Vipin M. Vashishtha Profile picture
Jun 2 24 tweets 7 min read Read on X
A recent discovery could transform our understanding of how cancers develop.

The classical theory that attempts to explain why normal cells become cancer cells, posits that DNA mutations are the primary cause of cancers. 1/ Image
It's well known that aging, as well as some lifestyle and environmental factors (such as smoking and UV radiation) cause random DNA mutations (also known as genetic alterations) in our cells. 2/ Image
Most genetic alterations trigger cell death or have no consequence. But a few mutations favor cell survival. If sufficient number of "life extending" mutations occur in a cell, this cell will become virtually immortal—starting uncontrolled duplications that results in cancer 3/ Image
However, this theory places a lot of importance on DNA mutations, which are irreversible and often difficult to target with drugs. So, if cancer is caused by genetic mutations only, our ability to kill cancer cells may be limited. 4/ Image
Interestingly, there are other theories on how cancer starts. If these theories are also valid, we could develop better ways of preventing and treating cancers. 5/ Image
One of these new theories has been tested by researchers in a recent study. This study was conducted in fruit flies (which share 75% of the genes associated with human diseases). 6/ Image
The researchers used the flies to investigate whether cancers could be caused by epigenetic changes—reversible "marks" that are added to the genome to turn genes on and off. 7/ Image
"Genetics" and "epigenetics" may sound similar, but they denote two very different processes. To understand the difference between genetic mutations and epigenetic alterations, think of your DNA as a book that contains some of the information needed to make yourself. 8/ Image
According to this metaphor, each gene would be the equivalent of a sentence in this book. A genetic mutation would correspond to using a pen to scratch out or modify a sentence. Once done, you cannot undo it. 9/
Epigenetic marks are more subtle changes—like underlining a sentence with a pencil or using a bookmark to quickly retrieve a certain page. These changes are achieved by adding or removing small molecules to the DNA itself, or to proteins that are closely associated to DNA. 10/ Image
As such, epigenetic changes are reversible—but they can have a profound impact on the way your cells "read" the DNA. 11/ Image
Epigenetic marks are essential for turning genes on & off during development (such as helping us form our eyes in the womb). They also create a bridge between external environment & genes. For ex, epigenetic regulation of genes allows animals to adapt to changing seasons. 12/ Image
For a long time, epigenetic marks were considered too fleeting to actually cause cancer. But studies have shown that cancer cells accumulate several epigenetic alterations—and these alterations can promote cancer cell survival as effectively as DNA mutations do. 13/
This would suggest that cancer develops through the accumulation of both genetic and epigenetic alterations. 14/
Previous studies hadn't had sufficient evidence to show epigenetic alterations could cause cancer in the absence of DNA mutations. This study has shown for the first time that a temporary change in epigenetic marks—even w/out a DNA mutation—is sufficient to cause cancer. 15/ Image
This is not only a scientifically fascinating result, but evidence that could change the way we treat some cancers—especially if these results are confirmed in future studies. 16/
If epigenetic alterations contribute to cancer then researchers could develop epigenetic therapies for this deadly disease. Many scientists and pharmaceutical companies have been working on this for the last few decades. 17/
These therapies would reprogram cancer cells by changing the distribution of reversible epigenetic marks. This would allow cells to revert to their normal behavior, thereby stopping uncontrolled reproduction. 18/ Image
Some of these new epigenetic drugs are now approved in some countries for the treatment of blood cancers and sarcomas. Other epigenetic drugs are in clinical trials for the most common cancer types—including breast and prostate cancer. 19/
The epigenetic cancer theory also has implications for cancer detection. Traces of abnormal epigenetic marks are released by cancer cells and can be found in the blood of cancer patients. 20/
A blood test can detect epigenetic marks from tiny amounts of blood. Since DNA mutations can also be found in the blood of cancer patients, combining genetic and epigenetic tests could make cancer detection even more accurate. 21/
Epigenetic therapies can also be combined with traditional cancer therapies—such as surgery or radiotherapy, which are very effective in many cases. 22/ Image
While the epigenetic theory of cancer explains important aspects of how the disease progresses, this doesn't mean the classical theory is wrong.

