Emmanuel Profile picture
Mar 27 โ€ข 10 tweets โ€ข 3 min read โ€ข Read on X
๐—•๐—Ÿ๐—ข๐—ข๐—— ๐—–๐—”๐—ก๐—–๐—˜๐—ฅ ๐—ฎ๐—ป๐—ฑ ๐—–๐—ข๐—ฉ๐—œ๐——-19

(Key study !)

"The COVID-19 pandemic heightened risks for individuals with hematological malignancies due to compromised immune systems, leading to more severe outcomes and increased mortality. " thelancet.com/journals/eclinโ€ฆ
Image
2) "The EPICOVIDEHA registry collected data from January 2020 to December 2022, involving 8767 COVID-19 cases in hematological malignancy patients from 152 centers across 41 countries, with 42% being female. Over this period, there was a significant reduction ... Image
3) ... in critical infections and an overall decrease in mortality from 29% to 4%. However, hospitalization, particularly in the ICU, remained associated with higher mortality rates." Image
4) Fig. COVID-19 severity prevalence and mortality rate, overall mortality rate, mortality per malignancy status at COVID-19 onset, and mortality per reason for mortality. Image
5) Fig. COVID-19 severity prevalence and mortality rate, overall mortality rate, mortality per malignancy status at COVID-19 onset, and mortality per reason for mortality. Image
6) Fig. Survival probability per diagnosis semester, vaccination status, and COVID-19 treatment. A Image
7) Fig. Survival probability per diagnosis semester, vaccination status, and COVID-19 treatment. Image
8) ๐—œ๐—ก๐—ง๐—˜๐—ฅ๐—ฃ๐—ฅ๐—˜๐—ง๐—”๐—ง๐—œ๐—ข๐—ก
"Patients with hematological malignancies still face elevated risks, despite reductions in critical infections and overall mortality rates over time. Hospitalization, especially in ICUs, remains a significant concern. The study underscores ...
9) ... the importance of vaccination and the timing of COVID-19 exposure in 2022 for enhanced survival in this patient group. Ongoing monitoring and targeted interventions are essential to support this vulnerable population, emphasizing the critical role of timely diagnosis ...
10) ... and prompt treatment in preventing severe COVID-19 cases."

Thanks for reading ๐Ÿ™

โ€ข โ€ข โ€ข

Missing some Tweet in this thread? You can try to force a refresh
ใ€€

Keep Current with Emmanuel

Emmanuel Profile picture

Stay in touch and get notified when new unrolls are available from this author!

Read all threads

This Thread may be Removed Anytime!

PDF

Twitter may remove this content at anytime! Save it as PDF for later use!

Try unrolling a thread yourself!

how to unroll video
  1. Follow @ThreadReaderApp to mention us!

  2. From a Twitter thread mention us with a keyword "unroll"
@threadreaderapp unroll

Practice here first or read more on our help page!

More from @ejustin46

Mar 29
๐™†๐™š๐™ฎ ๐™จ๐™ฉ๐™ช๐™™๐™ฎ : ๐™ˆ๐™ž๐™ฉ๐™ค๐™˜๐™๐™ค๐™ฃ๐™™๐™ง๐™ž๐™–๐™ก ๐™š๐™ญ๐™ฉ๐™ง๐™–๐™˜๐™š๐™ก๐™ก๐™ช๐™ก๐™–๐™ง ๐™ซ๐™š๐™จ๐™ž๐™˜๐™ก๐™š๐™จ, ๐™–๐™ช๐™ฉ๐™ค๐™ž๐™ข๐™ข๐™ช๐™ฃ๐™ž๐™ฉ๐™ฎ ๐™–๐™ฃ๐™™ ๐™ข๐™ฎ๐™ค๐™˜๐™–๐™ง๐™™๐™ž๐™ฉ๐™ž๐™จ


