Vigilant Fox 🦊 Profile picture
Aug 31, 2025 38 tweets 15 min read Read on X
What if I told you the government hid a safe, cheap cure while people died?

I’m not talking about ivermectin.

This drug from nature has the ability to treat things most doctors call “incurable,” such as paralysis and brain trauma.

What drug am I talking about?

None other than DMSO.

A teenage girl paralyzed in a diving accident walked again after a year on DMSO.

Another woman was found unconscious after a stroke and returned to work teaching in no time—all thanks to DMSO.

Never heard of DMSO? That’s no accident.

Get ready to learn what this powerful treatment can do—and why it worked so well that the FDA had to bury it.

🧵 THREADImage
If you knew a cheap, safe treatment could save people from strokes, spinal injuries, and brain bleeds—and it was buried for decades to protect profits and keep people in pain—would you be angry?

You might want to sit down—I’ve got quite the story to tell.

And so far, it doesn’t have a happy ending. But with help from @MidwesternDoc, that’s going to change.Image
The information in this thread comes from the work of medical researcher @MidwesternDoc.

For all the sources and details, read the full 49,000-word report below.
midwesterndoctor.com/p/dmso-could-s…
@MidwesternDoc DMSO isn’t new. Back in the 1960s, it was a scientific and medical sensation.

There were thousands of studies.

Doctors called it a miracle. Even gas stations advertised it!

But then the FDA waged war on it. Image
@MidwesternDoc DMSO (or dimethyl sulfoxide) is a naturally occurring substance with proven effectiveness.

This simple chemical and its breakdown products exist in nature—in milk, tomatoes, tea, coffee, beer clams, and cooked corn!

In the body, DMSO is then oxidized or reduced. Image
DMSO is too effective. It heals injuries that standard medicine calls “untreatable.” It can save tissue from dying when blood flow is cut off. It crosses the blood-brain barrier to protect neurons.

And it costs next to nothing.

The FDA and the medical industry have a long history of pulling out all the stops when it comes to blocking people from accessing what can actually heal them.Image
@MidwesternDoc If you want to know where to buy DMSO, which brands to trust, how to use and dose it, and even how to find doctors who use it, check out @MidwesternDoc's full report.

The information included is absolutely invaluable and could save your life.
midwesterndoctor.com/p/dmso-could-s…
DMSO acts as a near-universal solvent.

It carries other medicines through the skin and doesn’t damage membranes in the process.

This is why you may have heard that it’s incredibly important to clean your skin before applying DMSO. Anything it touches will be carried into your body.

DMSO can be found in the blood 5 minutes after applying it to the skin. And within an hour it can be found within the bones!

At the same time, it doesn’t accumulate in the body.Image
@MidwesternDoc In addition to being applied topically, DMSO can be ingested, injected, or administered through an IV.

Because it can be applied in almost any matter, it has almost an endless amount of uses!

It is a true multitool. Image
@MidwesternDoc DMSO’s ability to spread throughout the body (including into the brain) may seem concerning…

But it’s not toxic to cells, so it’s not a problem.

In fact, DMSO heals cells and protects them from damage from otherwise lethal stressors! Image
Here’s a short list of the incredible things DMSO can do by protecting cells:

• Protect tissue from dying when its blood supply is cut off

• Prevent heart damage caused by dietary copper deficiency

• Prevent kidney failure caused by toxic mercury exposure

• Increase the production of ATP in cells

• Prevent asphyxiation from being lethal

• Save the fingers of individuals with severe frostbite that would otherwise require amputation

• Treat a variety of burnsImage
On top of all of that—and more—it's absurdly safe.

Massive doses were tested on humans—including prisoners getting 30x normal doses for weeks. And no serious toxicity was found.

Read that one again. 30 times the normal dose.

And now, millions of treatments later: no confirmed deaths.Image
@MidwesternDoc DMSO’s incredible healing power doesn’t stop at burns or frostbite.

It revolutionizes circulation.

Raynaud’s? Half of patients cured.

