Kashif Pirzada, MD Profile picture
Dec 10 2 tweets 6 min read Read on X
Could severe back pain drive someone to commit a terrible crime? Some thoughts from someone who sees chronic back pain patients regularly.

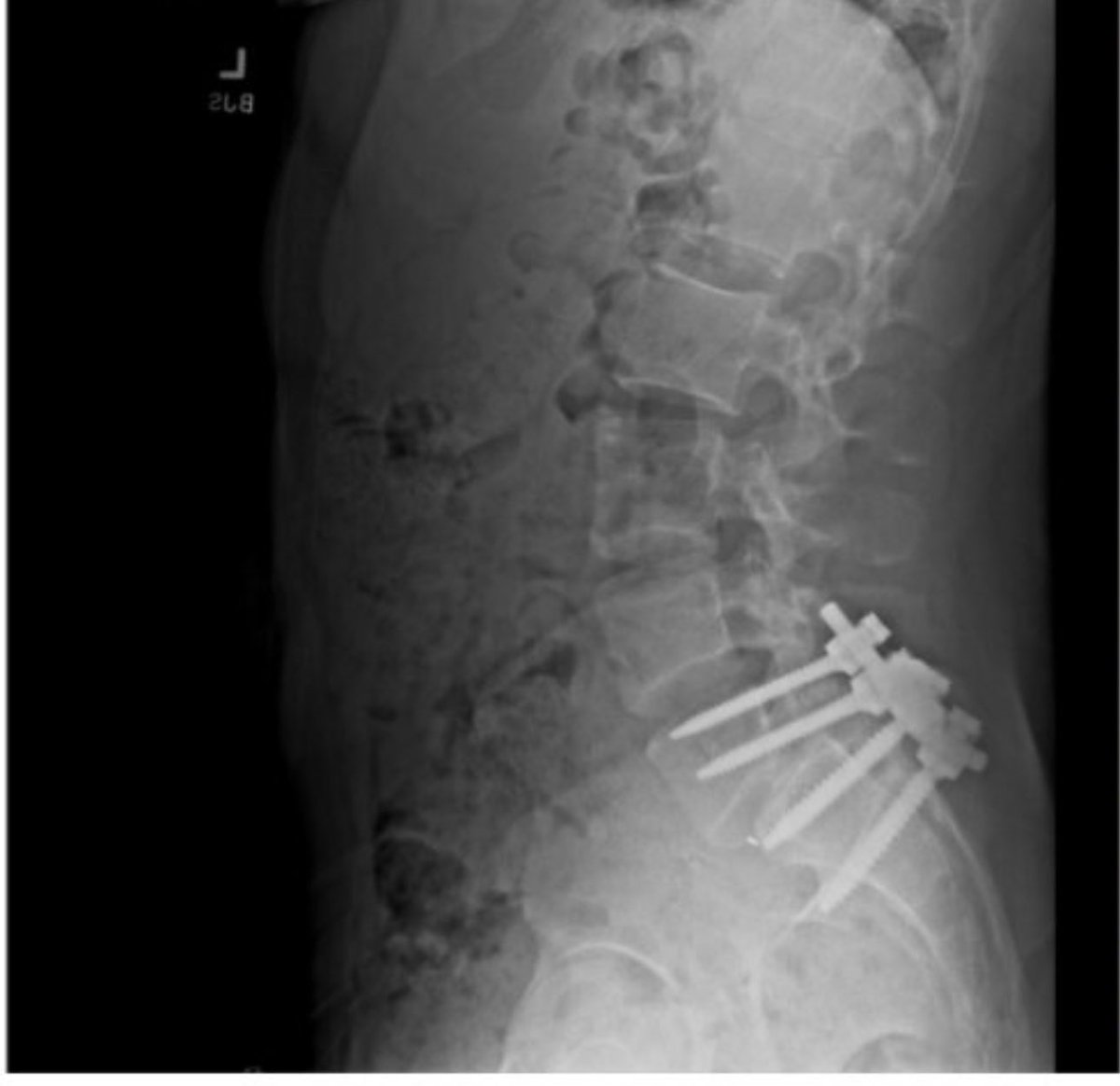
This is the lumbar spinal xray posted on Luigi Mangione's Twitter profile. It shows he had a spinal fusion surgery (the screws at the bottom), along with some degenerative changes that you'd normally see in a later middle-aged person, but could also be present in a younger person who's had a serious injury.

