Ter zika e chikungunya ao mesmo tempo aumenta a chance de AVC

Pesquisa em parceria Brasil-Reino Unido publicada na The 'Lancet Neurology' mostra que contrair os dois vírus transmitidos por mosquitos pode desencadear um derrame

Siga o fio 👇
O vírus zika já é bem conhecido por causar danos cerebrais (microcefalia) em bebês após a infecção durante a gravidez. Mas o estudo mostra que ele também pode causar doenças do sistema nervoso em adultos (+)
O zika provavelmente causa a síndrome de Guillain-Barre, em que nervos nos braços e nas pernas são danificados. Também há estudos mostrando que a dengue pode causar essa síndrome (+)
Chikungunya, de acordo com este estudo, parece ter maior probabilidade de causar inflamação e inchaço no cérebro (encefalite) e medula espinhal (mielite) (+)
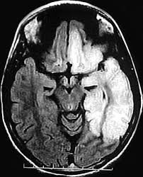
Já o AVC, que poderia ser causado por qualquer um dos vírus isoladamente, parece ter mais chance de ocorrer em pacientes infectados com os dois vírus juntos.

Um AVC ocorre quando uma das artérias que fornecem sangue ao cérebro fica bloqueada (+)
O risco de AVC aumenta após alguns tipos de infecção viral, como o vírus da varicela zoster, que causa varicela e herpes zoster, e o HIV.

O AVC e coágulos em outros órgãos também estão sendo cada vez mais reconhecido como uma complicação da Covid-19 (+)
"O zika causa mais frequentemente erupção cutânea e febre sem muitas consequências em longo prazo, mas essas complicações neurológicas, mesmo raras, podem requerer UTI e resultar em sequelas e até na morte", diz Maria L. B. Ferreira, neurologista líder da equipe brasileira (+)
Com o verão se aproximando e mosquitos se multiplicando, fica mais um motivo sério para combatermos estas doenças, no nível individual (evitar água parada e usar repelente), mas principalmente com ações de saúde pública para controlar epidemias. Cuidemos da nossa gente!
Fio baseado em informações de release da Universidade de Liverpool

Imagens: Eaulas USP, Ministério da Saúde, Wikipedia e Jul Sousa (HuffPost)

Crédito dos infográficos nas próprias imagens

Link para o artigo:
thelancet.com/journals/laneu…

• • •

Missing some Tweet in this thread? You can try to force a refresh
 

Keep Current with Luiza Caires - jornalista de ciências

Luiza Caires - jornalista de ciências Profile picture

Stay in touch and get notified when new unrolls are available from this author!

Read all threads

This Thread may be Removed Anytime!

PDF

Twitter may remove this content at anytime! Save it as PDF for later use!

Try unrolling a thread yourself!

how to unroll video
  1. Follow @ThreadReaderApp to mention us!

  2. From a Twitter thread mention us with a keyword "unroll"
@threadreaderapp unroll

Practice here first or read more on our help page!

More from @luizacaires3

Sep 26, 2023
💇‍♀️Adivinha qual desses fios de cabelo, mostrados em microscopia eletrônica, passou por escova progressiva mais descoloração? (+)
Foto em microscopia eletrônica de um fio de cabelo que passou por progressiva e descoloração, danificado, ressecado e quebradiço.
Foto em microscopia eletrônica de um fio de cabelo virgem, aparência normal.
O da esquerda (aposto que você acertou).

Uma combinação de técnicas, entre elas o espalhamento de raios-X, foi capaz de mostrar, pela primeira vez em escala molecular, os danos que o alisamento ácido (progressiva) causa ao córtex, cutícula e camadas lipídicas da fibra capilar.
"Tratamentos como descoloração e alisamento, interagem com o cabelo em nível molecular, induzindo alterações em seus componentes e modificando as propriedades físico-químicas e mecânicas das fibras”, explica autora da pesquisa feita no Instituto de Física da USP.
Read 7 tweets
Aug 19, 2023
🧠👵👴Não é só você que fica intrigado com aqueles idosos de 80+ que parecem ter uma memória e acuidade mental melhores que as suas.

