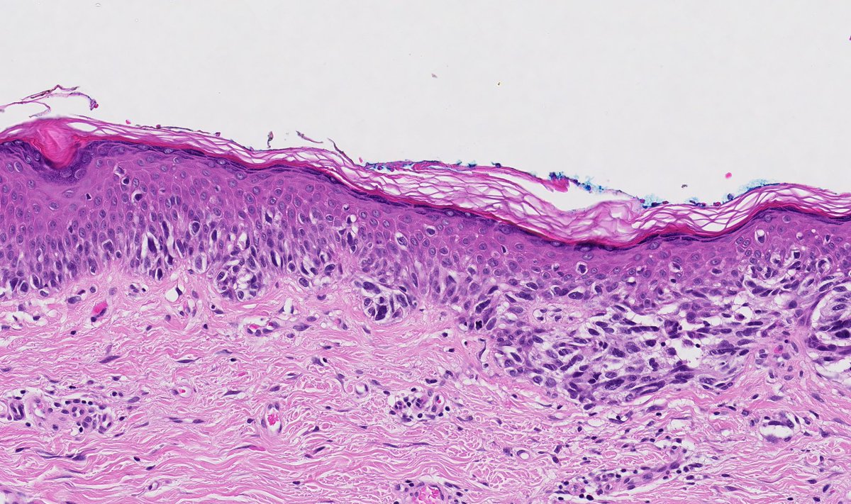
Based on the above images, what is your first impression?

* Dermatofibrosarcoma protuberans
^Pleomorphic dermal sarcoma
S100 and SOX10 ImageImage
CD34 ❌
CD10 ❌
HMB45 ❌
What are your thoughts now?

* Malignant Peripheral Nerve Sheath Tumour
^ Pleomorphic dermal sarcoma
Melan A and HMB45 ImageImage
PRAME Image
Adjacent to lesion ImageImageImage
HMB45/ Melan A/ PRAME ImageImageImage
⚕️Diagnosis:

🔬Spindle cell melanoma
Question

Which if the following is true of spindle cell melanomas?
1/ These tumours are more common in sun effected areas (although any skin site can be affected).

2/ They tend to occur in Caucasian males in the 6-8th decade of life.

pubmed.ncbi.nlm.nih.gov/30250577/
Question

True or false?

Spindle cell melanomas (SCM) are a variant of desmoplastic melanomas (DM).
3/ SCM ae thought to be a distinct entity with different mutations and prognosis.

4/ A suggestion is that a tumour should only be called a DM "if a significant part of the tumour is associated with and dispersed in a dense fibrous stroma".

nature.com/articles/modpa…
Question

Which of the following is true of SCM and their immunohistochemistry/special stains?
5/ SCM usually have strong S100 and SOX10 expression.

6/ Like DM, they can lose HMB45 and Melan A (although less so).

7/ Trichrome stain (see previous article) is useful for DM.

8/ The video below is super useful, cheers @JMGardnerMD !

Question

True or false?

The newish marker, PRAME (PReferentially expressed Antigen in Melanoma), is specific for melanoma?
9/ PRAME can be useful to help distinguish melanocytic nevi ❌ vs melanoma✅

10/ However, it is more marker of malignancy & not specific for any particular tumour (NB sebaceous glands are ✅)

11/ It can be expressed in many tumours, including sarcomas

pubmed.ncbi.nlm.nih.gov/36102613/
Last question

Which of the following genetic mutations is more common in SCM?
12/ The below study showed that BRAF V600E was the most common mutation in SCM (there are others with smaller numbers out there which differ).

13/ Interesting DM tend not to have BRAF mutations, so another difference!

pubmed.ncbi.nlm.nih.gov/22809251/

• • •

Missing some Tweet in this thread? You can try to force a refresh
 

Keep Current with Tristan Rutland MBBS FRCPA IFCAP

Tristan Rutland MBBS FRCPA IFCAP Profile picture

Stay in touch and get notified when new unrolls are available from this author!

Read all threads

This Thread may be Removed Anytime!

PDF

Twitter may remove this content at anytime! Save it as PDF for later use!

Try unrolling a thread yourself!

how to unroll video
  1. Follow @ThreadReaderApp to mention us!

  2. From a Twitter thread mention us with a keyword "unroll"
@threadreaderapp unroll

Practice here first or read more on our help page!

More from @TristanRutland7

Nov 16, 2023
? Haemorrhoid adult.

#GIpath #BSTpath #Dermpath #Pathtwitter #Pathresidents #Medtwitter


Image
Image
Image
Image
What is your initial impression?
Image
Read 15 tweets
Sep 7, 2023
⚕️Prostate, adult

#GUpath #Pulmpath #pathresidents #PathTwitter


Image
Image
Image
Image
Question

What are your initial thoughts?

*squamous cell carcinoma
Another H+E Image
Read 12 tweets
Dec 17, 2021
Based on the images only, what is your initial impression?
ImageImage
Read 13 tweets
Nov 25, 2021
Brain tumour, adult

PET positive

#Neuropath #Pathtwitter #Pathresidents
Based on the initial images only, what is your first impression?

*metastasis
Another image
Read 18 tweets
Nov 5, 2021
Based on the above images only, which of the following combination of immunohistochemical stains would you predict to be POSITIVE✅?
PASD
Read 20 tweets
Oct 15, 2021
Skin and Lymph node, adult

#dermpath #hemepath #pathtwitter #pathresidents ImageImageImageImage
ImageImageImage
Based on the initial images only, what is your first impression?
Read 15 tweets

Did Thread Reader help you today?

Support us! We are indie developers!


This site is made by just two indie developers on a laptop doing marketing, support and development! Read more about the story.

Become a Premium Member ($3/month or $30/year) and get exclusive features!

Become Premium

Don't want to be a Premium member but still want to support us?

Make a small donation by buying us coffee ($5) or help with server cost ($10)

Donate via Paypal

Or Donate anonymously using crypto!

Ethereum

0xfe58350B80634f60Fa6Dc149a72b4DFbc17D341E copy

Bitcoin

3ATGMxNzCUFzxpMCHL5sWSt4DVtS8UqXpi copy

Thank you for your support!

Follow Us!

:(