Along with my ER work, I also work part-time in a pain management clinic. I find it a good change-of-pace from the absolute chaos of the hospital. Chronic back pain is an extremely difficult condition to treat, and our tools are very crude and imperfect. Very often there are potent psychosocial issues that set people back as well, and we try to direct these patients to resources that would better suit them.

Most of our patients have suffered car accidents, sports accidents, work-related injuries, or are laborers and tradespeople nearing the end of their working career (40s to 50s) along with elderly with significant age-related degenerative changes.

Our treatment programs progress something like this:

1) Physio referral and a daily home-based core exercises regimen (based on fellow Canadian Stuart McGill's Big 3 exercises). I track reps and frequency and suggest modifications if they find these difficult. For elderly patients, we'll recommend something gentler like aquafit classes at the local pool, and the Otago balance exercises. The AAOS's Spine Conditioning Program (Google it) is also excellent.

2) Medications: Tricyclic antidepressents like Amitriptyline, old seizure medicines like Gabapentin and Pregabalin provide relief for some people, but I find they work on, at best, 20-30% of people. Low-dose Naltrexone (LDN) can help with people who suffer from Fibromyalgia (a condition that deserves its own thread!). Anti-depressents like Duloxetine can help, especially if there's a depressed mood component. Synthetic cannabis (in the form of Nabilone) is a good option for short-term pain relief. Last-resort are opioids, and in very limited amounts, rotated and discontinued quickly if there's any sign of tolerance developing. Ketamine-containing compounded topical creams are useful in postsurgical limb pain (very often from chronic regional pain syndromes). Oral Ketamine is useful as an absolute last resort, but has to be used extremely cautiously (it is extremely addictive and psychoactive) and only after you take a bunch of courses on how to safely prescribe it. There's rumours that Elon Musk uses it for neck pain...

3) Trigger point and nerve block injections: a unique practice that's evolved over the last few decades in Ontario and BC is GPs with extra training (like me) injecting lidocaine (local anesthetic) into trigger points and near cutaneous nerves and fascial planes, which often will provide days to 1-2 weeks of pain relief. It's a great bridge to allow patients the mobility to do the strengthening exercises in point (1) above. Your goal is to transition people off of these shots as they get stronger and recover.

4) Epidural steroids, Radiofrequency Ablation, Selective nerve root blocks. These I refer out to more advanced clinics that do these procedures under fluoroscopy. These can help some patients with their symptoms for a few months at a time.

5) Ketamine and Lidocaine infusions - like with everything here, great for some people (especially in people with overlapping depression), limited benefit for most.

6) Spinal stimulator - this is much harder to get (only two centres in Ontario do it), and often not covered by government health plans, but does work for some of the more intractable back pain. I've had a few patients do extremely well with these.

7) Surgical referral - this can be a bit of crapshoot. If you have 'red flag' symptoms such as limb weakness, paralysis, stool incontinence, etc then you don't have much to lose in getting surgery, you are going to be paralyzed if you don't do it. For less critical cases, very often surgery will offer only a temporary reprieve, if any at all. Scar tissue can ensnare more nerves, other spinal segments can start causing more issues, and very soon, you're stuck with needing more interventions.
Surgeons in Ontario are very conservative, and will usually redirect milder cases to physio or to our clinics to manage. They have long waiting lists and don't need to drum up the business like their more entrepreneurial colleagues elsewhere.

Obviously I don't know what happened with this young man, but I'm guessing a few things:

- He may have sustained an injury, possibly surfing (which some have reported here). I see many young men with back injuries from powerlifting and squats. Jump squat exercises should be banned as far as I'm concerned!
- He may have tried conservative measures like core exercises and medications, with poor results
- He may have had uneven results from other interventions, or these could have been inaccessible or denied by his insurer
- As I've seen with many high-agency type A people, he might have pushed for surgery, having a faith in a treatment (surgery as a cure-all) informed more from popular culture, and not fully knowing (or not wanting to know) the risks of a poor surgical outcome. Or he could have been oversold on a treatment by an aggressive surgeon.
- he could have dabbled in oral Ketamine, and progressed to mushrooms, and on to psychedelics, looking at his reading list on Goodreads. I've had patients travel to Mexico and elsewhere for courses of treatments costing thousands of dollars, with mixed results. Unfortunately, there are people out there who will sell you anything for a price.