A ciência já notou esses tipos, deu nome a eles (superagers) e anda investigando o que eles podem ter de diferente de nós mortais...
Esses estudo aqui acompanhou alguns deles, e além de confirmar com exames que eles parecem perder massa cinzenta mais devagar que a média, também buscou ver se haviam fatores de estilo de vida associados a isso.

thelancet.com/journals/lanhl…
Image
De forma geral esses idosos tiveram menos depressão e ansiedade ao longo da vida, relataram dormir melhor e ter relações sociais mais satisfatórias, e eram mais rápidos nos movimentos. Anos de estudos, ao contrário do que mostraram pesquisas anteriores, não teve associação.
Read 9 tweets
Nov 18, 2022
Estudo identifica mecanismo que pode estar envolvido com depressão e perda de memória na covid e pós-covid

Pesquisadores de USP, Unicamp e UFRJ mostraram que o Sars-Cov-2 infecta astrócitos – tipo de célula cerebral – e isso pode estar ligado a distúrbios neurológicos.

Siga 👇 Exame de imagem mostra cortes do cérebro com algumas áreas
Pesquisa identificou material genético do coronavírus em cérebros com focos de infecção nos astrócitos. Menos conhecidos mas tão importantes quanto os neurônios no sistema nervoso...
...eles fazem parte das chamadas células da glia, e têm funções como o suporte funcional e nutricional dos neurônios, os mantendo em estabilidade. Foto de microscópio mostra em amarelo e roxo astrócitos de
Read 12 tweets
Nov 17, 2022
💉 Fabricar uma vacina não é o mesmo que desenvolvê-la. Não foram só as da covid: nenhuma das que são aplicadas hoje no PNI teve o desenvolvimento integralmente feito no Brasil.

🇧🇷 Mas quais são os problemas desta falta de autonomia? 👇
E será que podemos nos tornar menos dependentes de tecnologia externa quando o assunto são vacinas?
Em uma reportagem especial em quatro partes discutimos o cenário e entraves do Brasil no setor. Investimento apenas pontual, falta de apoio político e fuga de cérebros estão entre eles...
Read 9 tweets
Nov 7, 2022
Há uma nova variante da covid, possivelmente já em circulação no Brasil. E responsável por uma onda que começamos a sentir.

Enquanto isso, o governo não providenciou uma campanha para vacinar bebês até 3 anos...👇
Ainda pode ter morte evitável aí.

De criança.

Ou sequelas

Por puro descaso, birra, negacionismo, desumanidade.

49% dos eleitores podem ter esquecido. Eu jamais esquecerei.
Você lembra o que a covid fez com idosos, adultos e jovens não vacinados? Com criança é mais raro haver forma grave, mas também acontece.

É criança meu deus do céu... bebês 😥
Read 7 tweets
Nov 4, 2022
Uma festa na Coreia do Sul acabou em tragédia com +de 150 mortos. Presos na multidão, alguns sufocaram e outros foram pisoteados.

Mas o que causa este tipo de tragédia? E há algo que se possa fazer nessa situação para se proteger? Os cientistas têm algumas respostas, acompanhe👇
A partir de outra tragédia que cvitimou 362 peregrinos na Meca, filmada por vários ângulos, uma equipe do físico Dirk Helbing ajudou a explicar:
Trata-se de um fenômeno coletivo que ocorre espontaneamente quando a densidade de pessoas atinge um limite crítico:

6 pessoas por m2
Nesse nível, os contatos entre os corpos são tão intensos que até o menor movimento desencadeia uma onda de debandada que se espalha.

São ondas de choque, semelhantes às sacudidas sísmicas dum terremoto, fazendo as pessoas caírem no e serem submetidas a pressões esmagadoras.
Read 20 tweets

Did Thread Reader help you today?

Support us! We are indie developers!


This site is made by just two indie developers on a laptop doing marketing, support and development! Read more about the story.

Become a Premium Member ($3/month or $30/year) and get exclusive features!

Become Premium

Don't want to be a Premium member but still want to support us?

Make a small donation by buying us coffee ($5) or help with server cost ($10)

Donate via Paypal

Or Donate anonymously using crypto!

Ethereum

0xfe58350B80634f60Fa6Dc149a72b4DFbc17D341E copy

Bitcoin

3ATGMxNzCUFzxpMCHL5sWSt4DVtS8UqXpi copy

Thank you for your support!

Follow Us!

:(