My Authors
Read all threads
Neural epidermal growth factor-like 1(NELL1) is a recently identified antigen in membranous nephropathy. Here’s the take home - NELL1 is a rare form of membranous, but is NOT rare in malignancy. Want more? Read on! 1 /21
We used protein G immunoprecipitation to elute immune complexes directly from frozen kidney biopsy tissue and interrogated them by mass spectrometry. 2/21
This method detected NELL1 to be present within immune complexes eluted from the kidney. 3/21
Another method to identify antigenic targets that deposit in the kidney is through laser capture microdissection of glomeruli, to identify enriched proteins. This was the method used by Sethi et al in a Kidney International paper earlier this year. 4/21 kidney-international.org/article/S0085-…
To screen cases, we stained renal biopsy tissue by paraffin immunofluorescence for NELL1. We found 91 NELL1 positive MN cases, which will be described in this series. 5/21
NELL1 co-localizes with IgG within glomeruli, confirming the results of protein G immunoprecipitation from kidney biopsy tissue. 6/21
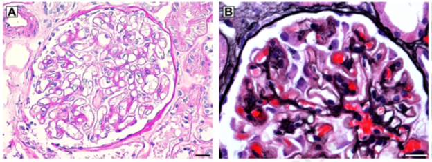
Histologically, NELL1 MN cases have prominent capillary loops with formation of spikes and holes on silver stains as we would expect. There were no proliferative changes, such as those seen in lupus nephritis. 7/21
What sets NELL1 apart is that there is segmental to incomplete global IgG staining on immunofluorescence. This allows us to pick out these cases from other membranous cases. 8/21
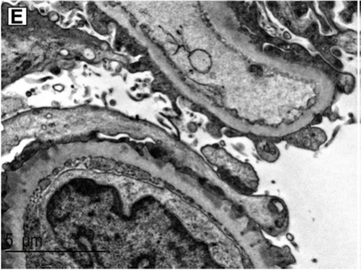
Here’s electron microscopy showing a capillary loop spared of deposits, adjacent to one with deposits, demonstrating this segmental nature of immune deposition. 9/21
This pattern is not seen in other types of membranous, including PLA2R, THSD7A, or EXT1/2 associated MN. 10/21
Usually NELL1 cases only show IgG and C3. Expression of other immune reactants is unusual. 11/21
NELL1-associated MN is IgG1-dominant (or co-dominant.
A) IgG1, B) IgG2, C) IgG3, D) IgG4 12/21
We had 67 cases available for subclass analysis and all had IgG1 within glomeruli. 13/21
Overall, NELL1 comprises a small proportion of MN cases, as determined by screening a 9 month consecutive case series of MN cases. 14/21
However, when comparing the clinical histories to that of other types of membranous (PLA2R, THSD7A, EXT1/2), the prevalence of malignancy in this cohort was striking. 15/21
Interestingly, NELL1 is expressed within many human tumors (human protein atlas) 16/21
We compared 5 years of malignancy-associated MN cases. Despite NELL1 making up a small proportion of MN cases, it comprised a large proportion of MN cases with malignancy. 17/21
NELL1 staining was performed on tumor specimens from patients with concurrent MN. NELL1 expression was seen within the tumors. Here’s a case of breast cancer (left H & E, right NELL1) 18/21
Numerous malignancies were represented in patients with NELL1-MN. While some patients with PLA2R-MN had malignancy, note that the denominator is much smaller for NELL1 19/21
We obtained follow-up from 59/91 patients. Treatment of underlying malignancy had a favorable clinical response.
Too few patients received immunosuppression to draw conclusions on the optimal treatment of NELL1-associated MN. The majority received only ACEI/ARBs 20/21
Anti-NELL1 antibodies were found within serum. We don’t know yet how these correlate to disease activity and response to therapy in MN, or if they could serve as a tumor biomarker. Further work will give us more insights into this. 21/21
Missing some Tweet in this thread? You can try to force a refresh.

Keep Current with Tiffany Caza

Profile picture

Stay in touch and get notified when new unrolls are available from this author!

Read all threads

This Thread may be Removed Anytime!

Twitter may remove this content at anytime, convert it as a PDF, save and print for later use!

Try unrolling a thread yourself!

how to unroll video

1) Follow Thread Reader App on Twitter so you can easily mention us!

2) Go to a Twitter thread (series of Tweets by the same owner) and mention us with a keyword "unroll" @threadreaderapp unroll

You can practice here first or read more on our help page!

Follow Us on Twitter!

Did Thread Reader help you today?

Support us! We are indie developers!


This site is made by just two indie developers on a laptop doing marketing, support and development! Read more about the story.

Become a Premium Member ($3.00/month or $30.00/year) and get exclusive features!

Become Premium

Too expensive? Make a small donation by buying us coffee ($5) or help with server cost ($10)

Donate via Paypal Become our Patreon

Thank you for your support!