Eric Lagadec✨🌍 Profile picture
Sep 10 23 tweets 8 min read Read on X
Bon allez, un petit instant "je raconte ma vie", avec l'histoire de la découverte d'un œuf au plat géant dans notre Galaxie... l'une des plus grosses étoiles connues! Thread👇 Image
Depuis longtemps, j'essaie de comprendre comment les étoiles comme le soleil en fin de vie forment de la poussière d'étoile, qui va ensuite servir à former de nouvelles étoiles et des planètes, j'ai d'ailleurs fait un thread sur le sujet:
Il y a quelques années, j'ai entrepris de cartographier toutes les étoiles "proches" visibles depuis le Chili, et qui commencent à éjecter leur enveloppes de poussières. Ces étoiles vont ensuite former de belles nébuleuses planétaires Image
C'est cette fameuse poussière d'étoiles dont nous sommes fait. Nous sommes là aujourd'hui car ces étoiles ont créé les atomes qui sont en nous! Image
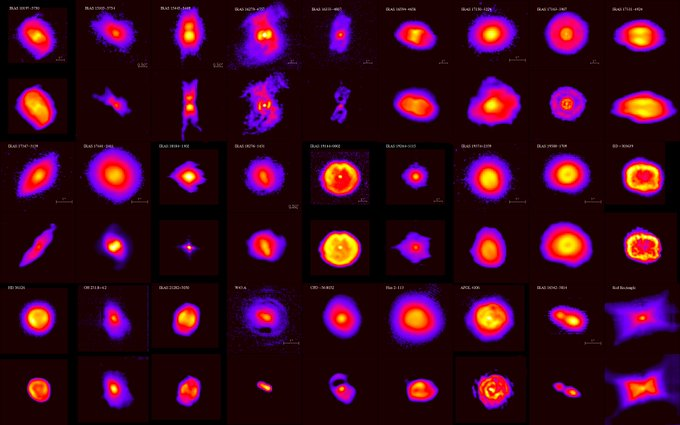
Pour imager cette poussière, j'utilise alors une caméra infrarouge (VISIR) sur l'un des plus grands télescopes du monde, le Very Large Telescope au Chili. On a sélectionné tous les objets considérés comme de futures nébuleuses planétaires, ça fait de belles images! Image
Les observations s’enchaînent, une étoile toutes les 5mn, 3 nuits d'observations, et d'un coup, l'opérateur chilien du télescope commence à exprimer sa stupéfaction avec des mots que je tairai ici! Une enveloppe de poussière semble géante!
Cette étoile, nommée IRAS 17163-3907 est l'une des plus brillante du ciel infrarouge mais n'a presque pas été étudiée avant... ces observations m'intriguent, je rentre chez moi à Manchester (où j'étais en postdoc), je vais travailler sur le sujet! Image
Cette étoile m'intrigue pendant des mois, des années, et un collègue hollandais m'appelle en me disant qu'il en a obtenu un spectre et qu'il a trouvé un moyen de déterminer sa distance...l'étoile est 4 fois plus loin que ce que l'on croyait! Et alors?? Image
Et alors, cela veut dire qu'elle est 4 fois plus grande que ce que l'on pensait... et 16 fois plus lumineuse! C'est un truc gigantesque!!!Et personne ne l'a étudiée avant. Elle ressemble à ça. Elle brille comme 500 000 Soleils!! Image
Avec mes collègues, on y voit un œuf au plat, alors je m'amuse un peu avec les couleurs, pour convaincre le public. Alors, convaincu(e)s? Image
