Analyze & Optimize Profile picture
Aug 29 β€’ 10 tweets β€’ 5 min read β€’ Read on X
Cortisol can be completely stopped with a simple & cheap supplement, according to a fascinating study.

(🧡1/7)Image
Image
This study was published in 2016, evaluating the anti-stress properties of L-THEANINE.

This is an amino acid found naturally in green tea.

People were given either a mix of:

➠ L-theanine (200 mg)
➠ L-alpha glycerylphosphorylcholine (alpha GPC; 25 mg),
➠ Phosphatidylserine (1 mg)
➠ Micronized chamomile (10 mg)

Or placebo, alongside a cognitive assessment.

While the drink did have these other ingredients, they are far below (<1-10%) their typical dosing - so their impacts were likely small or negligible.

(2/7)Image
People consuming the L-Theanine drink reported markedly lower stress within the first hour.

They actually felt less stressed with the L-theanine, than they did prior, even though they were taking this assessment.

(3/7) Image
L-Theanine also completely prevented the rise in cortisol from the assessment.

While those without the L-theanine showed higher cortisol 3 hours after the test,

those with the L-theanine had LOWER cortisol.

(4/7) Image
Those on L-Theanine also had improved cognitive function.

While not statistically significant, there was a clear trend for improvements on the MTF - an assessment of:

β—‡ Working memory
β—‡ Attention
β—‡ Processing speed
β—‡ Numerical reasoning
β—‡ Executive function

(5/7) Image
L-Theanine also induced greater alpha waves in the brain.

This type of brain wave is associated with more controlled activity, and less stress / scatterbrained thoughts.

It is a signal of a relaxed alertness.

This was especially apparent in people with anxiety.

(6/7) Image
Image
Why is L-Theanine so good for stress / cognitive function?

Theanine is structurally similar to the amino acid glutamate, which is a prominent neurotransmitter in the brain.

Glutamate is the primary "excitatory" neurotransmitter, and thus in excess can contribute to stress, OCD, ADHD, anxiety, even depression and other conditions.

Excess glutamate will make you feel wired and scatterbrained.

We do need some glutamate, though. It helps the growth / proliferation of brain cells, it can stimulate dopamine production, and is necessary for clarity / alertness.

Theanine acts primarily by inhibiting the release of glutamate from neurons, thus having a calming effect.

It can actually stimulate the some of the glutamate receptors, though, reaping the dopamine + neurogenesis benefits while keeping us calm.

Additionally, theanine boosts the amounts of GABA - our primary inhibitory neurotransmitter.

GABA is the opposite of glutamate, it'll chill you out, result in deep sleep, and crush anxiety.

Theanine also can raise the levels of glycine in the brain, another neurotransmitter involved in both inhibition and relaxation, as well as the glutamate-mediated formation of new brain cells.

Theanine ALSO has antioxidant and anti-inflammatory effects.

It makes sense why theanine is so effective and safe for so many different things - it really can help to balance things out in the brain, without acting non-discriminately like a drug.

(7/7)Image
This is the L-Theanine product we use personally + with clients
collabs.shop/8besln
While theanine is great for lowering stress and improving cognitive function, it's best as a part of a more comprehensive plan tailored to your health goals.

Book a free call with us here and we can help you get there:
go.prism.miami/consultation
If you’re interested in getting lab testing, we offer a ton of different tests you can get without even needing to go to a doctor below. 10% off using code β€œANALYZE” at checkout. revelationdiagnostics.com

β€’ β€’ β€’

Missing some Tweet in this thread? You can try to force a refresh
γ€€

Keep Current with Analyze & Optimize

Analyze & Optimize Profile picture

Stay in touch and get notified when new unrolls are available from this author!

Read all threads

This Thread may be Removed Anytime!

PDF

Twitter may remove this content at anytime! Save it as PDF for later use!

Try unrolling a thread yourself!

how to unroll video
  1. Follow @ThreadReaderApp to mention us!

