Check out my youtube video that describes this case at;
pathpresenter.net/#/public/displ…



pathpresenter.net/#/public/displ…



pathpresenter.net/#/public/displ…



➡️Most often caused by Echinococcus granulosus
➡️ The definitive host is dogs/wolves
➡️ Intermediate hosts are sheep and humans
➡️ In intermediate hosts a hydatid cyst will form most commonly in the liver, lung or brain
➡️ FNA or rupture of the cyst can cause a severe allergic reaction
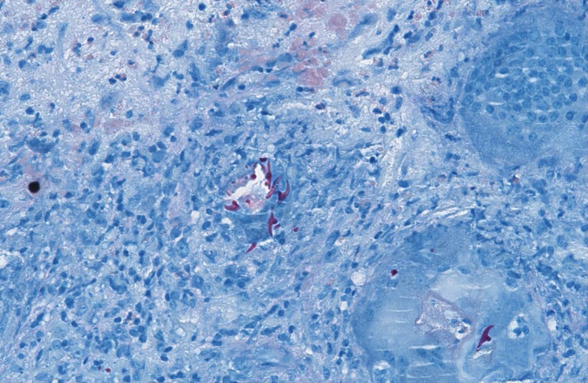
➡️ The hooklets are positive on AFB stains
➡️ The cyst can often rupture into the airway and patients can report coughing up salty material and hooklets can be see on sputum cytology samples
➡️ In treated cases only the hooklets may remain which can be highlighted by dropping the condenser on high power