Last year I suffered a back injury while moving boxes, and I was fairly disabled for about 6 weeks. I was only able to walk 10 feet before I had to rest, I had to sit frequently at work, and use a rolling computer cart almost as a walker to get by. Luckily I did not have radiating pain or other signs that I had slipped a disc, thank goodness. Gradually, after much core exercising and stretching, things got better, though it does flare-up from time to time. It gave me a good insight into the life of my patients, many who live this reality constantly. I would have given anything, paid anything to be better again, and often even that is just not possible.

I can imagine the thought process of someone who isn't getting better, who doesn't have a medical provider giving good advice, who mourns an active life that is now impossible, and who thinks he found a solution elsewhere. I guess we'll find out soon enough.

Overall my advice is to all young people is to really safeguard your back. Once your back is injured, it is never quite the same again. If I had my way, I would run a mandatory back safety course in high schools so those going into labour jobs don't end up in my clinic too prematurely. Same goes for anyone in high level sports as well.Image
Image
Image
This article from Vox is a great resource on the less savory parts of the back pain 'industry'
vox.com/science-and-he…

• • •

Missing some Tweet in this thread? You can try to force a refresh
 

Keep Current with Kashif Pirzada, MD

Kashif Pirzada, MD Profile picture

Stay in touch and get notified when new unrolls are available from this author!

Read all threads

This Thread may be Removed Anytime!

PDF

Twitter may remove this content at anytime! Save it as PDF for later use!

Try unrolling a thread yourself!

how to unroll video
  1. Follow @ThreadReaderApp to mention us!

  2. From a Twitter thread mention us with a keyword "unroll"
@threadreaderapp unroll

Practice here first or read more on our help page!

More from @KashPrime

Sep 17
Noticing a lot of your relatives are just not the same, health wise? Relatives dying after surgeries that were relatively low risk a few years ago? Today, this report from insurance giant @SwissRe puts numbers on the ongoing excess death toll attributable to Covid-19.

From the report:

"Fluctuations in excess mortality tend to be short-term, reflecting developments such as a large-scale medical breakthrough or the negative impact of a large epidemic. However, as society absorbs these events, excess mortality should revert to the baseline.

With COVID-19 this has not been the case and all-cause excess mortality is still above the pre-pandemic baseline. In 2021, excess mortality spiked to 23% above the 2019 baseline in the US, and 11% in the UK. As Swiss Re Institute's report estimates, in 2023, it remained significantly elevated in the range of 3–7% for the US, and 5–8% for the UK.

If the underlying drivers of current excess mortality continue, Swiss Re Institute's analysis estimates that excess mortality may remain as high as 3% for the US and 2.5% for the UK by 2033."

What does the percentage increase in deaths mean in real numbers? Roughly 3 million people die in the US every year of various causes (cancer, heart disease, accidents, etc). The 3-7% increase in 2023 represents a 3-7% increase in that 3m number, so roughly 90-210k more deaths. This places Covid-19 solidly among the top five killers in the US, with heart disease (700k), cancer (600k), accidents (200k) and strokes (150k), and it continues to stay there 3 years after mass vaccinations, and countless waves and variants since.

While not the killer of millions and the destroyer of health systems it was in 2020-2021, it is a leading cause of death that we must continue to respect, and take active measures to prevent in especially the elderly and vulnerable. It continues to be a leading cause of disability in the form of Long Covid.Image
Here is a link to the report from Swiss Re:
swissre.com/press-release/…
Exactly, they keep blaming the vaccines 3y ago, and not the infection by a rapidly mutating virus everyone gets 1-2x a year.
Read 4 tweets
Aug 10
Probably the most important article you'll read all year, by @omeraziz12 in the @globeandmail
Canada is in serious trouble, and Aziz hits the nail on the head on the causes:

- Deep incompetence by politicians, who resort to PR management over making decisions. Parliament is deeply dysfunctional, with Question Period a joke, and committee hearings a farce. Trudeau but also the provincial premiers have much to answer for. Many of our leaders come from legacy wealthy backgrounds and have absolutely no idea how difficult they've made life for Canadians.

