dr.Asa ibrahim Sp.OT Profile picture
Sep 10, 2020 8 tweets 3 min read Read on X
Me : gpp pak, operasi kecil kok, cuma nanti tulangnya kita benerin dikit ..

Also me later that day :
Berhubung banyak yg nanya ini operasi ngapain sih,kok berasa bengkel ketok magic,ini dokter apa STM ..jadi kira2 gini :

Pada kasus patah tulang,kadang dilakukan operasi utk memfiksasi tulang tujuannya agar posisinya bagus,sembuhnya bagus, bisa aktivitas lagi sprt sedia kala
Abis tulang yg patah dikembalikan ke tempatnya, kan harus dipegang dgn implant biar ga lepas lagi, biar terfiksasi bagus sampai tulangnya menyatu dan nantinya akan dilepas, implant nya klo dimasyarakat sering di sebutnya pen(plate and screw). Pen ini bisa dipasang diluar : Image
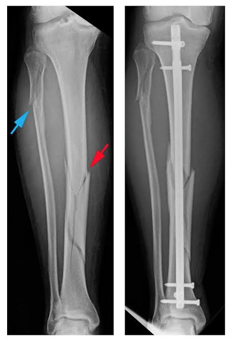
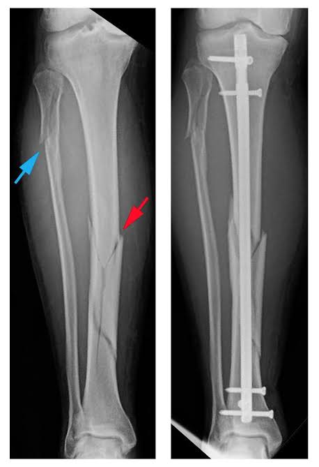
Selain pen yg dipasang di luar/permukaan tulang, pen bisa jg dipasang di dalam tulang(intramedullary nail/rod) ,antara yg di luar atau di dalam punya keunggulan masing2,sesuai kasus atau jenis patah tulangnya .. ImageImage
Nah untuk pen yg di dalam tulang kaya yg di video itu gimana cara nglepasnya?
Otomatis hanya satu jalur, kita kait/pegang ujungnya pakai alat,trus kita tarik dgn pukulan2 keluar kaya di video
Knpa susah?krna seringkali saat tlg sudah menyatu si pen ini diselimuti tulang,jd berat Image
Jadi ya begitulah, semacam ini operasi bengkel banget,haha.alat perbengkelan dan pertukangan mmg kita pake saat kerja benerin tulang pasien(bor,sekrup,pahat,palu,dsb) .
Tapi alatnya yg bagus ya,mmg instrumen medis, bkn bor abis buat nukang kita bawa ke dalem kamar operasi 😂😂😂 ImageImage
Credits video : @TheMedicalvdo
Atau bisa juga dipasang di dalam tulang (intramedullary nail/rod) .
Kenapa ada yg dipasang di luar ada yg di dalam?masing2 punya keuntungan sendiri2, tergantung jenis kasus patah tulangnya .. ImageImage

• • •

Missing some Tweet in this thread? You can try to force a refresh
 

Keep Current with dr.Asa ibrahim Sp.OT

dr.Asa ibrahim Sp.OT Profile picture

Stay in touch and get notified when new unrolls are available from this author!

Read all threads

This Thread may be Removed Anytime!

PDF

Twitter may remove this content at anytime! Save it as PDF for later use!

Try unrolling a thread yourself!

how to unroll video
  1. Follow @ThreadReaderApp to mention us!

  2. From a Twitter thread mention us with a keyword "unroll"
@threadreaderapp unroll

Practice here first or read more on our help page!

More from @asaibrahim

Mar 17, 2025
"Yang BEGINIAN"

Meskipun saya bukan org yg fokus ke research dgn judul2 semacam ini, tapi saya merasa sah2 saja judul ini diteliti dan diuji.
Karena ada bgt kok kaitannya, pada org islam, bacaan quran terkait peaceful of mind, pikiran tenang, dan pikiran positif.
Faktor psikologis ini(silakan dicek di jurnal2 ada byk bgt), sangat terkait dengan recovery pada suatu penyakit.

