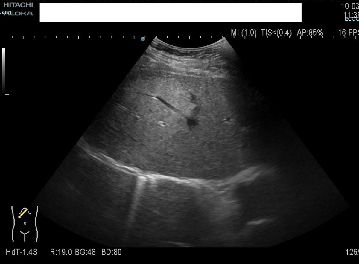
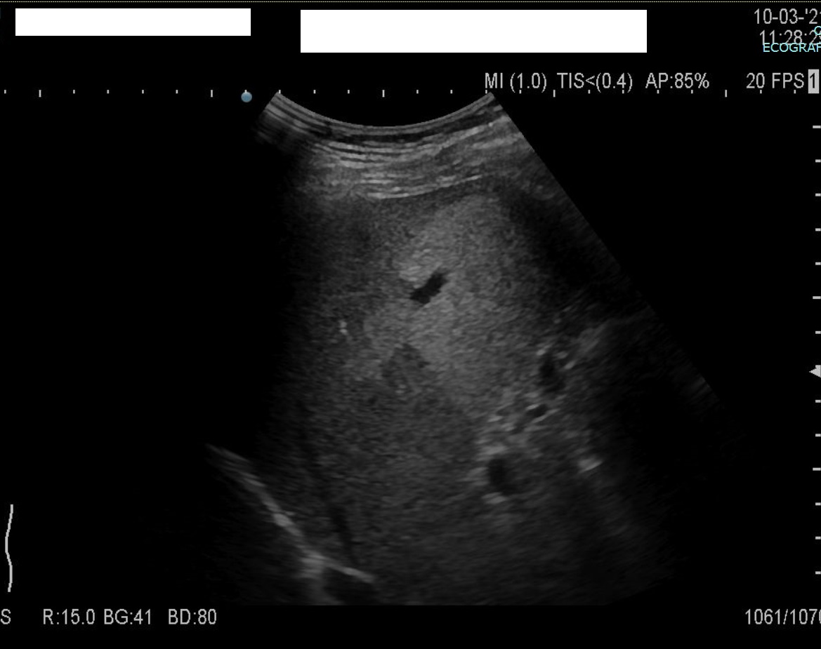
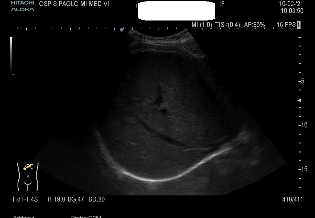
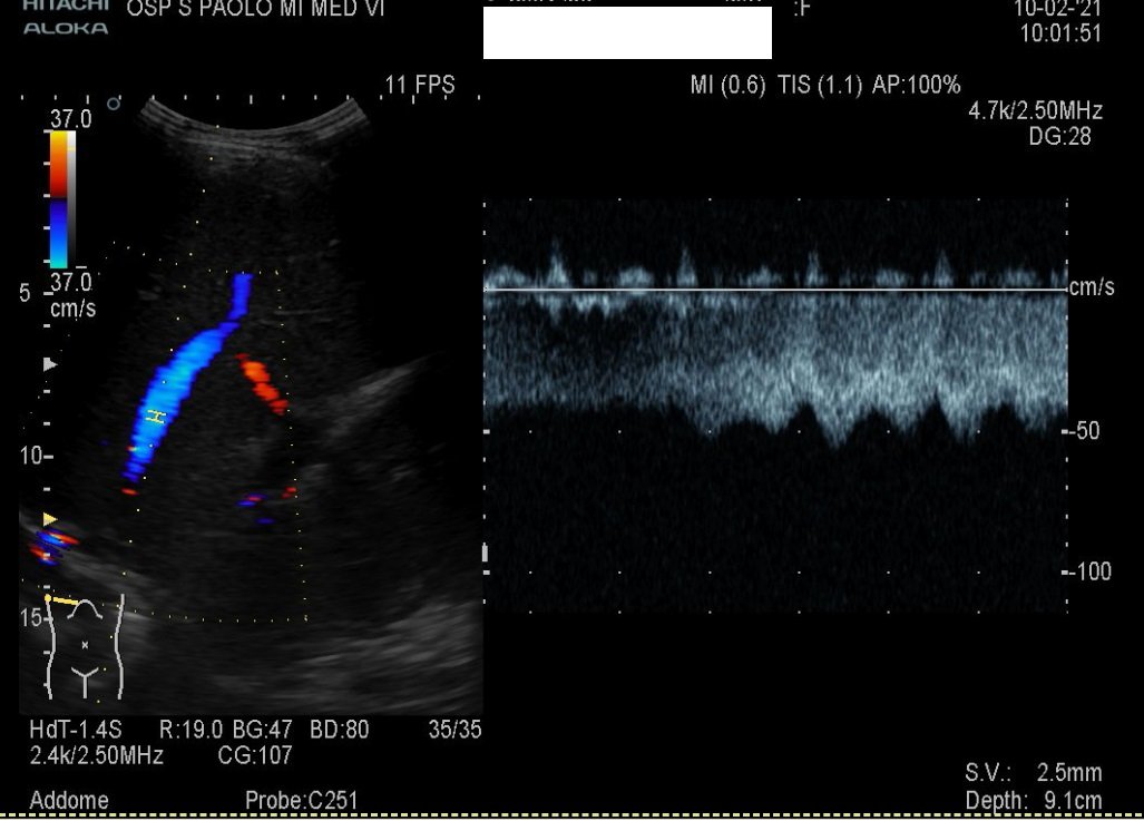
Parenchymal changes caused by liver hemodynamic alterations (pseudotumor).

