Dr Graham Lloyd-Jones Profile picture
Oct 11, 2022 17 tweets 6 min read Read on X
1/
A thread to explain the reasons why it is important to care for the mouth if you have #COVID.

If you don't have time to read is all, here is the mouth care guidance (patient information sheet) we are providing our patients @SalisburyNHS ...

salisbury.nhs.uk/coronavirus/co…Image
2/
... and this is a presentation giving more detail.

Highlights in thread below.

3/
Here goes ...

The lung disease of COVID-19 is not a conventional respiratory 'pneumonia'. It is a 'pulmonary vasculopathy' - a disease of the lung blood vessels.

4/
This raises the question - 'How does the virus (or viral elements) reach the lung blood vessels?'
5/
Yes, the virus is inhaled but it doesn't cause disease in the visible airways on CT scans.

Blood vessels are dominantly affected.

Areas of the lungs damaged are the least accessible to the airways (bottom, back, and sides of the lungs)

It is not flu! pubmed.ncbi.nlm.nih.gov/33634067/
6/
All the medical imaging characteristics of the lung disease are vascular - clotting, dilated blood vessels, perfusion defects (reduced blood flow) - dominantly in a vascular, gravity-dependent distribution. Image
7/
Could #SARS2 be arriving in the lungs via the bloodstream?

If so, what is the route?

The upper respiratory tract is the first site of infection, not the lungs. The ACE2 receptor is expressed x200-700 more intensely in the nose than in the lung airways
erj.ersjournals.com/content/56/3/2…
8/
The airways of the lungs do not express the ACE2 receptor with high intensity -
'ACE2 expression in the respiratory tract is limited, with none or low levels of ACE2 expression in lung and respiratory epithelia' - Hikmet et al
embopress.org/doi/full/10.15…
9/
We know that multiple epithelial cell types in the mouth are highly susceptible to infection and replication (copying) of the virus.

nature.com/articles/s4159…
10/
The mouth is a viral 'factory' with levels of the virus in saliva reaching 100 million per ml. That's half a billion in a 5 ml teaspoon.

ncbi.nlm.nih.gov/pmc/articles/P…
11/
Also reported is a link between high viral load (concentration) in saliva and disease severity. High viral load in saliva is a better predictor of death than patient age. (This is independent of nasopharyngeal load).

(Preprint from Yale University.)
medrxiv.org/content/10.110…
12/
A study showed that gum disease is linked to poor outcome in COVID-19 with an odds ratio for death of 8.81.

doi.org/10.1111/jcpe.1…
13/
Hypothesis that the virus could escape the mouth - for example across bleeding gums - with direct delivery to the lungs via the bloodstream. The alveolar capillaries (small blood vessels in the lungs) is the first place the virus would reach.

bit.ly/36uEwar
Image
14/
The mouth is the most accessible place we can kill #SARS2.
How? By caring for our mouth with simple oral hygiene measures - such as toothbrushing and ...
15/
A study showing mouthwashes containing cetylpyridinium chloride (CPC) and ethyl lauryl arginate (ELA or LAE) completely eradicate the virus in the test tube and reduce viral load in saliva in the mouth.
(Other mouthwashes may have some affect also)
pubmed.ncbi.nlm.nih.gov/35436499/
16/
Using a mouthwash which reduces viral load in the mouth, as a single measure in addition to standard care, reduces average COVID-19 length of hospital stay from 7 days to 4 days.
nature.com/articles/s4159…
17/
In summary, the mouth plays an important role in COVID-19 and there is something we can do about it.
There is good reason to suggest the mouth also plays a role in #longCOVID which is what I hope to investigate next.

• • •

Missing some Tweet in this thread? You can try to force a refresh
 

Keep Current with Dr Graham Lloyd-Jones

Dr Graham Lloyd-Jones Profile picture

Stay in touch and get notified when new unrolls are available from this author!

Read all threads

This Thread may be Removed Anytime!

PDF

Twitter may remove this content at anytime! Save it as PDF for later use!

Try unrolling a thread yourself!

how to unroll video
  1. Follow @ThreadReaderApp to mention us!

  2. From a Twitter thread mention us with a keyword "unroll"
@threadreaderapp unroll

Practice here first or read more on our help page!

