Emmanuel Profile picture
Oct 16 8 tweets 2 min read Read on X
PRE-SYMPTOMATIC and ASYMPTOMATIC individuals can INFECT a MAXIMUM NUMBER of PEOPLE in JUST 1 to 2 DAYS!

Viral load rises rapidly 1-2 days before symptoms appear, allowing infected individuals to spread the virus UNKNOWINGLY, and contributing to superspreader events! Image
2) We will revisit this topic of "viral load" and its changes since the beginning of the pandemic, as well as the consequences of its intensity in terms of clinical manifestations across various threads and with other studies.

See you soon! 🙋‍♂️
8) Viral load dynamics
Thanks for reading this mega-thread 🙏

• • •

Missing some Tweet in this thread? You can try to force a refresh
 

Keep Current with Emmanuel

Emmanuel Profile picture

Stay in touch and get notified when new unrolls are available from this author!

Read all threads

This Thread may be Removed Anytime!

PDF

Twitter may remove this content at anytime! Save it as PDF for later use!

Try unrolling a thread yourself!

how to unroll video
  1. Follow @ThreadReaderApp to mention us!

  2. From a Twitter thread mention us with a keyword "unroll"
@threadreaderapp unroll

Practice here first or read more on our help page!

More from @ejustin46

Oct 18
DNA DAMAGE by SARS-COV-2 ! 🥵

mdpi.com/1422-0067/25/1…Image
2) This study found that COVID-19 patients had higher DNA damage compared to healthy people, with severe cases showing more damage than moderate cases. Male patients had more DNA damage than females, especially in the moderate group. Image
3) The researchers also found that DNA damage was linked to blood clotting problems and kidney issues in COVID-19 patients. By analyzing these factors, the study identified key markers that could predict how severe a person's COVID-19 illness might become. Image
Read 4 tweets
Oct 18
Why LONG-TERM IMMUNITY Can Be MORE EFFECTIVE Than SHORT-TERM IMMUNITY Against NEW VARIANTS ?

To explore this crucial question regarding the pandemic's progression, we can reference two recent studies. Image
Image
2) The first study from the Japanese team of our friends @SystemsVirology analyzed how various SARS-CoV-2 variants evade neutralization by antibodies in previously infected individuals.
biorxiv.org/content/10.110…Image
3) Researchers collected blood samples from three groups: those with breakthrough infections from the XBB.1.5, JN.1, and KP.3.3 variants, and tested their antibodies against KP.3, KP.3.1.1, and the new XEC variant.
Read 9 tweets
Oct 17
New study in Nature on AUTOANTIBODIES

ANTIBODIES are immune proteins that defend against infections, whereas
AUTOANTIBODIES attack the body's own cells, leading to autoimmune diseases where the immune system fails to differentiate
H/t @atranscendedman
nature.com/articles/s4146…Image
2) This study examined the new autoantibodies that develop in people with COVID-19. The results show that many new autoantibodies targeting diverse proteins appear after SARS-CoV-2 infection and last for over a year. Image
3) Patients with severe COVID-19 had higher levels of certain new autoantibodies, which were also linked to neurological and psychiatric symptoms after infection. Image
Read 7 tweets
Oct 17
INFECTED by SARS-COV-2 !
In this study : BISON, ELK, CHEETAH, GORILLA, LIONS, HIPPOPOTAMUS

When will we stop playing with fire by allowing the virus to infect so many animals?
mdpi.com/2076-2615/14/1…Image
2) This study investigated SARS-CoV-2 seroprevalence in bison, elk, and captive wildlife across the U.S. using ELISA and virus neutralization tests. Results showed 1-4% of samples had antibodies to SARS-CoV-2 proteins, with neutralizing antibodies detected in bison, elk, cheetahs Image
3) ..., gorillas, lions, and hippos. These findings demonstrate the susceptibility of these species to SARS-CoV-2 and highlight the need for ongoing surveillance to monitor virus transmission in non-human hosts.

Thanks 🙏
Read 8 tweets
Oct 17
WILL SARS-CoV-2 CONTRIBUTE to a DECREASE in the GLOBAL POPULATION on earth ?
(Opinion)

Numerous studies we've shared indicate that SARS-CoV-2 impacts sperm quality, leads to erectile dysfunction, and diminishes female fertility. Image
2) Just this week, three new studies have once again explored this subject.

