Clucky Profile picture
Apr 13, 2022 15 tweets 6 min read Read on X
1/The parallels between COVID and snake venom aren't what you think. There is an explanation and it is scientific but it does not have anything to do with there being snake venom in the protein sequence. I do not find any protein homology to Sars2. See this thread. 👇
2/Yes, there is an enzyme, a serine protease, called elastase that is associated with acute lung injury. Elastase breaks down elastin. In your body, there is digestive elastase (pancreas) and neutrophil elastase (immune system) - Same enzyme different functions. Image
3/ Known since before Sars1 that neutrophil elastase causes severe lung injury. It damages the tissue, literally destroys the tight junctions between cells. Imagine lung tissue that allows fluids and air to flow in between cells. How could you breathe? pubmed.ncbi.nlm.nih.gov/12223222/ Image
4/ Mainly the Japanese who researched the association between neutrophil elastase and Sars Coronavirus #1. There were conclusions that not only did elastase damage lung tissue but also seemed as though the virus used it to gain access to other receptors. pubmed.ncbi.nlm.nih.gov/16116101/ Image
5/ Maybe there are people who believe that the clinical manifestation of severe COVID has some parallels to the severe toxicity of snake venom. The common denominator to both is role of serine protease in the pathology. But different reasons are involved - not protein homology. Image
6/ I can understand why people think that there are parallels to snake venom. Look at this paper. 👇 Next I will show you how the same types of pathologies are being cause by NEUTROPHILS, NETs and neutrophil elastase. sciencedirect.com/science/articl…
7/ Snake venom serine proteases cause pathologies that we believe that we also see in severe COVID especially those who die and have an autopsy. The reason is not because there are snake venom proteins in the virus. It is the biological coincidence of what serine proteases do. Image