This new theory enriches our understanding of a complex phenomenon, reminding us there's still a lot to learn about cancer 23/
The next steps in this research are to test the epigenetic theory in other models—such as human cells—to further the development of precision treatments. 24/24

nature.com/articles/s4158…
Image

• • •

Missing some Tweet in this thread? You can try to force a refresh
 

Keep Current with Vipin M. Vashishtha

Vipin M. Vashishtha Profile picture

Stay in touch and get notified when new unrolls are available from this author!

Read all threads

This Thread may be Removed Anytime!

PDF

Twitter may remove this content at anytime! Save it as PDF for later use!

Try unrolling a thread yourself!

how to unroll video
  1. Follow @ThreadReaderApp to mention us!

  2. From a Twitter thread mention us with a keyword "unroll"
@threadreaderapp unroll

Practice here first or read more on our help page!

More from @vipintukur

May 31
How exactly do SARS-CoV-2 particles enter host cells?

Researchers show how TMPRSS2 acts as a helper to bring the virus into the cell via ACE2. This TMPRSS2-mediated uptake significantly alters the immune response of the host cells & drives the evolution of the virus. 1/ Image
The team also showed that this applies to early variants of the virus as well as the more recent omicron variant, and functions not only in humans, but likely also in wild, domestic and farm animals. 2/
It is undisputed that the presence of TMPRSS2 makes the entry of virus particles into host cells more efficient,but there were still many unanswered questions: How exactly does cell entry improve? What happens in the cell afterwards? Does this effect only work in humans? 3/ Image
Read 10 tweets
May 31
Neurological and ocular manifestations were reported in COVID-19 patients and in SARS-CoV-2 infected animal models. However, the effects of SARS-CoV-2 variants of concern (VoC) on the eyes and the retina remain unclear. 1/ Image
Here, in a NEW study, researchers investigate the cellular and molecular consequences of SARS-CoV-2 VoC infection on the eye and retina in mice and hamsters. 2/
Infection with the ancestral SARS-CoV-2 and the Gamma VoC induced a subtle increase in the eye volume of K18-hAce2 mice, but no morphological alteration was observed in hamsters eyes. 3/ Image
Read 7 tweets
May 30
Researchers discover vaccine originally created for HIV may also combat cancer!

