Za N1 TV Sarajevo : Simptomi long covida: Od dijabetesa, aritmije, do ‘mentalne magle
VIJESTI Autor:N1 BiH 2. nov.2021
Gošća Novog dana bila je primarijus doktor Slavica Plavšić, specijalista za plućne bolesti iz Beograda, koja nam je pojasnila kako izgleda sve češća pojava ⬇️
takozvanog 'produženog covida', navodeći kako praktično 'ne postoji simptom koji ne može da se pojavi u post-covidu. Govorila je i o opasnom liječenju Ivermektinom, lijekom registrovanim samo u veterinarskoj medicini, potom o vakcinaciji djece za koju kaže 'da su sada itekako ⬇️
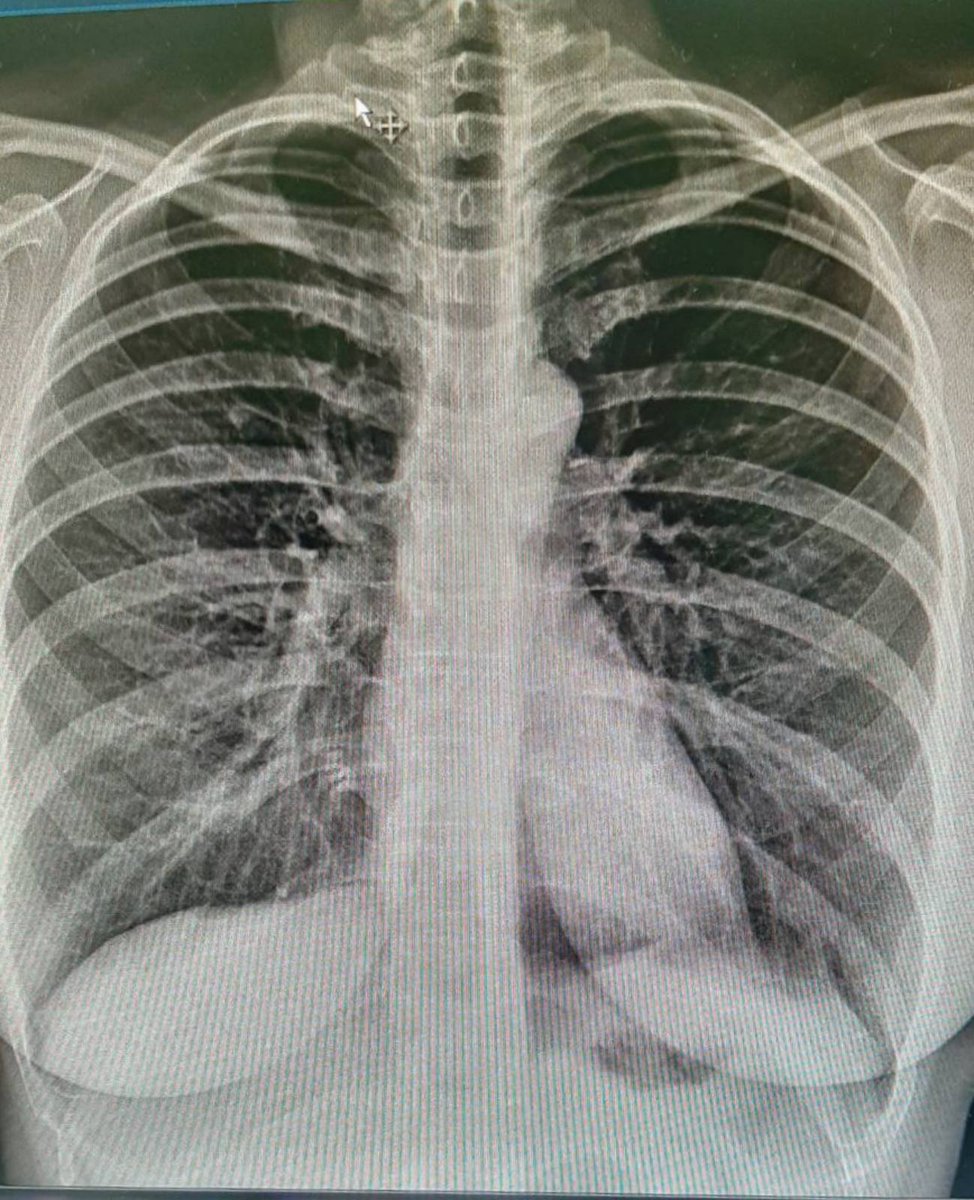
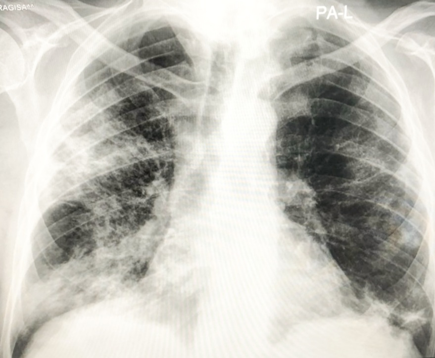
ugrožena', ali je pojasnila i kako dolazi do izuzetno teških slučajeva u kojima se 'čak i za nekoliko sati razviju ekstremno teške pneumonije'.Zabrinjavajuće su slike koje vidimo u medijima – rtg snimke oboljelih osoba koje ljekari opisuju sa ”pacijent gotovo i nema pluća”⬇️.
Vakcinisani mnogo rijeđe obolijevaju od covida-19. Covid može da prođe kao jako blag, ali često znaju da se jave i ekstremno teški oblici, gdje se čak i za nekoliko sati naprave užasne pneumonije koje bukvalno razaraju pluća. Koronavirus ima osobinu da oštećuje endotel krvnih⬇️
i dovodi do trombotičkih poremećaja na plućima i srcu, u mozgu. To je veoma kompleksan mehanitzam poremećaja koji uvodi pacijenta u kritična stanja opasna po život. Ako bolest traje duže od mesec dana, onda govorimo o
Long covidu ili produženom kovidu koji je sve češća pojava⬇️
To je multisistemska bolest praćena mnogobrojnim simptomima, kako opštim, tako i po sistemima organa.Češće se javlja kod onih koji nisu vakcinisani.Karakteriše ih grupa opštih simptoma, kao što su slabost,malaksalost, zamaranje pri najmanjem fizičkom naporu,bol u grudima,kašalj⬇️
