RMR Profile picture
Oct 11 30 tweets 9 min read
Time to review one of my favorite topics in Neuroanatomy. The thalamus: from myth to neurology. 🧠🍏🚣

#Neurotwitter #Neurology #Neuroanatomy #Endneurophobia.

1/🧵
First of all a brief disclaimer.
The objective of the following thread is to illustrate in a practical and easy way the thalamic anatomy. Details on the newest advances in classification and function are outside of the main objective. 🧑‍🏫🏥⚕️

2/🧵
The word "Thalamus" comes from the greek word "θάλαμος" which means chamber. It was used to describe the main bedroom (mostly the bridal room) in a house in the ancient greece. 🛏️

3/🧵
Homer in the Odyssey, describes in a very much "neuroanatomical way" the importance of this "chamber". 🌳

4/🧵
"It was solidly placed in the most intimate and inner place of the house, sitting upon the trunk (the brainstem?) of an olive tree, and densely connected through its branches (the thalamic peduncles?) to its foliage (the telencephalon)."

5/🧵
Nowadays we know that is part of the diencephalon (along with the epi-,sub- and hypo- thalamus). It's size is 20 x 30 x 20 mm and has around 10 billion neurons.

6/🧵
The thalamus has many projections to different parts of the brain, therefore, it is involved in many functions such as movement, cognition, sensorial and limbic.
🧠🕺🥸

7/🧵
Limits:

Anterior: interventricular foramen 🕳️
Posterior: free pole of pulvinar 🛏️
Dorsal: lateral ventricle 💧
Ventral: hypothalamic sulci 🌅
Medial: third ventricle 🧠
Lateral: internal capsule 🕺

8/🧵
An easy classification can help us understand the different function of the vast quantity of nuclei in the thalamus.

1⃣Specific
2⃣Association
3⃣Nonspecific

Below I describe this classification.

9/🧵
The specific nuclei are divided in three types, according to their primary function:

🕺Motor
🥸 Sensory
❣️Limbic

Note: abbreviations will be explained later

10/🧵
Now, after having set the basics, we can finally begin.

11/🧵
Everytime you feel tired, bored or lost, come back to this picture as it will serve us as a summary and will guide us in avoiding confussion in our way to falling in love with the thalamus.

12/🧵
1⃣Specific Limbic Anterior Nucleus (yellow one 🟡):

➡️Afferences: mammillary bodies
⬅️ Efferences: Cingulate gyrus and prelimbic cortex
👨‍⚕️ Function: working memory, episodic memory, relay in the "Papez circuit"

Note: Lateral Dorsal (LD 🟠) is part of this nucleus

13/🧵
2⃣ Specific Motor Ventral Anterior Nucleus (one of the blue ones 🔵or VA)

➡️Afferences: basal ganglia
⬅️ Efferences: SMA, among other parts of the frontal lobe
👨‍⚕️ Function: part of the circuits of the basal ganglia and the functional loops

14/🧵
3⃣Specific Motor Ventral Lateral Nucleus (one of the blue ones 🔵or VL)

➡️Afferences: cerebellum
⬅️ Efferences: motor cortex, among other parts of the frontal lobe
👨‍⚕️ Function: part of the output circuits of the cerebellum and motor coordination.

15/🧵
4⃣Specific Sensory Ventral Posterior N(another blue one 🔵or VP).
Divided in VPLateral and VPMedial
➡️Afferences: spinothalamic and posterior column tracts (VPL) and trigeminal sensory system (VPM)
⬅️ Efferences: primary sensory cortex
👨‍⚕️ Function: sensory pathway relay
16/🧵
5⃣ Specific Sensory Medial Geniculate Nucleus (🟣 or MG)

➡️Afferences: inferior colliculus
⬅️ Efferences: temporal lobe
👨‍⚕️ Function: relay in hearing pathway 👂🦻

17/🧵
6⃣ Specific Sensory Lateral Geniculate Nucleus (🟣 or LG)

➡️Afferences: optic tract
⬅️ Efferences: occipital lobe
👨‍⚕️ Function: relay in visual pathway 👀

18/🧵
7⃣ Association Dorsomedial Nucleus (green one 🟢 or DM)

➡️Afferences: many structures, but mainly prefrontal cortex
⬅️ Efferences: prefrontal cortex
👨‍⚕️ Function: working memory, motivation, inhibition, mental abstraction

19/🧵
8⃣ Association Pulvinar Nucleus (pink one 🔴 or Pul)

➡️Afferences: different parts of visual pathway (occipital, LG and inferior colliculus)
⬅️ Efferences: sensory cortex and association cortex
👨‍⚕️ Function: visual association and attention

19/🧵
9⃣ Association Lateral Posterior Nucleus (🟠 or LP)
Works as a team with the pulvinar nucleus.

20/🧵
🔟Nonspecific intralaminar Nuclei (white one ⚪️ or IML)
Divided in rostral and caudal
➡️Afferences: reticular formation and basal ganglia
⬅️ Efferences: Frontal cortex mainly
👨‍⚕️ Function: wakefulness and attention

21/🧵
1⃣1⃣Nonspecific Reticular Nuclei or TRN

Divided in rostral and caudal
➡️Afferences: reticular formation
⬅️ Efferences: Frontal cortex mainly
👨‍⚕️ Function: wakefulness and pain response

22/🧵
And what about the blood supply?
It is divided in four regions, each one related to a specific thalamic syndrome when occluded.

23/🧵
Wanna now more? Here is a brief summary.
Details are subject of another thread.

