Jay Kinariwala Profile picture
May 28 26 tweets 12 min read
Ever wondered how MR Spectroscopy (MRS) is acquired & how to interpret it? Have you ever come across funky looking zigzag graph with MRI & scratched your head?

If interested in learning BASICS of MRS, follow this 🧵

MRS for non-radiologists
#EmoryNCCTweetorials @MedTweetorials
First available since 1980, 1H-MRS is noninvasive technique uses proton signals to determine relative concentrations of tissue metabolites & thereby acquiring data about chemical composition of a tissue.
13C MRS
23Na MRS(neurocognitive,brain tumor research)
31P MRS(🫀&💪🏻research)
1H-MRS:
-Most widely used
-Performed on 1.5, 3 & 7 T
-Only adds 5-10 min of exam⏰

So why not do it with every MRI?
-Limited value &⬇️specificity
-Most of the time,history & MRI is just enough
-Adding 5-10 mins for every MRI⬇️productivity w/o significant gain in diagnostic yield
That being said, on the verse side, MRS has capability of detecting abnormality even when MRI sequences appear normal - e.g. leukodystrophies / mitochondrial disorders in children, where early WM changes are barely appreciated but MRS can detect it with a reasonable accuracy.
Purpose:
-ID tissue composition in Region of Interest indicated by Voxel (3D;like Pixel for 2D)
-Differentiate between different pathologies based on tissue composition when MRI is similar appearing like High-low grade glioma/metastasis/abscess/radiation necrosis/tumor recurrence
This is what a spectrogram looks like.
Components:
X axis=resonance frequency of metabolite (ppm)
Y Axis=Height of molecule peak depends upon concentration and available 1H
AUC=concentration of metabolite
Right side boxes indicate the Voxel,from which the spectrogram is obtained
MR spectrum=signals from different metabolites ID by unique & highly reproducible frequency distribution

Frequency of metabolite resonance(ppm)=electronic shielding.

Molecules with covalent bonding are coupled and results in doublet peak. E.g.Lactate,Creatinine,Alanine,Lipid.
Acquisition:
Generally 3 RF pulses are used at 90, 180 and 180 degree in orthogonal planes f/b listening to the signals (TE on x axis) due to Free Induction Decay (y axis)👉🏻Fourier transform👉🏻spectrogram

You can👂signals at any time after beginning of decay which determines 📈
TE=Echo time
Shorter TE=⬇️Free induction decay👉🏻⬆️signal heard.

Short TE=20-40 ms-shows more metabolites but has fluctuating baseline.

Intermediate 135-144 & very long 270-288)-better baseline but shows less metabolites - Cho, Cr, NAA but does not show Myoinositol, GLX & lipids
TE matters:

Here is the spectrum form same voxel at different TE.

Short TE=more metabolites but fluctuating baseline, artifactual ⬆️of NAA due to overlap with elevated Glx peak

Longer TE=flatter baseline but less number of metabolites seen, artifactual ⬆️in Cho peak

21215455
Magnet strength matters:
⬆️magnet strength has better defined peaks and low signal to noise ratio, gives better diagnostic yield.

Below is comparison b/w 1.5T & 3T

So if you want to see more metabolites with better signal to noise ratio, go for 3T and short TE.

16731366
Types of MRS:

-Single voxel(PRESS)
-Multi voxel(MRSI/CSI)

Which technique to use?
It depends upon what is the purpose of spectroscopy in that particular patient.

Single-Identify metabolites in small area for diagnosis
Multi-Compare metabolites over larger area for comparison
Single voxel (3 dimensional)
Uses 3 orthogonal slice selective pulses to select a signal from particular voxel where they intersect. The rest of the signals are removed.

Typical voxel size is 4-8 cm3

However, single voxel MRS does not provide spatial variation of metabolites
Multi voxel (2 dimensional)
Signal extraction of restricted region using PRESS sequence in 2 dimensions instead of 3.
Hence,you get a plate of voxels(think of it as flattened cube) 👉🏻 used to extract data of each metabolite to create color coded graphs based upon concentration
Why not get Multi-voxel when you can get more info?

Most of the times single-voxel is sufficient to make diagnosis

Multi-voxel takes longer⏰ to acquire

Multi-voxel MRS is more helpful when one wants to know proliferating part of tumor or differentiating tumor v/s recurrence
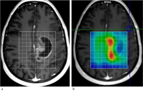
E.g. look at the scan below, on T1+C image, one can’t say what is the active growing part of the mass.

But multi-voxel MRS for Choline reveals red areas with ⬆️choline=indicating rapid proliferation.

T1 hypo intense area is probably the least proliferative, necrotic part.
CAUTION⚠️
You must suppress Water to see rest of the metabolites

If not👉🏻significantly dwarf other molecular peaks which we are interested in due to ⬆️⬆️concentration of water

Metabolites you can’t see with MRS-Dopamine,Serotonin & Ach- Conc <0.1 mmol/L & Proteins and enzymes
Spectrogram w/o water suppression:

Water resonates at 4.7 ppm and it is in the highest concentration👉🏻tallest peak👉🏻making other metabolite non-recognizable.

Poor water suppression is also suboptimal.

Look at the spectrogram below.
Source: @Radiopaedia
Now the most important, Learning metabolites:

-ID metabolite based on resonance frequency on x-axis (ppm)
-look at the height & shape of peak
-based on overall appearance of different metabolite peaks, differentiate underlying tissue

Here’s the table to remember for metabolites
Pitfalls:
-Lactate doublet is inverted w/ long TE
-Alanine doublet can be obscured by Lactate👉🏻alanine-specific for meningioma
-Glx can ⬆️NAA falsely at short TE. Compare w/ long TE NAA bcz Glx not seen on long TE
-Unlike Lactate, Lipid doublet doesn’t get inverted at long TE.
Voxel Location matters:

Spectrogram can look slightly different based upon the location.

