Emmanuel Profile picture
Sep 29 18 tweets 4 min read Read on X
16 NEW and RECENT STUDIES SHARED TODAY,
all compiled into one comprehensive megathread🧵

The goal is to provide you with easy access to the studies that pique your interest, all of which have been summarized and illustrated for your convenience. Image
18) Thanks 🙏
FYI @DavidJoffe64 @jlerollblues @siamosolocani @michael_hoerger @1goodtern @SystemsVirology @Dave_it_up @xabitron1 @C_A_G0101 @Redkiraz @AnciraBecky @DrInfoSec @outbreakupdates @Antonio_Caramia @TactNowInfo @RWittenbrink @yfuruse @beansprouts_mom @MeetJess

• • •

Missing some Tweet in this thread? You can try to force a refresh
 

Keep Current with Emmanuel

Emmanuel Profile picture

Stay in touch and get notified when new unrolls are available from this author!

Read all threads

This Thread may be Removed Anytime!

PDF

Twitter may remove this content at anytime! Save it as PDF for later use!

Try unrolling a thread yourself!

how to unroll video
  1. Follow @ThreadReaderApp to mention us!

  2. From a Twitter thread mention us with a keyword "unroll"
@threadreaderapp unroll

Practice here first or read more on our help page!

More from @ejustin46

Oct 1
MILD LONG COVID: a toxic legacy handed down to younger generations ! 🤬

nature.com/articles/s4159…
Image
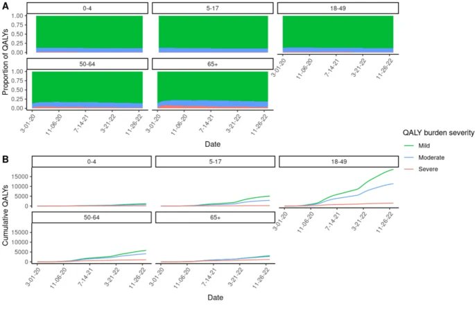
2) This study estimated the burden of long COVID in California using a mathematical model. It looked at the impact on quality of life, measured in quality-adjusted life years (QALYs) lost. Image
3) The model accounted for different levels of long COVID symptom severity (mild, moderate, severe) and age groups.

Key findings:
- Most QALYs lost were in adults 18-49, despite this group mostly having mild long COVID. Image
Read 5 tweets
Oct 1
How the GUT MICROBIOME is ALTERED in COVID PATIENTS ?

"Gut colonization of Enterococcus species is associated with COVID-19 disease ..." medrxiv.org/content/10.110…
Image
2) This study examined the gut microbiomes of COVID-19 patients and healthy individuals in Uganda.
It found that COVID-19 patients had less diverse gut bacteria compared to healthy people. COVID-19 patients also had overgrowths of certain bacteria like Enterococcus and ... Image
3) ...Eggerthella, which were rarely seen in healthy people. These changes in the gut microbiome may either be a result of COVID-19 infection or make people more susceptible to severe COVID-19 disease. Image
Read 5 tweets
Oct 1
The primary CONCERN for the FUTURE, is the CO-INFECTION involving SARS-CoV-2 and other PATHOGENS

"Developing a Coccidioides posadasii (Valley fever) and SARS-CoV-2 Co-infection Model ... "
nature.com/articles/s4385…
Image
2) This study examined how COVID-19 and Valley fever (a fungal infection) interact when they infect mice one after the other. The researchers found that mice infected with the COVID-19 virus first had worse outcomes - they were more likely to die ... Image
3) ... lost more weight, and had higher levels of both the virus and the fungus in their bodies. The immune responses also differed between the groups. Mice infected with the fungus first seemed to fare better. Image
Read 4 tweets
Oct 1
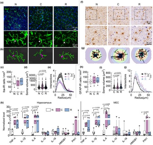
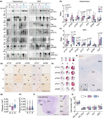
Emerging signs of ALZHEIMER'S-LIKE PATHOLOGY in the BRAIN of INDIVIDUALS who had RECOVERED from COVID-19, even though no direct SARS-CoV-2 invasion was detected

onlinelibrary.wiley.com/doi/10.1111/ac…
Image
2) This study found signs of Alzheimer's-like brain changes in people who had recovered from COVID-19, even though the virus was not directly detected in the brain regions examined. The researchers observed increased levels of a protein called tau that ... Image
3) ...becomes abnormally twisted in Alzheimer's disease. This suggests COVID-19 may raise the risk of developing Alzheimer's later on. The study also found prolonged inflammation and activation of certain brain cells in the post-COVID-19 period.
Read 5 tweets
Oct 1
IMMUNE RESPONSE and REINFECTION(S) :
What if the reality is more complex than what some individuals claim?

sciencedirect.com/science/articl…
Image
2) This study looked at the immune responses of healthcare workers (HCWs) with different COVID-19 infection histories - some had never been infected, some had asymptomatic infections, and some had frequent symptomatic infections despite being vaccinated. Image
3) The key finding was that HCWs with frequent infections had lower levels of two important immune cells, IFNγ and IL-2, when exposed to SARS-CoV-2 variants. This was different from the asymptomatic group, who had higher levels of these cells. Image
Read 12 tweets
Oct 1
How DAMAGE to the BLOOD VESSELS plays a CENTRAL ROLE in the DEVELOPMENT and ONGOING SYMPTOMS of Long COVID ?

A fantastic review with @ArneauxK @DavidJoffe64 @PutrinoLab @dbkell @DrGrahamLJ @doctorasadkhan @SalamonSMD and Jaco Laubscher Image
2) In the acute stage of COVID-19, there is widespread dysfunction and clotting within the blood vessels, especially in the lungs. This vascular damage persists in Long COVID, leading to continued symptoms and problems with various organs. Image
3) Key factors driving this include:
- Ongoing dysfunction of the endothelial cells that line the blood vessels
- The presence of abnormal blood clots
- Dysregulation of the body's normal clotting mechanisms. Image
Read 7 tweets

Did Thread Reader help you today?

Support us! We are indie developers!


This site is made by just two indie developers on a laptop doing marketing, support and development! Read more about the story.

Become a Premium Member ($3/month or $30/year) and get exclusive features!

Become Premium

Don't want to be a Premium member but still want to support us?

Make a small donation by buying us coffee ($5) or help with server cost ($10)

Donate via Paypal

Or Donate anonymously using crypto!

Ethereum

0xfe58350B80634f60Fa6Dc149a72b4DFbc17D341E copy

Bitcoin

3ATGMxNzCUFzxpMCHL5sWSt4DVtS8UqXpi copy

Thank you for your support!

Follow Us!

:(