Dr Graham Lloyd-Jones Profile picture
Consultant Radiologist/Anatomist/CEO@RadMasterclass/Linking #OralDysbiosis to systemic diseases/ Editor@SpringerNature(Current Oral Health Reports)/ Views mine
Apr 21 18 tweets 3 min read
Finally!

After 2 yrs, our invited review on the imaging of #COVID-19 has been published.

It’s a message to the world of science and medicine.

(When I die I want the last line of the conclusion to be read out at my funeral)

A thread …

Link 👇👇👇
doi.org/10.1093/bjr/tq…Image 2/18

(Annoyingly the review is currently behind a paywall, but I can send a copy to anyone I know.)

In summary, the world of medicine and science massively failed from the outset of the pandemic to collaborate to understand #COVID-19 (the disease)

And because of this …
Nov 25, 2025 20 tweets 7 min read
The 'H.pylori causes stomach cancer' story is starting to look a lot like old news.

Gum disease bacteria do it too!

A referenced thread (after which reading you might want to go brush your teeth🪥🦷)

Most papers referenced from this year (2025)
👇👇👇 Image 2/20
We will look at 3 species of bacteria ...

One is well known to 'cause' cancer ... H.pylori

The other two less so ...

F.nucleatum
and
P.gingivalis
Oct 5, 2025 11 tweets 3 min read
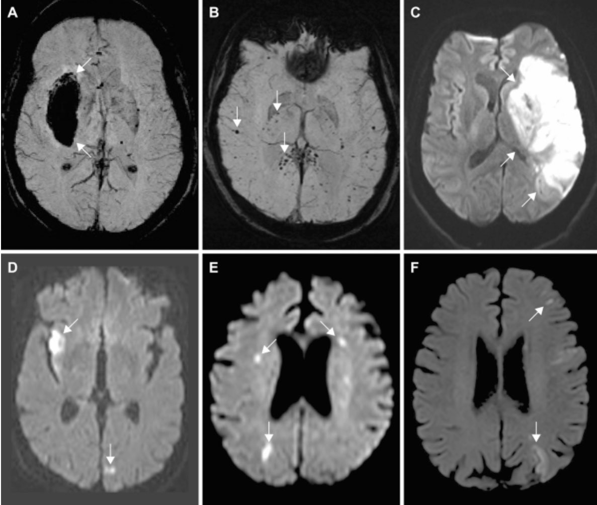
Recently published large study of brain MRI in acute #COVID shows vascular phenomena are common.

Here are some highlights….

A thread.

Link to study
👇👇👇
bit.ly/4pX0Hu3Image 458 brains studied

First wave of pandemic (so not applicable to later/current variants)

Most common finding = ischaemic infarct (stroke)
See image B-F Image
Aug 7, 2025 21 tweets 6 min read
Your mouth is killing you!

Some thoughts on gum disease, oral dysbiosis, specific gum disease bacteria, escape from the mouth, vascular translocation, infection of human organs, chronic inflammation, disease causation and death.

Let's start with #diabetes ...

Long thread 🧵 NHS Commissioning Standards for Dental Care in people with #diabetes state...

'people with periodontitis* are at greater risk of developing type 2 diabetes and experiencing diabetes complications'

*Periodontitis= severe gum disease (one of the most common human diseases)
1/19
Jul 5, 2025 12 tweets 4 min read
The mouth is an immune organ (not just a cakehole). If the physical and microbial barrier of the mouth fails, the immune function of the mouth fails. The mouth becomes an open wound - an open wound which persists for the days, weeks, months, years and decades of your whole life. Image And from the open wound of your mouth, your gum disease bacteria (which created the dysbiotic wound in your gums by evading and subverting your immune response), then travel all over your body, via the gut, airways of the lungs, and directly into your bloodstream. Image
Jul 3, 2025 9 tweets 2 min read
I’m just gonna say it…

These diseases are CAUSED by the same pathological processes as gum disease.

They are CAUSED by the same pathogens as gum disease which are not confined to the gums.

#CardiovascularDisease
#Alzheimers
#Diabetes
#RheumatoidArthritis
#Cancers
… #PregnancyComplications
#InflammatoryBowelDisease

Gum bacteria also contribute to
#LungDiseases (#Asthma #Bronchitis/COPD #LungCancer)
#ChronicKidneyDisease
#Obesity
#MetabolicSyndrome
#FattyLiverDisease

And please don’t reply by saying correlation does not equal causation …
Apr 12, 2025 25 tweets 9 min read
If in Dec 2020 you had told me it would take until April 2021 to get my #COVID research published, I’d have been disappointed.

It has now been published (April 2025), 4 years later.


👇
Here's my epic COVID-19 failure story …

Long thread 1/25 bit.ly/4j6fIpxImage Firstly, who am I?

I am an educator in medical imaging, best known for founding Radiology Masterclass, a leading online resource for radiology education.



2/25 radiologymasterclass.co.ukImage
Nov 22, 2024 23 tweets 4 min read
Here's a reminder of my take on #COVID-19 (the disease not the pandemic).

It's not what you think it is ...

A thread 👇
1/23 Image The acute phase of #COVID was and is misunderstood by the majority of doctors.
The lung disease (the thing that many died of) was not a pneumonia.
Yes, it was a lung disease caused by a virus, but this is where the similarity with other viruses which cause pneumonias ends.
2/23
May 17, 2024 18 tweets 4 min read
I've previously highlighted the importance of correct nomenclature relating to #COVID.

Here's a response letter I wrote to 'Clinical Radiology' explaining why terms such as 'pneumonia' are inappropriate.