"Development of a Risk Predictive Model for Erectile Dysfunction at 12 Months after COVID-19 Recovery: A Prospective Observational Study"
mdpi.com/2077-0383/13/1…Image
3) "COVID-19 and Female Fertility: An Observational Prospective Multicenter Cohort Study: Upholding Reproductive Rights in Emergency Circumstances"
mdpi.com/2075-4418/14/1…Image
Read 6 tweets
Oct 17
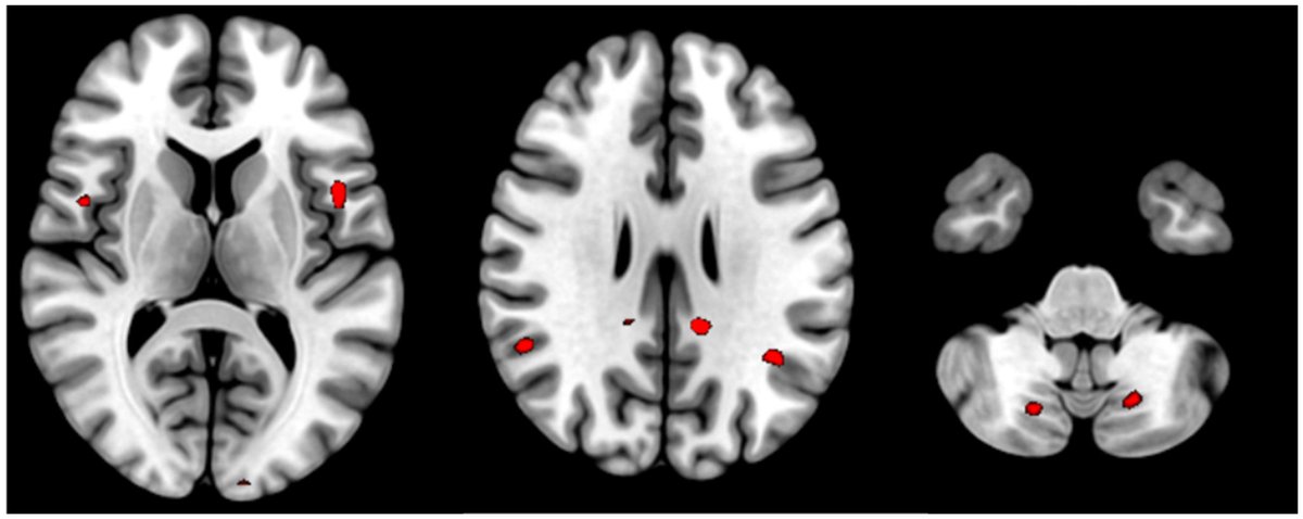
POST-COVID FATIGUE showed INCREASED ACTIVITY in BRAIN REGIONS involved in processing information, perceiving fatigue, and controlling movement

mdpi.com/2075-4418/14/1…Image
2) This study used a brain imaging technique called functional MRI to investigate the neurological basis of persistent fatigue and cognitive issues in people who have recovered from COVID-19. The researchers compared brain activity patterns in 30 patients ... Image
3) ...with post-COVID fatigue syndrome to 20 healthy individuals.

The key findings were that the COVID-19 patients showed significantly higher levels of brain activation in certain regions compared to the healthy controls. Image
Read 5 tweets

Did Thread Reader help you today?

Support us! We are indie developers!


This site is made by just two indie developers on a laptop doing marketing, support and development! Read more about the story.

Become a Premium Member ($3/month or $30/year) and get exclusive features!

Become Premium

Don't want to be a Premium member but still want to support us?

Make a small donation by buying us coffee ($5) or help with server cost ($10)

Donate via Paypal

Or Donate anonymously using crypto!

Ethereum

0xfe58350B80634f60Fa6Dc149a72b4DFbc17D341E copy

Bitcoin

3ATGMxNzCUFzxpMCHL5sWSt4DVtS8UqXpi copy

Thank you for your support!

Follow Us!

:(