Nico Gagelmann Profile picture
May 30 17 tweets 8 min read Twitter logo Read on Twitter
😱Challenges in medicine😱

Thrombotic microangiopathy (TMA)

A short 🧵#MedTwitter
1/16 Image
Intro:
TMA syndromes are extraordinarily diverse❗️
They may be
-hereditary or acquired
-occur in children and adults
-onset can be sudden or gradual
BUT
despite their diversity, they are united by common, defining clinical and pathological features
2/16
A short history of everything TMA
3/16 Image
Features:
-Thrombopenia
👉platelet aggregation & thrombi
-microangiopathic haemolytic anaemia (MAHA)
👉RBC fragmentation (schistocytes)
-end organ damage
-LDH⬆️
👉tissue ischemia & cell lysis
-haptoglobin⬇️
👉binds to free Hb, hemolysis
-Coombs generally negative, PT/aPTT⬇️
4/16 Image
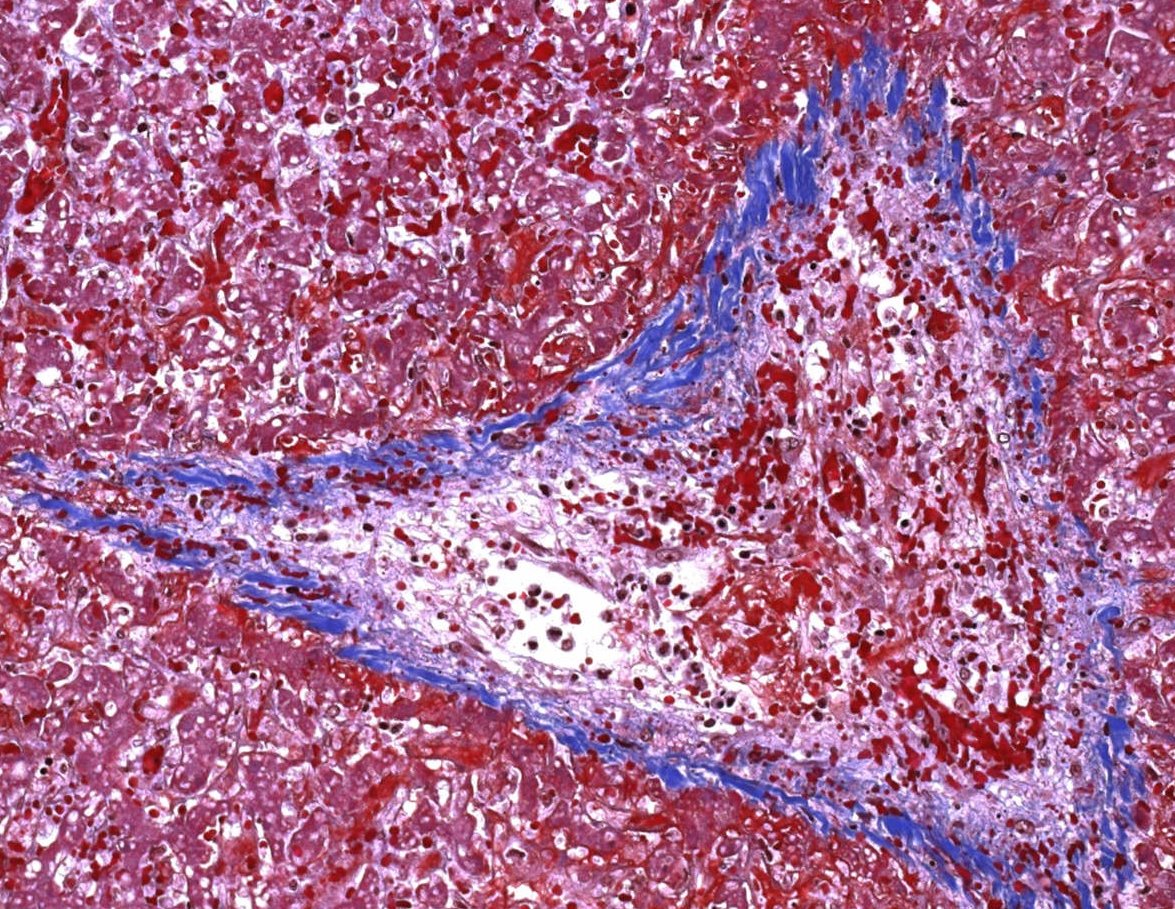
Pathology:
-For all primary TMA syndromes the same
- -renal arteriole occlusion with endotheliosis as well as lumen and vessel-wall fibrin
- -Proliferation in the myocyte layer (“onion skinning”) may also be present
5/16 Image
Think first before you act:
Before you start sophisticated lab tests and hypotheses, exclude common causes of MAHA and thrombocytopenia❗️
Remember, any condition associated with DIC can occur with MAHA and thrombocytopenia
👉rule out first