En faisant des modèles avec des collègues polonais (la recherche est un travail international en équipe) on se rend compte que cette étoile est un monstre. En 500 ans, elle a éjecté 4 fois la masse du soleil, là où les étoiles mettent des centaines de milliers d'années à évoluer! Image
C'est sans aucun doute l'une des prochaines étoiles qui va exploser dans la Galaxie
Le diamètre de l'enveloppe de poussière correspond à 20000 fois la distance Terre-Soleil. Elle remplirait quasiment entièrement le système solaire! C'est une étoile d'une classe hyper rare, les hypergéantes jaunes: de futures supernovae. Image
Après des mois de travail, on soumet l'article, et j'ose mettre le nom "Fried Egg Nebula" dans le titre, et c'est là que tout devient fun! Vous êtes prêts? eso.org/public/archive…
L'Observatoire Européen Austral reprend l'article: "Délectez vous de la nébuleuse de l’œuf sur le plat". L'annonce sort à 14h, et pendant toute la journée je suis submergé d'appels, de mails. CNN titre "La nébuleuse de l’œuf au plat est servie" eso.org/public/france/…
Image
La BBC propose que si elle explose, elle s’appellera la nébuleuse des œufs brouillés!
Image
Image
Un journal de Sao Paulo rappelle qu'on ne fait pas une bonne supernova sans casser des œufs! Image
La semaine d'avant, l'ESO avait publié des images de la nébuleuse du poulet... et National Geographic nous fait remarquer que nous avons résolu un vieux problème: la poule est arrivée avant l’œuf (sur le plat) Image
J'aime bien ce dessin expliquant ma découverte! Image
Mais le meilleur est à venir. Quelques années plus tard, je découvre qu'un groupe de rock américain s'appelle "Fried Egg Nebula"... ils reprennent même mes images sur leurs albums! Le groupe s'est formé le jour de la sortie de mon article, ils sont fans d'astro et ont adoré! Image
Un jour, alors que je suis dans mon bureau à l'Université de Cornell aux USA (où je travaille à ce moment-là), on frappe à ma porte "Eric Lagadec? Je suis la femme du guitariste des Fried Egg Nebula, et j'ai une surprise pour vous"... un T-shirt pour les fans du groupe! Image
Ils me proposent même de jouer de la guitare avec eux en guest "star" un de ces 4... en tous cas, je ne sais pas si beaucoup de scientifiques ont des groupes de rock nommés en hommage d'une de leur découverte, mais c'est top! C'est pas hallucinant cette histoire?
Quand l'étoile explosera, dans quelques dizaines de milliers d'années ou moins, on pourra sans doute la voir à l’œil nu, en plein jour. En attendant on continue de l'observer, afin de mieux comprendre la mort des étoiles. Bonne fin de journée!

