Alex Richter-Boix Profile picture
Sep 26, 2020 6 tweets 3 min read Read on X
Reconstrucción en 3D de la momia de un niño durante el período grecorromano de Egipto y comparación con el retrato del sarcófago. Image
Este es el aspecto del sarcófago y el retrato de la época del niño modificado. ImageImage
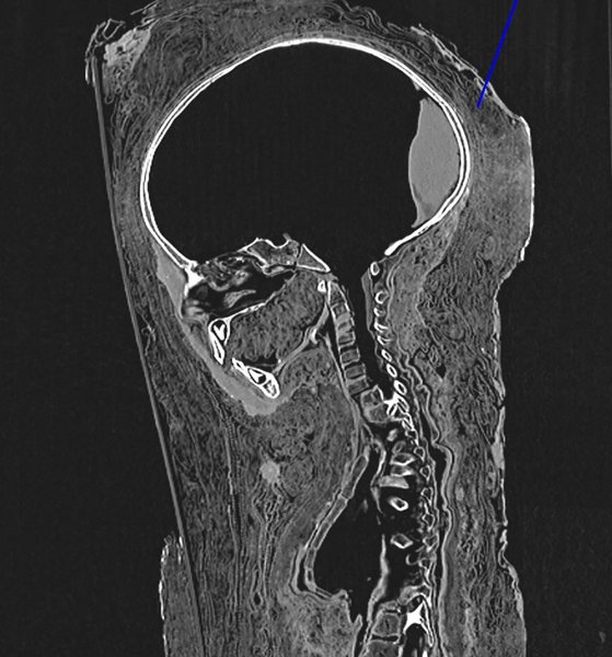
CT-scan del sarcófago sin dañarlo. ImageImageImageImage
Reconstrucción del rostro a partir del esqueleto. ImageImageImageImage
Aspecto final del niño que debía tener entre 3 y 4 años en el momento de su muerte, aunque en el retrato funerario aparece representado con más años, quizá por las convicciones artísticas de la época. Image

• • •

Missing some Tweet in this thread? You can try to force a refresh
 

Keep Current with Alex Richter-Boix

Alex Richter-Boix Profile picture

Stay in touch and get notified when new unrolls are available from this author!

Read all threads

This Thread may be Removed Anytime!

PDF

Twitter may remove this content at anytime! Save it as PDF for later use!

Try unrolling a thread yourself!

how to unroll video
  1. Follow @ThreadReaderApp to mention us!

  2. From a Twitter thread mention us with a keyword "unroll"
@threadreaderapp unroll

Practice here first or read more on our help page!

