Vipin M. Vashishtha Profile picture
Feb 28 5 tweets 2 min read Read on X
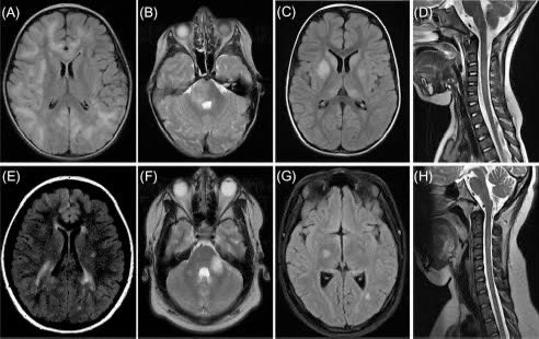
A new research underscores how much more we have to learn about what SAR-CoV-2 virus can do to our children, particularly to their brains. The study collected brain scan data from nearly 2 years’ worth of scientific literature to try to summarize what we know so far. 1/ Image
The systematic review & meta analysis of 96 studies finds that a substantial proportion of pediatric COVID-19 patients with neurological symptoms exhibit abnormal neuroimaging findings, with 43.74% of children in the included studies demonstrating such abnormalities. 2/ Image
The researchers identified different neurological signs in the children whose brains were scanned. They include neurovascular findings (8.22%), ADEM-like lesions (7.69%), encephalitic pattern (13.95%), myelitis (4.60%), transient splenial lesions (16.26%) & other 3/ Image
The observed incidence of neurological abnormalities in pediatric COVID-19 patients raises several important clinical and research implications.

First, it highlights the necessity for a high index of suspicion for neurological complications in children with COVID-19. 4/
Second, the findings of this study emphasize the importance of continued research into the long-term consequences of COVID-19 in children. 5/5

nature.com/articles/s4159…
Image

• • •

Missing some Tweet in this thread? You can try to force a refresh
 

Keep Current with Vipin M. Vashishtha

Vipin M. Vashishtha Profile picture

Stay in touch and get notified when new unrolls are available from this author!

Read all threads

This Thread may be Removed Anytime!

PDF

Twitter may remove this content at anytime! Save it as PDF for later use!

Try unrolling a thread yourself!

how to unroll video
  1. Follow @ThreadReaderApp to mention us!

  2. From a Twitter thread mention us with a keyword "unroll"
@threadreaderapp unroll

Practice here first or read more on our help page!

More from @vipintukur

Mar 1
Post-COVID-19 syndrome may be associated with the abnormal immune status. Compared with the unexposed age-matched elder group, PD-1 in the CD8+ T cells from recovered COVID-19 patients was significantly lower. 1/ Image
Programmed death receptor 1 (PD-1) is a member of the CD28 family. It is an immunosuppressive molecule expressed in activated T cells and an important target of immunotherapy. 2/ Image
IFN-γ in the plasma of COVID-19 convalescent patients was increased, which inhibited PD-1 expression in CD8+ T cells from COVID-19 convalescent patients. 3/ Image
Read 4 tweets
Feb 29
While most of the attention and therapeutic efforts have concentrated on the acute phase of Covid19, the survivors with #LongCovid seem neglected. It is estimated that 1 in 5 Covid19 survivors exhibit clinical manifestations of longCOVID. 1/ Image
Despite this prevalence, the mechanisms and pathophysiology of long COVID remain poorly understood. Alarmingly, evidence suggests that a significant proportion of cases within this clinical condition develop debilitating or disabling symptoms. 2/ Image
A new review provides an overview of available information on this emerging clinical condition, focusing on the affected individuals’ epidemiology, pathophysiological mechanisms, and immunological and inflammatory profiles. 3/ Image
Read 16 tweets
Feb 27
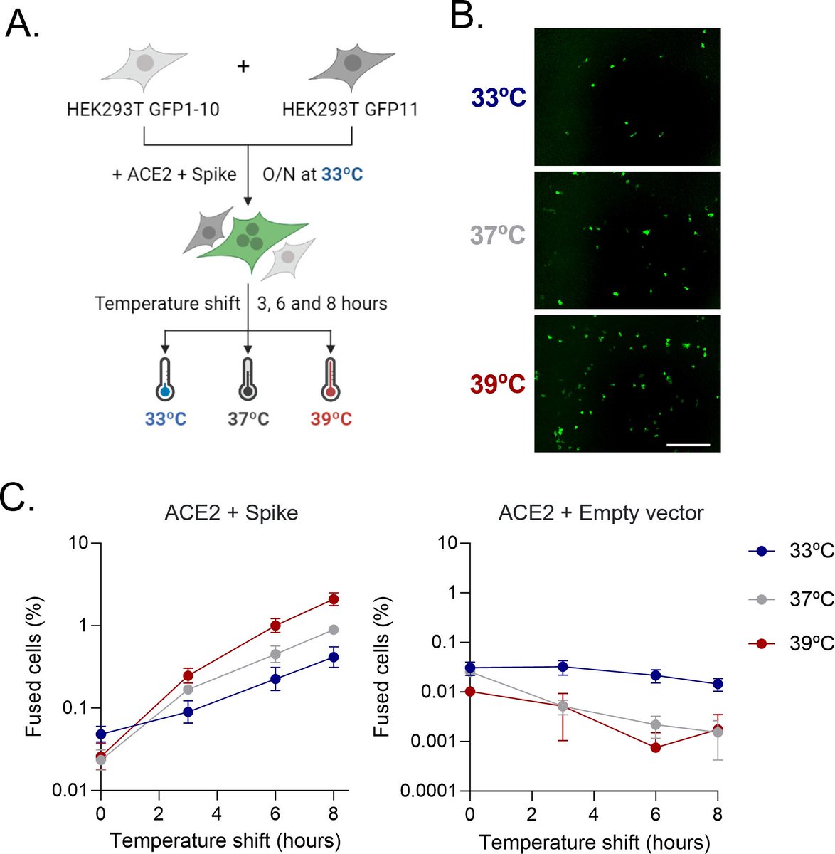
How temperature affects the SARS-CoV-2 spike function and evolution?