For many decades viral infections have been suspected as โ€˜triggersโ€™ of autoimmune disease frontiersin.org/journals/immunโ€ฆ
Image
2) Recent studies have shown that viral infections that are commonly associated with viral myocarditis and other autoimmune diseases. Viruses like coxsackievirus B3 (CVB3) that cause myocarditis frequently target mitochondria to boost viral replication.
3) They disrupt mitochondria, leading to the release of damaged mitochondria and virus-containing mitochondrial extracellular vesicles (EVs). EVs contain a mix of viral and mitochondrial self-antigens. When these EVs activate pattern recognition receptors like TLR4 ... Image
Read 8 tweets
Mar 29
๐™-๐™˜๐™š๐™ก๐™ก ๐™˜๐™ค๐™ช๐™ฃ๐™ฉ ๐™–๐™ฃ๐™™ ๐™-๐™˜๐™š๐™ก๐™ก ๐™ฉ๐™š๐™ก๐™ค๐™ข๐™š๐™ง๐™š ๐™ก๐™š๐™ฃ๐™œ๐™ฉ๐™ ๐™ž๐™ฃ ๐™ฅ๐™–๐™ฉ๐™ž๐™š๐™ฃ๐™ฉ๐™จ ๐™ฌ๐™ž๐™ฉ๐™ ๐™จ๐™š๐™ซ๐™š๐™ง๐™š ๐˜พ๐™Š๐™‘๐™„๐˜ฟ-19


The study examined the relationship between T-cell telomere length (TL) parameters and T-cell counts in 40 patients ... frontiersin.org/journals/immunโ€ฆ
Image
2) ...hospitalized with severe COVID-19.
On admission to the intensive care unit, the mean T-cell count was 1.03 x109/L. The mean TL was 3.88 kilobases and 45.3% of telomeres were shorter than 3 kb.
T-cell count decreased with age and was higher in females than males. Image
3) Using regression analysis adjusting for age and sex:
- T-cell count decreased as the proportion of T-cell telomeres shorter than 3 kb increased.
- T-cell count increased as mean TL increased, though this result was marginally significant.
Read 4 tweets
Mar 29
๐˜ฝ๐™ง๐™–๐™ž๐™ฃ ๐™ข๐™–๐™œ๐™ฃ๐™š๐™ฉ๐™ž๐™˜ ๐™ง๐™š๐™จ๐™ค๐™ฃ๐™–๐™ฃ๐™˜๐™š ๐™ž๐™ข๐™–๐™œ๐™ž๐™ฃ๐™œ ๐™›๐™ž๐™ฃ๐™™๐™ž๐™ฃ๐™œ๐™จ ๐™ž๐™ฃ ๐™˜๐™๐™ž๐™ก๐™™๐™ง๐™š๐™ฃ ๐™ฌ๐™ž๐™ฉ๐™ ๐™ฃ๐™š๐™ช๐™ง๐™ค๐™ก๐™ค๐™œ๐™ž๐™˜๐™–๐™ก ๐™˜๐™ค๐™ข๐™ฅ๐™ก๐™ž๐™˜๐™–๐™ฉ๐™ž๐™ค๐™ฃ๐™จ ๐™ค๐™› ๐˜พ๐™Š๐™‘๐™„๐˜ฟ-19 (๐™Š๐™ข๐™ž๐™˜๐™ง๐™ค๐™ฃ ๐™ซ๐™–๐™ง๐™ž๐™–๐™ฃ๐™ฉ) ๐Ÿ˜จ

Thanks @DavidJoffe64
link.springer.com/article/10.100โ€ฆ
Image
2) This study analyzed brain MRI findings in 102 pediatric patients infected with Omicron who were admitted to PICUs with neurological complications. The average age was 5.8 years and most patients were male. Common symptoms included fever, convulsions and altered consciousness. Image
3) MRI was performed 1-12 days after symptom onset in 93 patients. Abnormal neuroimaging findings were seen in 74% of cases. The most common finding was acute necrotizing encephalopathy seen in 48% of cases with abnormal MRI. This involved lesions in the thalamus, brainstem ... Image
Read 6 tweets
Mar 28
๐™†๐™š๐™ฎ ๐™จ๐™ฉ๐™ช๐™™๐™ฎ : ๐™๐™š๐™ก๐™–๐™ฉ๐™ž๐™ค๐™ฃ๐™จ๐™๐™ž๐™ฅ ๐™—๐™š๐™ฉ๐™ฌ๐™š๐™š๐™ฃ ๐™ฉ๐™๐™š ๐™‘๐™ž๐™ง๐™–๐™ก ๐™‡๐™ค๐™–๐™™ ๐™ž๐™ฃ ๐™‹๐™–๐™ฉ๐™ž๐™š๐™ฃ๐™ฉ๐™จ ๐™ฌ๐™ž๐™ฉ๐™ ๐˜ฟ๐™ž๐™›๐™›๐™š๐™ง๐™š๐™ฃ๐™ฉ ๐˜พ๐™Š๐™‘๐™„๐˜ฟ-19 ๐™Ž๐™š๐™ซ๐™š๐™ง๐™ž๐™ฉ๐™ž๐™š๐™จ ๐™–๐™ฃ๐™™ ๐™Ž๐˜ผ๐™๐™Ž-๐˜พ๐™ค๐™‘-2 ๐™‘๐™–๐™ง๐™ž๐™–๐™ฃ๐™ฉ๐™จ

