Dr Graham Lloyd-Jones Profile picture
Apr 12, 2025 25 tweets 9 min read Read on X
If in Dec 2020 you had told me it would take until April 2021 to get my #COVID research published, I’d have been disappointed.

It has now been published (April 2025), 4 years later.


👇
Here's my epic COVID-19 failure story …

Long thread 1/25 bit.ly/4j6fIpxImage
Firstly, who am I?

I am an educator in medical imaging, best known for founding Radiology Masterclass, a leading online resource for radiology education.



2/25 radiologymasterclass.co.ukImage
In early 2020 I had an obvious job to do – teach doctors to make the diagnosis of COVID-19 on a chest X-ray or CT scan.

Making the diagnosis is easy because COVID-19 causes a lung disease which is totally unlike other ‘pneumonias’.



3/25 bit.ly/3XSvMmrImage
The early papers from China showed distinct patterns of lung damage on CT scans which helped to make the diagnosis, but this was not the main question I had.



4/25 bit.ly/43PTfZiImage
I wanted to know WHY #COVID-19 caused this weird ‘pneumonia’.

The areas of lung damage looked like what we see when someone has blood clots in the lungs.


5/25 bit.ly/4j6fIpxImage
Soon the autopsy papers showed that clotting in the lungs was occurring in the capillaries (the smallest blood vessels). This means that we would not be able to detect clotting in the lungs using standard imaging techniques.



6/25 bit.ly/3XSg8aMImage
In June 2020 I wrote to a UK radiology journal to raise the alert.

The title of my letter was – ‘Acute COVID-19 lung disease: A pulmonary vasculopathy not a pneumonia’

I was told it would be too ‘time-consuming’ to be put forward for publication.

7/25
So I published informally as a blog on the Radiology Masterclass website and shared my ideas widely.



8/25 bit.ly/3E6PX9DImage
In November 2020 I was invited to speak at the @BritSocHaem annual conference.

The talk highlights that #COVID-19 is NOT a pneumonia. It is a pulmonary vasculopathy (disease of the lung blood vessels).


9/25
This led to an invitation to join the REACT COVID-19 research group based in Southampton, UK.

People from across the world also sent me examples of COVID-19 cases. I looked at thousands of images.

The same pattern was repeated …

10/25
The airways of the lungs were NORMAL!

Unlike influenza, there was no inflammation in the lung airways in people with #COVID-19.

The blood vessels were damaged.

And yet the world of medicine carried on treating it as if it were flu.

11/25 Image
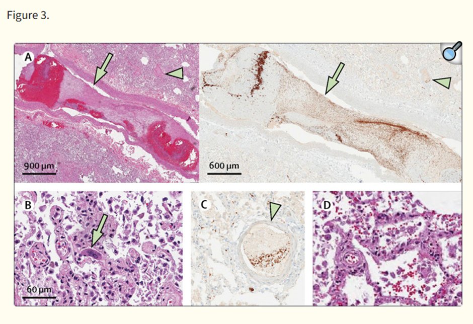
After many attempts to get published we were eventually accepted this month (April 2025!) in an institutional journal.

(Thanks to @UMJBelfast. And thanks especially to my colleague Alastair Watson for not giving up hope of publication.)


12/25 bit.ly/4j6fIpxImage
Here is our conclusion …

(Remember, this is 2020 data which could have been published in early 2021)

13/25 Image
I am posting this story now so that we (humans) can learn some lessons.

When we encounter a new disease, we should all stop and ask ....

What are we dealing with?

Not ...
How is this similar to other diseases we know about?

14/25
Not ...
What old language can we use to describe this disease?

But ...
What is different?

What is new?

What don't we understand?

And ...
How can we collaborate to build a multidisciplinary understanding of diseases processes?

15/25
At the outset of the pandemic, ‘experts’ were called on to advise on population level planning.
This is fine (if you like graphs), but we also need a multidisciplinary approach to attempt to understand the biological mechanisms of the disease we are dealing with.

16/25
You might think that medical organizations asked – what are we dealing with?

They didn’t!

They assumed it was just like influenza and kept calling the disease ‘pneumonia’.

This was a fatal error.
17/25 Image
The pattern of lung disease we saw on medical imaging in people with #COVID-19 tells us that the disease is NOT pneumonia, it is a vasculopathy (disease of blood vessels).

This raises another question …

How does this happen?
18/25 Image
This question led to hypothesizing that the virus is getting to the lungs from the upper respiratory tract (nose and mouth) via the bloodstream.

And this explains why gum disease is a major risk factor for death from COVID-19.



19/25 link.springer.com/article/10.100…Image
The concept of pathogens escaping the mouth and travelling to the rest of the body is now my major area of interest (writing a book).

20/25 Image
What have I learned from COVID-19? …

That our lack of understanding of the biology of the mouth and the importance of #OralHealth is the biggest missing link in the whole of medicine.


21/25
In summary, gum disease bacteria escape the mouth all the time and are directly implicated in biological mechanisms of numerous common diseases of the body including cardiovascular disease, diabetes,

22/25 Image
My frustration with the world of medicine (my world) is that we are pathologically unable/unwilling to shift ideas or to see the body holistically.

Our blinkered and siloed approach kills people!

Oral health is the most siloed of all areas of medicine.

23/25 Image
I'm now working with likeminded radiologists on an invited review of #COVID imaging for a major radiology journal.

We propose formation of a system by which all medical/scientific specialties collaborate to build understanding when we encounter a new disease ...

24/25
… to ensure correct language is used to describe a disease (not old and potentially misleading language)

And …

To facilitate challenges to incorrect concepts, to stop them propagating and becoming fixed dogma in the medical literature.