"What I realized soon thereafter was that this country was witnessing a systemic political failure, a complete inability of politicians to get change done in ways that manifested at the dinner table. An extreme form of PR and image-management had begun to take over delivering on policy in concrete ways − and the entire country was noticing. Nor was this an accident, the unfortunate consequence of polarization or inequality, but the deliberate result of multiple policy failures − as well as failures of will."

"Normally, in a democracy, social ills can be addressed by public officials. But Canada’s own political institutions have been riven by corruption and personal ambition. And now also potentially by foreign influence. Each controversy and scandal leads people away from crucial time and policy attention that could have been spent on fixing the country’s major issues. At the parliamentary level, most members of Parliament are so frightened of speaking for themselves that they are rendered powerless. This defies the very essence of the British parliamentary system, upon which Canada’s system is based, which empowers MPs to speak on behalf of their constituents and represent their true voice in the people’s chamber."

- Inattention to rising crime, especially rampant car thefts, a revolving door criminal justice system, neglect of the opioid crisis. We have the laxest justice system in the Western world. Causing someone's death will get you a 6 month sentence in one prominent example. America had mass incarceration, we have mass leniency.

"At some point, one would think that the deaths of so many innocent and vulnerable people would elicit outrage − yet life goes on as normal. Each life is precious, and when violent criminals get off easy, or without punishment at all, they learn the terrible lesson that this country does not take its own laws seriously, so why should they? When the law loses its power to deter crime, either because of prosecutors not moving forward with cases, or because of a general laissez-faire attitude toward violent crime happening in other neighbourhoods, it is the marginalized who are harmed most."

- Rising housing costs that has made nearly everyone, including me, to paraphrase A Bittersweet Symphony, a slave to massive mortgages until they die, or they are perennial renters.

"For many Canadians, the cost of living has become unaffordable. The average price of a house in the GTA is $1.1-million, and Metro Vancouver is around the same. There are certainly cheaper places to live, but the average cost of a rental in Canada has reached record highs − more than $2,100 a month. According to one major study, Canada needs to build an additional 3.5 million homes by the end of the decade and is currently only building around 200,000 a year."

- Violation of the social contract on immigration.
"In Canada, the social contract for years allowed more immigration to grow the economy, but this came with stringent criteria for who should be admitted. Today, there are more than 900,000 international students in Canada, a 170-per-cent increase over the past decade. Some of these students have been scammed by for-profit colleges. Others have been affiliated with fake schools, using their student visas as loopholes in the immigration system. The social system was unprepared for such an influx, though certain institutions benefited: colleges and universities got more fees; politicians touted rising immigration numbers; the landlord class got an endless supply of perpetual renters. Without any housing available, this has left the country unprepared to deal with multiple, overlapping economic and social crises."

Aziz asks What is the Canadian dream?
"It was a promise − less individualistic and gun-friendly than the American version, but no less ambitious. To me, the dream promised that every person here could have a decent shot at life, one that was better than that of their parents. There was emphasis on community and a strong focus on order and good government. The compact included the payment of higher taxes, and in exchange, the existence of world-class social institutions delivering for ordinary people. The immigration system worked because the same contract existed with immigrants − that they would work hard, play by the rules, become part of Canadian society through legal means, and in return, would become citizens of a highly functioning democracy where a good life was, if not guaranteed, then within reach.

The dream was based on fairness, on merit, on policies that worked. It promised breathable air and the bountiful resources of the second-largest country on Earth. It promised the principle of equality of opportunity, promised safety and peace and responsibility. It promised leaders who put the national and long-term interests of the country above their own partisan needs. The dream now feels like it’s on life support."

AmenImage
Link to the article here:
theglobeandmail.com/opinion/articl…
Read 4 tweets
Mar 6
Wanted to share with you something near and dear to my heart.
Today my colleagues and I are proud to launch the Canadian Covid Society. @CanCovSoc

Covid-19 is thankfully not the threat it once was, but there are still significant issues with having a new disease roughly 4x as bad as Flu (and much more contagious) floating around, which also disables a lot of people as well.