6/16 Image
Evaluate MAHA and thrombopenia:
-severity of kidney injury as distinguishing feature
-severe acute kidney injury
👉consider complement-mediated (acquired/hereditary)
-idiopathic disease in + 20%
-TTP is also called ADAMTS13 deficiency–mediated TMA
7/16 Image
Thrombotic thrombocytopenic purpura:
-rare systemic form of TMA
👉severe deficiency in ADAMTS13
👉disintegrin + metalloprotease with thrombospondin type 1 motif 13, which cleaves von Willebrand factor
For more, I refer to the legend @nihardesai7
8/16 Image
Complement-mediated aHUS:
-0.4 cases per Mio per year
-acquired or inherited defects in the alternative pathway
-Extra-renal manifestations in 10-20%
-AKI more prominent than in TTP
-Genetic screening (CFH, CFI, C3, CFB, CD46, CFHR1) is essential, incl DGKE & MMACHC
9/16 Image
Shigatoxin-associated TMA:
-most common form, mainly occurring in children <5 years
-accounts for 90% of cases of HUS in children
-transmission
👉undercooked meat, unpasteurised dairy produce, direct contact, ingesting contaminated🥦🍅
-majority is self-limiting
10/16 Image
Pregnancy-associated TMA:
-Pregnancy + postpartum high-risk periods for TTP and complement-mediated aHUS❗️
-typically in the 2nd + 3rd trimesters
-cause: maybe VWF production⬆️
-experience of caplacizumab limited
For more👉legend @nihardesai7
11/16
Transplant-associated (TA-) TMA:
-high mortality❗️
-etiology is myriad
-~8% of BMT patients
-historically, plasma exchange was mainstay of treatment
BUT
-with recognition that ADAMTS13 levels in TA-TMA are mostly normal, strategies have shifted away from this approach
12/16 Image
TA-TMA treatment:
-Elucidation of complement in development of TA-TMA shifted treatment toward terminal complement inhibition with eculizumab and MASP-2 inhibition with narsoplimab
-Prospective data on eculizumab still limited to children
-more evidence needed
13/16 Image
Narsoplimab for TA-TMA:
-IV once weekly for 4-8 weeks
-Response rate: 61%, similar across subgroups
-Improvement in organ function in 74%
-100-day survival after TA-TMA diagnosis was 94% in responders
14/16 Image
Autoimmune TMA:
-SLE, scleroderma renal crisis or catastrophic antiphospholipid syndrome (CAPS)
-Case reports describe use of eculizumab in SLE-TMA
-~30% of CAPS show renal TMA with 36% morality 👉glucocorticoids, anticoagulants + IVIG
For more👉legend @PanktiMehta24
15/16 Image
Summary of TMA:
❗️Array of manifestations, CHALLENGING
❗️High morbidity + mortality
❗️Renal involvement is common
❗️Suspect: MAHA, thrombopenia
❗️rule out other causes
❗️rapid assessment, diagnosis + treatment essential
❗️TA-TMA very serious
❗️Eculizumab, narsoplimab new options

• • •

Missing some Tweet in this thread? You can try to force a refresh
 

Keep Current with Nico Gagelmann

Nico Gagelmann Profile picture

Stay in touch and get notified when new unrolls are available from this author!

Read all threads

This Thread may be Removed Anytime!

PDF

Twitter may remove this content at anytime! Save it as PDF for later use!

Try unrolling a thread yourself!

how to unroll video
  1. Follow @ThreadReaderApp to mention us!

  2. From a Twitter thread mention us with a keyword "unroll"
@threadreaderapp unroll

Practice here first or read more on our help page!

More from @NicoGagelmann

May 28
Calling all early career people!

Relations between us are often poisoned by fights for the best spotlight, position and papers.

Here are 10 things we should say to one another more often.