mdpi.com/2076-2607/12/3โ€ฆ
Image
2) The study analyzed the viral load and its relationship to various factors for over 16,800 COVID-19 patient samples in Mexico. Viral load was quantified using the ฮ”Ct method. Image
3) Viral load was highest in the first few days after symptom onset and decreased over time. Differences in viral load between variants were only seen in the first 2 days.
Read 8 tweets
Mar 28
๐—–๐—ข๐—ฅ๐—ง๐—œ๐—–๐—ข๐—ฆ๐—ง๐—˜๐—ฅ๐—ข๐—œ๐——๐—ฆ ๐—ฎ๐—ป๐—ฑ ๐—–๐—ข๐—ฉ๐—œ๐——-19

(2 ๐˜ฏ๐˜ฆ๐˜ธ ๐˜ด๐˜ต๐˜ถ๐˜ฅ๐˜ช๐˜ฆ๐˜ด)
Corticoid is a general term for adrenal cortex hormones, glucocorticoids are a specific type of corticoid that regulate metabolism and immune response, Image
2) ...and corticosteroids encompass both glucocorticoids and mineralocorticoids.

A good article on corticosteroids
news-medical.net/health/COVID-1โ€ฆ
Image
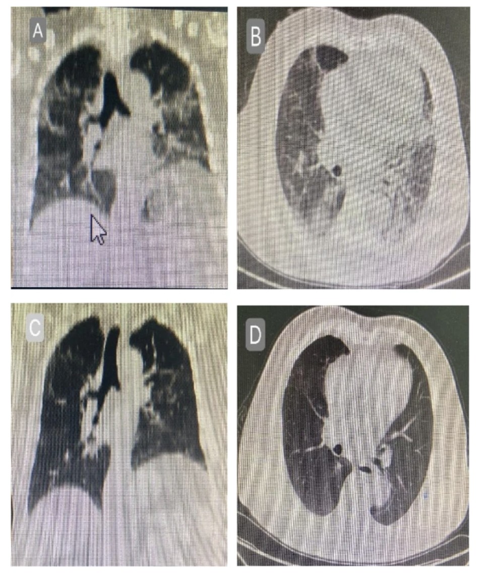
3) 1st study :
"Efficacy of different doses of corticosteroids in treating severe COVID-19 pneumonia"
virologyj.biomedcentral.com/articles/10.11โ€ฆ
Image
Read 4 tweets
Mar 28
๐—•๐—Ÿ๐—ข๐—ข๐——-๐—•๐—ฅ๐—”๐—œ๐—ก ๐—ฎ๐—ป๐—ฑ ๐—–๐—ข๐—ฉ๐—œ๐——-19
(๐˜ฎ๐˜ฆ๐˜จ๐˜ข-๐˜ต๐˜ฉ๐˜ณ๐˜ฆ๐˜ข๐˜ฅ)
Image
Image
Read 8 tweets

Did Thread Reader help you today?

Support us! We are indie developers!


This site is made by just two indie developers on a laptop doing marketing, support and development! Read more about the story.

Become a Premium Member ($3/month or $30/year) and get exclusive features!

Become Premium

Don't want to be a Premium member but still want to support us?

Make a small donation by buying us coffee ($5) or help with server cost ($10)

Donate via Paypal

Or Donate anonymously using crypto!

Ethereum

0xfe58350B80634f60Fa6Dc149a72b4DFbc17D341E copy

Bitcoin

3ATGMxNzCUFzxpMCHL5sWSt4DVtS8UqXpi copy

Thank you for your support!

Follow Us!

:(