More from @DrGrahamLJ

Nov 25, 2025
The 'H.pylori causes stomach cancer' story is starting to look a lot like old news.

Gum disease bacteria do it too!

A referenced thread (after which reading you might want to go brush your teeth🪥🦷)

Most papers referenced from this year (2025)
👇👇👇 Image
2/20
We will look at 3 species of bacteria ...

One is well known to 'cause' cancer ... H.pylori

The other two less so ...

F.nucleatum
and
P.gingivalis
3/20
F.nucleatum & P.gingivalis are two of the bacteria species which drive chronic inflammation in gum disease

We swallow billions of bacteria/day in saliva

These bacteria species are directly implicated in numerous diseases throughout the body, including multiple gut cancers
Read 20 tweets
Oct 5, 2025
Recently published large study of brain MRI in acute #COVID shows vascular phenomena are common.

Here are some highlights….

A thread.

Link to study
👇👇👇
bit.ly/4pX0Hu3Image
458 brains studied

First wave of pandemic (so not applicable to later/current variants)

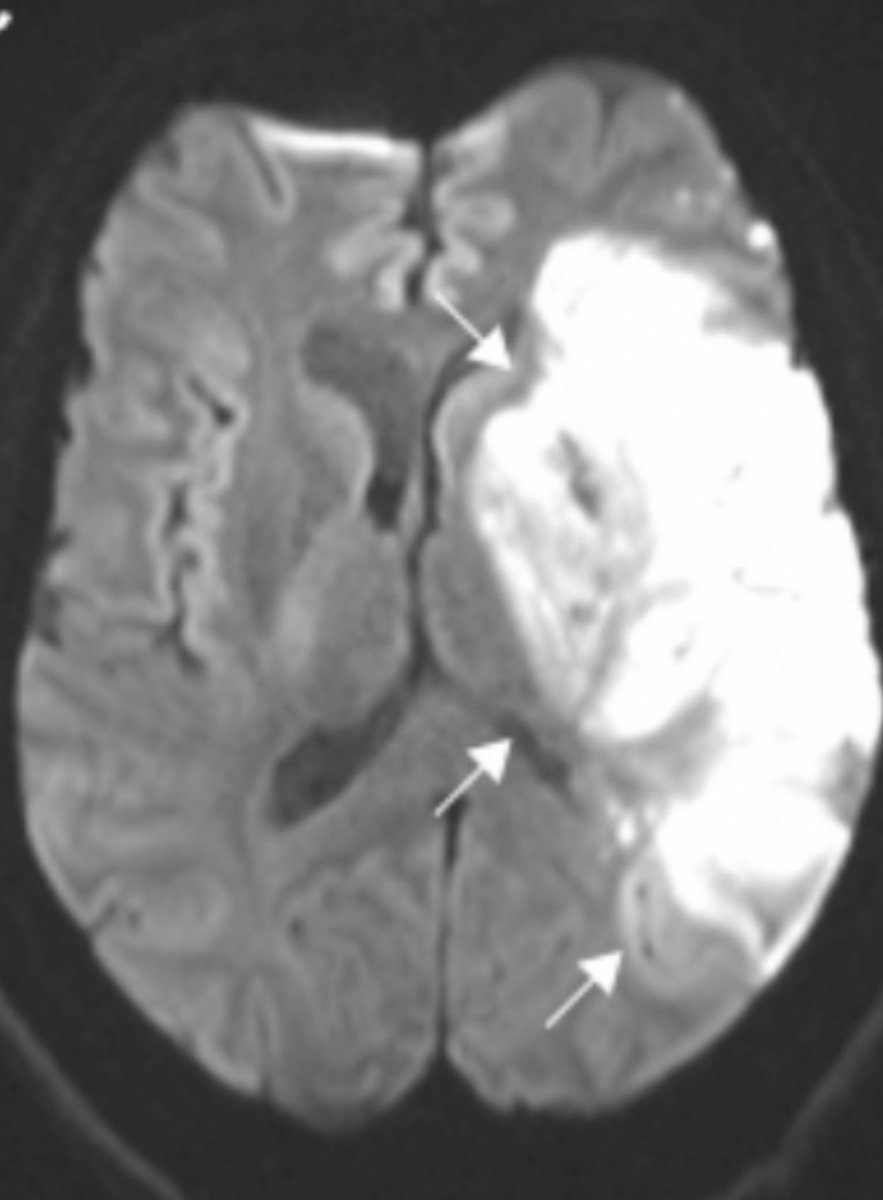
Most common finding = ischaemic infarct (stroke)
See image B-F Image
Large vessel strokes more common than small vessel
The large white area is abnormal Image
Image
Read 11 tweets
Aug 7, 2025
Your mouth is killing you!

