Shayan Sardarizadeh Profile picture
Sep 3 7 tweets 5 min read Read on X
Thread: A viral story claims Kamala Harris was involved in a 2011 hit-and-run that left a 13-year-old named Alicia Brown paralyzed.

But the story is fake, and is most likely part of a pro-Kremlin disinformation operation run by an ex-Florida cop we've previously reported on.



Image
Image
Image
Image
The source of the story is an obscure website called KBSF-San Francisco News. The domain was set up on 20 August.

The website has all the hallmarks of a network of AI-powered fake news websites set up by Moscow-based former Florida cop John Mark Dougan.
Image
Image
The top image of the massive story, which is supposed to show the crash caused by Harris in San Francisco in 2011, was actually taken in Guam.

A simple reverse search shows the image was originally posted in a news story about a January 2018 crash in Mangilao, Guam.
Image
https://eu.freep.com/picture-gallery/news/2018/01/17/auto-pedestrian-crash-sends-man-81-to-hospital/109533530/
The main piece of evidence for the story is this video of Alicia Brown, now 26, explaining how she's been left paralyzed by the crash caused by Harris.

You only need to watch a few seconds of it to realise it's a deepfake. Again, this is a hallmark of Dougan's operation.
The story also features the usual gaffes and errors that are often found in the fake stories that appear on Dougan's websites.

The story twice refers to its whistleblower as Alisha Brown, while calling her Alicia Brown in the video and again at the bottom of the story.
Image
Image
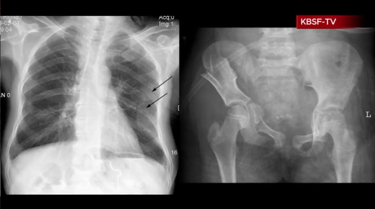
And finally, the video shows us these two X-rays as evidence that Alicia Brown has become paralyzed.

Both of these supposed Alicia Brown X-rays have been lifted from medical research journals on the internet and can be found via reverse image search. Here they are:

Image
https://www.researchgate.net/figure/X-ray-image-A-chest-radiograph-showed-fractures-of-the-left-sixth-and-seventh-ribs_fig4_47458589
https://journals.sagepub.com/doi/10.1302/1863-2548-11-160138
Read our report from July about this network of AI-powered fake news websites that masquerade as US local news outlets and are increasingly targeting the US election.

They are run by John Mark Dougan, a former Florida cop who's now based in Moscow.

bbc.co.uk/news/articles/…

• • •

Missing some Tweet in this thread? You can try to force a refresh
 

Keep Current with Shayan Sardarizadeh

Shayan Sardarizadeh Profile picture

Stay in touch and get notified when new unrolls are available from this author!

Read all threads

This Thread may be Removed Anytime!

PDF

Twitter may remove this content at anytime! Save it as PDF for later use!

Try unrolling a thread yourself!

how to unroll video
  1. Follow @ThreadReaderApp to mention us!

  2. From a Twitter thread mention us with a keyword "unroll"
@threadreaderapp unroll

Practice here first or read more on our help page!

More from @Shayan86

Jul 30
Immediately after the Southport attack, baseless rumours began spreading online.

The main source of rumours has been a report by an obscure US "news" website that falsely claims the suspect is an "asylum seeker" named "Ali Al-Shakati", who "arrived in the UK by boat last year". Image
Merseyside Police has confirmed that the suspect was born in Cardiff, and has yet to identify the 17-year-old.

The report also adds that the suspect was "on MI6 watch list", despite the fact that it is MI5, not MI6, that deals with domestic counter-terrorism cases.
Image
https://www.merseyside.police.uk/news/merseyside/news/2024/july/statement-from-chief-constable-serena-kennedy-following-major-incident-in-southport/
The name "Ali Al-Shakati" has since been widely shared online in misleading posts viewed by millions.

Some other outlets, including Russia's RT news channel, have also reported this name, citing the US-based website.
Image
Image
Read 4 tweets
Jun 28
THREAD: Fact-checking the Trump-Biden CNN debate

Trump said that Biden "inherited no inflation" when he came into office.

Inflation stood at 1.4% in January 2021. It rose significantly during Biden's presidency, hitting a peak of 9.1% in 2022. It was 3.3% in May. Image
Biden claimed he's the only president in the last decade who doesn’t have "any troops dying anywhere in the world".

Three US troops were killed in a drone attack in Jordan in January.

During the Afghanistan withdrawal in 2021, 13 US troops were killed in a suicide attack.
Image
Image
On abortion, Trump claimed that Biden wants to kill babies "in the ninth month and even after birth".

Killing a newborn is illegal in every US state.