More gray matter-⬆️ Cho and Cr, ⬇️NAA
More white matter-⬆️NAA

See below, examples of spectrogram from the same patient with different locations.
MRS ratios:
Sometimes, ratios of various metabolites is used rather than absolute concentrations.

Helpful in differentiating from low to high grade glioma

-NAA/Cr(abN <1.6)=viability of the tissue
-Cho/Cr (abN >1.5)= indicates cellular proliferation, used to grade neoplasms.
Cho/NAA(N=0.6) >sensitive and specific than NAA/Cr & Cho/Cr ratio to differentiate gliomas

Hunter’s angle(N~45):straight line drawn through all 3 major peaks (Cho,Cr,NAA) & its angle w/ horizontal plane is called HA

Reversed angle seen in tumors,radiation necrosis, abscess etc.
Take 🏠:
-Identify single / multi voxel
-look at 🧲 strength
-look at TE-short/long
-look at location of voxel & normal spectrogram for that location
-be aware of pitfalls listed before
-ID metabolites & concentration
-look at history, MRI and at last MRS, not reverse.
End of part 1 of this #tweetorial

In the next part, we’ll look at different patterns in different disease process like infection, tumor, demyelination, stroke & arrest & clinical application of MRS on real life scenarios based upon content above.

Till then, stay tuned…

• • •

Missing some Tweet in this thread? You can try to force a refresh
 

Keep Current with Jay Kinariwala

Jay Kinariwala Profile picture

Stay in touch and get notified when new unrolls are available from this author!

Read all threads

This Thread may be Removed Anytime!

PDF

Twitter may remove this content at anytime! Save it as PDF for later use!

Try unrolling a thread yourself!

how to unroll video
  1. Follow @ThreadReaderApp to mention us!

  2. From a Twitter thread mention us with a keyword "unroll"
@threadreaderapp unroll

Practice here first or read more on our help page!

More from @JayKinariwala

Mar 5
When was the last time you saw a pt with hepatic encephalopathy or lost a pt to cerebral edema from it?

Ever wondered why liver failure causes HE & Cerebral edema? What if conventional Rx fail?

If interested in journey to MARS, keep reading.
Bringing awareness to #neurologists. Image
Pt w/ MVA,G5 liver lac,hepatic art sacrificed,LFT 5k,NH3 250,GCS 4
Pt w/🍺cirrhosis,found down,severe rhabdo,CK📈,NH3 400s,renal shutdown,GCS 5
Pt w/ colon Ca on @KEYTRUDA w/jaundice DILI
Pt w/ liver transplant, p/w intractable pruritus

You got the gist-MARS aka Albumin dialysis
Pathyphysiology of cerebral edema in HE.

An article by @EWijdicks elegantly describes it. (PMID:27783916)

In Liver failure (LF), ⬆️NH3 cross BBB, converted to glutamine👉🏻osmotic gradient and CE.

Risk of cerebral edema (CE) ⬆️ with NH3 >200 micro moles/L. Image
Read 27 tweets
Dec 28, 2021
Humanity has but three great enemies: fever, famine and war; of these, by far the greatest, by far the most terrible, is fever. -Sir William Osler

That’s why temperature is one of the “vital signs” (not pain🤨) Image
So if you have ever wondered how body controls🌡 & never got an answer beyond - somewhere in 🧠hypothalamus; here’s an explanation.
🤕 is admitted H&H 4 SAH + IVH. This is the temp📈-shows, patient started spiking 🌡@ 24hrs & peaked ~72hrs. Cultures ⏲ ABX started on admission. Image
38.3 C = magic number for most of us to trigger “pan-culture” + “broad spectrum ABX” to fight off infection.

Does every fever needs to be addressed with ABX?? - probably not.

This is a #MedTwitter about Central fever aka neurogenic fever. From basics to treatment approaches.
Read 22 tweets
Nov 15, 2021
1/ Antiepileptic drugs: a constantly evolving frontier- like many other fields in #Neurology. It’s hard to know about every single medication in-depth. Here, I attempted to make AEDs simple, easy to understand and a handy layout of important facts to know about #AED #epilepsy.
2/ Let’s begin with understanding what is synapse and how it works, then only we can understand how the AEDs work. Look at the cartoon I created from references (acknowledged at the end) with help of an amazing app #Procreate. I’m a fan of @PeterMLawrence1 great art work !!
3/ Looks chaotic?Let’s break it down. You got this!
There are 2 main types of synapses.
A)Excitatory synapse-neurotransmitter is Glutamate- receptors are AMPA and NMDA
B)Inhibitory synapse-neurotransmitter is GABA-receptor is GABAa binding site on ligand gated Cl- channel
Read 24 tweets

Did Thread Reader help you today?

Support us! We are indie developers!


This site is made by just two indie developers on a laptop doing marketing, support and development! Read more about the story.

Become a Premium Member ($3/month or $30/year) and get exclusive features!

Become Premium

Don't want to be a Premium member but still want to support us?

Make a small donation by buying us coffee ($5) or help with server cost ($10)

Donate via Paypal

Or Donate anonymously using crypto!

Ethereum

0xfe58350B80634f60Fa6Dc149a72b4DFbc17D341E copy

Bitcoin

3ATGMxNzCUFzxpMCHL5sWSt4DVtS8UqXpi copy

Thank you for your support!

Follow Us on Twitter!

:(