Casey Albin, MD Profile picture
Jun 14 14 tweets 4 min read Twitter logo Read on Twitter
1/ #ContinuumCase!!

A 50 yo man presented to the ED with acute onset aphasia. He is not able to report a history, but BP Is 215/95.

Non-contrast HCT reveals this bleed…
What do you want to see next? Image
2/
What do you most want next?
3/
Cortical bleeds are IMHO way more fun than basal ganglia hemorrhages.

Even though BP was elevated, that is true of many patients who have non-hypertensive etiologies of their bleeds!

In these patients you must consider:
🩸CAA
🩸Endocarditis
🩸Atypical aneurysms
🩸RCVS....
4/
And ... Venous Sinus Thrombosis!

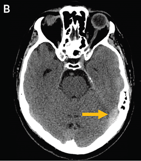
In this case, even just a closer review of the non-con provides a very important clue.

A cord sign! A hyperdense signal within a venous sinus (in this case transverse / sigmoid sinus) Image
5/
Note that there are numerous venous variants, but the two important cortical veins to remember are the Vein of Trolard (top) drains to saggital sinus; and Vein of Labbe (low) drains to transverse sinus. Image
6/
Intracerebral hemorrhage is present in 1/3 of patients.
But you should think of CVT if the IPH is:

➡️Multiple
➡️Ill-defined w/ surrounding edema
➡️Non-arterial territories
➡️ Involve bilateral basal ganglia or thalami
➡️ Cortical
7/
While both CTV and MRV with contrast (NOT TOF MRV, poor resolution, proned to artifacts) offer high sensitivity for CVT detection, contrasted MRI can better demonstrate the parenchymal changes.
8/
You may even find a brush sign on paramagnetic-sensitive MRI sequences, particularly if there is a deep CVT! Image
9/
In this case, both CTV and MRV demonstrated thrombus within the transverse sinus, sigmoid sinus, IJ, and vein of Labbe. Image
10/
A thoughtful approach to laboratory testing and further workup is detailed in the @ContinuumAAN article, which you should check out!

But let’s skip to treatment. Whats your next move:
11/
While there is mounting evidence for the safety of efficacy of DOACs in CVT, guildelines recommend starting with a parenteral anticoagulant.

The ESO guidelines have a weak recommendation for LMWH > heparin for a non-sig trend towards 🔼 functional outcomes & 🔽 mortality.
12/
With unfractionated heparin, the goal should be to have the drug in the therapeutic range quickly, even if ICH Is present.
13/
For patients who worsen despite medical treatment, EVT is an option although the exact efficacy is still debated.

TO-ACT, a trial of endovascular therapy, has been difficult to interpret due to a small sample size.
14/
For an incredible discussion about this fascinating and rare form of stroke, check out Dr Liberman’s (@ava_liberman) review, which is available in the latest issue of @ContinuumAAN

journals.lww.com/continuum/Full…

• • •

Missing some Tweet in this thread? You can try to force a refresh
 

Keep Current with Casey Albin, MD

Casey Albin, MD Profile picture

Stay in touch and get notified when new unrolls are available from this author!

Read all threads

This Thread may be Removed Anytime!

PDF

Twitter may remove this content at anytime! Save it as PDF for later use!

Try unrolling a thread yourself!

how to unroll video
  1. Follow @ThreadReaderApp to mention us!

  2. From a Twitter thread mention us with a keyword "unroll"
@threadreaderapp unroll

Practice here first or read more on our help page!

More from @caseyalbin

May 15
1/
🚨Code stroke to the Med-Surg floor!

53 yo M with hep C & IVDU admitted yesterday for fever & chills.

BCx=GPCs in clusters😨. An ECHO is planned.

He develops witnessed-onset R sided weakness & aphasia. Head CT👇

Do you push tPA?

A #continuumcase Image
2/
LSW <2 hours ago. Head CT with no ICH.

Do you push tPA?
3/
Lets give a little more context. CPR is 43. CT A/P done the day prior demonstrates renal infarcts.
On your exam you find Janeway lesions.