glavobolja, kardiovaskularni problemi :aritmija, hipertenzija, metabolički problemi, dijabetes melitus kod ljudi koji ga nisu imali – bukvalno ne postoji simptom koji ne može da se javi u post-covidu;od opadanja kose,do gubitka čula mirisa i ukusa koji traje,kožnih promjena⬇️
Ono što pacijente sa produženim covidom posebno plaši su neurološki i psihološki problemi, u smislu anksioznosti, dezorijentisanosti, poremećaja sna, i takozvane ‘mentalne magle’.To su stanja koje pacijenti opisuju kao da se gube, kao da ne znaju šta im se dešava, da nisu svoj⬇️i
Čitava grupa stručnjaka treba da bude uključena u liječenju ovih pacijenata.U razvijenim zemljama postoje i bolnice koje se bave post-covid pacijentima. Upitana da prokomentariše činjenicu da veliki broj ljudi se ne želi vakcinisati, kaže da “to izgleda kao nekakav fenomen koji⬇️
koji je za zemlje Balkana tipičan.Antivaksera ima svugdje u svijetu, ali nekako kao da su se najviše primili i postali najbučniji i najagresivniji na ovim prostorima.Ovaj fenomen teško objasniti, naročito činjenicu da sve više ljudi posežu za alternativnim metodama lečenja⬇️
To je vjerovatno zato što ovo predugo traje, ljudi dobijaju mnogo različitih informacija i vlada opšte nepovjerenje prema svemu i svačemu.Tražeći neki magični štapić posežu i za takvim lijekovima, poput Ivermektina, koji je registrovan samo u veterinarskoj ne i humanoj medicini⬇️
To je veoma opasno, lek je toksičan i neshvatljivo je da je toliko zaživio.Najopasnije je to što se preko viber grupa "ordinira" deci,trudnicama i onkološkim pacijentima, a "ordinarijusi" su često profesori medicinskog fakulteta.Treba uraditi sve da se ovoj pojavi stane na put⬇️

