POCUS Med Ed Profile picture
Dec 17 9 tweets 5 min read
Reason # 67543 why #pocus is important: sometimes mild symptoms are a sign of impending disaster.

41 year old thin athletic male presented to the hospital with a few weeks of mild shortness of breath with exertion.

BP 170/70, HR 100. CXR with cardiomegaly, tortuous aorta.
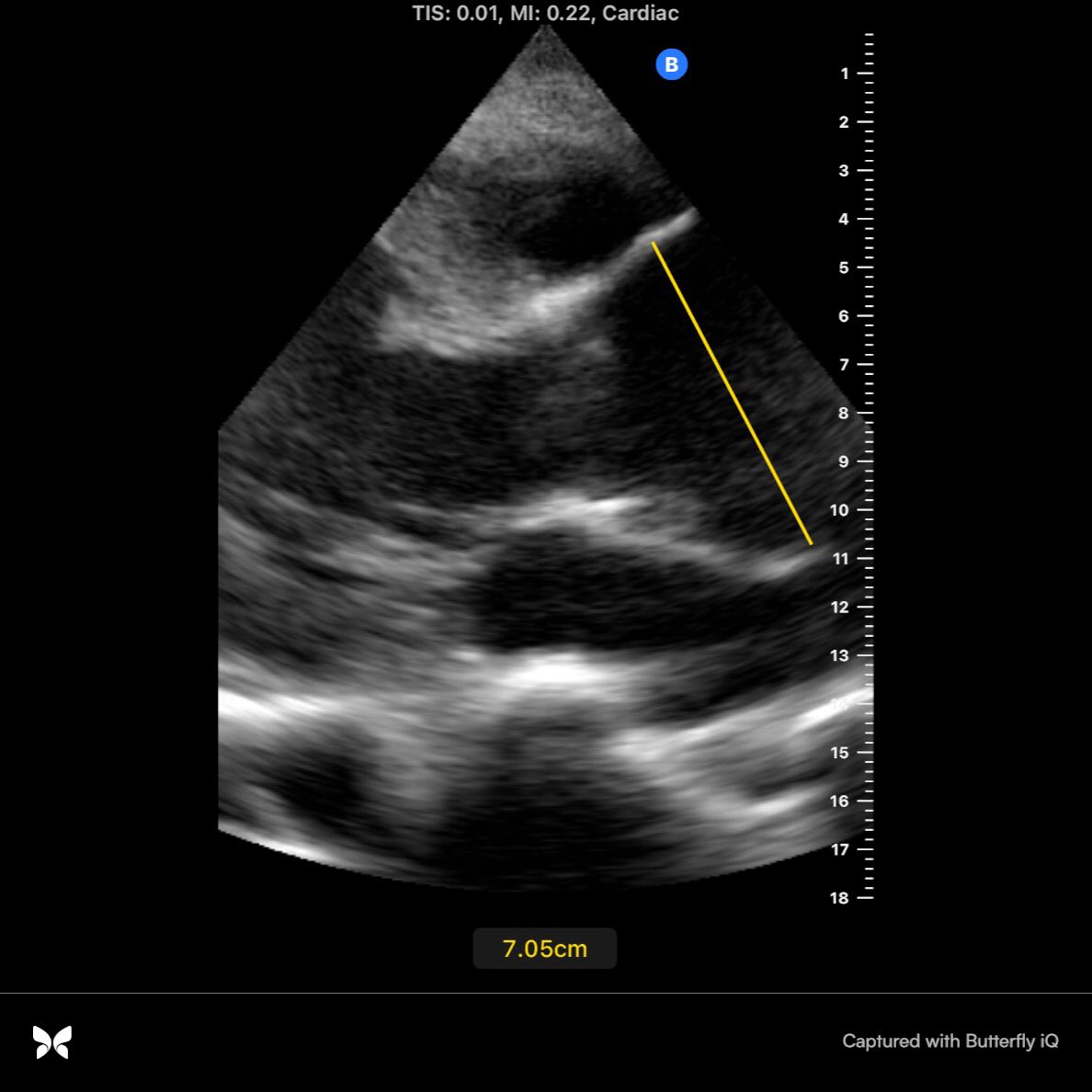
Bedside #pocus exam shown below:
Most glaring is the size of the aorta. It is clearly larger than the left atrium. Also notable is the anterior leaflet of the mitral valve isn’t opening much.
This is either due to mitral stenosis, systolic heart failure or aortic regurgitation. Placing color Doppler on the valve gives you the answer.
So in about 1-2 minutes we have a good idea what’s going on here: thoracic aortic aneurysm with severe aortic regurgitation. Measuring the aortic root and thoracic aorta confirms the diagnosis.
This is a pending surgical emergency waiting to happen. Even with auscultation and detecting a diastolic murmur it isn’t until such images are obtained that the surgeons will come running.
We are saddened by the passing of the sports journalist Grant Wahl. When we heard it was due to a ruptured ascending aortic aneurysm we couldn’t help but wonder if it could have been detected with #pocus. He reportedly sought medical attention twice that week.
We will never know but certainly #pocus could have, or detected a pericardial effusion, enlarged aortic root, etc. This is also sadly how actor John Ritter died:

pocusmeded.com/post/could-poc…

• • •

Missing some Tweet in this thread? You can try to force a refresh
 

Keep Current with POCUS Med Ed

POCUS Med Ed Profile picture

Stay in touch and get notified when new unrolls are available from this author!

Read all threads

This Thread may be Removed Anytime!

PDF

Twitter may remove this content at anytime! Save it as PDF for later use!

Try unrolling a thread yourself!

how to unroll video
  1. Follow @ThreadReaderApp to mention us!

  2. From a Twitter thread mention us with a keyword "unroll"
@threadreaderapp unroll

Practice here first or read more on our help page!

More from @pocusmeded

Jan 12
Why we #pocus: unexpected complications and daily changes. A thread.

70 year old male presented with hypoxic respiratory failure. Initially diagnosed with bilateral pneumonia and started on zosyn. Very hypoxic requiring 15L. The following morning #pocus revealed:
Large bilateral pleural effusion a with compression atelectasis. Clinically was never pneumonia. Was upgraded to ICU and intubated. R sided thoracentesis drained 1.8L of fluid and was stepped out of ICU
The following morning lung #pocus exam done. Left lung: lung sliding with diffuse lung rockets consistent with pulmonary edema
Read 11 tweets
Sep 2, 2021
The JVP exam has been with us since 1930 when Sir Thomas Lewis first proposed this exceptionally clever technique. A #pocus thread. Image
He knew that in heart failure there in “congestion of the veins” and when they become engorged can be detected on the neck.
Here is a phenomenal example in a very thin patient with prominent veins.
Read 10 tweets

Did Thread Reader help you today?

Support us! We are indie developers!


This site is made by just two indie developers on a laptop doing marketing, support and development! Read more about the story.

Become a Premium Member ($3/month or $30/year) and get exclusive features!

Become Premium

Don't want to be a Premium member but still want to support us?

Make a small donation by buying us coffee ($5) or help with server cost ($10)

Donate via Paypal

Or Donate anonymously using crypto!

Ethereum

0xfe58350B80634f60Fa6Dc149a72b4DFbc17D341E copy

Bitcoin

3ATGMxNzCUFzxpMCHL5sWSt4DVtS8UqXpi copy

Thank you for your support!

Follow Us on Twitter!

:(