Diabetic ulcers? 94% success in hundreds of cases.

Varicose veins? Gone for months after treatment. Image
@MidwesternDoc It’s also an incredibly potent anti-clotting agent.

It stops platelets from clumping like aspirin does—but better!

And it doesn't have any of aspirin's dangerous side effects. Image
DMSO has even been tested in heart attacks.

It appears to be an immensely promising treatment, but unfortunately, relatively little research exists thus far.

Animal research has shown success. Those studied had much less damage when DMSO was given during induced heart attacks.

In rabbits fed cholesterol to induce atherosclerosis, DMSO reduced artery plaque by 30-40%.Image
What about strokes?

Around 800,000 Americans have a stroke every year. In 2022, 165,393 died. Those who survive often experience long term effects.

The standard treatment is a clot-buster called tPA that can only be used for ischemic strokes (not bleeds) and must be given within three hours.

And even then, it can fail. And if used in a stroke caused by a rupture, it can be disastrous.

tPA is given to less than 10% of stroke patients and should only be used after the type of stroke is confirmed—which takes time.

Even when given on time, it only helps 13% significantly. And it can cause significant problems—like brain bleeds.

That doesn’t sound too promising. Even ICU doctors are hesitant to use it.Image
@MidwesternDoc If you want to know just how much was buried to protect pharmaceutical profits, you need to read @MidwesternDoc's full report.
midwesterndoctor.com/p/dmso-could-s…
Here’s where DMSO shines.

It doesn’t matter if the stroke is caused by a clot or a bleed.

It can be given at home, in an ambulance, even hours later.

It crosses the blood-brain barrier, protects brain tissue from dying, reduces swelling, doesn’t worsen a hemorrhagic stroke, effectively treats ischemic strokes, heals damaged brain tissue, and more.

This should be the go to for every stroke. But it’s not. And the FDA is directly to blame.Image
@MidwesternDoc A small human trial showed giving DMSO with FDP (fructose diphosphate) to stroke patients within 12 hours led to 63% of them improving—triple the rate of standard care.

It’s not theoretical. It’s not a fluke.

It’s real.

It can also be helpful long after the stroke happened. Image
One woman had a major stroke at home. She was left unconscious on her living room floor.

Her husband applied DMSO to her head immediately. Less than an hour later she was given an injection.

Ultimately, she was never even taken to the hospital. A surgeon (who is also a family friend), recommended against going to the hospital because it would be very difficult to get approval for a DMSO injection there—despite it being legal.

She made a dramatic recovery.

She regained consciousness that day and continued treatment for the following week.

Soon she returned to her job teaching as if nothing had even happened.

Absolutely jaw-dropping.Image
Another woman was in a coma for three months following a stroke. There was little chance of recovery. She wasn’t responding to stimulus and appeared lifeless.

Her husband and facility staff began applying DMSO to her head daily. After only one month, she began showing signs of progress.

Four months later, she returned home. She then began drinking one teaspoonful of DMSO each day—for years.

Three years later, her life returned to normal. The only lingering effect was a slight speech problem.Image
@MidwesternDoc If you’re finding this hard to believe, you should read the full article by @MidwesternDoc, which is loaded with these jaw-dropping stories and the studies to back them up.
midwesterndoctor.com/p/dmso-could-s…
@MidwesternDoc It’s not just strokes.

DMSO is one of the only substances known to rapidly lower intracranial pressure in brain injuries—without rebound swelling.

That’s huge. Image
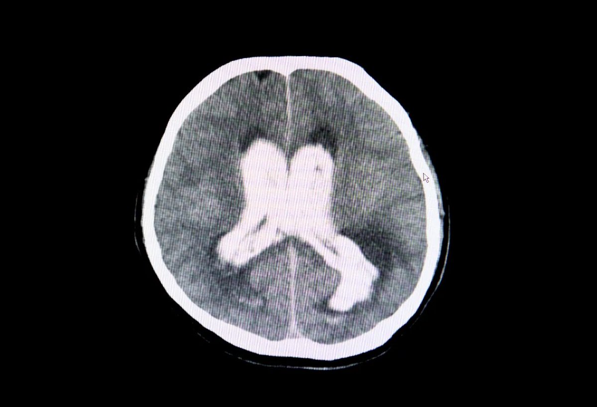
@MidwesternDoc Patients with severe head trauma and dangerously high brain pressure saw their pressure drop within minutes of IV DMSO.

