Aravind Palraj Profile picture
Jul 22 14 tweets 3 min read Read on X
🧵 Enthesial Organ & Enthesitis: The Overlooked Core of Spondyloarthritis 📌

Understanding the enthesis is key to decoding SpA, PsA, dactylitis, and axial pain. It’s more than a tendon-bone junction.
Let’s explore why.
#Rheumatology #SpA #PsoriaticArthritis #MedTwitter @IhabFathiSulima @Janetbirdope @RheumNow @DrAkhilX @nileshnolkhaImage
1️⃣ What is an Enthesis?
An enthesis is the site where tendons, ligaments, fascia, or joint capsules attach to bone.
🧩 Types:
• Fibrous enthesis – direct attachment
• Fibrocartilaginous enthesis – layered zones (e.g., Achilles, patellar tendon)
2️⃣ The Enthesial Organ: More Than a Point of Attachment
🧠 Concept by Benjamin & McGonagle
Includes:
• Enthesis
• Adjacent bone
• Bursa
• Fat pad
• Fibrocartilage
• Synovium
• Periosteum
These work together to distribute mechanical load.
3️⃣ Why is this Important?
🔍 Explains clinical & imaging findings:
• Bone marrow edema on MRI
• Synovitis near entheses
• Dactylitis as a result of pulley enthesitis
Enthesitis = inflammation of the whole enthesial unit, not just the tendon tip.
4️⃣ Pathogenesis: The Mechanoinflammatory Interface
⚠️ Repetitive microtrauma → immune activation in HLA-B27+ or PsA-prone patients
🧬 Cytokines involved:
• TNF-α
• IL-17A
• IL-23
Result = osteitis, bone proliferation, and ankylosis
5️⃣ Clinical Sites of Enthesitis
📍 Commonly affected:
• Achilles insertion
• Plantar fascia
• Patellar tendon (proximal/distal)
• Iliac crest, ischial tuberosity
• Costochondral junctions
• Epicondyles
Pain may mimic tendinopathy or overuse syndromes.
6️⃣ Clinical Clues to Enthesitis
✅ Localized tenderness over bony insertions
✅ Morning stiffness
✅ Pain on pressure, stress, or use
🧠 May occur with normal inflammatory markers
7️⃣ Imaging Clues
🟡 Ultrasound (First-line):
• Hypoechoic thickening
• Doppler activity = active enthesitis
• Calcification or erosions in chronic disease

🔵 MRI (Deeper insights):
• Bone marrow edema
• Enthesial + peri-entheseal inflammation
• Great for deep or pelvic entheses
8️⃣ Histology of Enthesitis
🧬 Early:
• Inflammatory infiltrates (T cells, macrophages)
• Neoangiogenesis
🧬 Late:
• Fibrosis
• Bone remodeling and new bone formation
9️⃣ Role in Disease Pathogenesis
🎯 Enthesitis is the primary lesion in:
• Ankylosing spondylitis
• Psoriatic arthritis
• Reactive arthritis
• Enteropathic arthritis
Also seen in:
• SAPHO syndrome
• Occasionally in SLE/RA (mechanical overuse)
🔟 Enthesitis = Driver of Dactylitis
“Sausage digit” =
• Flexor tenosynovitis
• Pulley enthesitis
• Edema of soft tissue
→ This supports the enthesitis-first hypothesis in PsA
1️⃣1️⃣ Enthesitis Indices
📊 Used in clinical trials and practice:
• LEI – Leeds Enthesitis Index (6 sites)
• MASES – Maastricht AS Enthesitis Score (13 sites)
• SPARCC – MRI-based scoring tool
1️⃣2️⃣ Management of Enthesitis
💊 Treatment approach:
• NSAIDs – Symptom relief
• Anti-TNF agents – First-line biologics
• IL-17 inhibitors – Great for axial + peripheral disease
• JAK inhibitors – Emerging evidence
⚠️ Local steroids: Useful, but avoid direct tendon injection
📌 Key Takeaway
The enthesis is not an isolated attachment.
It is a functional organ, central to the pathogenesis of SpA and PsA.
👉 Recognizing and treating enthesitis early prevents irreversible damage.

🔥 Save, share, and revisit this thread when managing spondyloarthritis.
Enthesitis may be subtle, but it’s not insignificant.

#RheumTwitter #Spondyloarthritis #Enthesitis #Ultrasound #RheumatologyEducation #MSK

• • •

Missing some Tweet in this thread? You can try to force a refresh
 

Keep Current with Aravind Palraj

Aravind Palraj Profile picture

Stay in touch and get notified when new unrolls are available from this author!

Read all threads

This Thread may be Removed Anytime!

PDF

Twitter may remove this content at anytime! Save it as PDF for later use!

Try unrolling a thread yourself!

how to unroll video
  1. Follow @ThreadReaderApp to mention us!

  2. From a Twitter thread mention us with a keyword "unroll"
@threadreaderapp unroll

Practice here first or read more on our help page!

More from @Rheumat_Aravind

Jul 22
🧵 10 Rheumatology Diagnoses You Can Make Without a Single Positive Lab

Yes — zero lab positivity.
Because in rheumatology, clinical pattern is king.