Penurunan stres, peningkatan sistem imun, peningkatan aliran darah dan menurunkan radang yg meningkatkan penyembuhan, kepatuhan pengobatan yg lebih tinggi, dsb.
Jadi benernya ya nyambung2 aja.
Tentu saja harus dibuktikan secara ilmiah dgn diminimalkan bias2 yg sangat mungkin terjadi.

Mungkin kalo org nonmuslim ya dicari padanannya, apa yg bikin mereka tenang dan aspek psikologisnya baik.
Dan silakan diuji.
Sedikit latar belakang, saya meskipun gak rajin2 bgt, sampe detik ini masih sekolah dan dulu(sekarang uda engga) lumayan rajin nulis dan publish, ada 1 publikasi Q1, 3 Q2, byk Q3.

Menurut saya, sangat menarik untuk diuji berbagai mcm variabel yg terkait dgn aspek religius seseorang dgn recovery suatu penyakit, silakan dibuktikan dgn metodologi yg baik, diuji dengan teliti, toh berbagai hal yg sekarang kita yakini sebagai suatu teknik pengobatan yg benar itu ya bermula dari ide orang2 yg ditentang olah orang2 skeptis.
Justru semakin saya belajar dan mendalami ilmu kedokteran, jurnal2, meta-analisis2, bertemu ribuan pasien, saya malah semakin melihat ada faktor2 LAIN yang mempengaruhi penyembuhan dan mempengaruhi munculnya suatu penyakit di luar yg secara konvensional kita sudah pahami.

Terutama faktor psikologis, stres, dsb.

Pengobatan gak cuma obat dan operasi, ngobati pikiran itu percaya ga percaya jg sangat penting utk recovery.
Read 6 tweets
Jan 2, 2025
2 penyakit yg paling sering membawa pasien periksa ke klinik orthopedi/tulang :
- sakit punggung bawah/boyok
- sakit lutut

dan dua2nya punya faktor resiko yg mirip2 yg sebenarnya BISA banget dihindari :
1.otot yg lemah
2.kurang olahraga
3.gemuk berlebih

- Utas penting - Image
Image
Bismillah, jadi mau share dikit lagi tentang penyakit yang banyakkkkk banget membawa org berobat ke klinik kami, klinik orthopedi.
kerusakan lutut/tulang belakang ini adalah penyebab kecacatan tersering di bidang kami, YUK KITA HINDARI!

gimana caranya?yuk kita bahas dikit
okee, jadi kalo ngomongin suatu penyakit, kita ngomongin dulu yg namanya RISK FACTOR atau faktor resiko kenapa penyakit itu bisa terjadi.

faktor resiko itu suatu hal/variabel/kondisi yang MENINGKATKAN kemungkinan seseorang kena penyakit tersebut.
Nah ini yg mau kita hindari
Read 12 tweets
Sep 20, 2024
Kalian sering bgt denger yg namanya penyakit"ASAM URAT" kan?

Sendi dan otot2 sakit dibilang asam urat. Ga bole makan ini atau itu

Padahal kebanyakan salah kaprah dan BUKAN BENERAN SAKIT ASAM URAT

Trus sakit apa?trus sakit asam urat yg beneran tu gmna? - UTAS mythbuster

Image
Image
Image
Saya bikin thread ini utk meluruskan salah kaprah bhwa klo sendi2 sakit/otot sakit leher sakit slalu dibilang asam urat tinggi(atau kolesterol),pdhl tyta bukan

Akibat dikira asam urat,akhirnya dia jaga2 makan dsb dan malah mengabaikan penyakit yg sebenarnya bikin sakit, kacau
Jadi asam urat itu asal katanya dari URIC ACID, yang bisa membentuk kristal monosodium URATE

Jadi namanya emang urat bukan URAT yang banyak orang tau,kaya urat jari tangan atau urat nadi apa urat saraf ya

Jangan urat jari tangan sakit trus dikira sakit asam urat, NO NO NO!
Image
Image
Read 19 tweets
Sep 17, 2024
Ada beberapa hal sehari2 yg bisa meningkatkan resiko saraf terjepit dan kerusakan tulang belakang.