More from @BoixRichter

May 25, 2023
La actual pérdida de biodiversidad podría ser peor de lo que hasta ahora se creía, o eso sugiere un nuevo análisis sobre las tendencias poblacionales de más de 71.000 especies de animales. Los resultados no son optimistas... ImageImageImageImage
De hecho, indican que el declive de muchas especies no queda bien reflejado en la lista de la UICN. La categoría con el estado de conservación de las especies asignado por la UICN estaría indicando la situación de riesgo actual de las especies pero no su tendencia. Image
Y la tendencia es un aspecto importante, al final un proceso de extinción no es más que un fenómeno demográfico, es el resultado de un declive poblacional sostenido en el tiempo hasta llegar a un punto en el cual cambiar la tendencia no es posible y se extingue el organismo. Image
Read 11 tweets
May 24, 2023
Las gaviotas escogen su comida en base a lo que ven comer a las personas. Un experimento demuestra que estas aves son excelentes aprendices sociales con un alto nivel de cognición. El experimento es realmente sencillo: Image
Supone exponer a las gaviotas dos bolsas de patatas: una de color rojo y otra verde. A 5 metros de distancia de las bolsas se sitúa una persona que a veces actúa como simple observador, y en otras como patatas de una bolsa roja o de una bolsa verde. Image
A partir de este diseño tan sencillo se ha visto que el 48 % de las gaviotas se acercaban a las bolsas de patatas cuando el experimentador estaba comiendo, pero solo un 19 % cuando no comía y solo observaba. Image
Read 5 tweets
May 23, 2023
Las ballenas boreales o de Groenlandia, los mamíferos más longevos del mundo, raras veces se ven afectadas por el cáncer. Los animales más grandes tienen más células y por tanto deberían tener más probabilidades de desarrollar cáncer pero no es el caso. Image
Este fenómeno se conoce como la paradoja de Peto. De hecho, se ha observado que muchos animales masivos tienen tasas muy bajas de cáncer, entre ellos la ballena boreal: un animal que puede pasar de los 80.000 kilos y vivir más de 200 años. Image
Se ha planteado que los animales de gran tamaño tienen más mecanismos celulares de reparación de ADN, dando así la vuelta a las probabilidades de padecer un cáncer. Un nuevo estudio ha descrito el mecanismo en las ballenas boreales. Image
Read 10 tweets
Feb 3, 2023
Durante mucho tiempo se ha creído que los vínculos afectivos de los topillos de las praderas (Microtus ochrogaster) se debían a la oxitocina, la popularmente conocida como "hormona del amor". Se atribuía a esta hormona su monogamia y lazos afectivos. Pero estábamos equivocados.
Estos ratoncillos campestres han sido muy estudiados en las últimas décadas por su inusual compromiso con la familia. Son de los pocos mamíferos socialmente monógamos que crían cachorros juntos y se aparean exclusivamente con sus parejas. Algo casi inusual entre los mamíferos.
Son tan sociales, que si a una pareja se le colocan las crías de otra pareja, los aceptan, adoptan y crían como si fuesen sus propios cachorros. Esto, también es inaudito para un roedor. Vamos, que son unos animales de lo más sociales y empáticos.
Read 19 tweets
Feb 2, 2023
Nuevos análisis sugieren que los neandertales cazaban elefantes en Europa hace 125.000 años, lo que sugiere que o vivían en grandes grupos o hacían uso de técnicas para preservar la carne.
El trabajo se ha realizado analizando las marcas halladas en los huesos de hasta 70 elefantes y las piedras talladas de un yacimiento alemán de unos 125.000 años.
Las marcas de muchos de los esqueletos parecen indicar que los animales fueron despiezados y que se obtuvo meticulosamente toda la carne y grasa adherida a los huesos, incluso la de los pies.
Read 11 tweets
Jan 5, 2023
El arte paleolítico siempre ha cautivado nuestra imaginación: tanto por sus impresionantes representaciones figurativas como por sus enigmáticos símbolos; a ello se suma un nuevo estudio que sugiere que puede haber ahí un sistema de protoescritura, sería el más antiguo conocido.
Existen más de 400 cuevas europeas con arte rupestre en sus paredes, algunas de ellas de unos 42.000 años, donde predominan sobre todo las formas animales: caballos, bisontes, ciervos, renos y otra fauna de la época.
Muchas veces estas representaciones gráficas van acompañadas, bien alrededor o dentro mismo de las figuras, de símbolos abstractos como rayas, puntos, cruces o asteriscos, cuyo significado lleva debatiéndose mucho tiempo.
Read 16 tweets

Did Thread Reader help you today?

Support us! We are indie developers!


This site is made by just two indie developers on a laptop doing marketing, support and development! Read more about the story.

Become a Premium Member ($3/month or $30/year) and get exclusive features!

Become Premium

Don't want to be a Premium member but still want to support us?

Make a small donation by buying us coffee ($5) or help with server cost ($10)

Donate via Paypal

Or Donate anonymously using crypto!

Ethereum

0xfe58350B80634f60Fa6Dc149a72b4DFbc17D341E copy

Bitcoin

3ATGMxNzCUFzxpMCHL5sWSt4DVtS8UqXpi copy

Thank you for your support!

Follow Us!

:(