  2. From a Twitter thread mention us with a keyword "unroll"
@threadreaderapp unroll

Practice here first or read more on our help page!

More from @Outdoctrination

Aug 30
Bone broth can drastically lower inflammation in the gut, as shown by a recent study.

(🧡1/7)Image
The broth in this study was prepared by:

✧ Bone source & prep β†’ Bovine femur bones (100–130 g), cut crosswise, commercially obtained
✧ Cleaning β†’ Washed 3Γ— in distilled water at 50 Β°C for 15 min to remove meat/fat/blood
✧ Cooking setup β†’ Slow cooker, bone-to-water ratio 1:4
✧ Acidified water β†’ 20 mL white vinegar per 1 L distilled water, boiled before adding bones
✧ Cooking process β†’ Simmered 8 h at 100Β°C, volume maintained with acidified water
✧ Post-cooking β†’ Cooled 3 h at room temp, refrigerated 6 h at 4 Β°C
✧ Filtering β†’ Bones and fat removed via funnel with cotton gauze

(2/7)Image
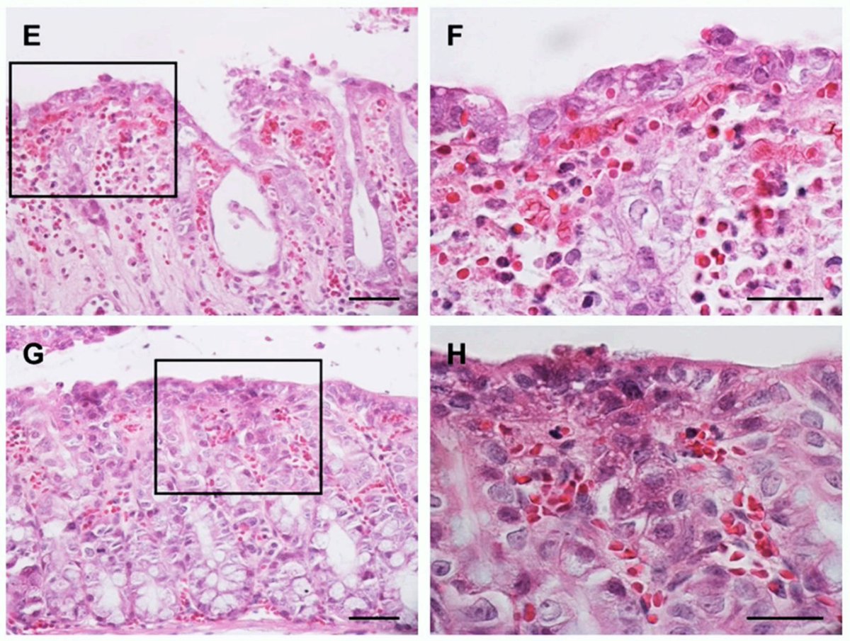
Bone broth preserved the structure of the gut.

The two pictures on the top are from the animals with gut inflammation without bone broth.

You can see how the intestines look like they got ripped apart. There's also more immune cells that have infiltrated the area (neutrophils).

The bone broth group on the bottom had nearly normal gut structure, and far less neutrophil infiltration.

All of this indicates a much healthier gut.

(3/7)Image
Read 10 tweets
Aug 29
Hair growth can be powerfully stimulated with the right nutrients, as shown by a recent study.

(🧡1/9)Image
This study was published in 2023.

It assessed the impact of a mix of:

➜ Hydrolysed fish-origin collagen
➜ Taurine
➜ Cysteine
➜ Methionine
➜ Iron
➜ Selenium

Over 3 months - in people with all types of hair loss conditions, including male pattern baldness.

People either got this mix + a typical hair loss drug, or the drug alone.

(2/9)Image
Those taking the nutrients showed subjective hair growth, measured by dermatologists.

