Welcome to our inaugural CASE report series! We will be sharing challenging, interesting, and above all teachable cases from our resident teams here at Case Western! All-star PGY3 @pkramer88 brings the first one from his VA gen med service #MedEd #Tweetorial
HPI: 65y M with 1 week of profuse watery non-bloody diarrhea, 10 BM/day. Wife with diarrhea for 1 day but it self-resolved. Worsening fatigue, essentially bed-bound on day of presentation.
No recent travel, no sick contacts besides wife, no recent abx use, no hx of C. diff. ROS otherwise negative. Hx of HTN, DLD. Home med: amlodipine 5.
Physical exam unrevealing, soft abdomen.
Vitals: T 38.4, HR 86, RR 15, SpO2 95%; WBC 8.9 (diff nml), Hgb 14.7, plt 127; Cr 1.6 (unknown baseline), AST 313, ALT 294, ALP 166, t. bili 1.5
As admitting resident, what would you like to do?
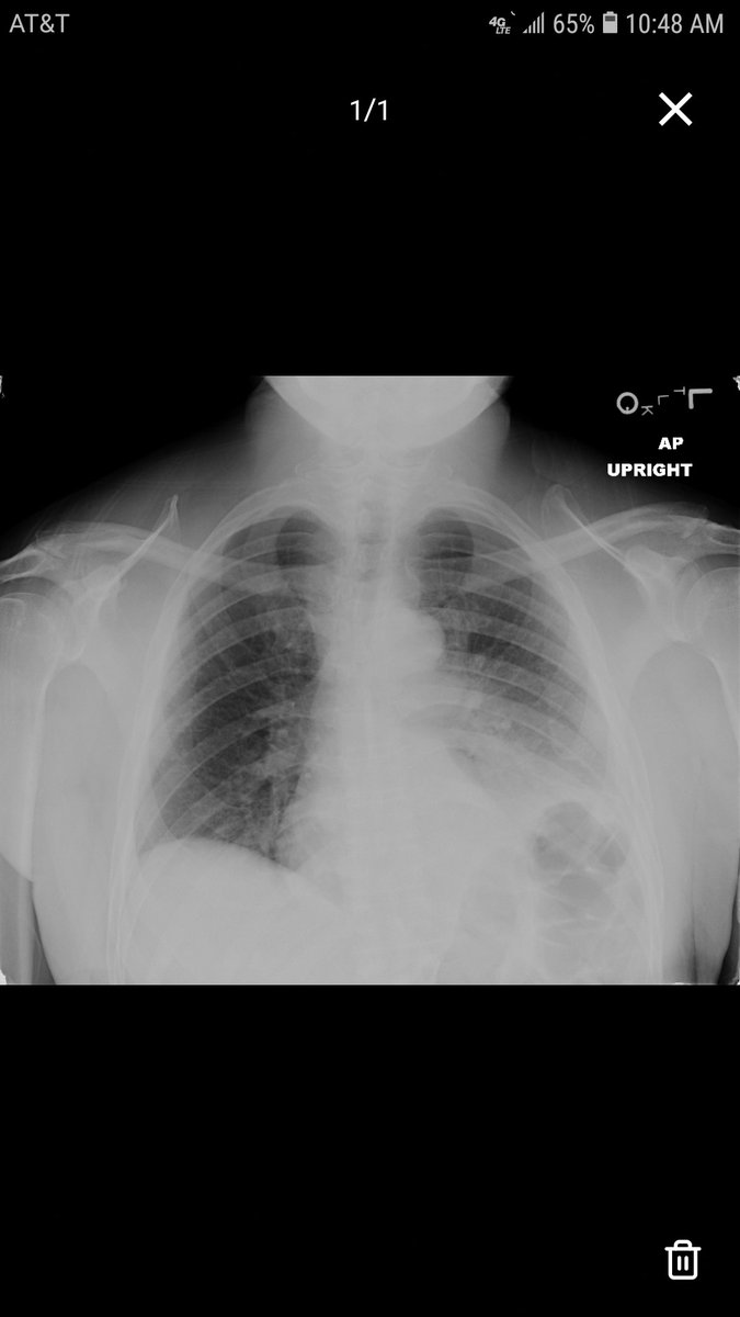
Admitted to floor, vanc + pip-tazo, continues fevering to 39.4, diarrhea improving. Liver U/S: nonspecific, acute hepatitis vs periportal edema. Stool PCR negative, blood cultures negative. Acute hepatitis panel negative. Diagnosis revealed next!
Urine Legionella Ag: positive!
TEACHING POINTS
3 cardinal symptoms are fevers, diarrhea, and encephalopathy. Hyponatremia and pulse-temperature dissociation are clues but less reliable. Local outbreaks from contaminated water sources (A/C) common. Case fatality rate 5-15%!
The Legionella urine antigen test is specific for serotype 1, which accounts for ~80% of infections in the US. Legionella is the most common pneumonia to cause hepatic dysfunction, hepatocellular > cholestatic. Preferred Abx: fluoroquinolones, macrolides. (ref 1)
An unusual but notable feature of Legionella infection can be seen in the vitals. Notice the temperature-pulse dissociation. For every increase in temp by 1 degree C, the pulse should increase by ~10 bpm. The absence of this is Faget’s sign.
Østergaard et al found Faget sign did NOT predict diagnosis of a specific disease, although relative bradycardia was seen w/in each of Legionella, typhoid fever, and Chlamydia pneumonia groups: all intracellular bacteria. Dengue + Leptospirosis also a/w Faget sign. (ref 2)
Please let us know what you think! We will be looking to share more CASE reports throughout the year. Ref 1: doi.org/10.1016/S0163-…, Ref 2: doi.org/10.1378/chest.…