CT scans confirmed swelling reduced.

Many went from near death to minimal or no impairment. Image
@MidwesternDoc One doctor reported using DMSO on 30 patients with devastating head injuries.

For 11 of them, nothing else worked.

But DMSO saved them. Image
DMSO also works for concussions.

In one study, DMSO was compared to other commonly used treatments and found to be the most effective at preventing nervous tissue damage and neurobehavioral changes.

One woman experienced immediate improvement following a DMSO injection 13 years after her concussion!Image
@MidwesternDoc DMSO treats spinal cord injuries, too.

Give it within 90 minutes and you can prevent paralysis.

Even old injuries can see partial recovery.

We used to think it was impossible, but not with DMSO. Image
One teenage girl paralyzed in a pool diving accident spent a year on DMSO.

She went from total quadriplegia to walking and attending college.

Another man who refused DMSO for 12 years after a car crash finally tried it.

He didn’t walk again—but he regained feeling and could move his toes.Image
@MidwesternDoc If you think this is just anecdotal, look at the animal studies.

Rats, dogs, cats, horses—all showed stunning recovery when treated early with DMSO.
midwesterndoctor.com/p/dmso-could-s…
And it doesn’t stop there.

DMSO has shown promise in conditions like cystic fibrosis and amyloidosis by helping clear or prevent toxic misfolded proteins.

In studies, DMSO dissolved amyloid deposits in animals.

It also holds promise for dementia. Animal studies show it improves memory, prevents neuron death from poor circulation, even helps Alzheimer’s models by reducing anxiety and boosting neuron density.

Some human trials found elderly patients improved in memory, mood, and even speech when treated with DMSO mixtures.Image
@MidwesternDoc Psychiatric hospitals even tested it in schizophrenia, bipolar, alcoholism, and severe anxiety.

Results?

Rapid, dramatic improvements, even in severe, treatment-resistant cases. Image
Even more astonishing?

Children with Down Syndrome showed remarkable developmental gains.

One girl who was unable to stand or walk at 11 months old, began DMSO treatment.

At the age of 8 she could walk, talk, run, read, and spell nearly on par with her peers—something her teachers never saw in any other child with Down Syndrome.

Her dentist even said her palate even developed normally—something he’d never seen before.Image
@MidwesternDoc Millions of people have suffered needlessly because DMSO has been withheld and demonized.

DMSO could change medicine as we know it

But only if people know the truth. Image
@MidwesternDoc Thanks for reading! This information was based on a report originally published by @MidwesternDoc.

Key details were streamlined and editorialized for clarity and impact. Read the original report here.
midwesterndoctor.com/p/dmso-could-s…
@MidwesternDoc For a deeper dive into what modern medicine has overlooked—or intentionally buried—check out these other eye-opening reports by @MidwesternDoc:

Statins Exposed: The Truth Behind America’s Most Prescribed Drug
midwesterndoctor.com/p/the-great-ch…
@MidwesternDoc What’s The Healthiest Water To Drink?
midwesterndoctor.com/p/whats-the-he…
@MidwesternDoc What They Don’t Tell You About C-Sections
midwesterndoctor.com/p/what-the-don…
@MidwesternDoc While you’re at it, give @MidwesternDoc a follow.

No one brings more research, clinical insight, or historical context when it comes to exposing the health myths we’ve all been fed.

This is easily one of the most valuable accounts you’ll ever follow.

--> @MidwesternDoc Image

• • •

Missing some Tweet in this thread? You can try to force a refresh
 

Keep Current with Vigilant Fox 🦊

Vigilant Fox 🦊 Profile picture

Stay in touch and get notified when new unrolls are available from this author!

