ACTITUD FRENTE A LAS FOLICULITIS. III 1/4
FOLICULITIS SUPERFICIALES
Pústula folicular.
Infección del ostio folicular. Ostiofoliculitis.
Elemento eritemato-papuloso perifolicular, sobre el que se desarrolla pústula, con halo Inflamatorio.
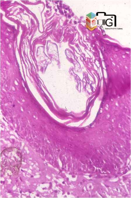
ACTITUD FRENTE A LAS FOLICULITIS. III 2/4
FOLICULITIS SUPERFICIALES
Al desecarse la pústula, costra que no deja cicatriz. 
Impétigo de Bockhart: cuando las foliculitis localizan en una región limitada.
ATTITUDE AGAINST FOLLICULITIS. III 3/4
SUPERFICIAL FOLLICULITIS. II
Follicular pustule.
Follicular ostium infection. Ostiofolliculitis.
Perifollicular erythematous-papular element, on which a pustule develops, with an inflammatory halo.
ATTITUDE AGAINST FOLLICULITIS. III 4/4
SUPERFICIAL FOLLICULITIS. II
When the pustule dries up, a scab leaves no scar.
Bockhart's impetigo: when folliculitis is located in a limited region.

• • •

Missing some Tweet in this thread? You can try to force a refresh
 

Keep Current with DermaPhotoGallery

DermaPhotoGallery Profile picture

Stay in touch and get notified when new unrolls are available from this author!

Read all threads

This Thread may be Removed Anytime!

PDF

Twitter may remove this content at anytime! Save it as PDF for later use!

Try unrolling a thread yourself!

how to unroll video
  1. Follow @ThreadReaderApp to mention us!

  2. From a Twitter thread mention us with a keyword "unroll"
@threadreaderapp unroll

Practice here first or read more on our help page!

More from @Derma_Photo

Feb 1
ACTITUD FRENTE A LAS FOLICULITIS - FURUNCULOSIS. I 1/4
PATOLOGIA INFLAMATORIA DEL FOLICULO: FOLICULITIS
Infecciosas
No infecciosas
Perifoliculitis

FOLICULITIS INFECCIONSAS
Demodecidosis
Bacterianas (Piodermitis)
Fúngicas
Virales
ACTITUD FRENTE A LAS FOLICULITIS - FURUNCULOSIS. I 2/4
DEMODECIDOSIS
Familia Demodecidae
65 especies diferentes
D. folliculorum y D. brevis

Formas clínicas Demodecidosis
Eritema facial demodecidósico
Demodecidosis rosácea
Blefaritis demodecidósica
Demodecidosis rasácea lupoide
ATTITUDE AGAINST FOLLICULITIS - FURUNCULOSIS. I 3/4
INFLAMMATORY PATHOLOGY OF THE FOLLICLE: FOLLICULITIS
Infectious
Not infectious
Perifolliculitis

INFECTIOUS FOLLICULITIS
Demodecidosis
Bacterial (Pyodermitis)
Fungal
Viral
Read 4 tweets
Jan 31
OTRO CASO CLINICO. IV 1/4
DISCUSION
Enfermedad de distribución mundial
Incidencia variable según área geográfica y entorno socio-económico
En los países desarrollados la enfermedad estuvo prácticamente 
erradicada a partir de 1950 con la introducción de la penicilina
OTRO CASO CLINICO. IV 2/4
DISCUSION
Esta tendencia se está invirtiendo en los últimos años:
-Modificación de conductas y hábitos sexuales
-Cambios en la composición de la población
-Infección VIH
-Intervenciones sanitarias ineficaces
ANOTHER CLINICAL CASE. IV 3/4
DISCUSSION
Worldwide distribution disease
Variable incidence according to geographic area and socio-economic environment
In developed countries the disease was practically
Eradicated from 1950 with the introduction of penicillin
Read 4 tweets
Jan 30
A CLINICAL CASE. II 1/4
DISCUSION
M. Marinum pertenece al grupo de micobacterias atípicas
Su medio habitual es el agua dulce o salada

Clínica
Periodo de incubación: 2-3 semanas
Comienza como pápula violácea en el lugar del traumatismo ImageImageImage
A CLINICAL CASE. II 2/4
DISCUSION