In Canada it was the 3rd leading cause of death 2020, 2021 and 2022. We have the Canadian Cancer Society, and Heart and Stroke foundation for the 1st and 2nd causes, it's time we have one for the 3rd leading cause of death.

It is perfectly natural to not want to deal with this issue anymore. But that's part of the problem isn't it?
Many of us have a visceral aversion to discussing it, perhaps a natural reaction to memories of the most traumatizing days of the pandemic. But the fact remains that it's still out there, that it will continue to cause strain on our health systems, disable people, and shorten life for many of us.

We need a national body that will keep advocating for things like updated vaccines and therapies, as well as common-sense fixes that prevent the spread of disease, like cleaner indoor air (which could have been very useful stopping this nasty measles outbreak we're having).

We need a national strategy to support and improve access to care for Long Covid sufferers, many of whom are simply unable to access any care for a devastatingly disabling condition. 2 out of the 3 Long Covid advocates we approached for our launch event were not able to attend due to illness, which should tell you something! There's no way to predict who will get it, when they'll get it, and there is no cure, yet.

We are organizing a virtual press conference for 1pm (ET) today, Wednesday March 6, 2024. A video stream will begin on Youtube, and this url will forward you there: . Journalists who wish to ask questions please send me a DM and I will send you instructions to join.

Our website is up at

You'll hear more from us as we grow the range of activities offered by the Society. We would love to share resources and help like-minded groups start national societies in their own countries. Would love to see and collaborate with an American Covid Society, a British Covid Society etc.

It is time that we create a permanent effort to fight this disease, and not have these efforts subject to political whims or a societal wish to indulge in denial.covidsociety.com
covidsociety.caImage
Image
Image
As a national society, we will be bilingual and our launch event will be in both French and English
lapresse.ca/dialogue/opini…
Read 8 tweets
Nov 28, 2023
Life expectancy drops for a third year in a row

C19 is the third leading cause of death, behind heart disease and cancer, ahead of accidents/trauma.

Mortality overall is up 13% across all age groups compared to 2019, and increasing every year

This should be a huge scandal! Image
We are being robbed of precious life years, for no good reason except to maintain an unsustainable status quo. We are losing time with our loved ones, the economy is losing out on workers in their prime years, and there must be a better way.

Media article:
Statscan source:
and
Does this look like a trend that's slowing down?
Not to me Image
Read 6 tweets
Jun 13, 2023
So much truth in this one graphic.
True story, on a recent shift, I had to run and help a patient who had collapsed on our waiting room floor, short of breath. Hypoxemic. The family was diligent, and tested before coming, and lo-and-behold, they were positive. With some help, got… twitter.com/i/web/status/1… Image
I asked ChatGPT to summarize my feelings in verse, and it did an astonishing job:

In sorrow do I witness suffering's reign,
The public's decline, inflicted by this bane,
The young struck by blood clots, strokes untold,
Life's flame grows dimmer, as the years unfold.
Alas,… twitter.com/i/web/status/1…
Read 5 tweets
Jun 7, 2023
Today wore an N95 mask outside for the first time ever, and found it really helpful for throat irritation and that annoying choking feeling. Doesn't help for eye irritation though. Would highly recommend.
If you've upgraded your home, workplace or school with enhanced ventilation and filtration to fight airborne illnesses, you're in luck: staying indoors will protect you. If not, you can jerry-rig some filters using commonly available parts:
If you've spent time in any congested Asian or African city, the feeling is both routine and hard to forget. Even more reason to push hard the energy transition away from polluting and global-warming contributing fuels around the world.
Read 6 tweets

Did Thread Reader help you today?

Support us! We are indie developers!


This site is made by just two indie developers on a laptop doing marketing, support and development! Read more about the story.

Become a Premium Member ($3/month or $30/year) and get exclusive features!

Become Premium

Don't want to be a Premium member but still want to support us?

Make a small donation by buying us coffee ($5) or help with server cost ($10)

Donate via Paypal

Or Donate anonymously using crypto!

Ethereum

0xfe58350B80634f60Fa6Dc149a72b4DFbc17D341E copy

Bitcoin

3ATGMxNzCUFzxpMCHL5sWSt4DVtS8UqXpi copy

Thank you for your support!

Follow Us!

:(