Less than 1% of US abortions happen after 28 weeks, according to @CDCgov data. 93.5% of abortions happen before 13 weeks. https://www.cdc.gov/reproductive-health/data-statistics/abortion-surveillance-findings-reports.html#:~:text=Nearly%20all%20abortions%20in%202021,at%20%E2%89%A521%20weeks'%20gestation.
Read 5 tweets
Mar 26
Thread: Baltimore Bridge collapse misinformation

Pro-Kremlin influencers claim the captain of the Dali ship is a Ukrainian.

But online records show a Ukrainian man was the Dali's captain from March to July 2016. The ship that hit the bridge reportedly had an all-Indian crew.


Image
https://www.balticshipping.com/vessel/imo/9697428/seafarers
https://www.balticshipping.com/vessel/imo/9697428/seafarers
https://www.balticshipping.com/vessel/imo/9697428/seafarers
Claims by influencers such as Alex Jones and Andrew Tate that the Baltimore Bridge collapsed due to a "cyber-attack" have been viewed millions of times.

Maryland Governor Wes Moore has said the early investigation points to an accident, with "no evidence of a terrorist attack".

Image
Image
https://twitter.com/CBSNews/status/1772645740835131473?t=KyGydetZ7nFm_g9xFbly1w&s=19
This video, viewed 1.4 million times, claims to show evidence of pre-installed explosives causing the Baltimore Bridge collapse.

What the video shows is not explosives, but most likely electrical wires catching sparks. Image
Read 4 tweets
Dec 20, 2023
DC Weekly, a website founded by a former US Marine now living in Russia, has fuelled disinformation stories about Zelensky and Ukraine, including a fake story that he bought two luxury yachts with US aid money, later repeated by some members of Congress.

bbc.co.uk/news/world-us-…
These are just a few of the disinformation stories published by DC Weekly about Zelensky and Ukraine recently.

They all follow the same pattern: an obscure YouTube video featuring false claims, an article on DC Weekly referring to that video, and viral posts on social media.


Image
Image
Image
Image
All of those articles featuing false claims about Zelensky and Ukraine are written by Jessica Devlin. According to DC Weekly, she's a "highly acclaimed journalist" from NYC.

Except, that's the image of author Judy Batalion. Jessica Devlin is a fake persona. She doesn't exist.
Image
https://www.jta.org/2013/07/10/lifestyle/secular-new-mother-feels-the-tuggings-of-her-jewish-past
Read 9 tweets
Dec 15, 2023
A vast Russian influence operation on TikTok involving 12,800 fake accounts spreading disinformation about the war in Ukraine to millions of users in Germany, France, Italy, Poland, Israel and Ukraine, has been uncovered by BBC Verify and @DFRLab.

bbc.co.uk/news/world-eur…
Back in the summer, this video, featuing an AI-generated voice, racked up millions of views on TikTok and later on Twitter.

It falsely accused Ukraine's former defence minister Oleksiy Reznikov and his daughter Anastasiya Shteinhauz of buying a a €7m villa in Cannes, France.
We debunked the viral video back in July. The villa seen in the video wasn't bought by Reznikov, and was actually up for sale.

So, @O_Rob1nson, @adkrobinson and I tried to find out more about the account that originally posted that video to TikTok.
Read 11 tweets
Nov 28, 2023
The meme shared by Elon Musk about the pizzagate conspiracy theory is itself based on the completely false claim that James Gordon Meek, a journalist who recently pleaded guilty to possessing child pornography, had debunked pizzagate. Meek never reported on pizzagate.
The completely false claim that James Gordon Meek had debunked pizzagate was spread back in the summer by QAnon followers, like this blue tick account.

The New York Post has never published such a story about Meek. It's a totally fake image and a made up headline. Image
Elon Musk has once again fallen for a completely false claim, this time based on a fabricated New York Post headline pushed months ago by conspiracy theorists on his own platform.

If he'd done a simple check before tweeting, he'd have found out the whole thing was false.
Image
https://www.reuters.com/article/factcheck-abc-pizzagate/fact-check-fabricated-new-york-post-headline-on-ex-abc-journalist-idUSL1N39W381/
Read 4 tweets

Did Thread Reader help you today?

Support us! We are indie developers!


This site is made by just two indie developers on a laptop doing marketing, support and development! Read more about the story.

Become a Premium Member ($3/month or $30/year) and get exclusive features!

Become Premium

Don't want to be a Premium member but still want to support us?

Make a small donation by buying us coffee ($5) or help with server cost ($10)

Donate via Paypal

Or Donate anonymously using crypto!

Ethereum

0xfe58350B80634f60Fa6Dc149a72b4DFbc17D341E copy

Bitcoin

3ATGMxNzCUFzxpMCHL5sWSt4DVtS8UqXpi copy

Thank you for your support!

Follow Us!

:(