Placa ulcerada o psoriasiforme o lesión verrucosa
Localización: manos, pies, codos o rodillas
Suelen ser lesiones solitarias, pero pueden dar diseminaciones esporotricoides
A veces produce infecciones profundas: tenosinovitis, bursitis, artritis ImageImageImage
A CLINICAL CASE. II 3/4
DISCUSSION
M. marinum belongs to the group of atypical mycobacteria
Its usual medium is fresh or salt water
Clinic:
Incubation period: 2-3 weeks
Begins as a violaceous papule at the site of trauma ImageImageImage
Read 4 tweets
Jan 26
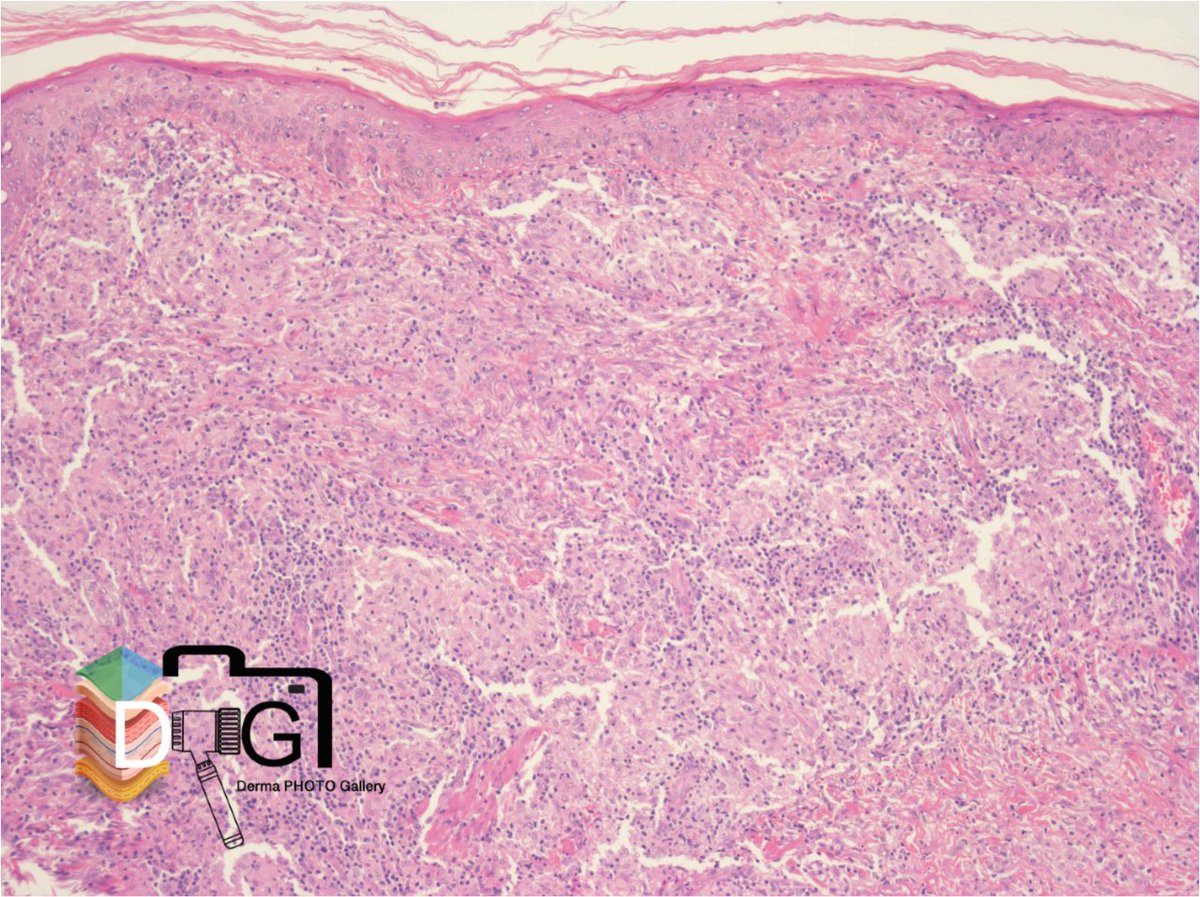
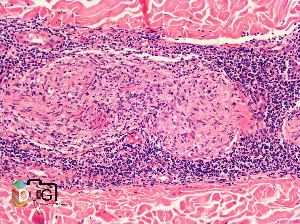
HISTOPATOLOGIA E INMUNOLOGIA DE LA LEPRA VII. 1/4
LEPRA TUBERCULOIDE SUBPOLAR (TTs). 1/2
Granulomas con signos activación epitelioide y menor circunscripción
Células gigantes tipo Langhans
Linfocitos con distribución + difusa respecto a macrófagos
Borramiento de la banda de Unna ImageImage
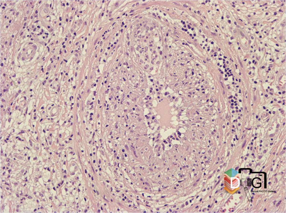
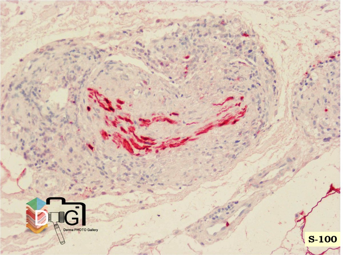
HISTOPATOLOGIA E INMUNOLOGIA DE LA LEPRA VII. 2/4
LEPRA TUBERCULOIDE SUBPOLAR (TTs). 2/2
Infiltrados liquenoides. Posible erosión epidérmica
Lesión neural importante
Los macrófagos de la lepra tuberculoide no expresan S-100
Marcada hiperplasia de células de Langerhans ImageImage
HISTOPATHOLOGY AND IMMUNOLOGY OF LEPROSY VII. 3/4
SUBPOLAR TUBERCULOID LEPROSY (TTs). 1/2
Granulomas with signs epithelioid activation and minor circumscription
Langhans type giant cells
Lymphocytes with a more diffuse distribution compared to macrophages
Erasure of the Unna band ImageImage
Read 4 tweets
Jan 26
HISTOPATOLOGIA E INMUNOLOGIA DE LA LEPRA V. 1/4
LESIONES VISCERALES. 1/2
Complicacion leprorreacciones tipo 2 espectro lepromatoso
Elaboración hepática muy ⇈ factor sérico asociado a amiloide SSA reactante fase aguda
Dificultad degradación por macrófagos del paciente lepromatoso Image