25/25 Image

• • •

Missing some Tweet in this thread? You can try to force a refresh
 

Keep Current with Dr Graham Lloyd-Jones

Dr Graham Lloyd-Jones Profile picture

Stay in touch and get notified when new unrolls are available from this author!

Read all threads

This Thread may be Removed Anytime!

PDF

Twitter may remove this content at anytime! Save it as PDF for later use!

Try unrolling a thread yourself!

how to unroll video
  1. Follow @ThreadReaderApp to mention us!

  2. From a Twitter thread mention us with a keyword "unroll"
@threadreaderapp unroll

Practice here first or read more on our help page!

More from @DrGrahamLJ

Apr 21
Finally!

After 2 yrs, our invited review on the imaging of #COVID-19 has been published.

It’s a message to the world of science and medicine.

(When I die I want the last line of the conclusion to be read out at my funeral)

A thread …

Link 👇👇👇
doi.org/10.1093/bjr/tq…Image
2/18

(Annoyingly the review is currently behind a paywall, but I can send a copy to anyone I know.)

In summary, the world of medicine and science massively failed from the outset of the pandemic to collaborate to understand #COVID-19 (the disease)

And because of this …
3/18

The world of medicine failed to intelligently build a model of the pathophysiology of #COVID-19 (the disease) leading to huge misunderstanding and failure to research/treat the disease intelligently.
Read 18 tweets
Nov 25, 2025
The 'H.pylori causes stomach cancer' story is starting to look a lot like old news.

Gum disease bacteria do it too!

A referenced thread (after which reading you might want to go brush your teeth🪥🦷)

Most papers referenced from this year (2025)
👇👇👇 Image
2/20
We will look at 3 species of bacteria ...

One is well known to 'cause' cancer ... H.pylori

The other two less so ...

F.nucleatum
and
P.gingivalis
3/20
F.nucleatum & P.gingivalis are two of the bacteria species which drive chronic inflammation in gum disease

We swallow billions of bacteria/day in saliva

These bacteria species are directly implicated in numerous diseases throughout the body, including multiple gut cancers
Read 20 tweets
Oct 5, 2025
Recently published large study of brain MRI in acute #COVID shows vascular phenomena are common.

Here are some highlights….

A thread.

Link to study
👇👇👇
bit.ly/4pX0Hu3Image
458 brains studied

First wave of pandemic (so not applicable to later/current variants)

Most common finding = ischaemic infarct (stroke)
See image B-F Image
Large vessel strokes more common than small vessel
The large white area is abnormal Image
Image
Read 11 tweets
Aug 7, 2025
Your mouth is killing you!

Some thoughts on gum disease, oral dysbiosis, specific gum disease bacteria, escape from the mouth, vascular translocation, infection of human organs, chronic inflammation, disease causation and death.

Let's start with #diabetes ...

Long thread 🧵
NHS Commissioning Standards for Dental Care in people with #diabetes state...

'people with periodontitis* are at greater risk of developing type 2 diabetes and experiencing diabetes complications'

*Periodontitis= severe gum disease (one of the most common human diseases)
1/19
2/19
The same NHS document states ...
'effective treatment of periodontitis in people with type 2 diabetes can improve glycaemic control to an extent that can reduce the need for an additional prescribed medication ...
Read 21 tweets
Jul 5, 2025
The mouth is an immune organ (not just a cakehole). If the physical and microbial barrier of the mouth fails, the immune function of the mouth fails. The mouth becomes an open wound - an open wound which persists for the days, weeks, months, years and decades of your whole life. Image
And from the open wound of your mouth, your gum disease bacteria (which created the dysbiotic wound in your gums by evading and subverting your immune response), then travel all over your body, via the gut, airways of the lungs, and directly into your bloodstream. Image
Translocated gum disease bacteria then lead to inflammatory processes throughout the body via biological mechanisms which are now described in detail.
Atherosclerosis
Insulin resistance
Autoimmunity
Neuroinflammation
Vascular inflammation
Gut/lung epithelial inflammation Image
Read 12 tweets
Jul 3, 2025
I’m just gonna say it…

These diseases are CAUSED by the same pathological processes as gum disease.

They are CAUSED by the same pathogens as gum disease which are not confined to the gums.

#CardiovascularDisease
#Alzheimers
#Diabetes
#RheumatoidArthritis
#Cancers
#PregnancyComplications
#InflammatoryBowelDisease

Gum bacteria also contribute to
#LungDiseases (#Asthma #Bronchitis/COPD #LungCancer)
#ChronicKidneyDisease
#Obesity
#MetabolicSyndrome
#FattyLiverDisease

And please don’t reply by saying correlation does not equal causation …
Because I am not talking about a graph. I am talking about biological mechanisms

The pathogens of gum disease are truly extraordinary survivors. They have evolved mechanisms to evade the human immune system and flip the switch on chronic inflammation in the mouth …
Read 9 tweets

Did Thread Reader help you today?

Support us! We are indie developers!


This site is made by just two indie developers on a laptop doing marketing, support and development! Read more about the story.

Become a Premium Member ($3/month or $30/year) and get exclusive features!

Become Premium

Don't want to be a Premium member but still want to support us?

Make a small donation by buying us coffee ($5) or help with server cost ($10)

Donate via Paypal

Or Donate anonymously using crypto!

Ethereum

0xfe58350B80634f60Fa6Dc149a72b4DFbc17D341E copy

Bitcoin

3ATGMxNzCUFzxpMCHL5sWSt4DVtS8UqXpi copy

Thank you for your support!

Follow Us!

:(