Nicolas Merke Profile picture
Dec 15 8 tweets 5 min read
#echofirst approach to eccentric MR
TEE always need for diagnostic purpose?
@eromerodorta @HenrykDreger @SKelle_Berlin
#echofirst TTE for sure first line of defense in diagnostic workup as we look for dimension, volumes and function to follow GL for decision making
but once #echofirst made clear that there is significant pathology with consecutive enlargement of LV and LA we must hunt down the jet, here we see 2 jets. Now call for TEE or can we proceed with TTE?
#echofirst TEE goes 3D, important to start from good 2D, optimize resolution using 4D zoom preparation, take landmarks for orientation, better taking more 3D datasets (me taking always from all 3 apical views)
Most important #echofirst step b4 activating 4D is to optimize the 2 planes. Must capture whole zone of interest with orientation landmarks for MV aortic valve and LAA.
#echofirst for 3D use your planes as large as needed and as small as possible
#echofirst shows with surgical orientation (AV at 12) the defects, bileaflet lesion. Post processing 🔑 to magic:
2D Gain Amplifies all the receiving US Information
Amplifies also noise = smoke
4D Active Mode Deletes weak signals
Deletes noise and weak Image-information
#echofirst still frame with the diagnostic images of this case

• • •

Missing some Tweet in this thread? You can try to force a refresh
 

Keep Current with Nicolas Merke

Nicolas Merke Profile picture

Stay in touch and get notified when new unrolls are available from this author!

Read all threads

This Thread may be Removed Anytime!

PDF

Twitter may remove this content at anytime! Save it as PDF for later use!

Try unrolling a thread yourself!

how to unroll video
  1. Follow @ThreadReaderApp to mention us!

  2. From a Twitter thread mention us with a keyword "unroll"
@threadreaderapp unroll

Practice here first or read more on our help page!

More from @NMerke

Sep 1
1/7 Approaching #echofirst in 7 steps, starting point LPLAX (LVEDD/LVEDS always needed), Ivd & LVOT & RVOT
2/7 next #echofirst step is to call for fantastic 4
2/7 here you see the fantastic 4 getting your first impression what we will come. We know immediately relation LV to RV and Atria and WMA and so much more ending up in apical long axis
Read 9 tweets
Mar 25, 2021
1/13 #echofirst PISA EROA facts to know b4 starting to calculate @YoungDgk @AGIKinterv @DGK_org @ASE360
Thanks to @KardiologieHH for valuable input to this tweetorial
2/13 very useful schematic table by Braunwald
3/13 be aware of pitfalls. If your numbers get nuts go & check step by step. Biggest source of error is radius measurement (often we tend to exaggerate)
Read 13 tweets
Mar 20, 2021
@KPujdak #echofirst TEE guiding in SHD in leaflet therapy. The 🔑 to success is team work!
screening b4 procedure under OMT.
While waiting for IC for septal puncture get images of MR but be aware MR might not be so obvious as in your screening Echo, get MPG & PV inflow
Pay always attention where your IC is with needle, b/x-plane imaging with aorta is needed! If something is going wrong talk & warn your IC
Very important is the right puncture hight b4 concluding septal puncture
Read 18 tweets
Mar 20, 2021
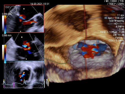
1/6 #echofirst meets 3D when looking at mitral valve & regurgitation. Blood pressure during exam around 140 mmHg
2/6 visualizing mitral valve (surgical perspective) with AV at 12 ⌚️ and LAA at 9 ⌚️
3/6 visualizing central color jet, dataset slightly tilted to appreciate better it´s relation to the commissure
Read 4 tweets
May 17, 2020
#echofirst 1/9 When looking & reporting MR there is so many parameters to consider. We need to understand mechanism and secondary changes. Trying to put some points together
2/9 this is short representation on PISA from Braunwald
3/9
Read 10 tweets

Did Thread Reader help you today?

Support us! We are indie developers!


This site is made by just two indie developers on a laptop doing marketing, support and development! Read more about the story.

Become a Premium Member ($3/month or $30/year) and get exclusive features!

Become Premium

Don't want to be a Premium member but still want to support us?

Make a small donation by buying us coffee ($5) or help with server cost ($10)

Donate via Paypal

Or Donate anonymously using crypto!

Ethereum

0xfe58350B80634f60Fa6Dc149a72b4DFbc17D341E copy

Bitcoin

3ATGMxNzCUFzxpMCHL5sWSt4DVtS8UqXpi copy

Thank you for your support!

Follow Us on Twitter!

:(