Aravind Palraj Profile picture
Senior Resident in Rheumatology | Madras Medical College, Chennai | 🛑 Tweets ≠ Medical Advice | https://t.co/jtJ1251so2
7 subscribers
Jan 8 12 tweets 5 min read
Tweet 1 🧵

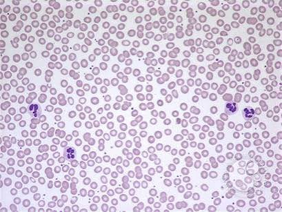
Thrombocytopenia is encountered daily in the ER, ICU, and wards - yet it often triggers panic, shotgun testing, or delayed diagnosis.

A simple, bedside framework can clarify most cases within minutes.

Here’s a practical approach to thrombocytopenia in Internal Medicine 🧵

#InternalMedicine #Hematology @DrAkhilX @IhabFathiSulima #MedTwitter #ClinicalReasoningImage Tweet 2 – First Rule

First rule:
Confirm it is real thrombocytopenia.

Always exclude:
• EDTA-related platelet clumping
• Pseudothrombocytopenia on analyzer

👉 Check the peripheral smear before anything else.

#Diagnostics #LabMedicine #PatientSafety Image
Dec 27, 2025 11 tweets 4 min read
🧵 Modern Gout Management - Evidence-Based Thread

Tweet 1

Gout is the most common inflammatory arthritis, yet nearly 80% of patients are suboptimally managed, leading to preventable flares, tophi, and joint damage.

Forget the old myths of “kings and diet.”

Here is the modern, evidence-based approach to gout management, aligned with ACR guidelines, for the busy clinician. 🧵

#MedEd #Gout #Rheumatology #InternalMedicine @DrAkhilX @IhabFathiSulimaImage Tweet 2 - The Diet Myth

MYTH: Gout is purely a “lifestyle disease” fixed by diet.

FACT: Diet typically alters serum urate by ~1 mg/dL at most.
Gout is primarily a genetically determined disorder of renal urate under-excretion.

You cannot “diet away” established gout. Medication is usually required.Image
Dec 26, 2025 12 tweets 5 min read
The Clinical Approach to a Positive Antinuclear Antibody (ANA):

A positive ANA is one of the most common consults in Internal Medicine, yet it is widely misunderstood.

Positive ANA ≠ Lupus.

It causes significant patient anxiety and unnecessary referrals.
Here is the evidence-based approach to interpreting a positive ANA for the busy clinician. 🧵
#MedEd #Rheumatology #MedTwitter @DrAkhilX @IhabFathiSulima #InternalMedicine #Lupus #MedicalEducationImage First, understand the pre-test probability.

ANA is not a screening test for fatigue or nonspecific pain.

Why? Up to 20–30% of the healthy population has a positive ANA at 1:40 titer. Even at 1:160, ~5% of healthy individuals are positive.

#Diagnostics #ClinicalPearls #PrimaryCareImage
Nov 17, 2025 11 tweets 3 min read
Ozempic vs Mounjaro — the REAL 2025 comparison.
🧵Thread🔥👇
Everyone is talking about weight-loss drugs. But the REAL showdown is Ozempic vs Mounjaro — and the winner is clear.
Ozempic and Mounjaro should be prescribed ONLY after medical assessment — never self-started.

@DrAkhilX @IhabFathiSulima #MedTwitter #ozempic #mounjaro #weightloss #diabetesImage 1️⃣ Mechanism
Ozempic = GLP-1 agonist only
Mounjaro = Dual GLP-1 + GIP agonist
Dual agonism → stronger metabolic effect. Image
Nov 6, 2025 8 tweets 2 min read
🧵 5 Lab Traps That Delay Lupus Diagnosis (with one example)

I’ve seen lupus hide behind “normal” labs more times than I can count.
Here are 5 lab traps that delay the diagnosis — with one real case that’ll stick with you. 🧵👇
@DrAkhilX @IhabFathiSulima @DrNikhilMD @Janetbirdope @DurgaPrasannaM1 #MedTwitter #RheumTwitter #AutoimmunityImage 1️⃣ “ANA is negative, so it’s not lupus.”
Wrong.
Early SLE can have low-titer or even transiently negative ANA.
🧠 If your gut says lupus, repeat it after a few weeks.
Oct 26, 2025 12 tweets 4 min read
🧵“100 Named Clinical Signs — Hutchison’s Clinical Methods (25th Edition)”

AI detects patterns.
Hutchison detected patients.

Here are 100 named clinical signs that still shape bedside diagnosis —
signs that live in the wards, not in the algorithms.

The lost language of observation begins below 👇
@DrAkhilX @IhabFathiSulima @drkeithsiau @ArunInamadar @nirmalregency #MedTwitterImage General and Systemic Signs

1️⃣ The body speaks before the lab does.

From Murphy’s to Nikolsky’s — every sign here was discovered by listening to the patient, not the monitor.

