener’s is a rare cause of bronchiectasis, situs inversus, and sinusitis

• • •

Missing some Tweet in this thread? You can try to force a refresh
 

Keep Current with Nick Mark MD

Nick Mark MD Profile picture

Stay in touch and get notified when new unrolls are available from this author!

Read all threads

This Thread may be Removed Anytime!

PDF

Twitter may remove this content at anytime! Save it as PDF for later use!

Try unrolling a thread yourself!

how to unroll video
  1. Follow @ThreadReaderApp to mention us!

  2. From a Twitter thread mention us with a keyword "unroll"
@threadreaderapp unroll

Practice here first or read more on our help page!

More from @nickmmark

Sep 5, 2025
Lots of news articles reporting "Smartphone use on the toilet increases risk of hemorrhoids" citing a small single center study.

Great headlines but also a textbook example of *reverse causation* - a common methodological flaw in observational studies

A 🧵 Image
Image
Image
Image
Reverse causation occurs when we flip the arrow of cause→effect.

Protopathic bias is a subtype: An exposure (often a treatment/behavior) is started because early symptoms are already present, making it look like the exposure caused the outcome.

2/ Image
A common example of reverse causation/protopathic bias is increased inhaler use --> increased risk of asthma hospitalization.

Did the inhaler use cause the hospitalization?

No! The person was developing symptoms which is why they were using the inhaler...

More examples:

3/ Image
Read 12 tweets
Aug 19, 2025
This is a fascinating case:

A 60 yo man presents with paranoia, new-onset facial acne & cherry angiomas, fatigue, insomnia, ataxia, and polydipsia.

He has an extremely unusual diet.🧂

His labs are👇 (note that anion gap!):

What could be going on?
1/ Image
Turns out he was inspired by a conversation with chatGPT to eliminate all sodium chloride from his diet.

🧪 He decided to replace sodium chloride with sodium bromide instead.

This had some unusual effects…

2/ Image
Image
Image
Bromide toxicity - or bromism - is extremely rare today, but it was once quite common.

Prior to modern alternatives, lithium and potassium bromide were widely used as sedatives, with frequent side effects.

At one point 5-10% of the psychiatric admission were due to bromide!
3/ Image
Image
Image
Read 6 tweets
Jun 1, 2025
Well designed RCT shows patients randomized to an exercise program had substantially improved survival after adjuvant chemotherapy for colon cancer.
- 5 yr disease-free survival 80.3% vs
73.9% (HR 0.72)
- 8 yr overall survival 90.3% vs 83.2% (HR 0.63)

This is groundbreaking!
1/ Image
Some deets on the CHALLENGE trial

A 55 center trial done over 15 years (2009-2024) that randomized n=889 people with resected colon cancer after adjuvant chemotherapy to either:
- participate in a structured exercise program
- or to receive health-education materials alone

2/
The intervention was pretty comprehensive:
Personal activity consultant (PACs) - essentially trainers - got to know the participant 1:1, introduced them to the gym and came up with personalized activity goals
Regular every 2 week sessions helped participants reach the goals

3/ Image
Image
Image
Image
Read 16 tweets
May 18, 2025
Tragic news today about former president Biden's prostate cancer diagnosis. I wish him well.

As someone who follows presidential health reporting, I noticed something odd: unlike his predecessors, Biden's physician's never reported PSA.

How to interpret this absence? A🧵
1/ Image
Image
Image
Image
There are two possibilities:
1️⃣ Biden’s PSA was never checked
2️⃣ Biden’s PSA was checked but it wasn't reported

Strictly speaking, not checking PSA could be a medically correct option. Whether or not to test PSA is a complex question and is not the topic of this thread.

2/
Like many VIPs, presidents tend to have excessive testing that is not always strictly evidence-based.

For example, Bush 43 had an exercise treadmill test and a TB test for no apparent reason.

3/ Image
Read 13 tweets
May 4, 2025
In honor of #MayThe4thBeWithYou let's consider the most difficult airways in the Star Wars universe:

1. Darth Vader
Species: human
Vader presents several challenges: Vent dependent at baseline, airway burns from Mustafar, limited neck mobility.
Discuss GOC before saving him Image
2. Fodesinbeed Annodue
Species: Trog
All airways require teamwork, but intubating Fodesinbeed Annodue's two heads really will require two operators.
Consider double simultaneous awake fiberoptic intubation
Be sure to consent both heads. Image
You will never find a more wretched hive of scum & challenging airways than Mos Eisley (except maybe at Jabba's)

3.Greedo
Species: Rodian
Micrognathia, posterior airway, no nasal intubation, green skin so no pulse ox
Approach: VL + bronchoscope. Intubate quickly (shoot first) Image
Read 23 tweets
Mar 9, 2025
Every year, there is a predictable spike in fatal car accidents, medical errors, & heart attacks.

It’s estimated that there are thousands of excess deaths, a 1% increase in energy consumption, & billions of dollars in lost GDP.

The cause? Daylight savings transitions.

🧵

1/ Image
Earth's axis of rotation and orbital axis are not precisely aligned. The 23.5 degree difference - 'axis tilt' - gives us our seasons and a noticeable difference in day length over the course of the year.

2/
For millennia this seasonal variation was an accepted fact of life.

In 1895, George Hudson, a New Zealand entomologist, was annoyed that less afternoon light meant less time for bug collecting.

He realized that clocks could be adjusted seasonally to align with daylight.

3/ Image
Read 27 tweets

Did Thread Reader help you today?

Support us! We are indie developers!


This site is made by just two indie developers on a laptop doing marketing, support and development! Read more about the story.

Become a Premium Member ($3/month or $30/year) and get exclusive features!

Become Premium

Don't want to be a Premium member but still want to support us?

Make a small donation by buying us coffee ($5) or help with server cost ($10)

Donate via Paypal

Or Donate anonymously using crypto!

Ethereum

0xfe58350B80634f60Fa6Dc149a72b4DFbc17D341E copy

Bitcoin

3ATGMxNzCUFzxpMCHL5sWSt4DVtS8UqXpi copy

Thank you for your support!

Follow Us!

:(