Improvements in the global assessment score (GAS) showed improvement at just 6 weeks,

whereas no improvement was seen with drugs alone.

Their hair growth more than doubled at 12 weeks in comparison to drugs alone.

(3/9)Image
Read 12 tweets
Aug 28
Vitamin B1 (thiamine) megadosing can massively reduce fatigue, in many cases reversing it entirely.

(🧡1/20)Image
This study was a small pilot study conducted about a decade ago.

Anywhere from 600-1500 mg of B1 was used, depending on the weight of the patient.

The results were stunning.

10/12 patients had a complete reversal of fatigue.

The other two saw reductions by 50% and 66%.

(2/20)Image
Image
What was stunning about this study was that these people did not have thiamine (B1) deficiency,

yet they responded to thiamine megadoses as if they were.

This is likely because measuring the amount of B1 or its active metabolite, TPP, is not sufficient to tell if someone gets enough of it into their cells, where it exerts its effects.

(3/20)Image
Read 23 tweets
Aug 26
A new study shows vitamin E can reverse fibrosis, inflammation and fat buildup in the liver.

(🧡1/7)Image
Image
This study was published in Cell Medicine earlier this year.

Many studies have already shown that vitamin E has protective effects for the liver,

but this was the longest one to date (96 weeks) investigating this low of a dose of vitamin E - 300 mg of alpha tocopherol (450 IU) per day.

(2/7)Image
People receiving the vitamin E had visible improvements in their liver condition.

29.3% of people showed improvement in liver histology (>2X as good as placebo)

25.9% showed reductions in fibrosis - the scarring of the liver (>60% better than placebo)

Reducing fibrosis is HUGE - this is the most dangerous and irreversible part of these conditions.

(3/7)Image
Read 9 tweets
Aug 26
Red light therapy reverses all signs of skin aging, as shown in a recent study.

(🧡1/8)Image
This study used red light therapy 2x a week for 3 months.

βž” 12 min / session
βž” 630 nm (red light wavelength)
βž” 15.6 J/cm^2 (power density)

with the Skin Light Dior Γ— Lucibel mask.

(2/8) Image
Wrinkles were substantially decreased with the red light.

After 1 month of use, crow's feet (wrinkles by the eyes) decreased in depth by over 15%.

After 3, they decreased by over 38%.

The more it was used, the less wrinkles.

(3/8) Image
Read 11 tweets
Aug 25
A new landmark study has shown that eating meat is actually protective against cancer.

(🧡1/7)Image
This study was published last month in the journal of Applied Physiology, Nutrition, and Metabolism.

There has been a lot of noise around the idea that animal protein can increase cancer and death risk, as one highly publicized studies from the 2014 suggested.

(2/7) Image
Image
They used data from the Third National Health and Nutrition Examination Survey (NHANES III).

This dataset has people track their food, and also ensures its accuracy by administering 24 hour dietary recall surveys.

Unlike the previous 2014 study, they used the multivariate Markov Chain Monte Carlo (MCMC) method, which uses multiple 24 hour dietary recalls to better estimate the USUAL intake of people.

Previously, only single 24 hour dietary recalls were used, which is considerably less reliable since it's only measuring one day.

Thus, this study is considered to be the most statistically rigorous to date.

(3/7)
Read 7 tweets

Did Thread Reader help you today?

Support us! We are indie developers!


This site is made by just two indie developers on a laptop doing marketing, support and development! Read more about the story.

Become a Premium Member ($3/month or $30/year) and get exclusive features!

Become Premium

Don't want to be a Premium member but still want to support us?

Make a small donation by buying us coffee ($5) or help with server cost ($10)

Donate via Paypal

Or Donate anonymously using crypto!

Ethereum

0xfe58350B80634f60Fa6Dc149a72b4DFbc17D341E copy

Bitcoin

3ATGMxNzCUFzxpMCHL5sWSt4DVtS8UqXpi copy

Thank you for your support!

Follow Us!

:(