• • •

Missing some Tweet in this thread? You can try to force a refresh
 

Keep Current with Eric Lagadec✨🌍

Eric Lagadec✨🌍 Profile picture

Stay in touch and get notified when new unrolls are available from this author!

Read all threads

This Thread may be Removed Anytime!

PDF

Twitter may remove this content at anytime! Save it as PDF for later use!

Try unrolling a thread yourself!

how to unroll video
  1. Follow @ThreadReaderApp to mention us!

  2. From a Twitter thread mention us with a keyword "unroll"
@threadreaderapp unroll

Practice here first or read more on our help page!

More from @EricLagadec

Sep 6
Depuis près de 30 ans, nous vivons une révolution! Nous ne savions pas si des planètes existaient en dehors du système solaire, et nous considérons maintenant que presque toutes les étoiles sont entourées d'au moins une planète.
C'est quoi les exoplanètes?
Thread!👇
©R. Hurt Image
Une exoplanète, c'est une planète qui tourne autour d'une autre étoile que le soleil. La première a été découverte autour d'un pulsar en 1992 et la première autour d'une étoile semblable au soleil en 1995, à l'Observatoire de Haute Provence (par M. Mayor et D. Queloz)
On connaissait donc l'existence de galaxies, de l'immensité de l'Univers, bien avant de savoir que notre galaxie était remplie d'autres monde. Alors, comment on les cherche ces nouveaux mondes? Image
Read 25 tweets
Aug 29
On me pose souvent des questions sur l'avenir "astronomique" de la Terre, sachant que celle-ci tourne "tranquillement" autour du Soleil depuis ~4.5 milliards d'années. Ça vous dit de voir ce qui pourrait arriver à la belle bleue dans les années à venir?
Thread👇
©Fsgregs Image
La terre s'est formée dans un disque de gaz et de poussière autour du soleil qui se formait.. il y a plus de 4.5 milliards d'années. j'en parle ici si vous voulez mieux comprendre cette partie:
Alors, notre bonne vieille Terre a plus de 4.5 milliards d'années, ça commence à faire, mais que risque-t-elle dans les milliards d'années à venir? Une collision avec une galaxie, une étoile, un astéroïde, une comète? La mort du soleil? Image
Read 20 tweets
Aug 29
Cette image est sans doute l’une des plus extraordinaire jamais prise. Elle révèle l’étendue incroyable des anneaux qui s’étendent jusqu’à 240 000 kilomètre e la planète. Par endroits, ils ne sont épais que de quelques mètres. Mais c'est pas fini! On continue?
Thread👇 Image
Si on zoome, on voit un point là, sous les anneaux. Image
Zoomons encore! C'est la Terre et la Lune.. vues depuis Saturne, à 1,5 milliards de kilomètres! Mais c'est pas fini! Image
Read 12 tweets
Aug 27
Aujourd'hui, en allant dans l'espace, il est facile de voir que la Terre est sphérique. Certaines personnes en doutent, mais savez-vous comment l'humanité a su que la Terre était sphérique et pas plate?
Thread pour épater vos amis (platistes ou non) en soirée!👇
©NASA Image
C'est facile de se moquer des platistes, mais essayons d'avoir une démarche scientifique, je suis sur Terre, j'essaie de comprendre sa forme. Si j'ai un horizon dégagé, je ne peux pas voir à l'infini. Image
Un simple calcul montre que si je fais 1m80, je peux voir à 5km si l'horizon est bien dégagé. Si je monte au sommet de la Tour Eiffel, en théorie je peux voir à 60 km. A priori si je vois une pyramide elle n'est pas en Egypte! Pareil pour la statue de la Liberté (pas à NY)! Image
Read 17 tweets
Aug 27
Cette carte obtenue par la satellite Planck nous indique qu'il semblerait qu'on ne connaisse que 5% du contenu de l'Univers. L'Univers serait donc fait à 95 d'énergie noire et de matière noire... et on ne sait pas ce que c'est! Thread👇 Image
L'Univers est en expansion: en rembobinant le film, on arrive à une époque, il y a ~13.8 milliards d'années, où il était très chaud (des milliards de milliards de milliards de degrés), et très dense (tout l'Univers dans une espace presque infiniment petit). Image
Au bout de 379000 ans, l'expansion de l'Univers l'a refroidi. Il fait~3000 degrés, trop chaud pour que les électrons et les noyaux se combinent pour former des atomes. On a un nuage d'électrons: comme un nuage d'eau quand il y a du brouillard... la lumière ne peut s'échapper! Image
Read 16 tweets
Aug 26
"J'ai appris à l'école que Pluton était une planète, et ce n'est plus le cas aujourd'hui!". J'entends souvent ça, c'est donc une opportunité de parler un peu de l'histoire de la planète naine Pluton et des objets aux confins du système solaire en général.
Thread👇 Image
Cela fait plusieurs millénaires que les humains observent le ciel. A l'œil nu il est possible de voir 7 astres errants, qui bougent par rapport aux étoiles, fixes: la lune, Mars , Mercure, Jupiter, Vénus, Saturne et le Soleil! Image
Ces 7 astres errants ont donné les 7 jours de la semaine. Lundi la Lune, Mardi Mars, Mercredi Mercure, Jeudi Jupiter, Vendredi Vénus, Samedi Saturne et Dimanche le soleil (Sol en latin, puis le jour du seigneur). Planète veut d'ailleurs dire "astre errant" en grec! Image
Read 25 tweets

Did Thread Reader help you today?

Support us! We are indie developers!


This site is made by just two indie developers on a laptop doing marketing, support and development! Read more about the story.

Become a Premium Member ($3/month or $30/year) and get exclusive features!

Become Premium

Don't want to be a Premium member but still want to support us?

Make a small donation by buying us coffee ($5) or help with server cost ($10)

Donate via Paypal

Or Donate anonymously using crypto!

Ethereum

0xfe58350B80634f60Fa6Dc149a72b4DFbc17D341E copy

Bitcoin

3ATGMxNzCUFzxpMCHL5sWSt4DVtS8UqXpi copy

Thank you for your support!

Follow Us!

:(