8/ Neutrophil elastase, a serine protease, has the same/similar effect on blood coagulation factors as does snake venom. Sars2 does not contain snake venom proteins. karger.com/Article/Abstra… Image
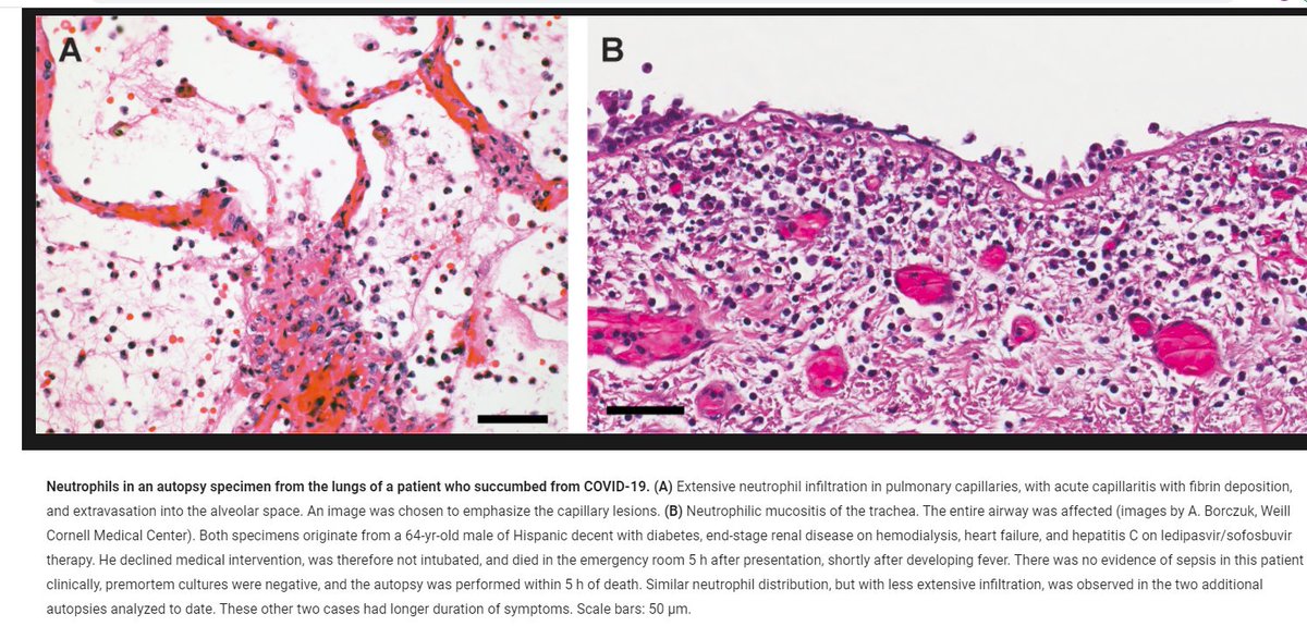
9/Here is a paper regarding the autopsy results that show the neutrophil problem. rupress.org/jem/article/21…
10/ The autopsy in the above paper show very extensive neutrophil infiltration in the lung tissue and vessels. Image
11/ Serine proteases are the foundation of the similarity of severe covid to snake venom. The proteins in this paper are NOT a match other than a very small fragment which only has "structural" similarity. ncbi.nlm.nih.gov/pmc/articles/P… Image
12/ Here the author hypothesizes about reason for the "structural" similarity. There is nothing about this which points to anything other than small peptide fragments which occur in nature with similar binding characteristics. NOT that there is snake venom in the Sars2 virus. Image
13/ Now, if you think that I missed the point that Arizona researchers found secreted phospholipases A2 (sPLA2s) which have similarities to snake venom, I am going to show you that they measured the precursor that activates neutrophils to secrete elastase. news.arizona.edu/story/venom-co…
14/ If high levels of sPLAs were present in severe COVID, you learn: a) associated with autoimmune and inflammatory disease, b) could have a genetic component, c) could be what has stimulated neutrophils to produce elastase cause of hypercoagulation. Image
15/ Why is the enzyme in the Arizona research, phospholipidase A2, the precursor to neutrophil elastase? Neutrophils have a sPLA2 receptor on the surface membrane that is activated by sPLA2, which stimulates neutrophils to produce elastase. journals.physiology.org/doi/full/10.11…

