ChrisO_wiki Profile picture
Aug 20 19 tweets 5 min read Read on X
1/ Russian warblogger Dmitriy Steshin says he nearly lost his sight in both eyes due to an amoebic infection acquired from showering in Donetsk's filthy water. It highlights the health risks of the current water crisis in Russian-occupied Ukraine. ⬇️
2/ The destruction of the Soviet-built Donets-Donbas canal during the current war has cut off the Russian-occupied parts of the Donetsk and Luhansk regions from their principal source of water. Both regions are otherwise naturally arid.
3/ As a result, the entire region has been undergoing what locals are calling a "water genocide", causing a critical shortage of water. What little water remains is badly contaminated by broken infrastructure and leaks from abandoned mines.
4/ Tap water is often filthy, undrinkable, and only available for a few hours every few days. People are now having to rely on purchased or donated bottled water, if they can obtain it, scavenge water from leaking pipes, or filter the tap water and hope for the best.
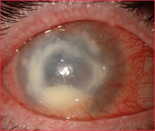
5/ Dmitry Steshin, a prominent Russian warblogger, presumably thought it was safe to use as a shower water, but ended up with an infection of acanthamoeba keratitis in both eyes after doing so. He writes: Image
6/ "This is the first morning that I can see normally and am writing these lines with quiet joy. For three weeks, my vision was unfocused, like that of a frozen perch.
7/ "I reacted to moderate light like a Ukrainian politician at a meeting in Anchorage — I immediately started crying. In bright sunlight, I behaved like a vampire — I closed my eyes and hid.
8/ "This was especially convenient while driving at 110 km/h — the sun came out from behind the clouds and started to blind me — I looked at the road with one eye and tried to close the other. Not for long, you tell yourself — just for a second!
9/ "The car swerves, other drivers give way to the madman. Convenient. When I was driving to a meeting with the Minister of Defence, I thought — I won't make it, I'll have to call an ambulance helicopter... But there was no time for that, I got there on sheer willpower.
10/ "No one at home knew what was happening to me. They dripped Albucid and applied tea bags to amuse the ophthalmologists later. By the way, the tea bags made it easier, so I still recommend them.
11/ "Don't take Azerchay, only our Orthodox ‘Greenfield’ in Armenian packaging from the Moscow region.
12/ Doc Jasser diagnosed me in the clinic elevator, although it's quite an exotic diagnosis - ‘acanthamoeba keratitis’. You have amoebas under your eyelids, and they are literally eating your cornea, piece by piece, munching away... Image
13/ "‘A rare disease in which Acanthamoeba amoebas penetrate the cornea of the eye. This can lead to irreversible vision impairment or blindness.’ I was only able to have my eyes examined after receiving painkillers.
14/ "While waiting for the anaesthetic to take effect, I tried to remember:

Where did I catch it?

And then I remembered.
15/ "I got the amoebas in Donetsk, with the help of a life hack called ‘breaking the system.’ When I left in the morning on military affairs, I put a black ‘construction’ bucket of water outside. When I came back, it was hot! Success! Long live fluffy soap and fragrant towels!
16/ "As they noticed at the clinic, I had created a 15-litre ‘Petri dish’ for myself, for cultivating all kinds of infections on an industrial scale. I can't even imagine what's going on in the cubic tanks or blue 200-400 litre containers in Donetsk apartments. Image
17/ "What is being infused there and what forms of life are emerging? In the last month, water for Donetsk has been scraped together from various sources, so it's not certain that the life hack is to blame. It's just not meant for washing or drinking. And there's no other water.
18/ "And how long it stood in fifty five-litre containers in the kitchen and bathroom is unknown."

Steshin blames Ukraine for "the suffering of the martyred city of Donetsk", accusing it of having destroyed the canal.
19/ It's clear, though, that the canal was destroyed by both sides in the course of the fighting, as it has defined the front line for long distances. /end

Source:
t.me/DmitriySteshin…

• • •

Missing some Tweet in this thread? You can try to force a refresh
 

Keep Current with ChrisO_wiki

ChrisO_wiki Profile picture

Stay in touch and get notified when new unrolls are available from this author!

Read all threads

This Thread may be Removed Anytime!

PDF

Twitter may remove this content at anytime! Save it as PDF for later use!

Try unrolling a thread yourself!

how to unroll video
  1. Follow @ThreadReaderApp to mention us!

  2. From a Twitter thread mention us with a keyword "unroll"
@threadreaderapp unroll

Practice here first or read more on our help page!