Read all threads

This Thread may be Removed Anytime!

PDF

Twitter may remove this content at anytime! Save it as PDF for later use!

Try unrolling a thread yourself!

how to unroll video
  1. Follow @ThreadReaderApp to mention us!

  2. From a Twitter thread mention us with a keyword "unroll"
@threadreaderapp unroll

Practice here first or read more on our help page!

More from @VigilantFox

Feb 7
The real cause of heart disease has been buried for decades in favor of the lie about cholesterol.

40 million Americans take statins to lower their cholesterol, thinking it’s the best way to protect their hearts.

But what doctors never tell them is that statins interfere with the body’s natural repair system, weakening the very cells that rely on cholesterol to function.

In trying to prevent disease, they’re paradoxically fueling it.

This report exposes what really happens to the body when you take a statin every day.
This information comes from the work of medical researcher @MidwesternDoc.

For all the sources and details, read the full report:

midwesterndoctor.com/p/why-are-stat…
For years, doctors have been taught that high cholesterol causes heart attacks. They’ve passed the warning along to their patients, and most of us have believed them.

But that idea came from one man: Ancel Keys.

Keys cherry-picked data to make fat and cholesterol look deadly while ignoring the real culprit: sugar.

John Yudkin tried to warn the world that sugar—not fat—was driving heart disease. But no one listened. He was ridiculed, silenced, and erased from history.Image
Read 27 tweets
Feb 6
This drug reversed a condition that usually ends with a ventilator and a body bag.

Three patients were on the brink of death from total lung failure.

Then they were given intravenous DMSO—and something incredible happened.

Days later, they were breathing freely. One even had completely normal lungs within just a week.

You’ve probably never heard of DMSO—and that’s by design.

Once you see what it can do, you’ll understand why it had to be buried.

🧵 THREADImage
This information comes from the work of medical researcher @MidwesternDoc.

For all the sources and details, read the full 9,000+ word report below.

midwesterndoctor.com/p/how-dmso-pro…
DMSO (dimethyl sulfoxide) use exploded in the 1960s as a medical breakthrough.

There were thousands of studies.
There was massive public demand.
And there were miracle recoveries.

But the FDA dropped the hammer—and the pharmaceutical industry buried DMSO.

Why?

Because it worked.Image
Read 27 tweets
Feb 5
In 2015, Scott Adams made a “crazy” prediction that most people thought was impossible.

He said Trump had a 98% chance of becoming president, and he made that call on a single observation.

The winning attribute that made Scott confident in Trump’s victory was his one-of-a-kind persuasion skills.

While political betting markets dismissed Trump’s chances, Adams argued—using his background in persuasion and hypnosis—that Trump was the most psychologically effective candidate in the race and therefore favored to win.

He built a massive following by showing how persuasion, not policy, drives political outcomes.

That insight proved correct. But it also revealed something darker. 🧵
After Trump’s victory, Adams pivoted to punditry—and during COVID, even he struggled to see the truth.

Scott strongly endorsed the vaccines, vaccinated himself, and publicly belittled followers who refused. Many later derisively called him “Clot Adams.”

In January 2023, Adams admitted—on video—that he’d been wrong and that the anti-vaxxers were correct. But he framed it as luck: the right people just happened to distrust the government, while “all the data” supposedly pointed intelligent analysts toward vaccination.

That framing matters. It reveals how even skilled observers of persuasion can mistake marketing consensus for truth—and how the same system that manufactures medical certainty also hides the limits of medicine, until reality forces a reckoning.
Last May, Scott told the world something most people never say out loud until it’s unavoidable: he had terminal, metastatic prostate cancer.

He openly stated he planned to use California’s medically assisted dying to reduce suffering.

He also shut down speculation—saying he had already tried fenbendazole and ivermectin and had no interest in continuing them.

The reaction was explosive.

People weren’t just debating treatment choices—they were watching, in real time, what a protracted, modern death actually looks like.