And a thread for public interest...
👇👇👇
1/18 authors.elsevier.com/a/1j2TT2GSL8dc2
Image I wrote this letter with colleagues - Dr Rob Alcock & Professor Matthijs Oudkerk - in response to a review of the medical imaging appearances of the lung disease of #COVID. It was a good review but like most journal articles it did not accurately describe the lung disease.
2/18
Apr 5, 2024 19 tweets 3 min read
#RheumatoidArthritis is triggered by immune responses to oral bacteria circulating in the blood in people with #GumDisease.

A thread to attempt to unpick this complicated but fascinating study from 2023👇👇👇

1/19
ncbi.nlm.nih.gov/pmc/articles/P… Oral bacteria frequently pass across our gum tissue and enters our bloodstream. This occurs to a greater extent in people with #gumdisease which makes the gums more leaky.
2/19
Apr 2, 2024 25 tweets 4 min read
#PoorOralhealth / #OralDysbiosis / #GumDisease causes systemic diseases 101 ...

The bacterium Porphyromonas gingivalis causes #InsulinResitence (#Type2Diabetes)

A long thread to unpack this review paper
👇👇👇👇👇

1/25 frontiersin.org/articles/10.33…
Image The bacterium Porphyromonas gingivalis (#Pgingivalis/Pg) is the main causative agent of periodontitis (gum disease).
P.gingivalis is also directly implicated in the development of multiple important systemic diseases, including #Type2Diabetes.
2/25
Mar 15, 2024 17 tweets 3 min read
Dear #MedTwitter
To help understand #LongCOVID I believe there are important lessons we first need to learn about the acute phase of #COVID-19. This is because (as I see it) they are different phases of the same disease.
#LongCovidAwarenessDay
A thread👇 The human body has 60,000 miles of blood vessels. The inner lining of these blood vessels – the endothelium – should be considered as an organ of the body. It is an organ which determines overall body physiological health.
Dec 10, 2023 13 tweets 5 min read
Thanks to all who answered this quiz question.
Well done to those who noticed the question is ambiguous. It could mean...
Which pathogen-
-causes disease in the most people?
-has killed most people?
-is most lethal?

In answer to the first two, I think it’s this one👇
A thread …
Image Malaria, TB, Y.pestis have certainly killed many people.

Ebola has high lethality, but rabies wins this one.

In terms of which pathogen causes most disease AND killed most people, I now believe the answer is the oral microbiome bacteria - Porphyromonas gingivalis Image
Dec 1, 2023 17 tweets 3 min read
Thanks for sharing this Robert. I share your concern regarding routine use of mouthwash.
Please can I pick apart this study a little because there are important points to make…
1/ 2/
Firstly, this is not an interventional study. It is an observational study. It acknowledges that causation cannot be inferred (which is good).
The study simply asked a population of overweight people if they used mouthwash. Then waited to see if they developed hypertension.
Nov 21, 2023 22 tweets 4 min read
Please can I add a different view on the #COVIDinquiry, something which the inquiry will ignore.

#COVID-19 is a disease!

The COVID-19 pandemic is caused by COVID-19!

Pandemics and the diseases which cause them are not the same thing!

A thread ... Firstly, I have some sympathy for politicians (not those in question in the UK, but more generally) because politicians know about politics, economics, law etc., they do not know about biology.
Nov 17, 2023 21 tweets 7 min read
Summary thread of the oral-vascular-pulmonary model of #COVID-19 lung disease, why this is important and what to do about it.

Also potentially relevant in #LongCOVID

@SpringerNature review -

1/21 bit.ly/3ME7LtC
Image 2/21
Initial viral infection of epithelial lining of the upper respiratory tract mucosa (nose and mouth) ... Image
Sep 13, 2023 6 tweets 3 min read
Use of a nasal spray makes sense when you know that the ACE2 receptor (cellular receptor for the #SARS2 virus) is expressed in the nose 200-700 times more intensely than in the airways of the lungs.
See this - erj.ersjournals.com/content/56/3/2…
The mouth is also a site of initial infection early in the disease course of #COVID-19.
Multiple epithelial cell types in the mouth are susceptible to infection and viral replication.
nature.com/articles/s4159…
Aug 3, 2023 22 tweets 5 min read
More on imaging in the context of #LongCOVID

A thread of summarising this key paper titled -

'Pulmonary circulation abnormalities in post-acute COVID-19 syndrome: dual-energy CT angiographic findings in 79 patients '


H/T M. Oudkerk (not on Twitter)doi.org/10.1007/s00330… Objectives of the study

'To evaluate the frequency and pattern of pulmonary vascular abnormalities in the year following COVID-19'
May 29, 2023 9 tweets 4 min read
Thanks for playing the anatomy game everyone

Many mentioned the skin as 1 of their 5 organs

Some mentioned the gut (intestine/bowel)

There’s another organ that bridges the skin and gut, which nobody has mentioned …
Apr 22, 2023 12 tweets 5 min read
Published 2 years ago...

The COVID-19 Pathway: A Proposed Oral-Vascular-Pulmonary Route Of SARS-CoV-2 Infection And The Importance Of Oral Healthcare Measures
bit.ly/36uEwar

What has changed since then?
Please see this thread ... Image The world has caught up and #COVID-19 is now widely understood to be a vascular disease. This includes the severe acute lung disease which itself is not a respiratory 'pneumonia' but a 'vasculopathy'

See this explanation of the imaging (Nov 2020)
Feb 3, 2023 22 tweets 8 min read
Important news about XXB1.5 pointing out that infection is more via the ACE2 receptor than previous Omicron variants.
But … the mouth is not mentioned as an important site of infection…. cambridgeindependent.co.uk/news/fast-spre…
A thread … 1/ 2/ Minor salivary glands over the surface of the tongue, inner surface of the lips, the fauces and soft palate are highly susceptible to infection and replication. Epithelial cells in these areas express the ACE2 receptor.
nature.com/articles/s4159…