• • •

Missing some Tweet in this thread? You can try to force a refresh
 

Keep Current with Slavica Plavšić

Slavica Plavšić Profile picture

Stay in touch and get notified when new unrolls are available from this author!

Read all threads

This Thread may be Removed Anytime!

PDF

Twitter may remove this content at anytime! Save it as PDF for later use!

Try unrolling a thread yourself!

how to unroll video
  1. Follow @ThreadReaderApp to mention us!

  2. From a Twitter thread mention us with a keyword "unroll"
@threadreaderapp unroll

Practice here first or read more on our help page!

More from @SlavicaPlavsic

11 Oct
‼️ Važno‼️ Za sve koji su primili samo jednu dozu vakcine, iz bilo kog razloga, a od tada je prošlo 6 meseci, računa se kao da nisu vakcinisani! Ovo je posebno značajno za gradjane koji su primili samo prvu dozu Astra Zeneke! ( mada važi i za sve druge vakcine).Oni mogu na⬇️
‼️ vakcinalnim punktovima da prime prvu dozu željene vakcine, a posle 21 dan i drugu.
Ovo obaveštenje važi od petka, 11oktobra 2021g i informacioni sistem prihvata tu opciju. Za sada je Institut Batut ovu informaciju prosledio samo kao interno, a ne i zvanično obaveštenje⬇️
‼️ Na nekim vakcinalnim puntovima sa kojima sam uspela da se čujem (DZ Stari Grad), ova mogućnost je zaživela i funkcioniše. Institutu za javno zdravlje Batut sam poslala mejl sa zahtevom da, pored interne preporuke, izdaju i zvanično obaveštenje jer se radi o informaciji od ⬇️
Read 6 tweets
29 Sep
Odugovlačenje samo pokazuje nepostojanje hrabrosti,autoriteta i političke volje da se korisne mere sprovedu u korist zdravlja građana i očuvanja zdravstvenih radnika i zdr. sistema nova.rs/vesti/drustvo/…
2.Kad zdravstvene vlasti nisu sposobne da reše problem, uvek je najbolje rešenje prebaciti "kosku" narodu pa neka se ljudi glože medjusobno.
Ministar zdravlja Zlatibor Lončar izjavio je da su kovid propusnice spremne, ali da odluka o njihovom uvođenju još nije doneta.⬇️
3."O toj odluci se razgovara, razmišlja i traži se najbolje rešenje"..i tako već 2-3 meseca.Dok u uredjenim evropskim i svetskim državama kovid propusnice,"zeleni pasoši"...uveliko uspešno funkcionišu,naše vlasti se premišljaju, dogovaraju, kalkulišu, idu linijom nezameranja ⬇️ Image
Read 18 tweets
27 Sep
Prenosimo razgovor iz podkasta Ujedinjenih protiv kovida posvećenog imunizaciji
Ko bi trebalo da primi treću dozu, a ko može da sačeka? Dnevni list Danasa izdvojio je nekoliko tema koje posebno značajni, prenoseći
stavove drMarkovića i dr Miloševićdanas.rs/drustvo/ko-bi-… ⬇️
Konsenzus u svetu jeste da treba dobiti treću dozu.Treća doza u vakcinaciji nije ništa novo,već je standard i njen smisao jeste da pojjača i produži imunski odgovor, kod nekih vakcina je to doživotno, kod nekih više godina – ističe se u podkastu.Ono oko čega postoje neslaganja⬇️
je da li treću dozu treba primiti odmah ili sačekati.Razlozi koji se navode u prilog tome da je potrebno možda sačekati su na jednoj strani etičke prirode, jer se postavlja pitanje da li je u redu da građani pojedinih država primaju sada i treću dozu a stanovnici nekih zemlja⬇️