A new study observed that high temperature increased SARS-CoV-2 spike fusogenicity
The study finds that variations in body temperature may affect the activity & diversification of the SARS-CoV-2 spike. 1/ Image
SARS-CoV-2 has been shown to replicate more efficiently at low temperatures, but the effect of temperature on different viral proteins remains poorly understood. 2/
Here, the researchers investigate how temperature affects the SARS-CoV-2 spike function and evolution. They first observed that increasing temperature from 33°C to 37°C or 39°C increased spike-mediated cell–cell fusion. 3/ Image
Read 12 tweets
Feb 25
During COVID pandemic, many were surprised by the apparent lack of illness in infants.
Experts believed that a newborn's immune system was an immature version of an adult's, but a new work shows that newborns' T cells outperform those of adults at fighting off infections 1/ Image
For example, adult T cells outperform newborn T cells at tasks including recognizing antigens, forming immunological memory and responding to repeat infections, which has led to the belief that infant's T cells were just a weaker version of the adult ones. 2/ Image
The researchers discovered that newborn T cells are not deficient: Instead, they are involved in a part of the immune system that does not require antigen recognition: the innate arm of the immune system. 3/
Read 10 tweets
Feb 24
Effectiveness of natural infection in preventing reinfection with the JN.1 variant!

➡️ The overall effectiveness of previous infection in preventing reinfection with JN.1 was estimated at only 1.8% (95% CI: -9.3-12.6%)! Image
This effectiveness demonstrated a rapid decline over time since the previous infection, decreasing from 82.4% (95% CI: 40.9-94.7%) within 3 to less than 6 months after the previous infection to 50.9% (95% CI: -11.8-78.7%) in the subsequent 3 months. 2/ Image
The effectiveness further dropped to 18.3% (95% CI: -34.6-56.3%) in the subsequent 3 months. Ultimately, it reached a negligible level after one year. 3/
Read 5 tweets
Feb 24
COVID-19 is associated with arterial and venous thrombosis, thereby increasing mortality. SARS-CoV-2 Spike protein (SP) is implicated in COVID-19-associated thrombosis. 1/ Image
However, the underlying mechanisms remain unknown. Thymidine phosphorylase (TYMP), a newly identified prothrombotic protein, is upregulated in the plasma, platelets, and lungs of patients with COVID-19 but its role in COVID-19-associated thrombosis is not defined. 2/ Image
In a new study, researchers found that wild-type Spike protein (SP) significantly promoted arterial thrombosis in transgenic mice. SP-accelerated thrombosis was attenuated by inhibition or genetic ablation of TYMP. 3/ Image
Read 10 tweets

Did Thread Reader help you today?

Support us! We are indie developers!


This site is made by just two indie developers on a laptop doing marketing, support and development! Read more about the story.

Become a Premium Member ($3/month or $30/year) and get exclusive features!

Become Premium

Don't want to be a Premium member but still want to support us?

Make a small donation by buying us coffee ($5) or help with server cost ($10)

Donate via Paypal

Or Donate anonymously using crypto!

Ethereum

0xfe58350B80634f60Fa6Dc149a72b4DFbc17D341E copy

Bitcoin

3ATGMxNzCUFzxpMCHL5sWSt4DVtS8UqXpi copy

Thank you for your support!

Follow Us!

:(