A 🧵 Image
1️⃣ "You're not alone." Remember, everyone goes through ups and downs in research. Reach out to your peers, share your struggles, and lean on each other. Together, we can overcome challenges and celebrate successes.
2️⃣ "You belong here." Doubting your abilities is common, especially when starting out. Remember, you earned your place through hard work and dedication. Believe in yourself and trust in your unique contributions.
Read 11 tweets
May 18
😱Hematological emergencies😱

Disseminated intravascular coagulation (DIC)

A short🧵#MedTwitter
1/20 Image
Intro DIC:
-systemic activation of coagulation
👉resulting in microvascular thrombosis & haemorrhage
-devastating condition, poor prognosis
-clinic variable, depends on ⚖️of clot formation in microvasculature & consumption of coagulation factors, inhibitors, platelets
2/20
History I:
-Dupuy in 1834: described effect of IV injection of brain material in animals👉almost immediately died and at autopsy widespread clots in the circulation, 👉due to what we would now call tissue factor–dependent systemic activation of coagulation
3/20 Image
Read 21 tweets
May 15
😱Emergencies in hematology😱

Hyperviscosity syndrome (HVS)

A short 🧵 #MedTwitter
1/19 Image
Intro:
-an oncologic emergency!
-classical triad: neurological deficits, 👁️changes, mucosal bleeding
-blood cell shape deformity or a pathological increase in serum proteins, red blood cells (RBC), white blood cells (WBC), or platelets (PLT)
2/19
Cause:
-elevation of the (a)cellular 🩸components
Cellular: polycythemia vera, leukemia, thrombocytosis, sickle cell disease, spherocytosis
Acellular: myeloma, Waldenstrom macroglobulinemia, cryoglobulinemia, sero+ rheumatoid arthritis, lupus, Sjogren, Castleman disease, HIV
3/19 Image
Read 20 tweets
May 11
😱Emergencies in hematology😱

Tumor lysis syndrome (TLS)

A short 🧵 #MedTwitter
1/19 Image
What's TLS?
-major comorbidity in the management of hematologic malignancies and one of the major conditions young colleagues should
👉know to detect and to handle❗️
-modern definition of TLS is based on the Cairo–Bishop criteria for laboratory and clinical TLS
2/19 Image
Clinical TLS:
-simply defined as laboratory TLS with the addition of an elevated creatinine not attributable to
- - another cause
- - 🫀arrhythmia/sudden death
- - seizures
-given newer treatment/preventive measures, both forms of TLS may have clinical implications
3/19
Read 20 tweets
May 9
10 rules for life of medical societies.

1/ Medical societies exist to serve their members, promote their evolution and excellence in patient care. Through that you become more than the sum of your members. Always keep this at the forefront of all initiatives.

#MedTwitter Image
2/ It's all about your members, not about your sponsors or leaders. Be as democratic as possible. Stay responsive to their needs. Listen to their feedback and suggestions, and use this information to continuously improve your offerings and services.
3/ Embrace diversity and inclusivity in all aspects of your society. Encourage participation and representation from all members, regardless of their background. Avoid favoritism and foster representation and engagement from all levels.
Read 10 tweets
Apr 22
Veno-occlusive disease (VOD) is one of the worst and a potentially life-threatening complication that can occur after blood or marrow transplantation (BMT).

What is it and how do we manage this?

A 🧵for #MedTwitter trainees in preparation for #EBMT23 ♥️
1/15 Image
VOD:
-clinical syndrome which can occur after BMTand, less commonly, after chemo, toxic alkaloids, high doses of radiotherapy, or liver transplant
-incidence varies from 2-60% because of different setting, application of different diagnostic criteria and BMT procedures
2/15 Image
Clinic:
-rapid weight gain, often unresponsive to diuretics, hyperbilirubinemia, painful hepatomegaly, & ascites
-within 21 days after BMT
-late-onset VOD a distinct feature, occurring in 39.3% and 16.7%, respectively, in the adult and pediatric setting
-@TheEBMT criteria👇
3/15 Image
Read 16 tweets

Did Thread Reader help you today?

Support us! We are indie developers!


This site is made by just two indie developers on a laptop doing marketing, support and development! Read more about the story.

Become a Premium Member ($3/month or $30/year) and get exclusive features!

Become Premium

Don't want to be a Premium member but still want to support us?

Make a small donation by buying us coffee ($5) or help with server cost ($10)

Donate via Paypal

Or Donate anonymously using crypto!

Ethereum

0xfe58350B80634f60Fa6Dc149a72b4DFbc17D341E copy

Bitcoin

3ATGMxNzCUFzxpMCHL5sWSt4DVtS8UqXpi copy

Thank you for your support!

Follow Us on Twitter!

:(