What about now? tPA?
Read 8 tweets
May 2
1/
Back from #AANAM and missing the learning?
Enter #ContinuumCase
A 75-yo👩 presents to clinic.
- 1 month ago: monocular blurred vision in L👁️
- C U/S: 70% to 80% ICA stenosis
- On ASA 81 & Atorva 20mg; LDL 132 mg/dL b/f lipid therapy
How do you proceed?
[not her MRA] Image
Next step in management, #neurotwitter?
3/
Management of a Hot Carotid (or, in this case, a chilled carotid) can get spicy 🌶️!

This is an area in neurology where we (actually!) have trial data, but things get complicated based on the patient's:
⚧️Gender
🔞Age
💊Medical risk factors
⏲️Timing from index ischemic event
Read 10 tweets
Apr 3
1/
#ContinuumCase

A 67 yo man with a known, active cancer presents to the ED. His wife reports that he has had worsening headaches, forgetfulness, & confusion. Today, he was increasingly sleepy which triggered the presentation.

An MRI is ordered.
🤔🤔🤔 @ContinuumAAN @LyellJ
2/
Neurologic complications in cancer patients are tricky. They can be due to
✨Malignant lesions
✨Systemic complications of disease
✨Paraneoplastic disorders
✨Treatment Side effects
3/
You absolutely must have a systemic approach to these patients. I think the best framework for this is in this review by @holroyd_katie, Dan Rubin and Henrikas Vaitkevicius:
pubmed.ncbi.nlm.nih.gov/34619783/
Read 15 tweets
Mar 30
1/
Just how much can ultrasonography reveal about the neurovascular health of the brain?

A whole freaking lot!!

A #ContinuumCase about a man with transient dizziness after doing heavy lifting in the yard. @ContinuumAAN @LyellJ
2/
There are a lot of way this case could unfold…
Was he just dehydrated?
Did he have a dissection?
Have a PE?

But with more questions, it becomes clear that this has happened before.

Whenever he is doing heavy lifting, his left arm becomes tingly & then the room spins 🤔
3/
#NeuroTwitter, what's going on?
Read 13 tweets
Mar 20
1/
A 59 year old woman presents with acute onset 10/10 headache (⛈️) and radiating occipital pain.

Non-con head CT is performed and reveals this👇

#problem

But the CTA shows no aneurysm.

So... now what?

A #ContinuumCase.
2/
The most feared cause of subarachnoid hemorrhage is aneurysm rupture, but it’s super important to remember that not all SAH is aneurysmal.

Before jumping to any conclusion. It’s critical to assess the pattern of SAH:
3/
Cortical SAH is rarely related to aneurysm unless it’s a mycotic aneurysm. Cortical SAH is much more likely to fall into one of these diagnoses:
Read 12 tweets
Feb 27
1/
A #ContinuumCase to start the week off!

21 yo👨 w/ a hx of traumatic brain & spinal cord injury presents to the ED for post-traumatic seizures.

MRI is ordered.

“No known implanted devices” is checked ✅

Then...The patient nearly suffers a life-threatening complication.
2/
What device was present?
3/
⛔️ANY of these devices can be MR-unsafe! ⛔️

Many are also MRI-conditional and can result in life-threatening emergencies if the conditions are not followed!

....A further clue🕵️

Several days later the patient has fever, altered mental status, rigidity and another seizure.
Read 13 tweets

Did Thread Reader help you today?

Support us! We are indie developers!


This site is made by just two indie developers on a laptop doing marketing, support and development! Read more about the story.

Become a Premium Member ($3/month or $30/year) and get exclusive features!

Become Premium

Don't want to be a Premium member but still want to support us?

Make a small donation by buying us coffee ($5) or help with server cost ($10)

Donate via Paypal

Or Donate anonymously using crypto!

Ethereum

0xfe58350B80634f60Fa6Dc149a72b4DFbc17D341E copy

Bitcoin

3ATGMxNzCUFzxpMCHL5sWSt4DVtS8UqXpi copy

Thank you for your support!

Follow Us on Twitter!

:(