More from @ChrisO_wiki

Aug 21
1/ Russia's privacy-violating Max app reportedly automatically installs itself on Samsung phones, Russian users are being offered money to give it five-star reviews on app stores, and the Russian government has ordered its installation on all new phones from 1 September 2025. ⬇️ Image
2/ The Russian government is positioning Max as an authorised replacement for WhatsApp and Telegram, but investigators have found that the app systematically violates its users' privacy (see thread below).
3/ Max is currently relatively highly rated in official app stores (4.4 on Google Play Store, 4.5 on the Apple App Store). However this is being inflated by a bounty scheme on the QComment site paying up to 15.7 rubles ($0.19) per five-star rating. Image
Image
Read 8 tweets
Aug 20
1/ Parts of Russia and occupied Crimea are experiencing huge disruptions in fuel supplies due to an ongoing Ukrainian drone campaign against Russian energy facilities. This thread highlights key attacks this month and their effects.
2/🔺 3 August: drones attacked the Rosneft-Kubannefteprodukt oil depot in Adler in the Krasnodar Territory, setting alight a 2,000 cubic metre tank.
3/ The depot belongs to the Rosneft oil and gas company and engages in the storage and transshipment of petroleum products. It has 41 tanks with a volume of 31,200 cubic metres.
Read 16 tweets
Aug 20
1/ Tens of thousands of Russian soldiers have been forced to sign military service contracts against their will, or are being kept in the army indefinitely even after their contracts have expired. A Russian warblogger warns this will result in a mass exodus when the war ends. ⬇️ Image
2/ 'EVIL SAILOR' writes:

"Decree of the President of the Russian Federation of September 21, 2022 N 647 "On the announcement of partial mobilization in the Russian Federation" is a dividing line between contract servicemen."
3/ "Specifically, between those who signed a contract before this Decree came into force and after.

The former's contracts have already expired, but they continue to serve. In fact, they are being held illegally.
Read 10 tweets
Aug 19
1/ A baby orca named Frodo is trapped in a plastic ring off Russia's Kamchatka peninsula. Scientists fear that it will die unless it's rescued soon. The case highlights the need for a treaty on plastic pollution, which US opposition has blocked this week. ⬇️ Image
2/ The Baza Telegram channel reports:

"For a month and a half, scientists have been trying to save Frodo, a baby killer whale stuck in a plastic ring, in Kamchatka."
3/ "Frodo was spotted in early July: the baby was swimming next to his mother Willie, his body wrapped in a white plastic ring.

At first, they couldn’t get close to the family, then, in the area of Cape Kekurny, scientists were able to get closer, but the ring wouldn’t budge.
Image
Read 9 tweets
Aug 19
1/ Russia's new 'Max' messenger app, which the government is trying to force people to use instead of Telegram and WhatsApp, reportedly systematically spies on its users. It accesses and records all processes on the phone, checks what apps are installed, and leaks unsent text. ⬇️ Image
2/ The Russian government's recent decision to block Telegram and WhatsApp audio and video calls, as an apparent prelude to formally banning both apps, has caused chaos in Russia as virtually the entire population uses the two apps.
3/ In place of WhatsApp and Telegram, it is attempting to push people to a new app called Max, developed by Russian social media company VK. It is intended to become a national messenger app similar to WeChat in China, where Telegram and Whatsapp are already banned.
Read 13 tweets
Aug 19
1/ Life on the front line in Ukraine, as seen through the eyes of a Russian soldier leading a stormtrooper unit: dragging out bodies, keeping his men away from alcohol and prostitutes, dealing with unsympathetic superiors, and regularly being "ripped a new asshole" by them. ⬇️ Image
2/ One of the administrators of the 'Management Speaks' Telegram channel writes of how he has been spending the last few days:
3/ "These days were amazing for me, I took out all the bodies of the dead to the last one, a fighter found someone's Mavic [drone] in the field, it has already been repaired and now I have two of them,…
Read 23 tweets

Did Thread Reader help you today?

Support us! We are indie developers!


This site is made by just two indie developers on a laptop doing marketing, support and development! Read more about the story.

Become a Premium Member ($3/month or $30/year) and get exclusive features!

Become Premium

Don't want to be a Premium member but still want to support us?

Make a small donation by buying us coffee ($5) or help with server cost ($10)

Donate via Paypal

Or Donate anonymously using crypto!

Ethereum

0xfe58350B80634f60Fa6Dc149a72b4DFbc17D341E copy

Bitcoin

3ATGMxNzCUFzxpMCHL5sWSt4DVtS8UqXpi copy

Thank you for your support!

Follow Us!

:(