Read 22 tweets
26 Sep
EKSKLUZIVNO "Blic" objavljuje rezultate PRVOG ISTRAŽIVANJA O DELTA SOJU U SRBIJI: Koliko se vakcinisanih razbolelo, koja je glavna razlika u odnosu na nevakcinisane i koliko koja vakcina štiti
blic.rs/vesti/drustvo/…
1.Prvo istraživanje delta soja korona virusa, koji je trenutno prisutan u Srbiji, potrdilo je dve činjenice. Da, i vakcinisani se razboljevaju. Međutim, razlika između imunizovanih i onih koji nisu primili vakcinu je drastična i to baš gde je i najbitnije - odlazak u bolnicu i ⬇️
2. broju onih koji su dospeli na intezivnu negu.Broj uzoraka je iznad reprezentativnog
Nakon što je pre nekoliko meseci objavljeno istraživanje o uspešnosti svake vakcine posebno, iznova je i proučavanje zaražavanja delta sojem urađeno prvo u Kragujevcu.Broj praćenih slučajeva ⬇️
Read 10 tweets
26 Sep
Moja hiperbola o Vučićevim igračkama, je deo uredničkog komentara u novom broju novina Nova. Jedino me je "prekrstio" u Biljanu Plavšić.😟 Lapsus calami! Dakle citat glasi;
„Predsednik Vučić u priči sa vakcinama podseća na ono kad dete hoće da dobije prvi, novu igračku.I dobio⬇️ Image
je, tj kupio četiri vrste vakcina, u dovoljnom broju, i više od toga, pa je delio svuda redom. Međutim, kad se izigrao sa svojom skupocenom igračkom, dosadaila mu je, kao i svakom detetu, kojem nova igračka u jednom trenutku više nije interesantna. Prešao je na nove igračke⬇️
zanimljivije. Sada vakcine pominje kao "švedski sto" Izvolite birajte. A narod neće!? Tako je bilo i sa respiratorima. Nabavio je aparate kojima nema ko da upravlja i samo ih ostavio da trunu. Sve mu je to brzo dosadilo, i sad mu je svejedno“. Ipak, trebalo da ima u vidu da je⬇️
Read 5 tweets
23 Sep
I u današnjem broju NIN-a, razgovor sa sjajnom Sandrom Petrušić. Biti sagovornik u dva uzastopna broja NIN-a, za mene je izuzetna čast!
Пацијенти на ничијој земљи
Напредњачка тријажа
Није ковид баш исти за све: некоме ће, попут Миломира Марића, лично директор Инфективне дати ⬇️
2. терапију, а неко ће испред те Инфективне клинике провести ноћ на дасци чекајући да добије бочицу антибиотика
Ужурбано и на самој ивици панике председник Вучић је на ванредној конференцији за медије најавио – сутра излазимо са нашим мерама. Па и било је време, званично умиpe⬇️
3.скоро 40људи дневно, а у међувремену смо обавили све што је било неопходно: успешно смо оженили Гашићевог сина, провеселили се и прописно издивљали на фудбалској утакмици и без икаквог ограничења напевали и напљували са антиваксерима у ужем центру престонице. Oнда је уследило⬇️
Read 23 tweets

Did Thread Reader help you today?

Support us! We are indie developers!


This site is made by just two indie developers on a laptop doing marketing, support and development! Read more about the story.

Become a Premium Member ($3/month or $30/year) and get exclusive features!

Become Premium

Too expensive? Make a small donation by buying us coffee ($5) or help with server cost ($10)

Donate via Paypal Become our Patreon

Thank you for your support!

Follow Us on Twitter!

:(