Pada kondisi yg ringan biasanya nyeri dan kesemutan, pada kondisi yg berat, bisa menyebabkan kelumpuhan, dan tdk bisa BAB/BAK

Yuk kita bahas dan (berusaha)hindari!
- Utas Santai
Image
Image
Jdi di tulang belakang kita itu ada bagian saraf yg sgt pnting, namanya spinal cord/sumsum tulang belakang, dari situ keluar cabang2 saraf yg akan menuju ke bagian2 tubuh lain, tangan, kaki, dada, dsb.

fungsi utamanya :
-merasa
-menggerakkan
-otonom(BAB/BAK/seksual) Image
Nah, si saraf2 yg sangat penting ini(warna kuning) dilindungi sama tulang belakang dan bagian2nya.
Kenapa harus dilindungi?
Ya kalo dia tdk dilindungi dan mudah cedera, dampaknya bisa besar bgt, orang jadi lumpuh, gak bisa merasa, gak bisa BAB/BAK atau tdk bisa ereksi dsb. Image
Read 12 tweets
Jun 3, 2024
Saya mau share bbrpa HAL SIMPEL yg sering KAMU LAKUKAN sehari2 TAPI sebenarnya dampaknya jelek untuk badan, ada yg bisa bikin masalah tulang belakang, ada yang bisa bikin masalah lutut, dsb

Dgn kata lain, resiko penyakitnya sebenarnya bisa dicegah!

- utas santai tapi penting - Image
Intro bentar, jadi untuk bisa SEHAT saat lansia, harus dimulai dari membiasakan SEHAT saat muda, karena berbagai kondisi saat lansia/penyakit yang muncul seringkali dampak dari saat MUDAnya kurang baik.

Kita pasti pgn, uda lansia tapi masi bisa aktivitas mcm2 tanpa sakit kan?
okee, kebiasaan simpel tapi jelek bgt yang pertama :
1. DUDUK LAMA

terkesan simpel bgt, dilakukan semua orang, tapi dampak jelek dari akumulasi duduk lama bertahun2 ini banyak bgt.penelitiannya banyak bgt.
dampak jelek mulai dari peningkatan resiko penyakit jantung/pembuluh darah, diabetes, kerusakan bantalan tulang belakang, penurunan kekuatan tulang, peningkatan obesitas(yang juga meningkatkan berbagai resiko lain di atas, seperti lingkaran setan)
Read 10 tweets
May 22, 2024
Reminder utk tmn2 semua, penyakit jantung/ginjal/otak/saraf dsb semakin byk muncul di usia muda!

Penyakit2 yg dulu saat sekolah "KATA BUKU" munculnya di usia 50 ke atas, sekarang uda banyak bgt muncul di usia 30an.

Saya mau share dikit dan menurut saya penting bgt... Image
Ada dua faktor penting yg berubah di masyarakat kita dalam bbrp belas taun terakhir.

Kalo rokok sih dari dulu banyak ya di sini, 20-30%an, jadi variabel rokok sebagai penyebab berbagai penyakit termasuk konstan.

Dua faktor utama
1. Konsumsi gula
2. Physical inactivity/mager
Dalam bbrp belas tahun terakhir kita bisa lihat dimana2 ngetren bgt berbagai mcm makanan/minuman kekinian dgn kadar gula yg sangat tinggi.
Sementara gula tinggi resiko ke arah berbagai penyakit metabolik seperti diabetes, obesitas, berbagai problem jantung/ginjal/saraf
Read 8 tweets

Did Thread Reader help you today?

Support us! We are indie developers!


This site is made by just two indie developers on a laptop doing marketing, support and development! Read more about the story.

Become a Premium Member ($3/month or $30/year) and get exclusive features!

Become Premium

Don't want to be a Premium member but still want to support us?

Make a small donation by buying us coffee ($5) or help with server cost ($10)

Donate via Paypal

Or Donate anonymously using crypto!

Ethereum

0xfe58350B80634f60Fa6Dc149a72b4DFbc17D341E copy

Bitcoin

3ATGMxNzCUFzxpMCHL5sWSt4DVtS8UqXpi copy

Thank you for your support!

Follow Us!

:(