The skin, breath, and reflex still tell the truth first. Image
Oct 25, 2025 12 tweets 4 min read
🧵 “100 MSK Examination Gems — Hutchison’s Clinical Methods (25th Edition)”

AI can detect shadows on a scan.
But it can’t see how a patient moves, hesitates, or hides pain.

Before MRI. Before algorithms. There was Hutchison — and the art of touch.

Here are 100 timeless MSK pearls every real clinician should know 👇
@12VRavindran @Amansharmapgi @DurgaPrasannaM1 @IndianRheum @IJRheum @ACRheum @DrAkhilX @IhabFathiSulima @Janetbirdope @RheumNow #MedTwitter #RheumatXImage 💬 Tweet 1 – General Principles

1️⃣ The musculoskeletal exam begins before touch.

Watch how they move, sit, breathe, hesitate.

“Look, feel, move” — Hutchison’s eternal rhythm of bedside medicine.

Observation > Investigation. Image
Oct 23, 2025 12 tweets 4 min read
🧵The best clinicians diagnose before the investigations arrive.

Here are 100 timeless history-taking gems from Hutchison’s Clinical Methods (25th Edition) — distilled into pure bedside wisdom.

🩺 This thread reminds us why the story still matters more than the scan 👇

(Bookmark this — it’ll shape your next patient encounter.)
@DrAkhilX @IhabFathiSulima @drkeithsiau @RheumNow @Janetbirdope #MedTwitter #MedEd #FOAMed #Medicine #internalmedicineImage The Art of Beginning

1️⃣ The history starts before you speak.

Observe posture, mood, breathing, gait — the body always speaks first.

Then say softly:
“Tell me about your problem.”

Silence in the first 30 seconds is golden. Image
Oct 21, 2025 12 tweets 4 min read
🧵100 timeless bedside gems every doctor should know.
Straight from Hutchison’s Clinical Methods — distilled into 10 clean infographics.

If you love real clinical medicine, this thread will remind you why you chose it.

🩺 Let’s bring back the art of examination 👇

(Save this thread — it’ll outlive most AI tools.) #MedTwitter #MedEd #FOAMed @DrAkhilX @IhabFathiSulima @drkeithsiau @DurgaPrasannaM1 @JasmineNephroImage General Principles

1️⃣ The patient will tell you the diagnosis — if you learn to listen.

History first. Examination next. Investigations last.

🩺 The foundation Hutchison built 125 years ago still holds true. Image
Sep 28, 2025 10 tweets 3 min read
🧵 DADA2 & Vasculitis — The Hidden Culprit

1/
What if one mutation causes vasculitis, strokes, immune deficiency & cytopenias — all in one patient?
That’s DADA2 (Deficiency of Adenosine Deaminase 2).
@DrAkhilX @IhabFathiSulima #MedTwitter #RheumTwitter Image 2/
🔍 What is DADA2?
•Rare, autosomal recessive disease
•Mutations in ADA2 gene → enzyme deficiency
•Impacts vessels, immune system, bone marrow Image
Sep 24, 2025 12 tweets 3 min read
🧵 Management of Scleroderma (Systemic Sclerosis) – 2025 Update

1/
Scleroderma (Systemic Sclerosis, SSc) is a chronic autoimmune connective tissue disease with fibrosis, vasculopathy, and autoimmunity at its core.
Management is organ-specific and evolving with new evidence. Let’s break it down. 👇
@DrAkhilX @IhabFathiSulima #MedTwitterImage 2/
🔹 General Principles
•No single “cure” exists.
•Approach is multidisciplinary: rheumatology, pulmonology, cardiology, nephrology, dermatology.
•Early recognition of organ involvement = better outcomes. Image
Sep 24, 2025 7 tweets 3 min read
🧵: Proteinuria – When to Think Beyond the Kidneys

Tweet 1:
Proteinuria isn’t always just nephrology.
Sometimes, it’s the first clue to systemic disease.
Here’s how to approach proteinuria with an internal medicine + rheumatology lens 👇 @DrAkhilX @IhabFathiSulima #MedTwitter #RheumTwitter #NephroTwitterImage Tweet 2:
🔍 Step 1: Confirm proteinuria
•Dipstick vs. spot UPr/Cr ratio vs. 24h collection
•Rule out false positives (alkaline urine, hematuria, concentrated sample) Image
Sep 24, 2025 6 tweets 2 min read
🧵 : Shortness of Breath – When is it Rheumatology?

Tweet 1:
Shortness of breath (SOB) isn’t always cardiac or pulmonary.
Sometimes, the cause is hidden in the immune system.
Here’s how to separate Medicine vs Rheumatology causes 👇
@DrAkhilX @IhabFathiSulima @CelestinoGutirr #MedTwitter #RheumTwitter #PulmoTwitterImage Tweet 2:
📌 Internal Medicine causes (common):
•Heart failure
•COPD/asthma
•Pneumonia
•Pulmonary embolism
•Anemia

(Always rule these first.) Image
Sep 23, 2025 7 tweets 3 min read
🧵 Approach to Recurrent Fever – Don’t Miss These Clues