#RheumTwitter #MedTwitter #Autoimmune @IhabFathiSulima @Janetbirdope Image
1️⃣ Polymyalgia Rheumatica (PMR)
• Age >50
• Bilateral shoulder and hip stiffness
• Morning stiffness >45 minutes
• ESR/CRP may be elevated — but diagnosis is clinical
• Dramatic response to low-dose steroids
2️⃣ Adult-Onset Still’s Disease (AOSD)
• Daily spiking fevers
• Evanescent salmon-pink rash
• Sore throat, arthralgia, lymphadenopathy
• ANA and RF usually negative
• Ferritin may be high — but not diagnostic
Read 12 tweets
Jul 21
🧵 Skin Manifestations of Systemic Sclerosis (SSc)
The skin is often the first—and most revealing—organ affected. Here’s a layered look at what to watch for 👇
#Rheumatology #Scleroderma #MedTwitter @IhabFathiSulima @Janetbirdope @DrAkhilX @Drkhenaizan @MattersRheum Image
1️⃣ Puffy Fingers (Early Phase)
🫱 Edematous swelling, often mistaken for arthritis
📍 May precede overt skin tightening Image
2️⃣ Sclerodactyly
✋ Skin thickening and tightening over fingers
🛑 Leads to stiffness, clawing, tapering digits Image
Read 15 tweets
Jul 21
🧵 GI Endoscopy Findings in Rheumatology – A Visual Thread

Autoimmune diseases often leave visible footprints in the gut.
Here are 10 key endoscopic findings linked to systemic rheumatic diseases 👇

#RheumTwitter #GastroTwitter #Endoscopy #Autoimmune #MedTwitter @IhabFathiSulima @Gastronaut___ @drkeithsiau
1️⃣ Lymphocytic or Granular Duodenitis
📍 Seen in: Sjögren syndrome
🔎 Chronic diarrhea, malabsorption
🔬 Biopsy: intraepithelial lymphocytosis
❗️May mimic celiac but with negative TTG/EMA Image
2️⃣ Small Intestinal Ulcers
📍 Seen in: SLE or vasculitis (PAN, APLA)
🔎 Jejunal or ileal ulcers ± perforation
🔬 Ischemic or inflammatory on histology
📌 Consider CT angiogram + biopsy Image
Read 13 tweets
Jul 20
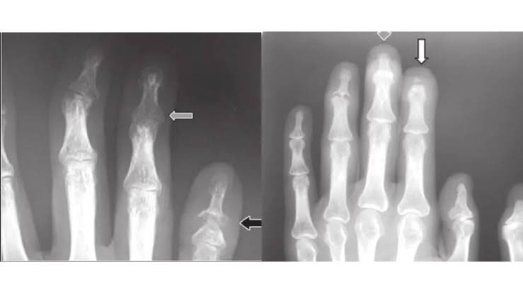
🧵 10 Radiological Signs Every Rheumatologist Must Know

Imaging doesn’t lie. Sometimes, it screams.
Here are 10 classic radiological signs in rheumatology you should never miss 👇

#RheumTwitter #Radiology #MedTwitter #MSKImaging #Autoimmune @DrAkhilX @IhabFathiSulima @Janetbirdope @lupuscyclopedia @Lupusreference @RheumNow @sumersethi @ABR_RadiologyImage
1️⃣ Pencil-in-Cup Deformity 🖊️🥤
🩻 Marginal erosion of proximal & distal phalanges → classic interlocking appearance
🟠 Seen in: Psoriatic arthritis
📌 Common in DIP joints, can progress to arthritis mutilans Image
2️⃣ Bamboo Spine 🎋
🩻 Syndesmophyte fusion of vertebrae → straight, rigid spine
🟠 Seen in: Ankylosing spondylitis
📌 Look for squaring of vertebral bodies, sacroiliitis Image
Read 12 tweets
Jul 20
🧵 Antiphospholipid Syndrome (APS) – Clinical Manifestations
APS is a systemic prothrombotic autoimmune disorder. It’s more than just clots—let’s break down its clinical spectrum 👇
#Rheumatology #MedTwitter #Thrombosis @IhabFathiSulima @nirmalregency Image
1️⃣ 🔹 Vascular Thrombosis – Core Feature
✅ Arterial – Stroke, MI, limb ischemia
✅ Venous – DVT, PE, Budd-Chiari
✅ Microvascular – Skin ulcers, digital gangrene, APS nephropathy

📌 Any vessel, any size, any organ
2️⃣ 🔹 Pregnancy Morbidity
⚠️ Hallmark obstetric clue
✅ ≥3 unexplained early miscarriages
✅ Unexplained fetal death >10 weeks
✅ Preterm birth due to eclampsia or placental insufficiency

🧠 Think APS in recurrent pregnancy loss!
Read 11 tweets
Jul 18
🧵 Nails in Rheumatology – Small Clues, Big Diagnoses

Think nails don’t matter? Think again.
Your patient’s fingertips may be screaming the diagnosis.

Let’s decode the key nail findings in rheumatology 🔍
#RheumTwitter #MedEd #DermTwitter @IhabFathiSulima @DrAkhilX @JanetbirdopeImage
1️⃣ Nail Pitting
🔸 Pinhead-sized depressions
🔹 Diseases:
• Psoriatic arthritis
• Alopecia areata
• Reactive arthritis (rare)

📌 Tip: >20 pits strongly suggests psoriatic arthritis. Image
2️⃣ Onycholysis
🔸 Nail plate separates from bed
🔹 Seen in:
• Psoriasis
• Reactive arthritis
📌 Look for oil-drop sign underneath Image
Read 13 tweets

Did Thread Reader help you today?

Support us! We are indie developers!


This site is made by just two indie developers on a laptop doing marketing, support and development! Read more about the story.

Become a Premium Member ($3/month or $30/year) and get exclusive features!

Become Premium

Don't want to be a Premium member but still want to support us?

Make a small donation by buying us coffee ($5) or help with server cost ($10)

Donate via Paypal

Or Donate anonymously using crypto!

Ethereum

0xfe58350B80634f60Fa6Dc149a72b4DFbc17D341E copy

Bitcoin

3ATGMxNzCUFzxpMCHL5sWSt4DVtS8UqXpi copy

Thank you for your support!

Follow Us!

:(