In a NEW study, platform for cytomegalovirus (CMV)-based vaccines shows promise as a "shield" against cancer. 1/ Image
CMV is a common virus that infects most people in their lifetimes and typically produces mild or no symptoms. 2/ Image
Cancer cells, like many viruses, often evade the immune system by escaping T cell control; T cells help protect the body from infection. Researchers used CMV to transport cancer-related antigens that would cause an immune response. 3/ Image
Read 15 tweets
May 28
A NEW study offers valuable insights into the growing body of evidence that supports a role for a combination of innate immune activation, hematopoietic dysregulation, T cell exhaustion, and chronic inflammation in the pathogenesis of #LongCovid (LC) with ME/CFS. 1/ Image
Myalgic encephalomyelitis or chronic fatigue syndrome (ME/CFS) represents a subset of #LongCovid patients and exhibits the most debilitating symptoms. 2/ Image
This study finds that ME/CFS patients had relatively increased neutrophils and monocytes but reduced lymphocytes. Selective T cell exhaustion with reduced naïve but increased terminal effector T cells was observed in these patients. 3/ Image
Read 15 tweets
May 26
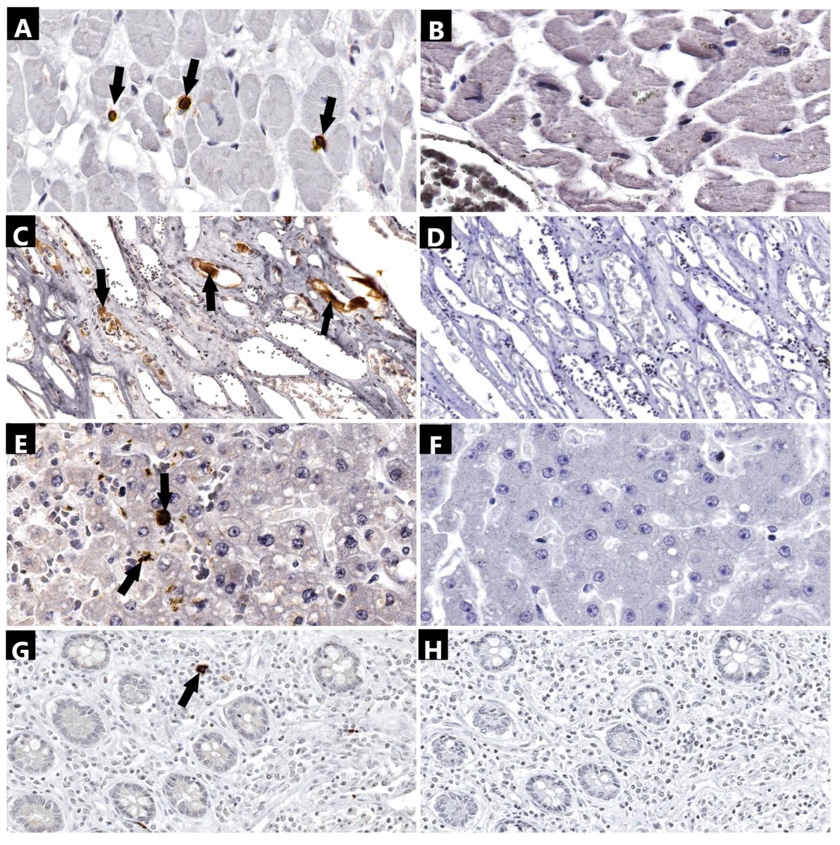
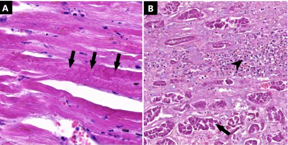
A new study analysed SARS-CoV-2 Viral Genome and Viral Nucleocapsid in 15 Covid19 patients who succumbed to their illness in Romania. The researchers found multi-system involvement of SARS-CoV-2 virus on autopsies. 1/ Image
Molecular analyses detected viral genes in various organs, with immunohistochemical assays confirming viral presence predominantly in macrophages and fibroblasts. 2/ Image
Myocardial lesions, including ischemic microstructural changes & inflammatory infiltrates, were prevalent, indicative of COVID-19’s cardiac implications, while renal pathology revealed chronic alterations, acute tubular necrosis, and inflammatory infiltrates most evident. 3/ Image
Read 6 tweets
May 25
A NEW study has unveiled the most detailed view of the complex biological mechanisms underlying autism, showing the first link between genetic risk of the disorder to observed cellular and genetic activity across different layers of the brain. 1/ Image
Gene profiling for autism spectrum disorder, with a few exceptions in smaller studies, has long been limited to using bulk tissue from brains from autistic individuals after death. 2/ Image
These tissue studies are unable to provide detailed information such as the differences in brain layer, circuit level and cell type-specific pathways associated with autism as well as mechanisms for gene regulation. 3/ Image
Read 12 tweets

Did Thread Reader help you today?

Support us! We are indie developers!


This site is made by just two indie developers on a laptop doing marketing, support and development! Read more about the story.

Become a Premium Member ($3/month or $30/year) and get exclusive features!

Become Premium

Don't want to be a Premium member but still want to support us?

Make a small donation by buying us coffee ($5) or help with server cost ($10)

Donate via Paypal

Or Donate anonymously using crypto!

Ethereum

0xfe58350B80634f60Fa6Dc149a72b4DFbc17D341E copy

Bitcoin

3ATGMxNzCUFzxpMCHL5sWSt4DVtS8UqXpi copy

Thank you for your support!

Follow Us!

:(