Tweet 1:
Recurrent fever is a diagnostic puzzle.
Is it infection, malignancy, or autoimmunity?
Here’s a structured approach every clinician should know 👇
@DrAkhilX @IhabFathiSulima #MedTwitter #RheumTwitter Image Tweet 2:
📌 Step 1: Define it
•Recurrent fever = fever episodes with return to baseline in between.
•Different from persistent FUO.
•History of pattern (daily, cyclical, periodic) is vital. Image
Sep 21, 2025 7 tweets 3 min read
🧵 Rheumatology hides its best lessons in the wards, not the pages.
These are 5 clinical pearls that every resident must know 👇
@IhabFathiSulima @DrAkhilX #MedTwitterImage Tweet 2 (Pearl 1 – MAS in sJIA):
💡 MAS in systemic JIA doesn’t always shout at you.
•Ferritin >5000 ng/mL is a warning bell
•Don’t wait for pancytopenia or multi-organ failure
•Early recognition + immunosuppression = life-saving Image
Sep 20, 2025 13 tweets 4 min read
🧵 Pancytopenia – A Clinical Approach

You see a patient’s CBC, and all 3 cell lines are down.
Hemoglobin ↓, WBC ↓, Platelets ↓.
That’s pancytopenia — and it always demands respect.

Here’s how to approach it 👇
@IhabFathiSulima @DrAkhilX @CelestinoGutirr #MedTwitter #Rheumatology #HematologyImage 1. Definition 📌
Pancytopenia = reduction in all 3 lineages:
•Hb < 10 g/dL
•TLC < 4,000 /mm³
•Platelets < 100,000 /mm³

Not just a lab number — it reflects a systemic problem. Image
Sep 19, 2025 12 tweets 4 min read
🧵 Fever of Unknown Origin (FUO) – A Clinical Approach

Every doctor faces this: a patient with fever that just won’t go away.
Here’s how to tackle FUO in a systematic, bedside-friendly way 👇

1. Definition 🔑
FUO = Fever >38.3°C (101°F) on multiple occasions, lasting >3 weeks, with no diagnosis despite 1 week of inpatient evaluation.

👉 Not just “fever for long time” — it’s a diagnosis of exclusion.
@IhabFathiSulima @DrAkhilX #MedTwitter #RheumTwitterImage 2. Categories of FUO 📂
Classically 4 buckets:
•Infectious
•Malignancy
•Autoimmune / Rheumatologic
•Miscellaneous / Undiagnosed Image
Sep 15, 2025 10 tweets 4 min read
🧵 Thread: Approach to Low Back Ache:
1/
Low back ache (LBA) is one of the most common reasons patients visit a doctor.
But not every back pain is the same.
A structured approach helps us identify who needs urgent care, who needs simple reassurance, and who needs long-term management.
@IhabFathiSulima @DrAkhilX #MedTwitter #RheumaTwitterImage 2/
🔑 First step: Duration
•Acute: <6 weeks
•Subacute: 6–12 weeks
•Chronic: >12 weeks
This simple classification guides the urgency and depth of evaluation. Image
Sep 14, 2025 13 tweets 4 min read
🧵 Red Cell Morphology in Clinical Medicine:

Looking at a peripheral smear is like reading the story of a patient’s blood.
Here’s how to approach it 👇
@IhabFathiSulima @DrAkhilX #MedTwitter #HematologyImage 1. Normal Smear
•Central pallor ~1/3 of RBC diameter
•Round, biconcave cells
👉 Baseline before spotting abnormalities Image
Sep 14, 2025 10 tweets 4 min read
🧵 Key Terms in Rheumatology — Simplified & Explained ⬇️

Rheumatology is full of terms like synovitis, enthesitis, tenosynovitis, dactylitis.
Let’s break them down in a clear way

1️⃣ Synovitis
= Inflammation of the synovial lining of a joint.
Signs: swelling, warmth, tenderness, ↓ ROM.
Seen in: RA, lupus arthritis, JIA.
Think: “the joint lining is angry.”
@DrAkhilX @IhabFathiSulima #MedTwitter #RheumatTwitterImage 2️⃣ Enthesitis
= Inflammation at the enthesis (where tendons/ligaments insert into bone).
Common in: Spondyloarthritis (PsA, AS, IBD-arthritis).
Typical sites: Achilles tendon, plantar fascia, costochondral junctions.
Pain is deep, localized, worse with stress.Image
Sep 14, 2025 10 tweets 4 min read
🧵 Urinalysis in Clinical Medicine:

1️⃣ Why it matters
Urinalysis = bedside, cheap, high-yield test.
Helps in:
•AKI & CKD workup
•Nephritis & nephrotic syndrome
•Infections & metabolic disorders
•Drug monitoring in rheumatology (cyclophosphamide, NSAIDs)
@IhabFathiSulima @DrAkhilX @CelestinoGutirr #MedTwitter #nephrology #rheumatologyImage 2️⃣ Components of urinalysis
1.Physical exam – color, clarity, odor, volume
2.Chemical (dipstick) – protein, blood, glucose, ketones, pH, nitrite, leukocyte esterase, SG
3.Microscopy – cells, casts, crystals, organisms Image