HISTOPATOLOGIA E INMUNOLOGIA DE LA LEPRA V. 2/4
LESIONES VISCERALES. 2/2
Depósito intersticial y perivascular forma amiloide AA tingible con Rojo Congo y sensible al KMnO ImageImage
HISTOPATHOLOGY AND IMMUNOLOGY OF LEPROSY V. 3/4
VISCERAL INJURIES. 1/2
Complication type 2 leprosy reactions
Markedly increased hepatic elaboration of serum amyloid-associated factor (SSA) as an acute phase reactant
Difficulty of degradation by macrophages of lepromatous patient Image
Read 4 tweets
Jan 26
HISTOPATOLOGIA E INMUNOLOGIA DE LA LEPRA V. 1/4
LEPOREACCIONES. 1/2
Fenómenos reaccionales en la lepra que están Estrechamente vinculadas a la respuesta inmunológica del enfermo
Tipos: Leprorreacción tipo 1 y tipo 2 de Jopling ImageImage
HISTOPATOLOGIA E INMUNOLOGIA DE LA LEPRA V. 2/4
LEPOREACCIONES. 2/2
Leprorreacción tipo 2 de Jopling: Vasculitis por depósito de inmunocomplejos en la pared de los vasos
Tipos: 
 Eritema nudoso leproso 
 Leprorreacción tipo Eritema polimorfo
 Fenómeno de Lucio ImageImage
HISTOPATHOLOGY AND IMMUNOLOGY OF LEPROSY V. 3/4
LEPOREACTIONS. 1/2
Reactional phenomena in leprosy that are closely linked to the immune response of the patient
Types: Jopling type 1 and type 2 leprosy reaction ImageImage
Read 4 tweets

Did Thread Reader help you today?

Support us! We are indie developers!


This site is made by just two indie developers on a laptop doing marketing, support and development! Read more about the story.

Become a Premium Member ($3/month or $30/year) and get exclusive features!

Become Premium

Don't want to be a Premium member but still want to support us?

Make a small donation by buying us coffee ($5) or help with server cost ($10)

Donate via Paypal

Or Donate anonymously using crypto!

Ethereum

0xfe58350B80634f60Fa6Dc149a72b4DFbc17D341E copy

Bitcoin

3ATGMxNzCUFzxpMCHL5sWSt4DVtS8UqXpi copy

Thank you for your support!

Follow Us on Twitter!

:(