For many, it shattered comforting abstractions about both cancer and mortality.
Read 33 tweets
Feb 5
He was the only mainstream journalist who dared to investigate Pizzagate.

They mocked him. Smeared him. Erased him from corporate media.

Now, the Epstein Files are out—and every horrifying detail is falling into place.

@BenSwann_ was right all along.

Today, he joins @zeeemedia to connect the dots between Epstein and Pizzagate—and expose how the media helped cover it all up. 🧵
At first, @BenSwann_ brushed off the Pizzagate story as too outrageous to take seriously.

Claims about Hillary Clinton eating children in a pizza shop basement didn’t just sound insane—they sounded like intentional disinformation. But when the story hit national headlines and a man stormed a pizza parlor with a rifle, Swann decided to investigate.

What he uncovered changed everything.

He traced the story back to a trove of leaked emails from John Podesta—real messages published by WikiLeaks. That’s when the pattern began to emerge. The repeated use of odd terms like “pizza,” “hot dog,” and “cheese pizza” matched code words the FBI had previously flagged as part of known (the P word) communication.

The most shocking part? Swann said it wasn’t journalists or watchdogs who picked up on it first—but self-proclaimed (the P word)s on 4chan. They were the ones asking, “Does anyone else see this? These are the same words we use.”

“There’s no evidence that John Podesta is a (the P word)” Swann clarified. But what disturbed him most was the lack of any investigation at all.

“The problem… wasn’t that I found something huge. I didn’t. I just said it on TV. And because I did, the backlash was huge.”
#ad: You are not powerless. For 5,000 years, gold and silver have acted as a financial safe haven through every major crisis. They can’t be printed, diluted, or frozen—and in a storm like this, that matters.

DailyPulseGold.com 👈

That’s why Genesis Gold Group just released a brand-new Financial Storm Survival Guide, breaking down what’s happening in the economy and what you can do right now to protect yourself.

Arm yourself with knowledge and get your free Financial Storm Survival Guide right now at DailyPulseGold.com.

DISCLOSURE: This ad was paid for by Genesis Gold Group. We may earn a small commission when you shop through our sponsors. Thank you for your support.Image
Read 11 tweets
Feb 4
Why was Epstein planning pandemic simulations with Bill Gates?

Newly uncovered emails reveal he wasn’t just trafficking children—he was also involved in pandemic war games, gene editing discussions, and biotech agendas years before COVID.

He had no medical background. Just deep ties to global power and plans to “improve” the human race.

And many of those same elites are still pulling strings today.

Now, a breaking study raises even more disturbing questions about what those plans may have set in motion.

Researchers have confirmed that vaccine mRNA, plasmid DNA, and spike protein can persist in the human body for more than 3.5 years after COVID-19 injection.

But it gets worse.

The findings suggest the injected population could be shedding onto the uninjected population, years after their injection—with absolutely no end in sight.

This case documents the longest-known persistence of mRNA vaccine components, independently verified across multiple labs, samples, and time points.

Epidemiologist @NicHulscher—one of the study’s authors—joins us to break it all down, including explosive revelations about Bill Gates, Epstein, and how it all ties together. 🧵
Hulscher opened with a bombshell.

He revealed that mRNA, plasmid DNA, and spike protein were still present in the body of a vaccinated patient more than 3.5 years after receiving Pfizer injections.

And this wasn’t guesswork—it was confirmed by over 200 medical tests, 40 emergency room visits, and evaluations from 18 different specialists.

While the public was told vaccine components would disappear within days, this study found the exact opposite. Those materials remained embedded in the patient’s skin and continued circulating in his bloodstream.

Even more damning, it wasn’t caused by COVID. As Hulscher made clear: “only the spike protein” was found—“not the nucleocapsid.”

“We were lied to,” he said. “I expect lawsuits to begin to flood in.”

Watch the full interview:👇
rumble.com/v758v1o-breaki…
#ad: You are not powerless. For 5,000 years, gold and silver have acted as a financial safe haven through every major crisis. They can’t be printed, diluted, or frozen—and in a storm like this, that matters.