• • •

Missing some Tweet in this thread? You can try to force a refresh
 

Keep Current with Clucky

Clucky Profile picture

Stay in touch and get notified when new unrolls are available from this author!

Read all threads

This Thread may be Removed Anytime!

PDF

Twitter may remove this content at anytime! Save it as PDF for later use!

Try unrolling a thread yourself!

how to unroll video
  1. Follow @ThreadReaderApp to mention us!

  2. From a Twitter thread mention us with a keyword "unroll"
@threadreaderapp unroll

Practice here first or read more on our help page!

More from @Clucky92864053

Jun 11, 2025
We cannot allow data from any clinical trials outside the United States to be used for any licensing of any product to be marketed in the US. We have no jurisdiction over foreign physicians. There is no consequence for their malfeasance or incompetence. Image
Here is Argentina. Image
Here is Germany. Image
Read 5 tweets
Jun 8, 2024
For those who have followed me from real name, Ducky, to Clucky, you know that I have been telling you for 4 years that Sars2 is a vector vaccine. It is not a generic base but has been modified to be for HIV and contains a biological adjuvant specific to Chinese alleles. See👇
1/Furin cleavage insert PRRAR: All viruses must utilize protease cleavage in order to gain entry to a cell and replicate. Diagram 1 = sequences of similar viruses. Diagram 2 = PRRAR was positioned upstream of the cleavage sites of Sars1. RRAR is not optimal and needs TMPRSS.
Image
Image
2/There are both extracellular and intracellular proteases. Viruses have protease cleavage sites in their genome. Epigenetics creates viruses that use the location of the hosts proteases to adapt to replicating within different hosts. Image
Read 11 tweets
Jan 3, 2024
SPURIOUS (FALSE) HYPOXEMIA: A previously (prior to Covid) known phenomena occurring when patients with leukocytosis or thrombocytosis have low PaO2 on arterial blood gas analysis (ABG) but actual oxygen saturation is normal. Who told hospitals to ventilate without investigation?
Example #1 - 2013: Spurious hypoxemia occurs when patients with leukocytosis or thrombocytosis have low PaO2 on arterial blood gas analysis (ABG), but actual oxygen saturation is normal. .journal.chestnet.org/article/S0012-…
Example #2 - 2005: Failure to recognize spurious hypoxemia can lead to unnecessary diagnostic tests and therapeutic interventions, exposing patients to avoidable risk. A diagnostic algorithm is proposed.pubmed.ncbi.nlm.nih.gov/16096465/
Read 16 tweets
Oct 6, 2023
@JosephFraiman
1/Dr. Fraiman asks "Why do the mRNA vaccines cause myocarditis? Seriously does anyone understand the mechanism?" And the anonymous chicken answers. See the thread underneath the response.
@JosephFraiman 2/It doesn't happen to everyone. INFLAMMATION: occurs in those with gene polymorphisms in the IL-1 gene cluster (IL-1α, IL-1β, and IL-1 receptor antagonist) that result in greater expression of the agonists or reduced expression of the antagonist.ncbi.nlm.nih.gov/pmc/articles/P…
@JosephFraiman 3/Prolong inflammatory state will result in amyloid fibrosis of the heart muscle from the misfolded proteins. academic.oup.com/ckj/article/16…
Read 5 tweets
Oct 6, 2023
@JosephFraiman 2/Then the role of IL-1 in heart disease. "Anakinra is a recombinant human interleukin-1 competitive receptor antagonist that blocks the biologic effects of interleukin-1, thereby reducing systemic inflammatory responses." ncbi.nlm.nih.gov/pmc/articles/P…
@JosephFraiman 3/Prolong inflammatory state will result in amyloid fibrosis of the heart muscle from the misfolded proteins. academic.oup.com/ckj/article/16…
@JosephFraiman Inflammatory cytokines Interleukin 1 and Interleukin 6 induce intracellular production of Amyloid A in cardiac tissues and vessels. Then clinically it manifests as "stiff heart syndrome."
link.springer.com/article/10.100…
Read 4 tweets
Jul 10, 2023
1/THE LNP/mRNA VACCINE KILLS THE CELL IT TRANSFECTS AND CREATES DANGEROUS INFLAMMATION. Imagine that it transfects cells that do not regenerate and you have no control over that. This is not safe for children especially. Pfizer admits that the cell dies. See thread.
2/The Pfizer diagrams that are in their marketing material admit that the cell dies after it has produced the Spike Protein. Diagrams are showing that some Spike is released first in exosomes and later the cell dies when Spike is consumed by macrophages that consume dead cells.

3/ Natural cell death apoptosis (cell is worn out and dies) or necrosis (caused by natural trauma) causes cell to blebb, contents protrude and leak out the cell membrane. This shows the process. And explanation provided. Spike protein is the contents. https://t.co/R0949ioL1wptglab.com/news/blog/what…
Read 9 tweets

Did Thread Reader help you today?

Support us! We are indie developers!


This site is made by just two indie developers on a laptop doing marketing, support and development! Read more about the story.

Become a Premium Member ($3/month or $30/year) and get exclusive features!

Become Premium

Don't want to be a Premium member but still want to support us?

Make a small donation by buying us coffee ($5) or help with server cost ($10)

Donate via Paypal

Or Donate anonymously using crypto!

Ethereum

0xfe58350B80634f60Fa6Dc149a72b4DFbc17D341E copy

Bitcoin

3ATGMxNzCUFzxpMCHL5sWSt4DVtS8UqXpi copy

Thank you for your support!

Follow Us!

:(