Vipin M. Vashishtha Profile picture
Nov 23 10 tweets 2 min read Twitter logo Read on Twitter
Does SARS-CoV-2 have the potential to cause cancers?

What appears to be SARS-CoV-2’s ability to sometimes incite chronic inflammation. Cancerous viruses usually establish persistent long-term infections in their host, and they’re good at hiding from the immune system. 1/
Further, emerging evidence supports the idea that some people harbor “viral reservoirs,” places in the body where perhaps SARS-CoV-2 or some fragment of the virus might persist. 2/
The viral reservoir could be replicating the virus (we don’t have evidence of that in humans, but it was detected in infected macaques), or pieces of viral RNA could be producing proteins or be lying dormant. 3/
Even if the remaining pieces of the virus are not infectious, researchers hypothesize that their presence may still be able to alter people’s immune responses in damaging ways. 4/
But while we know SARS-CoV-2 RNA persists in many tissues, it’s completely uncertain whether that drives the kinds of chronic inflammation that could lead to cancer. 5/
Researchers and experts are watching closely for that next surprise. “Even if you imagine that 1% of the people with persistent infection would develop a cancer, the number is huge,” 6/
Hopefully it’s not even 1%. It’s like 0%. That’s why we should run some experiments–just to be sure that nothing’s going to happen. Just to be on the safe side. 7/
Viral infections are thought to be responsible for about 15%-20% of cancer cases globally. And on sheer scale alone–>770 million cases worldwide, nearly 7 million deaths, and the ability of some strains to transmit efficiently and evade vaccine- or infection-acquired immunity 8/
“There’s not great evidence to support SARS-CoV-2 being an oncogenic virus–but this virus has surprised us over and over.”

SARS-CoV-2 has proven to be a formidable, if yet mysterious, pathogen. We just don’t know yet what this virus is capable of doing. 9/
Here is the link to the full article analysing the oncogenic potential of the SARS-CoV-2 with some great inputs by @VirusesImmunity 👇 10/10

fortune.com/2023/11/23/ins…

• • •

Missing some Tweet in this thread? You can try to force a refresh
 

Keep Current with Vipin M. Vashishtha

Vipin M. Vashishtha Profile picture

Stay in touch and get notified when new unrolls are available from this author!

Read all threads

This Thread may be Removed Anytime!

PDF

Twitter may remove this content at anytime! Save it as PDF for later use!

Try unrolling a thread yourself!

how to unroll video
  1. Follow @ThreadReaderApp to mention us!

  2. From a Twitter thread mention us with a keyword "unroll"
@threadreaderapp unroll

Practice here first or read more on our help page!