24/🧵
Hope you enjoyed this brief summary!
In case you want to learn more about the thalamus, including details on the origin of the "pulvinar" name (spoiler alert: it has to do with greek mythology), here are the references:
1.- Neurosurg Focus. 2019 Sep 1;47(3):E13.
2.- Child’s Nerv Syst (2002) 18:386–404.
3.-Blumenfeld H. Neuroanatomy Through Clinical Cases, 2010.
4.- Board Review Series. Neuroanatomy. Fifth Ed. 2014.
5.- Curr Neurol Neurosci Rep. 2018 May 23;18(7):39.
6.- Fitzgerald MJ, Greuner G, Mtui E. Clinical Neuroanatomy and Neuroscience,2012.
7.- Trends Cogn Sci. 2018 Nov; 22(11): 1011–1025.
8.- J Neurosci. 2019 Jan 2; 39(1): 3–14.
9.- Paul Brazis’s Localization in Clinical Neurology 7th edition, 2017.
10.- Neuron. 2016 Jan 6; 89(1): 5–7.
11.- Curr Opin Neurobiol. 2003 Dec;13(6):663-70.
12.- Fahn: Principles and Practice of Movement Disorders 2011, 2nd Edition
13.- Blumenfeld H. Neuroanatomy Through Clinical Cases, 2010
14.- Handb Clin Neurol. 2018;151:185-206.
15.- Neurology. 2008 Sep 16;71(12):944-9.
16- J Clin Neurosci. 2020 Mar;73:1-7.
17.- Front Syst Neurosci. 2018 Oct 18;12:41.
18.- Handb Clin Neurol. 2015;129:3-25.
19.- Stroke. 2003;34:2264-2278.
20.- Pract Neurol 2014;14: 440–445.

• • •

Missing some Tweet in this thread? You can try to force a refresh
 

Keep Current with RMR

RMR Profile picture

Stay in touch and get notified when new unrolls are available from this author!

Read all threads

This Thread may be Removed Anytime!

PDF

Twitter may remove this content at anytime! Save it as PDF for later use!

Try unrolling a thread yourself!

how to unroll video
  1. Follow @ThreadReaderApp to mention us!

  2. From a Twitter thread mention us with a keyword "unroll"
@threadreaderapp unroll

Practice here first or read more on our help page!

More from @MedinaRiojaMD

Oct 5
Neurological Examination in the unconscious patient: there is still plenty to do. 😴🧠
#Neuro #EndNeurophobia #Neurotwitter #Neuroexam

1/🧵
Most of the time we are used to see fully conscious patients in the Neurology Service, nevertheless, there are plenty of situations (especially in the ER) where we need to assess patients with impaired consciousness.🏥

2/🧵
You are not wrong if you think the neuro exam won't be as detailed as with a fully cooperative patient but there is still plenty that we can do to establish an initial diagnosis and hence, propose adequate treatment. 🤔

3/🧵
Read 13 tweets
Sep 28
Variants of Alzheimer's disease

Once again, many syndromes, one pathology. 🧠💊🏥
1/🧵
Posterior Cortical Atrophy

👀Visuospatial Abnormalities
🤔 Balint &/or Gerstmann Sx
🟡 Prosopagnosia
👁️ Field Defects

MRI: occipitoparietal or occipitotemporal atrophy (hence the name)
2/🧵
Logopenic Variant

🗣️Problems with repetition
💬Difficulties with word retrieval in spontaneous speech
🔊May have trouble with naming (not as severe as in svPPA)

MRI: left posterior temporal and inferior parietal atrophy
3/🧵
Read 9 tweets
Sep 6
Patient with dizziness or vertigo? 🧠👂🫥
A practical approach to patients with vestibular symptoms.
1/🧵
Symptoms that constitute the vestibular syndrome:
1⃣ Vertigo (everything is spinning)
2⃣ Dizziness
3⃣ Lightheadedness
4⃣ Sense of unsteadiness
2/🧵
Always think TiTrATe
Ti(ming) ⏲️: episodic and acute
Tr (igger) 🔫: triggered and spontaneous
A (ssociated signs/symptoms/history) 🧠👀: HINTS, Dix-Hallpike, Headache, etc.
Te (st) 🩻: MRI, CT
3/🧵
Read 11 tweets
Aug 22
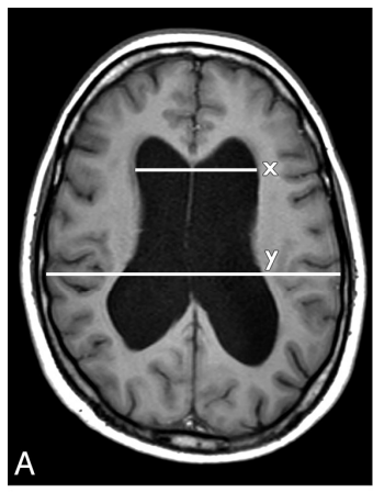
Features of Normal Pressure Hydrocephalus:
1/🧵
Evans Index >0.3 (x/y)
2/🧵
Callosal angle <90°
3/🧵
DESH ( disproportionately enlarged subarachnoid space hydrocephalus): Flattening of the cortical sulci in high convexity with widening of the sylvian fissure and ventricular dilation.
Read 6 tweets

Did Thread Reader help you today?

Support us! We are indie developers!


This site is made by just two indie developers on a laptop doing marketing, support and development! Read more about the story.

Become a Premium Member ($3/month or $30/year) and get exclusive features!

Become Premium

Don't want to be a Premium member but still want to support us?

Make a small donation by buying us coffee ($5) or help with server cost ($10)

Donate via Paypal

Or Donate anonymously using crypto!

Ethereum

0xfe58350B80634f60Fa6Dc149a72b4DFbc17D341E copy

Bitcoin

3ATGMxNzCUFzxpMCHL5sWSt4DVtS8UqXpi copy

Thank you for your support!

Follow Us on Twitter!

:(