Some thoughts on gum disease, oral dysbiosis, specific gum disease bacteria, escape from the mouth, vascular translocation, infection of human organs, chronic inflammation, disease causation and death.

Let's start with #diabetes ...

Long thread 🧵
NHS Commissioning Standards for Dental Care in people with #diabetes state...

'people with periodontitis* are at greater risk of developing type 2 diabetes and experiencing diabetes complications'

*Periodontitis= severe gum disease (one of the most common human diseases)
1/19
2/19
The same NHS document states ...
'effective treatment of periodontitis in people with type 2 diabetes can improve glycaemic control to an extent that can reduce the need for an additional prescribed medication ...
Read 21 tweets
Jul 5, 2025
The mouth is an immune organ (not just a cakehole). If the physical and microbial barrier of the mouth fails, the immune function of the mouth fails. The mouth becomes an open wound - an open wound which persists for the days, weeks, months, years and decades of your whole life. Image
And from the open wound of your mouth, your gum disease bacteria (which created the dysbiotic wound in your gums by evading and subverting your immune response), then travel all over your body, via the gut, airways of the lungs, and directly into your bloodstream. Image
Translocated gum disease bacteria then lead to inflammatory processes throughout the body via biological mechanisms which are now described in detail.
Atherosclerosis
Insulin resistance
Autoimmunity
Neuroinflammation
Vascular inflammation
Gut/lung epithelial inflammation Image
Read 12 tweets
Jul 3, 2025
I’m just gonna say it…

These diseases are CAUSED by the same pathological processes as gum disease.

They are CAUSED by the same pathogens as gum disease which are not confined to the gums.

#CardiovascularDisease
#Alzheimers
#Diabetes
#RheumatoidArthritis
#Cancers
#PregnancyComplications
#InflammatoryBowelDisease

Gum bacteria also contribute to
#LungDiseases (#Asthma #Bronchitis/COPD #LungCancer)
#ChronicKidneyDisease
#Obesity
#MetabolicSyndrome
#FattyLiverDisease

And please don’t reply by saying correlation does not equal causation …
Because I am not talking about a graph. I am talking about biological mechanisms

The pathogens of gum disease are truly extraordinary survivors. They have evolved mechanisms to evade the human immune system and flip the switch on chronic inflammation in the mouth …
Read 9 tweets
Apr 12, 2025
If in Dec 2020 you had told me it would take until April 2021 to get my #COVID research published, I’d have been disappointed.

It has now been published (April 2025), 4 years later.


👇
Here's my epic COVID-19 failure story …

Long thread 1/25 bit.ly/4j6fIpxImage
Firstly, who am I?

I am an educator in medical imaging, best known for founding Radiology Masterclass, a leading online resource for radiology education.



2/25 radiologymasterclass.co.ukImage
In early 2020 I had an obvious job to do – teach doctors to make the diagnosis of COVID-19 on a chest X-ray or CT scan.

Making the diagnosis is easy because COVID-19 causes a lung disease which is totally unlike other ‘pneumonias’.



3/25 bit.ly/3XSvMmrImage
Read 25 tweets

Did Thread Reader help you today?

Support us! We are indie developers!


This site is made by just two indie developers on a laptop doing marketing, support and development! Read more about the story.

Become a Premium Member ($3/month or $30/year) and get exclusive features!

Become Premium

Don't want to be a Premium member but still want to support us?

Make a small donation by buying us coffee ($5) or help with server cost ($10)

Donate via Paypal

Or Donate anonymously using crypto!

Ethereum

0xfe58350B80634f60Fa6Dc149a72b4DFbc17D341E copy

Bitcoin

3ATGMxNzCUFzxpMCHL5sWSt4DVtS8UqXpi copy

Thank you for your support!

Follow Us!

:(