DailyPulseGold.com 👈

That’s why Genesis Gold Group just released a brand-new Financial Storm Survival Guide, breaking down what’s happening in the economy and what you can do right now to protect yourself.

Arm yourself with knowledge and get your free Financial Storm Survival Guide right now at DailyPulseGold.com.

DISCLOSURE: This ad was paid for by Genesis Gold Group. We may earn a small commission when you shop through our sponsors. Thank you for your support.Image
Read 11 tweets
Feb 3
REPORT: The WHO just ran a full-scale simulation for “the next pandemic”—and 31 governments played along.

This wasn’t some tabletop drill. It lasted weeks, triggered real-world airport and border systems, and modeled a fast-moving respiratory outbreak with global reach.

They called it IHR Exercise CRYSTAL—and it happened in December 2025. WHO didn’t pretend it was hypothetical. They said it flat out—this was preparation for “the next pandemic.” Let that sink in.

If that sounds familiar, it should. Event 201, backed by the Gates Foundation, ran just before COVID. But CRYSTAL went even further—activating international protocols in real time.

Here’s where it turns sinister: newly released emails show Bill Gates was coordinating pandemic simulations with Jeffrey Epstein back in 2017. Topics included strain-specific outbreaks, gene editing, and digital health surveillance.

Today, Gates is still funding the vaccines, advising the WHO, and backing a “universal vaccine” developed by Fauci’s ally—now being promoted by RFK Jr.

Think this is over? It’s not. They’re already rehearsing the sequel.

Watch @zeeemedia's full report.👇
#ad: Want protection from surveillance, hacking, and even electromagnetic threats?

The elite Faraday bags at escapezone.com/pulse block GPS, Bluetooth, RFID skimming, and EMF—perfect for phones, laptops, wallets, and more.

Their premium ballistic backpack even combines Faraday shielding with Kevlar armor, giving you the upper hand in an unpredictable world.

Want to shield your body, too? Try their EMF-blocking beanies and blankets—because protection shouldn’t stop with your phone.

Whether it’s for you, your family, or someone you love—don’t leave it to chance.

Shop now at escapezone.com/pulse and protect what matters most.

DISCLOSURE: This post contains affiliate links. If you make a purchase through them, we may earn a small commission at no extra cost to you. This helps keep our work independent. Thank you for your support.
Meanwhile, the Epstein Files have confirmed what many long suspected: Jeffrey Epstein had financial ties to the Rothschild banking dynasty.

In 2015, Ariane de Rothschild’s Swiss banking group wired Epstein $25 million for “risk analysis” and “certain algorithms.” But with Epstein’s history of blackmail, data collection, and trafficking, what kind of “risk” was he really managing—and for whom?

It gets worse.

Newly released emails show Epstein telling Peter Thiel he “represented the Rothschilds”—after his 2008 conviction. One photo captures Lynn Forester de Rothschild smiling alongside Epstein and Maxwell. Another exchange discusses “opportunities” in Ukraine after the 2014 coup.

Then comes the most surreal claim yet: that Hitler once lived in a Vienna shelter funded by the Epsteins and Rothschilds.

The receipts are real. The lies are unraveling. Don’t let the media memory-hole this.

Watch @zeeemedia's full report:👇
rumble.com/v757lk4-who-ju…
Read 7 tweets

Did Thread Reader help you today?

Support us! We are indie developers!


This site is made by just two indie developers on a laptop doing marketing, support and development! Read more about the story.

Become a Premium Member ($3/month or $30/year) and get exclusive features!

Become Premium

Don't want to be a Premium member but still want to support us?

Make a small donation by buying us coffee ($5) or help with server cost ($10)

Donate via Paypal

Or Donate anonymously using crypto!

Ethereum

0xfe58350B80634f60Fa6Dc149a72b4DFbc17D341E copy

Bitcoin

3ATGMxNzCUFzxpMCHL5sWSt4DVtS8UqXpi copy

Thank you for your support!

Follow Us!

:(