Small areas of liver tissue are known to be supplied by a "third inflow" venous system separate from the usual dual blood supply of the portal vein and hepatic artery.
This is a normal variant and it is composed of aberrant veins or parts of normal veins that directly enter the liver independently of the portal venous system; such veins communicate with intrahepatic portal branches to various degrees.
Areas of focal fatty sparing and focal steatosis may develop due to altered hepatic blood flow associated with these vessels. The concentrations of hormones (eg. insulin), and nutrients (eg. dietary fat), in the third inflow, could be different from those in the portal blood.
These differences could contribute to the heterogeneous deposition of fat. The reason why similar variations in blood supply cause focal fatty infiltration in some patients and focal spared area in others is still unknown.
Pearl: Third inflow can also play an important role in the blood supply of the liver in the setting of portal vein thrombosis.

Below an example in a 53y man with large areas of focal steatosis results of massive portal thrombosis (Antiphospholipid syndrome).

• • •

Missing some Tweet in this thread? You can try to force a refresh
 

Keep Current with Giacomo De Luca

Giacomo De Luca Profile picture

Stay in touch and get notified when new unrolls are available from this author!

Read all threads

This Thread may be Removed Anytime!

PDF

Twitter may remove this content at anytime! Save it as PDF for later use!

Try unrolling a thread yourself!

how to unroll video
  1. Follow @ThreadReaderApp to mention us!

  2. From a Twitter thread mention us with a keyword "unroll"
@threadreaderapp unroll

Practice here first or read more on our help page!

More from @jackdeliuc

26 Feb
Point-of-Care Ultrasound Applications in the Outpatient Clinic: A rapid diagnosis of Congestive hepatopathy in an ederly man, applying VExUS at the bedside.
His medical history was remarkable for (referred) Afib.
@NephroP @ButterflyNetInc @hepocus @HunPocus @Pocus101 @pocusmeded
1) IVC is clearly dilated with absence of inspiratory collapse.
2) Dilated hepatic veins
Read 6 tweets
25 Feb
A case of EBV Acute Hepatitis in adulthood.

There are no significant changes in liver echo-texture in acute viral hepatitis.
However, enlarged perihepatic lymph nodes are a fairly constant feature.

@hepocus @Pocus101 @pocusmeded @thepocusatlas @NephroP @drmarcogarrone
Doppler techniques can be used to
reveal an unspecific hyperdynamic state in hepatic vessels with a higher diastolic arterial
blood flow when compared with healthy individuals.
Owing to oedema and narrowing of the hepatic veins, the flow pattern is often
non-triphasic
Read 5 tweets

Did Thread Reader help you today?

Support us! We are indie developers!


This site is made by just two indie developers on a laptop doing marketing, support and development! Read more about the story.

Become a Premium Member ($3/month or $30/year) and get exclusive features!

Become Premium

Too expensive? Make a small donation by buying us coffee ($5) or help with server cost ($10)

Donate via Paypal Become our Patreon

Thank you for your support!

Follow Us on Twitter!