More from @vipintukur

Nov 22
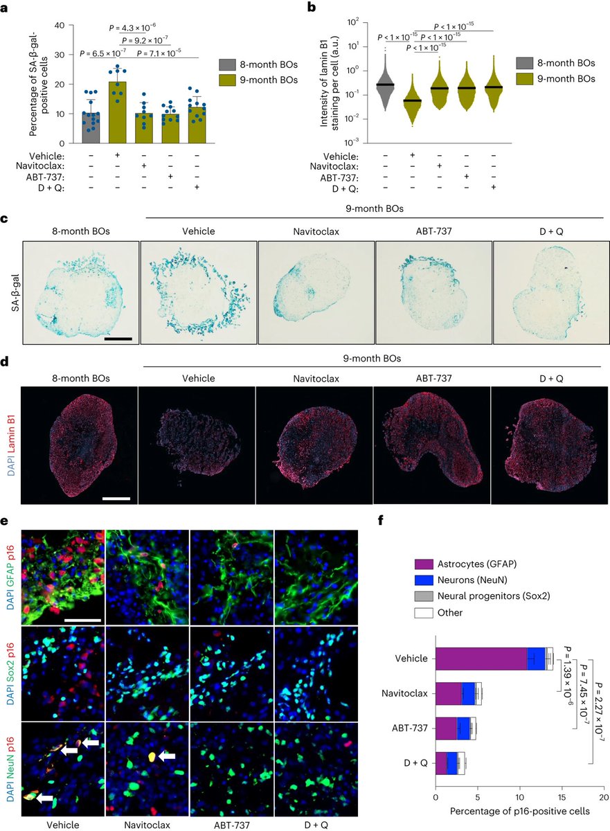
COVID-19 accelerates the presence of 'zombie' or senescent cells, which accumulate gradually in the brain as we get older.
Senescent cells are known to drive tissue inflammation & degeneration, leaving patients exposed to cognitive impairments like brain fog & memory loss. 1/ Image
In a new study, researchers have found a way to reverse the cellular process triggered by COVID-19 that contributes to premature aging of the brain. 2/
They used synthetic brain organoid (BO) models, grown in a lab from human stem cells, to study the effect of different SARS2 variants on brain tissue. 3/ Image
Read 9 tweets
Nov 21
A new research shows that human responses to COVID-19, such as lockdowns, affect the virus’s evolution, making it more transmissible earlier in its lifecycle. Their findings highlight the intricate connection between human behavior and the evolution of disease-causing agents. 1/
Researchers found that the SARS-CoV-2 variants that were most successful at spreading had an earlier and higher peak in viral load. However, as the virus evolved from the pre-Alpha to the Delta variants, it had a shorter duration of infection. 2/ Image
They also found that the decreased incubation period and the increased proportion of asymptomatic infections recorded as the virus mutated also affected virus evolution. 3/ Image
Read 9 tweets
Nov 19
A new study evaluated the preexisting immunity against recent SARS-CoV-2 strains in Vietnam. Researchers finds that pre-COVID-19 samples neutralizes Wuhan and Alpha strains but not newer variants of SARS2. 1/ Image
The researchers demonstrate that pre-existing immunity against SARS-CoV-2 in Vietnam, at least 5 years prior to the COVID-19 pandemic, was likely due to infection by common cold coronaviruses. 2/
They also find limited cellular immunity to SARS-CoV-2 suggesting a lack of cross-immunity newer VOCs. 3/ Image
Read 5 tweets
Nov 14
COVID-19 caused profound epigenetic changes in the lungs of patients who died from the disease. Such alterations particularly affected genes related to hyperinflammation and fibrosis. 1/ Image
In a new study, researchers analysed an extensive collection of lung autopsy samples from patients who died from COVID-19 and compared them with healthy lungs from people who died from other unrelated diseases. 2/
Comparison of the DNA between both groups showed epigenetic differences in more than 2,000 regulation points of the genetic material. 3/
Read 7 tweets
Nov 14
The Omicron variant is the most successful lineage to date as demonstrated by its rapid spread & dominance across the world. Its success was explained by the accumulation of RBD mutations in the binding footprint of the virus’s main entry host receptor, hACE2 1/
A new study based on analysis of of over 13 million SARS-CoV-2 genomes, collected over 3 years, revealed that during the first year of the pandemic, the SARS2 genome was subject to strong conservation, with only 3.6% of sites under diversifying pressure in RBD of the Spike 2/ Image
However, a sharp increase in diversification of the RBD was observed during 2021 (8.1% of sites under diversifying pressure), indicating selective pressures that promote the accumulation of mutations. This period coincided with broad viral infection & vaccination worldwide. 3/
Read 13 tweets
Nov 11
Like most other envelop glycoproteins, SARS-CoV-2 Spike undergoes multiple post-translational modifications, in particular S-acylation, which attaches a medium chain fatty acid via a thioester bond to cysteine residues in its cytoplasmic tail. 1/ Image
Acylation has been shown to influence the lipid composition of the virions and to drastically enhance the fusogenic capacity of the produced viruses. The efficiency of Spike S-acylation is therefore determinant for infectivity. 2/
A new study finds that SARS-CoV-2 infection triggers a change in the transcriptional start site of the zdhhc20 gene, both in cells & in an in vivo infection model. 3/ Image
Read 12 tweets

Did Thread Reader help you today?

Support us! We are indie developers!


This site is made by just two indie developers on a laptop doing marketing, support and development! Read more about the story.

Become a Premium Member ($3/month or $30/year) and get exclusive features!

Become Premium

Don't want to be a Premium member but still want to support us?

Make a small donation by buying us coffee ($5) or help with server cost ($10)

Donate via Paypal

Or Donate anonymously using crypto!

Ethereum

0xfe58350B80634f60Fa6Dc149a72b4DFbc17D341E copy

Bitcoin

3ATGMxNzCUFzxpMCHL5sWSt4DVtS8UqXpi copy

Thank you for your support!

Follow Us on Twitter!

:(